Olig2 Antibody (OLIG2/7366R) - Azide and BSA Free

Images

 
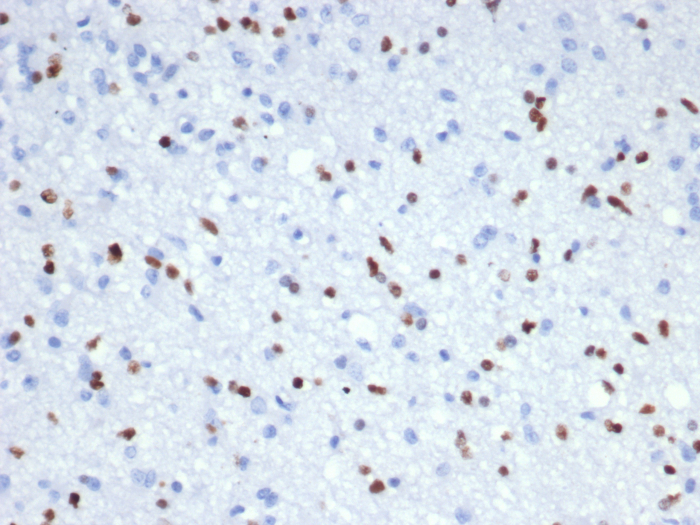
IHC analysis of FFPE human brain (RNA expression: 54.2 nTPM) stained with Olig2 antibody (OLIG2/7366R). HIER: Tris/EDTA, pH9.0, 45min. Secondary: HRP-polymer, 30min. DAB, 5min.
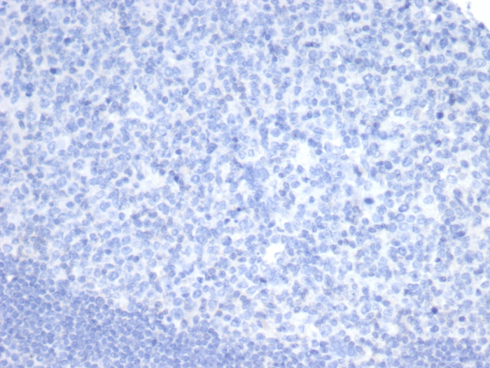
Olig2 antibody (OLIG2/7366R).0 nTPM). Negative tissue control using OLIG2 Recombinant Rabbit Monoclonal (OLIG2/7366R). HIER: Tris/EDTA, pH9.0, 45min. Secondary: HRP-polymer, 30min. DAB, 5min.

Product Details

Summary
Reactivity HuSpecies Glossary
Applications IHC
Clone
OLIG2/7366R
Clonality
Monoclonal
Host
Rabbit
Conjugate
Unconjugated
Format
Azide and BSA Free
Concentration
1 mg/ml

Order Details

Olig2 Antibody (OLIG2/7366R) - Azide and BSA Free Summary

Description
Positive Controls: THP-1 cells. Human brain or astrocytoma.

Antibody with azide - store at 2 to 8C. Antibody without azide - store at -20 to -80C. Non-hazardous. No MSDS required.
Additional Information
Recombinant Monoclonal Antibody
Immunogen
Recombinant fragment (around aa200-300) of human Olig2 protein (exact sequence is proprietary)
Localization
Nucleus. Cytoplasm.
Isotype
IgG Kappa
Clonality
Monoclonal
Host
Rabbit
Gene
OLIG2
Purity
Protein A or G purified
Innovator's Reward
Test in a species/application not listed above to receive a full credit towards a future purchase.

Applications/Dilutions

Dilutions
  • Immunohistochemistry-Paraffin 1-2 ug/ml
Application Notes
Immunohistochemistry (Formalin-fixed): 1-2ug/ml for 30 minutes. at RT. Staining of formalin-fixed tissues requires heating tissue sections in 10mM Tris with 1mM EDTA, pH 9.0, for 45 min at 95C followed by cooling at RT for 20 minutes.

Optimal dilution for a specific application should be determined.

Packaging, Storage & Formulations

Storage
Store at -20 to -70C. Avoid freeze-thaw cycles.
Buffer
10mM PBS
Preservative
No Preservative
Concentration
1 mg/ml
Purity
Protein A or G purified

Alternate Names for Olig2 Antibody (OLIG2/7366R) - Azide and BSA Free

  • BHLHB1
  • BHLHE19
  • Class B basic helix-loop-helix protein 1
  • Class E basic helix-loop-helix protein 19
  • human protein kinase C-binding protein RACK17
  • Olig2
  • OLIGO2
  • oligodendrocyte lineage transcription factor 2
  • oligodendrocyte transcription factor 2
  • oligodendrocyte-specific bHLH transcription factor 2
  • PRKCBP2
  • protein kinase C binding protein 2
  • Protein kinase C-binding protein 2
  • Protein kinase C-binding protein RACK17
  • RACK17
  • RACK17helix-loop-helix protein, class B, 1

Background

Olig2 is a transcription factor which is required for oligodendrocyte and motor neuron specification in the spinal cord, as well as for the development of somatic motor neurons in the hindbrain. OIlig2 is expressed in the ventral spinal cord as early as 9.5 dpc and is scattered in the mantle zone, likely corresponding to oligodendrocyte progenitors migrating out from their site of origin. (Arnett et al., 2004) From 10.5 through 14.5 dpc, Olig2 is expressed in numerous cells in the ventricular and subventricular zones of the lateral and medial ganglionic eminences, suggesting that expression might not be limited to the oligodendrocytic lineage. Olig2 has further been shown to be critical in the proliferation of malignant glioma in brain tumors (Ligon et al., 2007).

Limitations

This product is for research use only and is not approved for use in humans or in clinical diagnosis. Primary Antibodies are guaranteed for 1 year from date of receipt.

Customers Who Viewed This Item Also Viewed...

NB300-141
Species: Bv, Ch, Eq, Gp, Hu, Mu, Po, Rb, Rt
Applications: ICC/IF, IHC, IHC-Fr,  IHC-P, Simple Western, WB
MAB2417
Species: Hu
Applications: IHC, WB
NB600-717
Species: Bv
Applications: ELISA, ICC/IF, IHC, IHC-Fr,  IHC-P, RIA, RI, WB
NB100-2688
Species: Hu
Applications: Flow-CS, Flow, ICC/IF, IHC, IHC-Fr,  IHC-P, IP, KO, WB
AF2567
Species: Mu
Applications: IHC, WB
NBP1-82554
Species: Fe, Hu, Mu
Applications: ICC/IF, IHC, IHC-Fr,  IHC-P, KO, WB
NBP2-94913
Species: Hu, Mu, Rt
Applications: ELISA, IHC,  IHC-P, WB
AF2864
Species: Hu
Applications: ICC, IHC, WB
AF2307
Species: Hu
Applications: ELISA(Cap), ELISA(Det), ELISA(Sta), WB
NBP3-04784
Species: Hu, Mu, Rt
Applications: ELISA, ICC/IF, IHC,  IHC-P, WB
AF8150
Species: Hu
Applications: ICC, ICFlow, Simple Western, WB
MAB1259
Species: Hu
Applications: CyTOF-reported, ICC, ICFlow
233-FB
Species: Hu
Applications: BA
NBP1-87781
Species: Hu, Mu
Applications: IHC,  IHC-P, WB
MAB3314
Species: Hu, Rt
Applications: IHC
AF2018
Species: Hu, Mu, Rt
Applications: ChIP, ICC, IHC, Simple Western, WB
NBP1-49672
Species: Hu, Mu, Rt
Applications: ICC/IF, IHC, IHC-Fr,  IHC-P, In vitro, Simple Western, WB
NBP2-46617
Species: Hu, Mu, Rt
Applications: ICC/IF, IHC,  IHC-P, WB
NBP3-20891
Species: Hu
Applications: IHC

Publications for Olig2 Antibody (NBP3-20891) (0)

There are no publications for Olig2 Antibody (NBP3-20891).
By submitting your publication information earn gift cards and discounts for future purchases.

Reviews for Olig2 Antibody (NBP3-20891) (0)

There are no reviews for Olig2 Antibody (NBP3-20891). By submitting a review you will receive an Amazon e-Gift Card or Novus Product Discount.
  • Review with no image -- $10/€7/£6/$10 CAD/¥70 Yuan/¥1110 Yen
  • Review with an image -- $25/€18/£15/$25 CAD/¥150 Yuan/¥2500 Yen

Product General Protocols

Find general support by application which include: protocols, troubleshooting, illustrated assays, videos and webinars.

FAQs for Olig2 Antibody (NBP3-20891) (0)

There are no specific FAQs related to this product. Read our general customer & technical service FAQs.

Customers Who Bought This Also Bought

Contact Information

Product PDFs

Calculators

Concentration Calculator

The concentration calculator allows you to quickly calculate the volume, mass or concentration of your vial. Simply enter your mass, volume, or concentration values for your reagent and the calculator will determine the rest.

=
÷

Review this Product

Be the first to review our Olig2 Antibody (OLIG2/7366R) - Azide and BSA Free and receive a gift card or discount.

Bioinformatics

Gene Symbol OLIG2