NKX2.2 Antibody (CL11380) - Azide and BSA Free

Images

 
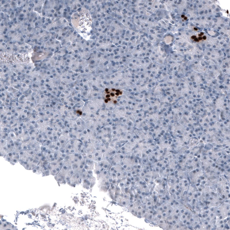
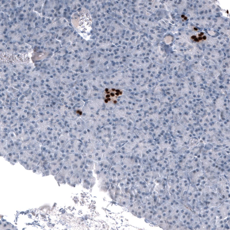
Orthogonal Strategies: Analysis in human cerebral cortex and liver tissues using NBP3-44133 antibody. Corresponding NKX2.2 RNA-seq data are presented for the same tissues.
Staining of human Cerebral cortex shows strong nuclear positivity in neuronal and glial cells.
Staining of human Pancreas shows strong nuclear positivity in islets of Langerhans.
Staining of human Liver shows no positivity in hepatocytes as expected.
Staining of human Stomach shows strong nuclear positivity in enteroendocrine cells.
Analysis in human cell line U-138MG.

Product Details

Summary
Reactivity HuSpecies Glossary
Applications WB, IHC
Clone
CL11380
Clonality
Monoclonal
Host
Mouse
Conjugate
Unconjugated
Format
Azide and BSA Free
Concentration
LYOPH
Validated by:
       

Orthogonal Strategies

 

Order Details

NKX2.2 Antibody (CL11380) - Azide and BSA Free Summary

Description
Novus Biologicals Mouse NKX2.2 Antibody (CL11380) - Azide and BSA Free (NBP3-21191) is a monoclonal antibody validated for use in IHC and WB. All Novus Biologicals antibodies are covered by our 100% guarantee.
Immunogen
This antibody was generated using a recombinant protein sequence of O95096, with the exact immunogen sequence remaining proprietary.
Isotype
IgG1
Clonality
Monoclonal
Host
Mouse
Gene
NKX2-2
Purity
Protein A purified
Innovator's Reward
Test in a species/application not listed above to receive a full credit towards a future purchase.

Applications/Dilutions

Dilutions
  • Immunohistochemistry-Paraffin 1:200 - 1:500
  • Western Blot 1 ug/ml
Application Notes
For IHC-Paraffin, HIER pH 6 retrieval is recommended.

Packaging, Storage & Formulations

Storage
Store at 4C short term. Aliquot and store at -20C long term. Avoid freeze-thaw cycles.
Buffer
Lyophilized from a 0.2 um filtered solution in PBS with Trehalose
Preservative
No Preservative
Concentration
LYOPH
Purity
Protein A purified
Reconstitution Instructions
Centrifuge the vial of lyophilized antibody at 12,000 x g for 20 seconds. Reconstitute by adding sterile, distilled water to achieve a final antibody concentration of 1mg/ml.

Alternate Names for NKX2.2 Antibody (CL11380) - Azide and BSA Free

  • Homeobox protein NK-2 homolog B
  • NK-2 (Drosophila) homolog B
  • NK2 homeobox 2
  • NK2 transcription factor related, locus 2 (Drosophila)
  • NK2 transcription factor related, locus 2
  • NK2 transcription factor-like protein B
  • NKX2.2
  • NKX2.2homeobox protein Nkx-2.2
  • NKX2B
  • NKX2BNK-2 homolog B

Background

Nkx2.2, or Homeobox protein Nkx-2.2, consists of a 273 amino acid isoform that is 30 kDa, and is involved in controlling and maintaining the expression of genes within pancreatic endocrine cells and axons. Current research is being conducted on the relationship between Nkx2.2 and a variety of diseases and disorders, including glioma, neuronitis, maturity-onset diabetes, pancreatitis, Partington syndrome, sarcoma, gastrointestinal neuroendocrine tumor, acute lymphoblastic leukemia, multiple sclerosis, and carcinoid tumors. The protein has been linked to the Wnt, Hedgehog, and notch pathways, as well as regulation of beta-cell development and gene expression. NKx2.2 interacts with several other proteins, including OLIG2, HDAC1, SIN3A, FOXA2, and FOXO1.

Limitations

This product is for research use only and is not approved for use in humans or in clinical diagnosis. Primary Antibodies are guaranteed for 1 year from date of receipt.

Customers Who Viewed This Item Also Viewed...

AF3444
Species: Hu
Applications: IHC, WB
NBP1-49672
Species: Hu, Mu, Rt
Applications: ICC/IF, IHC, IHC-Fr,  IHC-P, In vitro, Simple Western, WB
AF8150
Species: Hu
Applications: ICC, ICFlow, Simple Western, WB
MAB1417
Species: Bv, Hu, Mu
Applications: ICC, IHC
AF2419
Species: Hu
Applications: Dual ISH-IHC, ICC, IHC, Simple Western, WB
AF2418
Species: Hu, Mu, Rt
Applications: ChIP, Dual ISH-IHC, ICC, IHC, WB
AF2746
Species: Hu, Mu
Applications: ICC, WB
AF1837
Species: Hu
Applications: ICC, IHC, Simple Western, WB
AF2614
Species: Hu
Applications: ICC, WB
NBP1-84079
Species: Hu
Applications: IHC,  IHC-P, WB
AF2400
Species: Hu
Applications: ChIP, ICC, IHC, WB
AF2567
Species: Mu
Applications: IHC, WB
NBP2-37447
Species: Hu
Applications: CyTOF-ready, ELISA, Flow, ICC/IF, IHC,  IHC-P
MAB1249
Species: Hu, Mu
Applications: CyTOF-ready, ICC, ICFlow
NB600-717
Species: Bv
Applications: ELISA, ICC/IF, IHC, IHC-Fr,  IHC-P, RIA, RI, WB
NB100-1793
Species: Hu, Pm, Mu, Rt
Applications: Flow, IB, ICC/IF, IHC, IHC-Fr,  IHC-P, PEP-ELISA
NBP2-22218
Species: Hu, Mu
Applications: ICC/IF, IHC,  IHC-P, WB
MAB2417
Species: Hu
Applications: IHC, WB
AF2864
Species: Hu
Applications: ICC, IHC, WB

Publications for NKX2.2 Antibody (NBP3-44133) (0)

There are no publications for NKX2.2 Antibody (NBP3-44133).
By submitting your publication information earn gift cards and discounts for future purchases.

Reviews for NKX2.2 Antibody (NBP3-44133) (0)

There are no reviews for NKX2.2 Antibody (NBP3-44133). By submitting a review you will receive an Amazon e-Gift Card or Novus Product Discount.
  • Review with no image -- $10/€7/£6/$10 CAD/¥70 Yuan/¥1110 Yen
  • Review with an image -- $25/€18/£15/$25 CAD/¥150 Yuan/¥2500 Yen

Product General Protocols

Find general support by application which include: protocols, troubleshooting, illustrated assays, videos and webinars.

Video Protocols

WB Video Protocol

FAQs for NKX2.2 Antibody (NBP3-44133) (0)

There are no specific FAQs related to this product. Read our general customer & technical service FAQs.

Customers Who Bought This Also Bought

Contact Information

Product PDFs

Calculators

Concentration Calculator

The concentration calculator allows you to quickly calculate the volume, mass or concentration of your vial. Simply enter your mass, volume, or concentration values for your reagent and the calculator will determine the rest.

=
÷

Review this Product

Be the first to review our NKX2.2 Antibody (CL11380) - Azide and BSA Free and receive a gift card or discount.

Bioinformatics

Gene Symbol NKX2-2