Integrin beta 3/CD61 Antibody (CL7319) - Azide and BSA Free

Images

 
Orthogonal Strategies: Analysis in human thyroid gland and pancreas tissues using NBP3-44448 antibody. Corresponding Integrin beta 3/CD61 RNA-seq data are presented for the same tissues.
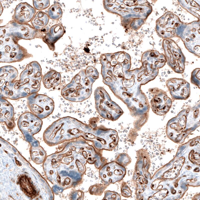
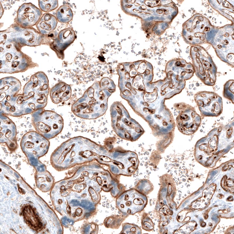
Staining of human placenta shows moderate membranous immunoreactivity in trophoblastic cells, as well as positivity in blood vessels.
Staining of human pancreas shows no positivity in exocrine glandular cells as expected.
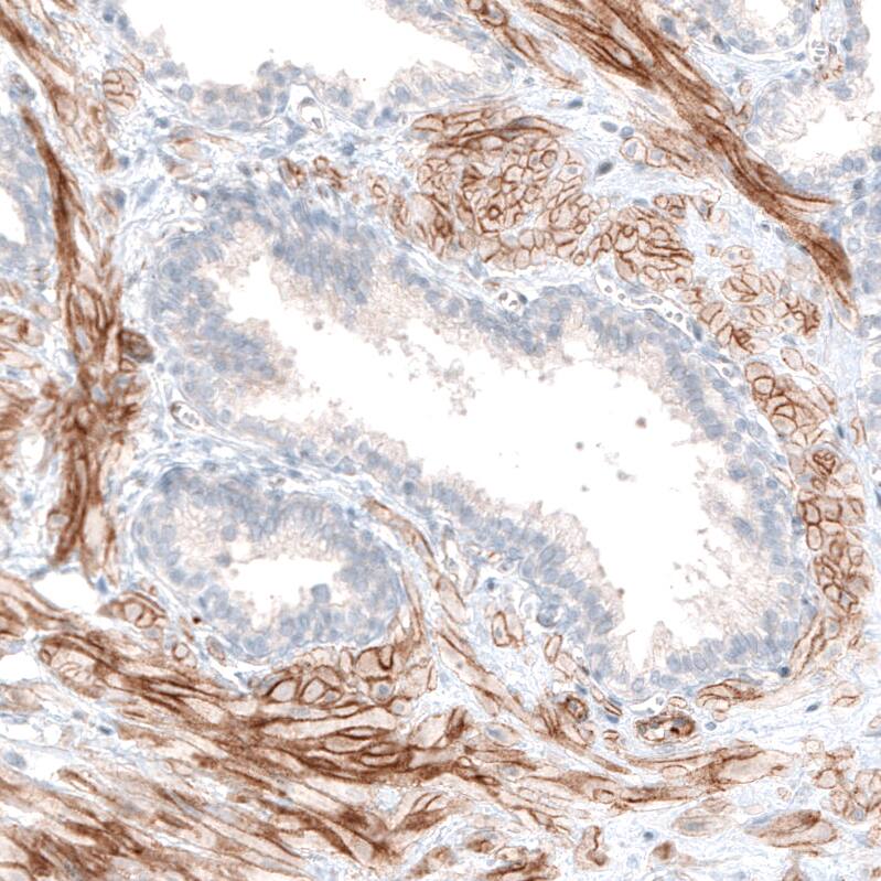
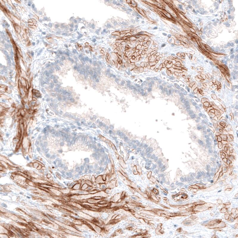
Staining of human prostate shows moderate membranous positivity in smooth muscle cells.
Analysis in human cell line EFO-21.
Staining of human thyroid gland shows moderate membranous positivity in glandular cells.

Product Details

Summary
Reactivity HuSpecies Glossary
Applications WB, IHC
Clone
CL7319
Clonality
Monoclonal
Host
Mouse
Conjugate
Unconjugated
Format
Azide and BSA Free
Concentration
LYOPH
Validated by:
       

Orthogonal Strategies

 

Order Details

Integrin beta 3/CD61 Antibody (CL7319) - Azide and BSA Free Summary

Description
Novus Biologicals Mouse Integrin beta 3/CD61 Antibody (CL7319) - Azide and BSA Free (NBP2-76484) is a monoclonal antibody validated for use in IHC and WB. All Novus Biologicals antibodies are covered by our 100% guarantee.
Immunogen
This antibody was generated using a recombinant protein sequence of P05106, with the exact immunogen sequence remaining proprietary.
Isotype
IgG1
Clonality
Monoclonal
Host
Mouse
Gene
ITGB3
Purity
Protein A purified
Innovator's Reward
Test in a species/application not listed above to receive a full credit towards a future purchase.

Applications/Dilutions

Dilutions
  • Immunohistochemistry-Paraffin 1:200 - 1:500
  • Western Blot 1 ug/ml
Application Notes
For IHC-Paraffin, HIER pH 6 retrieval is recommended.

Packaging, Storage & Formulations

Storage
Store at 4C short term. Aliquot and store at -20C long term. Avoid freeze-thaw cycles.
Buffer
Lyophilized from a 0.2 um filtered solution in PBS with Trehalose
Preservative
No Preservative
Concentration
LYOPH
Purity
Protein A purified
Reconstitution Instructions
Centrifuge the vial of lyophilized antibody at 12,000 x g for 20 seconds. Reconstitute by adding sterile, distilled water to achieve a final antibody concentration of 1mg/ml.

Alternate Names for Integrin beta 3/CD61 Antibody (CL7319) - Azide and BSA Free

  • CD61 antigen
  • CD61
  • GP3A
  • GP3Aplatelet glycoprotein IIIa
  • GPIIIA
  • GPIIIaintegrin beta-3
  • INGRB3
  • Integrin beta 3
  • integrin, beta 3 (platelet glycoprotein IIIa, antigen CD61)
  • ITG B3
  • ITGB3
  • Platelet membrane glycoprotein IIIa

Background

Platelet membrane glycoprotein Integrin beta-3 (GP IIIa) forms a Ca2+-dependent heterodimer complex with GP IIb. The GP IIb-IIIa complex constitutes the fibrinogen and fibronectin receptor on stimulated platelets. A biochemically and immunologically similar membrane glycoprotein complex is present on endothelial cells. Homology suggests that GP IIIa is a member of a family of cell-surface adhesion receptors. (1) Data provide further support for the key role of the cytoplasmic domain of the beta3 integrin in cell adhesion and suggest a potential role for the beta3C integrin subunit in modulating cell-matrix interactions (2). It has been demonstrated that the beta 3 subunit of alpha IIb beta 3 was phosphorylated on tyrosine residues in response to thrombin-induced platelet aggregation. Data suggest that tyrosine phosphorylation of an integrin beta subunit may be important in initiating outside-in signaling cascades by inducing association of signaling components directly with the integrin (3). be important in initiating outside-in signaling cascades by inducing association of signaling components directly with the integrin (3).

Limitations

This product is for research use only and is not approved for use in humans or in clinical diagnosis. Primary Antibodies are guaranteed for 1 year from date of receipt.

Customers Who Viewed This Item Also Viewed...

MAB7616
Species: Hu
Applications: CyTOF-ready, Flow, WB
NB110-68136
Species: Fe, Hu, Mu, Rt
Applications: CyTOF-ready, ELISA, Flow-IC, Flow, ICC/IF, IHC, IHC-Fr,  IHC-P, WB
NBP1-81858
Species: Hu
Applications: IHC,  IHC-P, WB
7268-CT
Species: Hu
Applications: BA
NB100-524
Species: Hu, Mu
Applications: Flow-IC, Flow, ICC/IF, IHC, IHC-Fr,  IHC-P, IP, WB
NBP2-79843
Species: Hu
Applications: CyTOF-ready, ELISA, Flow, ICC/IF, IHC,  IHC-P, PA, WB
137-PS
Species: Hu
Applications: BA
NBP1-97507
Species: Bv, Ca, Hu, Mu, Rt
Applications: Flow, ICC/IF, IHC,  IHC-P, Simple Western, WB
NBP1-76544
Species: Hu, Mu, Rt
Applications: ELISA, ICC/IF, IHC,  IHC-P, Simple Western, WB
NBP1-88866
Species: Hu
Applications: IHC,  IHC-P
MAB1417
Species: Bv, Hu, Mu
Applications: ICC, IHC
NB300-500
Species: Am, Bv, Ca, Dr, Hu, Mu, Po, Rt, Sh
Applications: IHC, IHC-Fr,  IHC-P, WB
NBP1-89296
Species: Hu
Applications: IHC,  IHC-P, WB
AF4117
Species: Rt
Applications: IHC, WB
NBP2-25160
Species: Bv, Ca, Eq, Hu, Mu, Po, Rt
Applications: ICC/IF, IHC, WB
NB600-586
Species: Ca, Fe, Hu, Mu
Applications: Dual ISH-IHC, ICC/IF, IHC, IHC-Fr,  IHC-P
NB600-232
Species: Hu, Mu
Applications: ChIP, IHC,  IHC-P, IP, WB

Publications for Integrin beta 3/CD61 Antibody (NBP3-44448) (0)

There are no publications for Integrin beta 3/CD61 Antibody (NBP3-44448).
By submitting your publication information earn gift cards and discounts for future purchases.

Reviews for Integrin beta 3/CD61 Antibody (NBP3-44448) (0)

There are no reviews for Integrin beta 3/CD61 Antibody (NBP3-44448). By submitting a review you will receive an Amazon e-Gift Card or Novus Product Discount.
  • Review with no image -- $10/€7/£6/$10 CAD/¥70 Yuan/¥1110 Yen
  • Review with an image -- $25/€18/£15/$25 CAD/¥150 Yuan/¥2500 Yen

Product General Protocols

Find general support by application which include: protocols, troubleshooting, illustrated assays, videos and webinars.

Video Protocols

WB Video Protocol

FAQs for Integrin beta 3/CD61 Antibody (NBP3-44448) (0)

There are no specific FAQs related to this product. Read our general customer & technical service FAQs.

Secondary Antibodies

 

Isotype Controls

Additional Integrin beta 3/CD61 Products

Research Areas for Integrin beta 3/CD61 Antibody (NBP3-44448)

Find related products by research area.

Blogs on Integrin beta 3/CD61

There are no specific blogs for Integrin beta 3/CD61, but you can read our latest blog posts.

Customers Who Bought This Also Bought

Contact Information

Product PDFs

Calculators

Concentration Calculator

The concentration calculator allows you to quickly calculate the volume, mass or concentration of your vial. Simply enter your mass, volume, or concentration values for your reagent and the calculator will determine the rest.

=
÷

Review this Product

Be the first to review our Integrin beta 3/CD61 Antibody (CL7319) - Azide and BSA Free and receive a gift card or discount.

Bioinformatics

Gene Symbol ITGB3