Lysyl Oxidase Homolog 2/LOXL2 Antibody (OTI8B2) - Azide and BSA Free

Images

 
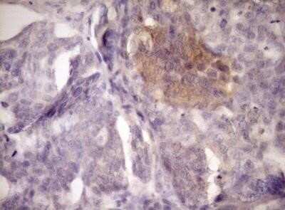
Immunohistochemistry: Lysyl Oxidase Homolog 2/LOXL2 Antibody (OTI8B2) - Azide and BSA Free [NBP2-72558] - Analysis of Adenocarcinoma of Human ovary tissue. (Heat-induced epitope retrieval by Tris-EDTA, pH8.0)
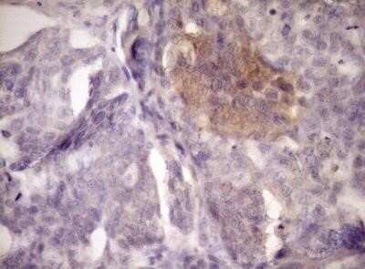
Immunohistochemistry: Lysyl Oxidase Homolog 2/LOXL2 Antibody (OTI8B2) - Azide and BSA Free [NBP2-72558] - Analysis of Human endometrium tissue. (Heat-induced epitope retrieval by Tris-EDTA, pH8.0)

Product Details

Summary
Reactivity Hu, Mu, RtSpecies Glossary
Applications IHC
Clone
OTI8B2
Clonality
Monoclonal
Host
Mouse
Conjugate
Unconjugated
Format
Azide and BSA Free
Concentration
LYOPH

Order Details

Lysyl Oxidase Homolog 2/LOXL2 Antibody (OTI8B2) - Azide and BSA Free Summary

Description
Novus Biologicals Mouse Lysyl Oxidase Homolog 2/LOXL2 Antibody (OTI8B2) - Azide and BSA Free (NBP2-45669) is a monoclonal antibody validated for use in IHC. All Novus Biologicals antibodies are covered by our 100% guarantee.
Immunogen
Human recombinant protein fragment corresponding to amino acids 152-450 of human LOXL2(NP_002309) produced in E.coli.
Isotype
IgG2a
Clonality
Monoclonal
Host
Mouse
Gene
LOXL2
Purity
Immunogen affinity purified
Innovator's Reward
Test in a species/application not listed above to receive a full credit towards a future purchase.

Applications/Dilutions

Dilutions
  • Immunohistochemistry 1:150
  • Immunohistochemistry-Paraffin
Theoretical MW
84 kDa.
Disclaimer note: The observed molecular weight of the protein may vary from the listed predicted molecular weight due to post translational modifications, post translation cleavages, relative charges, and other experimental factors.

Reactivity Notes

Please note that this antibody is reactive to Mouse and derived from the same host, Mouse. Mouse-On-Mouse blocking reagent may be needed for IHC and ICC experiments to reduce high background signal. You can find these reagents under catalog numbers PK-2200-NB and MP-2400-NB. Please contact Technical Support if you have any questions.

Packaging, Storage & Formulations

Storage
Store at -20C. Avoid freeze-thaw cycles.
Buffer
Lyophilized from PBS (pH 7.3) with 8% Trehalose
Preservative
No Preservative
Concentration
LYOPH
Purity
Immunogen affinity purified
Reconstitution Instructions
we recommend adding 100uL distilled water to a final antibody concentration of about 1 mg/mL. To use this carrier-free antibody for conjugation experiment, we strongly recommend performing another round of desalting process.

Alternate Names for Lysyl Oxidase Homolog 2/LOXL2 Antibody (OTI8B2) - Azide and BSA Free

  • EC 1.4.3
  • EC 1.4.3.-
  • LOL2
  • LOR2
  • LOXL2
  • Lysyl Oxidase Homolog 2
  • lysyl oxidase related 2
  • lysyl oxidase-like 2
  • Lysyl oxidase-like protein 2
  • Lysyl oxidase-related protein 2
  • Lysyl oxidase-related protein WS9-14
  • WS9-14

Background

LOXL2 encodes a member of the lysyl oxidase gene family. The prototypic member of the family is essential to the biogenesis of connective tissue, encoding an extracellular copper-dependent amine oxidase that catalyses the first step in the formation of crosslinks in collagens and elastin. A highly conserved amino acid sequence at the C-terminus end appears to be sufficient for amine oxidase activity, suggesting that each family member may retain this function. The N-terminus is poorly conserved and may impart additional roles in developmental regulation, senescence, tumor suppression, cell growth control, and chemotaxis to each member of the family. [provided by RefSeq]

Limitations

This product is for research use only and is not approved for use in humans or in clinical diagnosis. Primary Antibodies are guaranteed for 1 year from date of receipt.

Customers Who Viewed This Item Also Viewed...

NB100-2527
Species: Hu, Mu, Po, Rt
Applications: ICC/IF, IHC,  IHC-P, KD, Simple Western, WB
NBP2-75964
Species: Hu, Mu, Rt
Applications: ICC/IF, IHC,  IHC-P, WB
H00004016-D01P
Species: Hu, Mu
Applications: ICC/IF, IHC, Simple Western, WB
NB100-2076
Species: Bv, Fe, Hu, Rb
Applications: ICC/IF, IHC, IHC-Fr,  IHC-P, WB
NBP2-32692
Species: Hu, Mu
Applications: ICC/IF, IHC,  IHC-P
NBP1-83976
Species: Hu
Applications: ICC/IF, IHC,  IHC-P
NB100-807
Species: Hu
Applications: ICC/IF, PEP-ELISA, WB
AF748
Species: Hu, Mu
Applications: CyTOF-ready, Dual ISH-IHC, Flow, ICC, IHC, Simple Western, WB
AF3639
Species: Hu
Applications: ChIP, ICC, ICFlow, WB
NBP3-03807
Species: Hu, Mu, Rt
Applications: ICC/IF, IP, WB
DGB300
Species: Hu
Applications: ELISA
NBP1-91258
Species: Bv, Ca, Eq, Fe, Hu, Mu, Po, Rt
Applications: ICC/IF, IHC, IHC-Fr,  IHC-P, Simple Western, WB
NB100-105
Species: Bv, Ca, Fe, Ma, Hu, Pm, Mu, Po, Pm, Rb, Rt, Sh, Xp
Applications: ChIP, ChIP, ELISA, Flow, GS, IA, IB, ICC/IF, IHC-FrFl, IHC, IHC-Fr,  IHC-P, IP, In vitro, KD, KO, LA, PLA, Simple Western, TCS, WB
DMP900
Species: Hu
Applications: ELISA
DTM100
Species: Hu
Applications: ELISA
NBP1-86636
Species: Hu, Rt
Applications: ICC/IF, IHC,  IHC-P, WB
NBP2-34594
Species: Hu, Pm
Applications: CyTOF-ready, Flow, ICC/IF, IHC,  IHC-P
NBP2-45269
Species: Hu
Applications: Flow, ICC/IF, IHC,  IHC-P, WB
NB500-171
Species: Hu, I, Mu, Rt, Xp, Ye
Applications: ChIP, IB, ICC/IF, IHC,  IHC-P, Single-Cell Western, WB
NBP2-72558
Species: Hu, Mu, Rt
Applications: IHC

Publications for Lysyl Oxidase Homolog 2/LOXL2 Antibody (NBP2-72558) (0)

There are no publications for Lysyl Oxidase Homolog 2/LOXL2 Antibody (NBP2-72558).
By submitting your publication information earn gift cards and discounts for future purchases.

Reviews for Lysyl Oxidase Homolog 2/LOXL2 Antibody (NBP2-72558) (0)

There are no reviews for Lysyl Oxidase Homolog 2/LOXL2 Antibody (NBP2-72558). By submitting a review you will receive an Amazon e-Gift Card or Novus Product Discount.
  • Review with no image -- $10/€7/£6/$10 CAD/¥70 Yuan/¥1110 Yen
  • Review with an image -- $25/€18/£15/$25 CAD/¥150 Yuan/¥2500 Yen

Product General Protocols

Find general support by application which include: protocols, troubleshooting, illustrated assays, videos and webinars.

FAQs for Lysyl Oxidase Homolog 2/LOXL2 Antibody (NBP2-72558) (0)

There are no specific FAQs related to this product. Read our general customer & technical service FAQs.

Customers Who Bought This Also Bought

Contact Information

Product PDFs

Calculators

Concentration Calculator

The concentration calculator allows you to quickly calculate the volume, mass or concentration of your vial. Simply enter your mass, volume, or concentration values for your reagent and the calculator will determine the rest.

=
÷

Review this Product

Be the first to review our Lysyl Oxidase Homolog 2/LOXL2 Antibody (OTI8B2) - Azide and BSA Free and receive a gift card or discount.

Bioinformatics

Gene Symbol LOXL2