Integrin beta 1/CD29 Antibody (CL15622) - Azide and BSA Free

Images

 
Orthogonal Strategies: Analysis in human placenta and cerebral cortex tissues using NBP3-44158 antibody. Corresponding Integrin beta 1/CD29 RNA-seq data are presented for the same tissues.
Staining of human cerebral cortex shows strong positivity in endothelial cells.
Staining of human liver shows strong positivity in sinusoids, as well as weaker membranous positivity in hepatocytes.
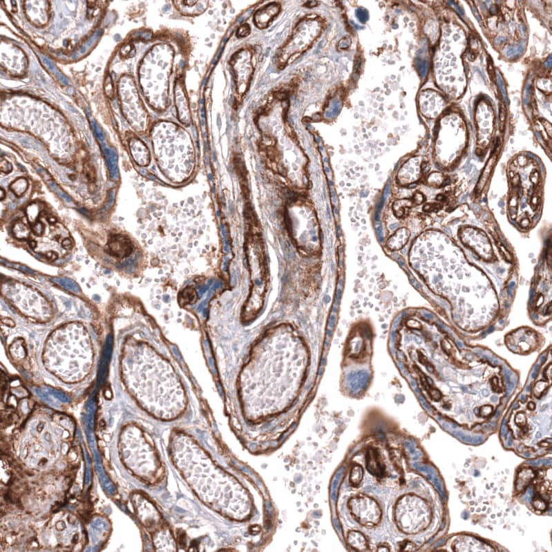
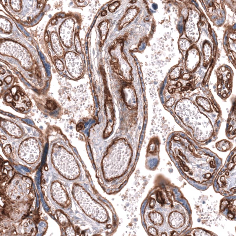
Staining of human placenta shows strong membranous positivity in endothelial cells.
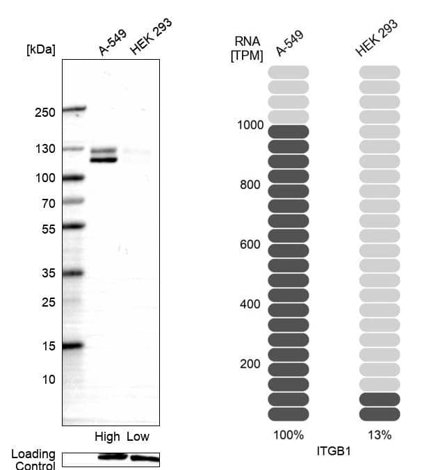
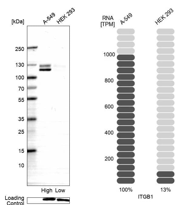
Orthogonal Strategies: Analysis in human cell lines A-549 and HEK293 using Anti-Integrin beta 1/CD29 antibody. Corresponding Integrin beta 1/CD29 RNA-seq data are presented for the same cell lines. Loading ...read more
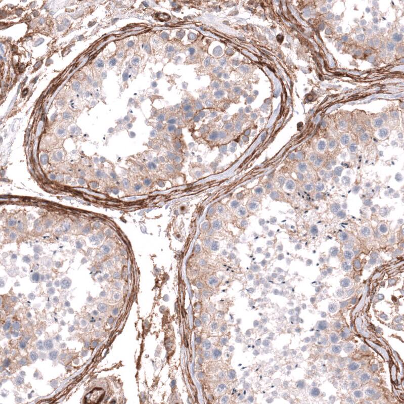
Staining of human testis shows strong membranous positivity in peritubular myoid cells.

Product Details

Summary
Reactivity HuSpecies Glossary
Applications WB, IHC
Clone
CL15622
Clonality
Monoclonal
Host
Mouse
Conjugate
Unconjugated
Format
Azide and BSA Free
Concentration
LYOPH
Validated by:
       

Orthogonal Strategies

 

Order Details

Integrin beta 1/CD29 Antibody (CL15622) - Azide and BSA Free Summary

Description
Novus Biologicals Mouse Integrin beta 1/CD29 Antibody (CL15622) - Azide and BSA Free (NBP3-43676) is a monoclonal antibody validated for use in IHC and WB. All Novus Biologicals antibodies are covered by our 100% guarantee.
Immunogen
This antibody was generated using a recombinant protein sequence of P05556, with the exact immunogen sequence remaining proprietary.
Isotype
IgG1
Clonality
Monoclonal
Host
Mouse
Gene
ITGB1
Purity
Protein A purified
Innovator's Reward
Test in a species/application not listed above to receive a full credit towards a future purchase.

Applications/Dilutions

Dilutions
  • Immunohistochemistry-Paraffin 1:2500-1:5000
  • Western Blot 1 ug/ml
Application Notes
For IHC-Paraffin, HIER pH 6 retrieval is recommended.

Packaging, Storage & Formulations

Storage
Store at 4C short term. Aliquot and store at -20C long term. Avoid freeze-thaw cycles.
Buffer
Lyophilized from a 0.2 um filtered solution in PBS with Trehalose
Preservative
No Preservative
Concentration
LYOPH
Purity
Protein A purified
Reconstitution Instructions
Centrifuge the vial of lyophilized antibody at 12,000 x g for 20 seconds. Reconstitute by adding sterile, distilled water to achieve a final antibody concentration of 1mg/ml.

Alternate Names for Integrin beta 1/CD29 Antibody (CL15622) - Azide and BSA Free

  • CD29 antigen
  • CD29
  • Fibronectin receptor subunit beta
  • FNRBVLAB
  • GPIIA
  • Integrin beta 1
  • integrin beta-1
  • integrin VLA-4 beta subunit
  • integrin, beta 1 (fibronectin receptor, beta polypeptide, antigen CD29 includesMDF2, MSK12)
  • ITGB1
  • MDF2
  • MSK12
  • very late activation protein, beta polypeptide
  • VLA-4 subunit beta
  • VLA-BETA

Background

Integrin beta-1 (ITGB1, CD29, VLA-beta) is the beta subunit found in the integrin families, forming a heterodimer integrin receptor through non-covalent bonding with various integrin alpha subunits. Integrin heterodimer containing Integrin beta-1 binds to various cell surface and extracellular proteins (CD49a-f, CD51) to mediate cell to cell and cell to matrix adhesion (1). Integrin beta-1 plays a critical role in the cell adhesion and recognition in embryogenesis, hemostasis, immune response, tissue repair, metastatic diffusion of tumor cells and development (2, 3, 4).

Limitations

This product is for research use only and is not approved for use in humans or in clinical diagnosis. Primary Antibodies are guaranteed for 1 year from date of receipt.

Customers Who Viewed This Item Also Viewed...

NBP1-91258
Species: Bv, Ca, Eq, Fe, Hu, Mu, Po, Rt
Applications: ICC/IF, IHC, IHC-Fr,  IHC-P, Simple Western, WB
7268-CT
Species: Hu
Applications: BA
NBP2-79843
Species: Hu
Applications: CyTOF-ready, ELISA, Flow, ICC/IF, IHC,  IHC-P, PA, WB
NB100-524
Species: Hu, Mu
Applications: Flow-IC, Flow, ICC/IF, IHC, IHC-Fr,  IHC-P, IP, WB
BBA10
Species: Hu
Applications: CyTOF-ready, Flow, IHC, IP, KO, Simple Western, WB
AF114
Species: Mu
Applications: CyTOF-ready, Flow, ICC, IHC, WB
NBP2-67327
Species: Hu, Mu, Rt
Applications: Flow, ICC/IF, IHC,  IHC-P, IP, WB
AF1730
Species: Hu
Applications: AdBlk, CyTOF-ready, Flow, ICC
AF796
Species: Mu
Applications: AdBlk, IHC, WB
AF4117
Species: Rt
Applications: IHC, WB
AF629
Species: Hu
Applications: CyTOF-ready, Flow, InhibCellGro, WB
MAB3595
Species: Hu
Applications: CyTOF-ready, Flow, Simple Western, WB
AF1320
Species: Mu
Applications: CyTOF-ready, Flow, ICC, IHC, Simple Western, WB
NBP1-77333
Species: Hu, I, Mu, Rt
Applications: ELISA, ICC/IF, WB
AF1230
Species: Hu, Mu, Rt
Applications: IHC, KO, WB
NBP1-19371
Species: Ca, Hu, Mu, Po, Rb, Rt
Applications: Dual ISH-IHC, Flow, ICC/IF, IHC, IHC-Fr,  IHC-P, Simple Western, WB
AF2067
Species: Ca, Hu, Po
Applications: CyTOF-ready, Flow, ICC, IHC, WB
NB110-89474
Species: Bv, Ce, ChHa, Hu, Pm, Mu, Rt, RM
Applications: Dual ISH-IHC, Flow-CS, Flow, ICC/IF, IHC, IHC-Fr,  IHC-P, ISH, Simple Western, Single-Cell Western, WB
202-IL
Species: Hu
Applications: BA

Publications for Integrin beta 1/CD29 Antibody (NBP3-44158) (0)

There are no publications for Integrin beta 1/CD29 Antibody (NBP3-44158).
By submitting your publication information earn gift cards and discounts for future purchases.

Reviews for Integrin beta 1/CD29 Antibody (NBP3-44158) (0)

There are no reviews for Integrin beta 1/CD29 Antibody (NBP3-44158). By submitting a review you will receive an Amazon e-Gift Card or Novus Product Discount.
  • Review with no image -- $10/€7/£6/$10 CAD/¥70 Yuan/¥1110 Yen
  • Review with an image -- $25/€18/£15/$25 CAD/¥150 Yuan/¥2500 Yen

Product General Protocols

Find general support by application which include: protocols, troubleshooting, illustrated assays, videos and webinars.

Video Protocols

WB Video Protocol

FAQs for Integrin beta 1/CD29 Antibody (NBP3-44158). (Showing 1 - 1 of 1 FAQ).

  1. I'm looking for a good antibody for integrins that works in rats. I would need it for Western Blot, Immunocyto- as well as Immunohistochemistry. I'm especially interested in beta1.
    • I would recommend NB110-57123 as it has been validated using rat samples in WB, IHC-P, and FACS. Although we do not list ICC on the datasheet for this antibody I believe it will work in ICC because it works in Flow Cytometry and has been validated to stain tissue. We have several other Integrin targets. To search for what you are looking for I recommend typing Integrin into the search area at the top of our website, then review the list of suggested targets that poplulate below the search. Once you click on a particular Integrin you can narrow the results with our filter. I recommend filtering to primary antibodies, by target name, species of interest you can filter to rat. If you so choose you can also filter further by application, host, clonality, etc.

Secondary Antibodies

 

Isotype Controls

Additional Integrin beta 1/CD29 Products

Research Areas for Integrin beta 1/CD29 Antibody (NBP3-44158)

Find related products by research area.

Blogs on Integrin beta 1/CD29.

Integrin Beta 1/CD29 - a cell adhesion and cell signaling protein with diverse functions
Integrins are a large family of trasmembrane proteins involved in cell adhesion and form a link between the intracellular cyskeletal proteins and extracellular matrix proteins. Integrins exist as heterodimers consisting of alpha and beta subunits. ...  Read full blog post.

Customers Who Bought This Also Bought

Contact Information

Product PDFs

Calculators

Concentration Calculator

The concentration calculator allows you to quickly calculate the volume, mass or concentration of your vial. Simply enter your mass, volume, or concentration values for your reagent and the calculator will determine the rest.

=
÷

Review this Product

Be the first to review our Integrin beta 1/CD29 Antibody (CL15622) - Azide and BSA Free and receive a gift card or discount.

Bioinformatics

Gene Symbol ITGB1