IFIT1 Antibody - BSA Free

Images

 
Immunocytochemistry/ Immunofluorescence: IFIT1 Antibody [NBP2-33751] - Immunofluorescent staining of human cell line HeLa shows localization to cytosol.
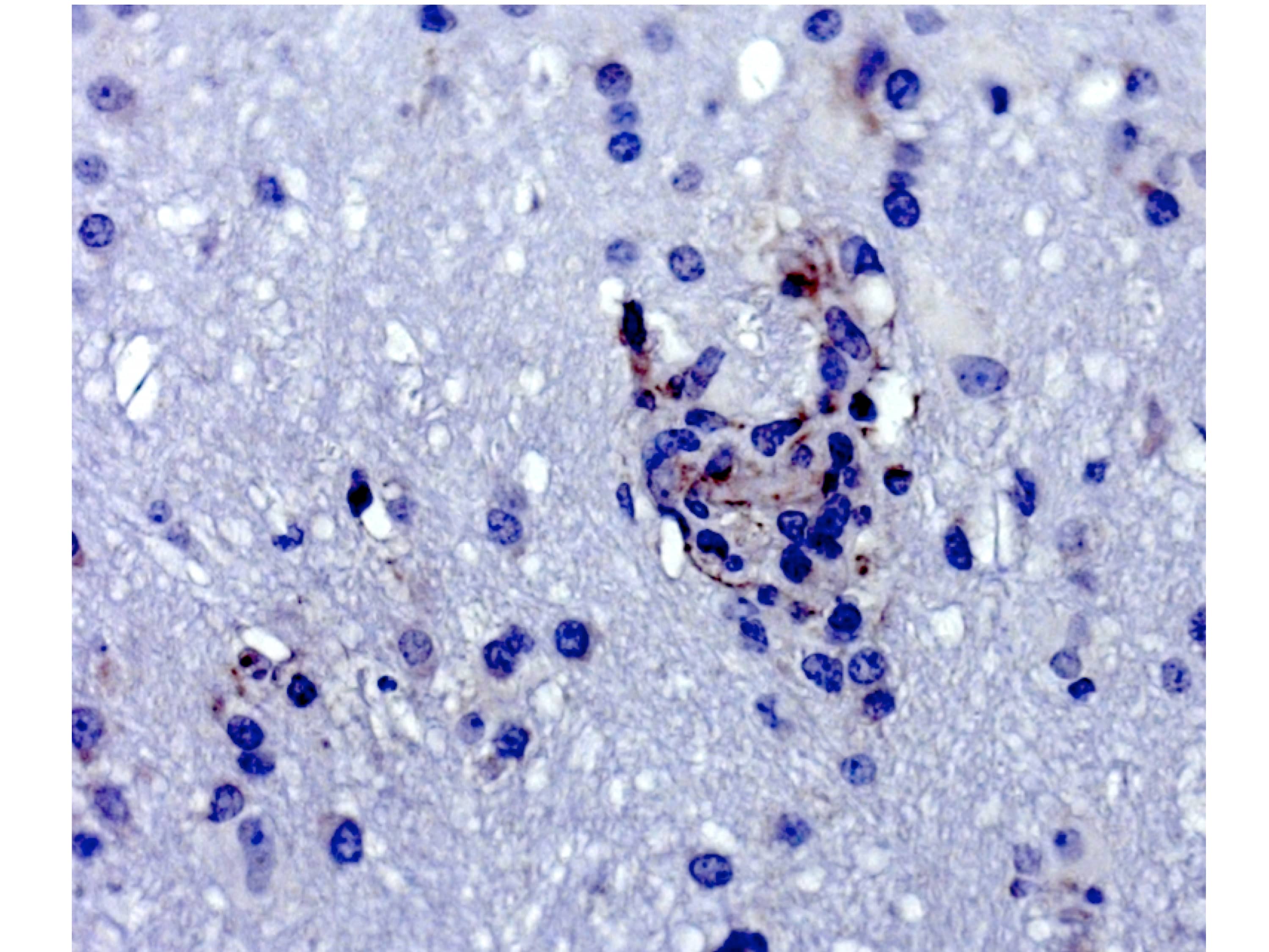
Immunohistochemistry-Paraffin: IFIT1 Antibody [NBP2-33751] - Staining in macaque brain tissue. Image from a verified customer review.
Immunohistochemistry-Paraffin: IFIT1 Antibody [NBP2-33751] - Staining of human kidney shows strong cytoplasmic positivity in renal tubules.

Product Details

Summary
Reactivity Hu, PmSpecies Glossary
Applications ICC/IF, IHC
Clonality
Polyclonal
Host
Rabbit
Conjugate
Unconjugated
Format
BSA Free

Order Details

View Available Formulations
Catalog# & Formulation Size Price

IFIT1 Antibody - BSA Free Summary

Description
Novus Biologicals Rabbit IFIT1 Antibody - BSA Free (NBP2-33751) is a polyclonal antibody validated for use in IHC and ICC/IF. Anti-IFIT1 Antibody: Cited in 1 publication. All Novus Biologicals antibodies are covered by our 100% guarantee.
Immunogen
This antibody was developed against a recombinant protein corresponding to amino acids: KGQPRGQNREKLDKMIRSAIFHFESAVEKKPTFEVAHLDLARMYIEAGNH
Isotype
IgG
Clonality
Polyclonal
Host
Rabbit
Gene
IFIT1
Purity
Immunogen affinity purified
Innovator's Reward
Test in a species/application not listed above to receive a full credit towards a future purchase.

Applications/Dilutions

Dilutions
  • Immunocytochemistry/ Immunofluorescence 0.25-2 ug/ml
  • Immunohistochemistry 1:1000 - 1:2500
  • Immunohistochemistry-Paraffin 1:1000 - 1:2500
Application Notes
For IHC-Paraffin, HIER pH 6 retrieval is recommended. Immunocytochemistry/Immunofluorescence Fixation Permeabilization: Use PFA/Triton X-100. IHC-P reported by a verified customer review.
Control Peptide
IFIT1 Protein (NBP2-33751PEP)
Reviewed Applications
Read 1 Review rated 5
using
NBP2-33751 in the following applications:

Publications
Read Publication using NBP2-33751.

Reactivity Notes

Monkey reported by a verified customer review.

Packaging, Storage & Formulations

Storage
Store at 4C short term. Aliquot and store at -20C long term. Avoid freeze-thaw cycles.
Buffer
PBS (pH 7.2) and 40% Glycerol
Preservative
0.02% Sodium Azide
Purity
Immunogen affinity purified

Alternate Names for IFIT1 Antibody - BSA Free

  • G10P1C56
  • GARG-16
  • IFI56IFI-56
  • IFI-56K
  • IFIT-1
  • IFNAI1ISG56
  • Interferon, alpha-inducible protein (MW 56kD)
  • Interferon-induced 56 kDa protein
  • interferon-induced protein 56
  • interferon-induced protein with tetratricopeptide repeats 1
  • p56
  • RNM561

Background

IFIT1, also known as C56 and ISG56, is an interferon-induced protein. Its expression can be activated by all three types of interferon in human fibroblasts and lymphoblastoid cells. ISG56 is believed to be a mediator of negative-feedback regulation of virus-triggered induction of type I interferons and cellular antiviral responses.

Limitations

This product is for research use only and is not approved for use in humans or in clinical diagnosis. Primary Antibodies are guaranteed for 1 year from date of receipt.

Customers Who Viewed This Item Also Viewed...

MAB7500
Species: Hu
Applications: ICC, WB
NBP1-19371
Species: Ca, Hu, Mu, Po, Rb, Rt
Applications: Dual ISH-IHC, Flow, ICC/IF, IHC, IHC-Fr,  IHC-P, Simple Western, WB
NBP1-31164
Species: Hu
Applications: ICC/IF, WB
202-IL
Species: Hu
Applications: BA
NB600-1441
Species: Ca, Hu, Mu, Po
Applications: Flow, ICC/IF, IHC, IHC-Fr,  IHC-P, KD
NBP1-87000
Species: Hu
Applications: IHC,  IHC-P, WB
NBP1-89747
Species: Hu, Mu
Applications: ICC/IF, IHC,  IHC-P, KD, WB
H00003611-M01
Species: Hu, Mu, Rt
Applications: ELISA, ICC/IF, KD, S-ELISA, WB
NB500-517
Species: Hu, Mu
Applications: ICC/IF, IHC,  IHC-P, IP, WB
AF2685
Species: Hu
Applications: IHC, Simple Western, WB
NBP1-49045
Species: Mu, Rt
Applications: Cell Depl, CyTOF-ready, Flow, ICC/IF, IHC, IHC-Fr,  IHC-P, IP, InhibTFunc
NBP2-02148
Species: Hu
Applications: Flow, ICC/IF, WB
NBP2-75930
Species: Hu, Mu, Rt
Applications: Flow, ICC/IF, IHC,  IHC-P, WB
AF1230
Species: Hu, Mu, Rt
Applications: IHC, KO, WB
NBP1-32905
Species: Bv, Hu, Pm, Rb
Applications: ICC/IF, IHC, IHC-Fr,  IHC-P, WB
UL-553
Species: Hu
Applications: EnzAct
AF3206
Species: Hu, Mu, Rt
Applications: ICC, Simple Western, WB
NB100-56583
Species: Hu, Rb, Rt
Applications: Flow, IHC,  IHC-P, KO, Simple Western, WB
DIP100
Species: Hu
Applications: ELISA

Publications for IFIT1 Antibody (NBP2-33751)(1)

We have publications tested in 1 confirmed species: Human.


Filter By Application
All Applications
Filter By Species
Human
(1)
All Species

Review for IFIT1 Antibody (NBP2-33751) (1) 51

Average Rating: 5
(Based on 1 review)
We have 1 review tested in 1 species: Other.

Reviews using NBP2-33751:
Filter by Applications
 IHC-P
(1)
All Applications
Filter by Species
Other
(1)
All Species
Images Ratings Applications Species Date Details
Immunohistochemistry-Paraffin IFIT1 NBP2-33751
Enlarge
5
reviewed by:
Maria Cecilia Marcondes
 IHC-P Other 06/01/2015
View

Summary

ApplicationImmunohistochemistry-Paraffin
Sample TestedBrain
SpeciesOther

Product General Protocols

Find general support by application which include: protocols, troubleshooting, illustrated assays, videos and webinars.

Video Protocols

ICC/IF Video Protocol

FAQs for IFIT1 Antibody (NBP2-33751) (0)

There are no specific FAQs related to this product. Read our general customer & technical service FAQs.

Secondary Antibodies

 

Isotype Controls

Additional IFIT1 Products

Research Areas for IFIT1 Antibody (NBP2-33751)

Find related products by research area.

Blogs on IFIT1.

STING in Innate Immunity and Cancer: What’s the Buzz About?
STING (STimulator of INterferon Genes protein) acts as a sensor of cytosolic DNA. Bacteria/Virus or self-derived DNA in the cytosol activates the STING pathway and promotes the production of type I interferons (IFN-alpha and IFN-beta). STING also ...  Read full blog post.

Customers Who Bought This Also Bought

Contact Information

Product PDFs

Calculators

Concentration Calculator

The concentration calculator allows you to quickly calculate the volume, mass or concentration of your vial. Simply enter your mass, volume, or concentration values for your reagent and the calculator will determine the rest.

=
÷

Recent Reviews

5
5
1
4
0
3
0
2
0
1
0

Maria Cecilia Marcondes
06/01/2015
Application:  IHC-P
Species: Other

Bioinformatics

Gene Symbol IFIT1
Uniprot