DBT Antibody - BSA Free

Images

 
Staining of human cell line A-431 shows localization to mitochondria.
Independent Antibodies: Immunohistochemistry-Paraffin: DBT Antibody [NBP1-89522] - Staining of human colon, liver, lymph node and pancreas using Anti-DBT antibody NBP1-89522 (A) shows similar protein distribution ...read more
Orthogonal Strategies: Analysis in human kidney and pancreas tissues using NBP1-89522 antibody. Corresponding DBT RNA-seq data are presented for the same tissues.
Staining of human kidney shows moderate to strong cytoplasmic positivity in cells in tubules.
Staining of human pancreas shows weak to moderate cytoplasmic positivity in exocrine glandular cells.
Immunohistochemistry-Paraffin: DBT Antibody [NBP1-89522] - Staining of human colon.
Immunohistochemistry-Paraffin: DBT Antibody [NBP1-89522] - Staining of human prostate shows weak to moderate cytoplasmic positivity in glandular cells.
Immunohistochemistry-Paraffin: DBT Antibody [NBP1-89522] - Staining of human liver.
Immunohistochemistry-Paraffin: DBT Antibody [NBP1-89522] - Staining of human lymph node.
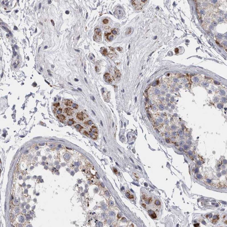
Staining of human testis shows weak to moderate cytoplasmic positivity in Leydig cells.
Lane 1: Marker [kDa] 230, 130, 95, 72, 56, 36, 28, 17, 11Lane 2: Human cell line RT-4Lane 3: Human cell line U-251MG sp
Lane 1: NIH-3T3 cell lysate (Mouse embryonic fibroblast cells)Lane 2: NBT-II cell lysate (Rat Wistar bladder tumour cells)

Product Details

Summary
Reactivity Hu, Mu, RtSpecies Glossary
Applications WB, ICC/IF, IHC
Clonality
Polyclonal
Host
Rabbit
Conjugate
Unconjugated
Format
BSA Free

Order Details

View Available Formulations
Catalog# & Formulation Size Price

DBT Antibody - BSA Free Summary

Description
Novus Biologicals Rabbit DBT Antibody - BSA Free (NBP1-89522) is a polyclonal antibody validated for use in IHC, WB and ICC/IF. All Novus Biologicals antibodies are covered by our 100% guarantee.
Immunogen
This antibody was developed against Recombinant Protein corresponding to amino acids: VGKPLVDIETEALKDSEEDVVETPAVSHDEHTHQEIKGRKTLATPAVRRLAMENNIKLSEVVGSGKDGRILKEDILNYLEKQ
Isotype
IgG
Clonality
Polyclonal
Host
Rabbit
Gene
DBT
Purity
Immunogen affinity purified
Innovator's Reward
Test in a species/application not listed above to receive a full credit towards a future purchase.

Applications/Dilutions

Dilutions
  • Immunocytochemistry/ Immunofluorescence 0.25-2 ug/ml
  • Immunohistochemistry 1:500 - 1:1000
  • Immunohistochemistry-Paraffin 1:500 - 1:1000
  • Western Blot 0.04-0.4 ug/ml
Application Notes
For IHC-Paraffin, HIER pH 6 retrieval is recommended. ICC/IF Fixation Permeabilization: Use PFA/Triton X-100.
Control Peptide
DBT Protein (NBP1-89522PEP)

Packaging, Storage & Formulations

Storage
Store at 4C short term. Aliquot and store at -20C long term. Avoid freeze-thaw cycles.
Buffer
PBS (pH 7.2) and 40% Glycerol
Preservative
0.02% Sodium Azide
Purity
Immunogen affinity purified

Alternate Names for DBT Antibody - BSA Free

  • BCATE2BCKAD E2 subunit
  • BCKADE2
  • BCKAD-E2
  • branched chain acyltransferase, E2 component
  • Branched-chain alpha-keto acid dehydrogenase complex component E2
  • Dihydrolipoamide acetyltransferase component of branched-chain alpha-keto aciddehydrogenase complex
  • dihydrolipoamide branched chain transacylase (E2 component of branched chainketo acid dehydrogenase complex; maple syrup urine disease)
  • dihydrolipoamide branched chain transacylase E2
  • Dihydrolipoamide branched chain transacylase
  • dihydrolipoyl transacylase
  • Dihydrolipoyllysine-residue (2-methylpropanoyl)transferase
  • E2 component of branched chain alpha-keto acid dehydrogenase complex
  • E2
  • E2B
  • EC 2.3.1.168
  • lipoamide acyltransferase component of branched-chain alpha-keto aciddehydrogenase complex, mitochondrial
  • lipoamide acyltransferase component of mitochondrial branched-chain alpha-ketoacid dehydrogenase complex
  • MGC9061
  • mitochondrial branched chain alpha-keto acid dehydrogenase transacylase subunit(E2b)

Background

The branched-chain alpha-keto acid dehydrogenase complex (BCKD) is an inner-mitochondrial enzyme complex involved in the breakdown of the branched-chain amino acids isoleucine, leucine, and valine. The BCKD complex is thought to be composed of a core of 24 transacylase (E2) subunits, and associated decarboxylase (E1), dehydrogenase (E3), and regulatory subunits. This gene encodes the transacylase (E2) subunit. Mutations in this gene result in maple syrup urine disease, type 2. Alternatively spliced transcript variants have been described, but their biological validity has not been determined. [provided by RefSeq]

Limitations

This product is for research use only and is not approved for use in humans or in clinical diagnosis. Primary Antibodies are guaranteed for 1 year from date of receipt.

Customers Who Viewed This Item Also Viewed...

AF9024
Species: Mu, Rt
Applications: IHC, WB
NBP2-54301
Species: Hu, Mu, Rt
Applications: CyTOF-ready, ELISA, IHC,  IHC-P, WB
NBP2-13961
Species: Hu
Applications: ICC/IF, IHC,  IHC-P, WB
NB100-689
Species: Hu, Rt
Applications: IHC, IHC-Fr,  IHC-P, Simple Western, WB
NBP1-31302
Species: Hu, Mu, Rt
Applications: ICC/IF, IHC,  IHC-P, KO, WB
NB300-560
Species: Av, Bv, Ma, Hu, Mu, Pm, Rt
Applications: IF, IHC, IHC-Fr,  IHC-P, WB
NBP2-38770
Species: Hu, Mu
Applications:  IHC-P, WB
NBP1-89150
Species: Hu
Applications: IHC,  IHC-P, WB
H00011026-M01
Species: Hu
Applications: ELISA, WB
NBP1-30475
Species: Hu, Mu
Applications: IHC,  IHC-P, IP, WB
M6000B
Species: Mu
Applications: ELISA
NBP1-58268
Species: Hu, Mu
Applications: IHC,  IHC-P, WB
H00008458-M06
Species: Hu, Mu, Rt
Applications: ELISA, ICC/IF, WB
AF1445
Species: Mu, Rt
Applications: ELISA(Cap), ELISA(Det), ELISA(Sta), IHC, Neut, Simple Western, WB
201-LB
Species: Hu
Applications: BA
NBP2-38449
Species: Hu
Applications: ICC/IF, IHC,  IHC-P
NBP1-89522
Species: Hu, Mu, Rt
Applications: WB, ICC/IF, IHC

Publications for DBT Antibody (NBP1-89522) (0)

There are no publications for DBT Antibody (NBP1-89522).
By submitting your publication information earn gift cards and discounts for future purchases.

Reviews for DBT Antibody (NBP1-89522) (0)

There are no reviews for DBT Antibody (NBP1-89522). By submitting a review you will receive an Amazon e-Gift Card or Novus Product Discount.
  • Review with no image -- $10/€7/£6/$10 CAD/¥70 Yuan/¥1110 Yen
  • Review with an image -- $25/€18/£15/$25 CAD/¥150 Yuan/¥2500 Yen

Product General Protocols

Find general support by application which include: protocols, troubleshooting, illustrated assays, videos and webinars.

Video Protocols

WB Video Protocol
ICC/IF Video Protocol

FAQs for DBT Antibody (NBP1-89522) (0)

There are no specific FAQs related to this product. Read our general customer & technical service FAQs.

Secondary Antibodies

 

Isotype Controls

Additional DBT Products

Research Areas for DBT Antibody (NBP1-89522)

Find related products by research area.

Blogs on DBT

There are no specific blogs for DBT, but you can read our latest blog posts.

Customers Who Bought This Also Bought

Contact Information

Product PDFs

Calculators

Concentration Calculator

The concentration calculator allows you to quickly calculate the volume, mass or concentration of your vial. Simply enter your mass, volume, or concentration values for your reagent and the calculator will determine the rest.

=
÷

Review this Product

Be the first to review our DBT Antibody - BSA Free and receive a gift card or discount.

Bioinformatics

Gene Symbol DBT