IFT122 Antibody - BSA Free

Images

 
Lane 1: Marker [kDa] 250, 130, 95, 72, 55, 36, 28, 17, 10Lane 2: Human cell line RT-4Lane 3: Human cell line U-251MG sp
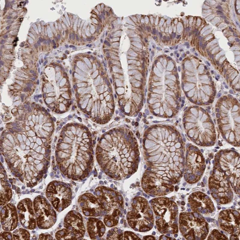
Staining of human stomach shows strong cytoplasmic positivity in glandular cells.

Product Details

Summary
Reactivity Hu, Mu, RtSpecies Glossary
Applications WB, IHC
Clonality
Polyclonal
Host
Rabbit
Conjugate
Unconjugated
Format
BSA Free

Order Details

View Available Formulations
Catalog# & Formulation Size Price

IFT122 Antibody - BSA Free Summary

Description
Novus Biologicals Rabbit IFT122 Antibody - BSA Free (NBP1-87014) is a polyclonal antibody validated for use in IHC and WB. Anti-IFT122 Antibody: Cited in 1 publication. All Novus Biologicals antibodies are covered by our 100% guarantee.
Immunogen
This antibody was developed against Recombinant Protein corresponding to amino acids: ITKQADWARNIKEPKAAVEMYISAGEHVKAIEICGDHGWVDMLIDIARKLDKAEREPLLLCATYLKKLDSPGYAAETYLKMGDLK
Predicted Species
Mouse (91%), Rat (91%). Backed by our 100% Guarantee.
Isotype
IgG
Clonality
Polyclonal
Host
Rabbit
Gene
IFT122
Purity
Immunogen affinity purified
Innovator's Reward
Test in a species/application not listed above to receive a full credit towards a future purchase.

Applications/Dilutions

Dilutions
  • Immunohistochemistry 1:1000 - 1:2500
  • Immunohistochemistry-Paraffin 1:1000 - 1:2500
  • Western Blot 0.04-0.4 ug/ml
Application Notes
For IHC-Paraffin, HIER pH 6 retrieval is recommended. Immunocytochemistry/Immunofluorescence Fixation Permeabilization: Use PFA/Triton X-100.
Control Peptide
IFT122 Protein (NBP1-87014PEP)
Publications
Read Publication using NBP1-87014.

Reactivity Notes

Reactivity reported in scientific literature (PMID: 23435261)

Packaging, Storage & Formulations

Storage
Store at 4C short term. Aliquot and store at -20C long term. Avoid freeze-thaw cycles.
Buffer
PBS (pH 7.2) and 40% Glycerol
Preservative
0.02% Sodium Azide
Purity
Immunogen affinity purified

Alternate Names for IFT122 Antibody - BSA Free

  • intraflagellar transport 122 homolog (Chlamydomonas)
  • intraflagellar transport protein 122 homolog
  • SPGWD repeat-containing protein 140
  • WD repeat domain 10
  • WD repeat-containing protein 10
  • WDR10WDR10p
  • WDR140CED

Background

IFT122 is a gene that codes for a protein necessary for cilia formation during neuronal patterning, as it recruits TULP3 to primary cilia and works as a negative regulator of Shh signaling. IFT122 has five isoforms, with lengths of 1241, 1242, 1182, 1131, and 1292 amino acids and weights of 142, 142, 135, 129, and 147 kDa respectively. Current studies are being done on several diseases and disorders including Japanese spotted fever, endemic typhus, vasomer rhinitis, trigeminal neuralgia, synostosis, brachydactyly, paraplegia, neuronitis, and hepatitis. IFT122 has also been shown to have interactions with UBC, IQCB1, and ORF.

Limitations

This product is for research use only and is not approved for use in humans or in clinical diagnosis. Primary Antibodies are guaranteed for 1 year from date of receipt.

Customers Who Viewed This Item Also Viewed...

DY413
Species: Mu
Applications: ELISA
AF231
Species: Hu
Applications: CyTOF-ready, Dual ISH-IHC, ELISA(Cap), ELISA(Det), ELISA(Sta), Flow, ICC, IHC, IP, Simple Western, WB
MAB1455
Species: Hu
Applications: CyTOF-ready, Dual ISH-IHC, ICC, IHC, ICFlow, Simple Western, WB
AF1759
Species: Hu, Mu
Applications: ChIP, ICC, IP, Simple Western, WB
212-GD
Species: Hu
Applications: Bind, BA
236-EG
Species: Hu
Applications: BA
6507-IL/CF
Species: Hu
Applications: BA
423-F8
Species: Hu, Mu
Applications: BA
H00006683-M02
Species: Hu
Applications: ELISA, ICC/IF, IHC,  IHC-P, WB
MAB8930
Species: Hu
Applications: ICC, Simple Western, WB
NBP2-50037
Species: Hu, Mu, Rt
Applications: ICC/IF, IHC, KO, WB
NBP1-89946
Species: Hu
Applications: ICC/IF, IHC,  IHC-P
M6000B
Species: Mu
Applications: ELISA
NB500-106
Species: Ch, Dr, Fi, Hu, Mar, Mu, Po, Pm, Rb, Rt, Ye, Ze
Applications: ChIP, ChIP, ELISA, Flow, ICC/IF, IHC-FrFl, IHC, IHC-Fr,  IHC-P, IP, Simple Western, WB
NB600-302
Species: Bv, Dr, Hu, Mu
Applications: ChIP, ELISA, Flow-IC, Flow, IB, ICC/IF, IHC, IHC-Fr,  IHC-P, IP, PLA, S-ELISA, Simple Western, WB
NBP2-22203
Species: Hu, Pm, Mu, Rt
Applications: ELISA, Flow, ICC/IF, IHC,  IHC-P, WB
NBP1-82617
Species: Hu, Mu, Rt
Applications: ICC/IF, IHC,  IHC-P, WB
AF5066
Species: Hu
Applications: WB

Publications for IFT122 Antibody (NBP1-87014)(1)

Reviews for IFT122 Antibody (NBP1-87014) (0)

There are no reviews for IFT122 Antibody (NBP1-87014). By submitting a review you will receive an Amazon e-Gift Card or Novus Product Discount.
  • Review with no image -- $10/€7/£6/$10 CAD/¥70 Yuan/¥1110 Yen
  • Review with an image -- $25/€18/£15/$25 CAD/¥150 Yuan/¥2500 Yen

Product General Protocols

Find general support by application which include: protocols, troubleshooting, illustrated assays, videos and webinars.

Video Protocols

WB Video Protocol

FAQs for IFT122 Antibody (NBP1-87014) (0)

There are no specific FAQs related to this product. Read our general customer & technical service FAQs.

Customers Who Bought This Also Bought

Contact Information

Product PDFs

Calculators

Concentration Calculator

The concentration calculator allows you to quickly calculate the volume, mass or concentration of your vial. Simply enter your mass, volume, or concentration values for your reagent and the calculator will determine the rest.

=
÷

Review this Product

Be the first to review our IFT122 Antibody - BSA Free and receive a gift card or discount.

Bioinformatics

Gene Symbol IFT122