MYH6 Antibody (CL2148) - Azide and BSA Free

Images

 
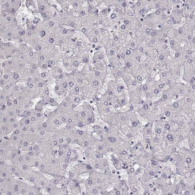
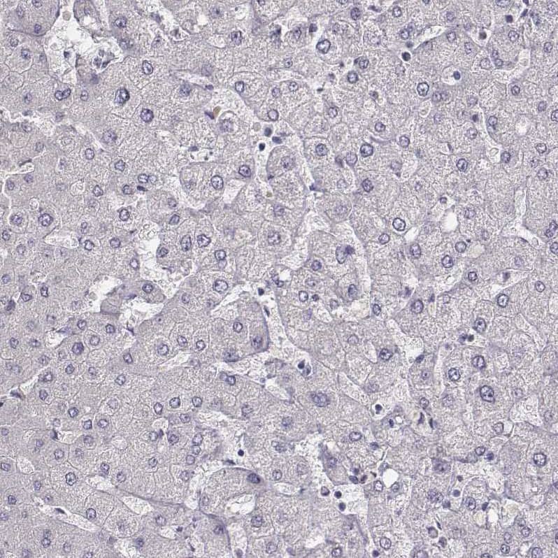
Orthogonal Strategies: Analysis in human heart muscle and liver tissues using NBP3-44471 antibody. Corresponding MYH6 RNA-seq data are presented for the same tissues.
Lane 1: Marker [kDa]Lane 2: Human skeletal muscle tissue lysate
Staining of human heart muscle shows very strong cytoplasmic positivity in cardiomyocytes.
Staining of human liver shows no positivity in hepatocytes as expected.
Staining of human skeletal muscle shows strong cytoplasmic positivity in striated muscle fibers.

Product Details

Summary
Reactivity HuSpecies Glossary
Applications WB, IHC
Clone
CL2148
Clonality
Monoclonal
Host
Mouse
Conjugate
Unconjugated
Format
Azide and BSA Free
Concentration
LYOPH
Validated by:
       

Orthogonal Strategies

 

Order Details

MYH6 Antibody (CL2148) - Azide and BSA Free Summary

Description
Novus Biologicals Mouse MYH6 Antibody (CL2148) - Azide and BSA Free (NBP2-36744) is a monoclonal antibody validated for use in IHC and WB. All Novus Biologicals antibodies are covered by our 100% guarantee.
Immunogen
This antibody was generated using a recombinant protein sequence of P13533, with the exact immunogen sequence remaining proprietary.
Isotype
IgG1
Clonality
Monoclonal
Host
Mouse
Gene
MYH6
Purity
Protein A purified
Innovator's Reward
Test in a species/application not listed above to receive a full credit towards a future purchase.

Applications/Dilutions

Dilutions
  • Immunohistochemistry-Paraffin 1:5000 - 1:10000
  • Western Blot 1 ug/ml
Application Notes
For IHC-Paraffin, HIER pH 6 retrieval is recommended.

Packaging, Storage & Formulations

Storage
Store at 4C short term. Aliquot and store at -20C long term. Avoid freeze-thaw cycles.
Buffer
Lyophilized from a 0.2 um filtered solution in PBS with Trehalose
Preservative
No Preservative
Concentration
LYOPH
Purity
Protein A purified
Reconstitution Instructions
Centrifuge the vial of lyophilized antibody at 12,000 x g for 20 seconds. Reconstitute by adding sterile, distilled water to achieve a final antibody concentration of 1mg/ml.

Alternate Names for MYH6 Antibody (CL2148) - Azide and BSA Free

  • alpha-MHC
  • ASD3
  • cardiomyopathy
  • CMD1EE
  • CMH14
  • Hypertrophic 1
  • MYH6
  • MYHC
  • MYHCA
  • MyHC-Alpha
  • Myosin Heavy Chain 6
  • Myosin Heavy Chain, Cardiac Muscle Alpha Isoform
  • Myosin, Heavy Chain 6, Cardiac Muscle, Alpha
  • Myosin, Heavy Polypeptide 6, Cardiac Muscle, Alpha (Cardiomyopathy, Hypertrophic 1)
  • Myosin-6
  • SSS3

Limitations

This product is for research use only and is not approved for use in humans or in clinical diagnosis. Primary Antibodies are guaranteed for 1 year from date of receipt.

Customers Who Viewed This Item Also Viewed...

NB120-6405
Species: Rt
Applications: B/N, CyTOF-ready, EM, ELISA, Flow-IC, Flow, ICC/IF, IHC, IHC-Fr,  IHC-P, IP
MAB9096
Species: Hu
Applications: IHC, WB
MAB4470
Species: All-Multi
Applications: Flow, ICC, IHC, WB
NB100-56511
Species: Hu, Mu
Applications: Flow, ICC/IF, IHC, IHC-Fr,  IHC-P, IP, KD, KO, WB
AF2444
Species: Hu
Applications: IHC, WB
MAB66861
Species: Hu
Applications: ICC, WB
AF3366
Species: Hu
Applications: ICC, IHC, Simple Western, WB
NBP2-94624
Species: Hu, Mu, Rt
Applications: ELISA, ICC/IF, WB
NBP2-19807
Species: Hu, Mu, Po, Rt
Applications: ICC/IF, IHC,  IHC-P, WB
291-G1
Species: Hu
Applications: BA
NBP2-92630
Species: Hu, Mu, Rt
Applications: ELISA, ICC/IF, IHC,  IHC-P, WB
NBP1-30249
Species: Hu, Mu, Xp
Applications: ELISA, Flow, ICC/IF, IHC, WB
NBP2-24585
Species: Hu, Mu
Applications: IHC,  IHC-P, WB
NB300-581
Species: Am, Ca, Gp, Hu, Mu, Po, Rb, Rt, Sh
Applications: Flow, ICC/IF, IHC, IHC-Fr,  IHC-P, IP, Simple Western, WB
NBP3-05634
Species: Hu, Mu, Rt
Applications: ELISA, ICC/IF, IHC,  IHC-P, WB
NBP1-89090
Species: Hu
Applications: IHC,  IHC-P
NBP2-95223
Species: Hu, Mu, Rt
Applications: ELISA, ICC/IF, IHC,  IHC-P, WB
AF3398
Species: Hu, Mu, Rt
Applications: ICC, KO, Simple Western, WB
NBP2-58917
Species: Hu
Applications: IHC,  IHC-P, WB
NBP3-44471
Species: Hu
Applications: WB, IHC

Publications for MYH6 Antibody (NBP3-44471) (0)

There are no publications for MYH6 Antibody (NBP3-44471).
By submitting your publication information earn gift cards and discounts for future purchases.

Reviews for MYH6 Antibody (NBP3-44471) (0)

There are no reviews for MYH6 Antibody (NBP3-44471). By submitting a review you will receive an Amazon e-Gift Card or Novus Product Discount.
  • Review with no image -- $10/€7/£6/$10 CAD/¥70 Yuan/¥1110 Yen
  • Review with an image -- $25/€18/£15/$25 CAD/¥150 Yuan/¥2500 Yen

Product General Protocols

Find general support by application which include: protocols, troubleshooting, illustrated assays, videos and webinars.

Video Protocols

WB Video Protocol

FAQs for MYH6 Antibody (NBP3-44471) (0)

There are no specific FAQs related to this product. Read our general customer & technical service FAQs.

Secondary Antibodies

 

Isotype Controls

Additional MYH6 Products

Research Areas for MYH6 Antibody (NBP3-44471)

Find related products by research area.

Blogs on MYH6

There are no specific blogs for MYH6, but you can read our latest blog posts.

Customers Who Bought This Also Bought

Contact Information

Product PDFs

Calculators

Concentration Calculator

The concentration calculator allows you to quickly calculate the volume, mass or concentration of your vial. Simply enter your mass, volume, or concentration values for your reagent and the calculator will determine the rest.

=
÷

Review this Product

Be the first to review our MYH6 Antibody (CL2148) - Azide and BSA Free and receive a gift card or discount.

Bioinformatics

Gene Symbol MYH6