Ornithine Decarboxylase Antibody (ODC1/486) - IHC-Prediluted

Images

 
Immunohistochemistry-Paraffin: Ornithine Decarboxylase Antibody (ODC1/486) - IHC-Prediluted [NBP2-48321] - Formalin-fixed, paraffin-embedded Mouse Small Intestine stained with ODC1 Mouse Monoclonal Antibody (ODC1/486).
Immunohistochemistry-Paraffin: Ornithine Decarboxylase Antibody (ODC1/486) - IHC-Prediluted [NBP2-48321] - Formalin-fixed, paraffin-embedded Rat Pancreas stained with ODC1 Mouse Monoclonal Antibody (ODC1/486).
Immunohistochemistry-Paraffin: Ornithine Decarboxylase Antibody (ODC1/486) - IHC-Prediluted [NBP2-48321] - Formalin-fixed, paraffin-embedded human Pancreas stained with ODC1 Mouse Monoclonal Antibody (ODC1/486).
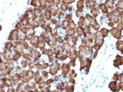
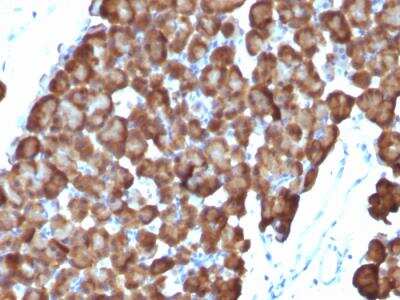
Immunohistochemistry-Paraffin: Ornithine Decarboxylase Antibody (ODC1/486) - IHC-Prediluted [NBP2-48321] - Formalin-fixed, paraffin-embedded Mouse Pancreas stained with ODC1 Mouse Monoclonal Antibody (ODC1/486).
Western Blot Analysis of PC3 cell lysate usingOrnithine Decarboxylase Antibody (ODC1/486) - IHC-Prediluted.

Product Details

Summary
Reactivity Hu, Mu, RtSpecies Glossary
Applications IHC
Clone
ODC1/486
Clonality
Monoclonal
Host
Mouse
Conjugate
Unconjugated
Format
IHC-Prediluted

Order Details

Ornithine Decarboxylase Antibody (ODC1/486) - IHC-Prediluted Summary

Description
The prediluted antibody does not require any mixing, dilution, reconstitution, or titration; the antibody is ready-to-use and optimized for staining.
Immunogen
Recombinant human Ornithine Decarboxylase protein (Uniprot: P11926)
Localization
Cytoplasmic
Isotype
IgG2a Kappa
Clonality
Monoclonal
Host
Mouse
Gene
ODC1
Purity
Protein A or G purified
Innovator's Reward
Test in a species/application not listed above to receive a full credit towards a future purchase.

Applications/Dilutions

Dilutions
  • Immunohistochemistry
  • Immunohistochemistry-Paraffin
Application Notes
Immunohistochemistry (Formalin-fixed): 0.25-0.5ug/ml for 30 minutes at RT. Staining of formalin-fixed tissues requires heating tissue sections in 10mM Tris with 1mM EDTA, pH 9.0, for 45 min at 95C followed by cooling at RT for 20 minutes.
Optimal dilution for a specific application should be determined.
Theoretical MW
53 kDa.
Disclaimer note: The observed molecular weight of the protein may vary from the listed predicted molecular weight due to post translational modifications, post translation cleavages, relative charges, and other experimental factors.

Packaging, Storage & Formulations

Storage
Store at 4C.
Buffer
10 mM PBS with 0.05% BSA
Preservative
0.05% Sodium Azide
Purity
Protein A or G purified

Alternate Names for Ornithine Decarboxylase Antibody (ODC1/486) - IHC-Prediluted

  • ODC
  • ODC1
  • ODCEC 4.1.1.17
  • ornithine decarboxylase 1
  • ornithine decarboxylase

Background

Ornithine Decarboxylase encodes the rate-limiting enzyme of the polyamine biosynthesis pathway which catalyzes ornithine to putrescine. The activity level for the enzyme varies in response to growth-promoting stimuli and exhibits a high turnover rate in comparison to other mammalian proteins. Originally localized to both chromosomes 2 and 7, the gene encoding this enzyme has been determined to be located on 2p25, with a pseudogene located on 7q31-qter.

Limitations

This product is for research use only and is not approved for use in humans or in clinical diagnosis. Primary Antibodies are guaranteed for 1 year from date of receipt.

Customers Who Viewed This Item Also Viewed...

NB600-302
Species: Bv, Dr, Hu, Mu
Applications: ChIP, ELISA, Flow-IC, Flow, IB, ICC/IF, IHC, IHC-Fr,  IHC-P, IP, PLA, S-ELISA, Simple Western, WB
236-EG
Species: Hu
Applications: BA
NBP1-87094
Species: Hu
Applications: ICC/IF, IHC,  IHC-P
NBP2-15447
Species: Hu
Applications: WB
NBP2-50037
Species: Hu, Mu, Rt
Applications: ICC/IF, IHC, KO, WB
MAB1417
Species: Bv, Hu, Mu
Applications: ICC, IHC
NBP2-67471
Species: Hu, Mu, Rt
Applications: ICC/IF, IHC,  IHC-P, WB
AF3398
Species: Hu, Mu, Rt
Applications: ICC, KO, Simple Western, WB
AF1445
Species: Mu, Rt
Applications: ELISA(Cap), ELISA(Det), ELISA(Sta), IHC, Neut, Simple Western, WB
NB110-41622
Species: Bv, Ch, Gt, Hu, Mu, Po, Rt, Xp
Applications: IHC,  IHC-P, WB
NBP1-81838
Species: Hu, Mu
Applications: IHC,  IHC-P, WB
NBP1-80726
Species: Hu
Applications: ICC/IF, IHC,  IHC-P, WB
NB300-605
Species: Hu, Mu, Po, Rt
Applications: Flow, IB, ICC/IF, IHC, IHC-Fr,  IHC-P, In vitro, WB
NBP1-89522
Species: Hu, Mu, Rt
Applications: ICC/IF, IHC,  IHC-P, WB
202-IL
Species: Hu
Applications: BA
H00005555-P01
Species: Hu
Applications: ELISA, AP, PA, PAGE, WB
NBP2-48321
Species: Hu, Mu, Rt
Applications: IHC

Publications for Ornithine Decarboxylase Antibody (NBP2-48321) (0)

There are no publications for Ornithine Decarboxylase Antibody (NBP2-48321).
By submitting your publication information earn gift cards and discounts for future purchases.

Reviews for Ornithine Decarboxylase Antibody (NBP2-48321) (0)

There are no reviews for Ornithine Decarboxylase Antibody (NBP2-48321). By submitting a review you will receive an Amazon e-Gift Card or Novus Product Discount.
  • Review with no image -- $10/€7/£6/$10 CAD/Â¥70 Yuan/Â¥1110 Yen
  • Review with an image -- $25/€18/£15/$25 CAD/Â¥150 Yuan/Â¥2500 Yen

Product General Protocols

Find general support by application which include: protocols, troubleshooting, illustrated assays, videos and webinars.

FAQs for Ornithine Decarboxylase Antibody (NBP2-48321) (0)

There are no specific FAQs related to this product. Read our general customer & technical service FAQs.

Secondary Antibodies

 

Isotype Controls

Additional Ornithine Decarboxylase Products

Research Areas for Ornithine Decarboxylase Antibody (NBP2-48321)

Find related products by research area.

Blogs on Ornithine Decarboxylase

There are no specific blogs for Ornithine Decarboxylase, but you can read our latest blog posts.

Customers Who Bought This Also Bought

Contact Information

Product PDFs

Calculators

Concentration Calculator

The concentration calculator allows you to quickly calculate the volume, mass or concentration of your vial. Simply enter your mass, volume, or concentration values for your reagent and the calculator will determine the rest.

=
÷

Review this Product

Be the first to review our Ornithine Decarboxylase Antibody (ODC1/486) - IHC-Prediluted and receive a gift card or discount.

Bioinformatics

Gene Symbol ODC1