HYPB Antibody (CL9956) - Azide and BSA Free

Images

 
Orthogonal Strategies: Analysis in human testis and skeletal muscle tissues using NBP3-44227 antibody. Corresponding HYPB RNA-seq data are presented for the same tissues.
Staining of human cervix, uterine shows moderate to strong nuclear positivity in squamous epithelial cells.
Staining of human endometrium shows moderate nuclear positivity in glandular cells.
Staining of human skeletal muscle shows very weak positivity in myocytes as expected.
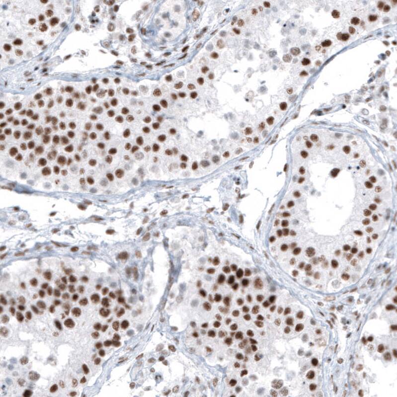
Staining of human testis shows strong nuclear positivity in cells in seminiferous ducts.

Product Details

Summary
Reactivity HuSpecies Glossary
Applications IHC
Clone
CL9956
Clonality
Monoclonal
Host
Mouse
Conjugate
Unconjugated
Format
Azide and BSA Free
Concentration
LYOPH
Validated by:
       

Orthogonal Strategies

 

Order Details

HYPB Antibody (CL9956) - Azide and BSA Free Summary

Description
Novus Biologicals Mouse HYPB Antibody (CL9956) - Azide and BSA Free (NBP2-88941) is a monoclonal antibody validated for use in IHC. All Novus Biologicals antibodies are covered by our 100% guarantee.
Immunogen
This antibody was generated using a synthetic peptide of Q9BYW2, with the exact immunogen sequence remaining proprietary.
Isotype
IgG1
Clonality
Monoclonal
Host
Mouse
Gene
SETD2
Purity
Protein A purified
Innovator's Reward
Test in a species/application not listed above to receive a full credit towards a future purchase.

Applications/Dilutions

Dilutions
  • Immunohistochemistry-Paraffin 1:500 - 1:1000
Application Notes
For IHC-Paraffin, HIER pH 6 retrieval is recommended.

Packaging, Storage & Formulations

Storage
Store at 4C short term. Aliquot and store at -20C long term. Avoid freeze-thaw cycles.
Buffer
Lyophilized from a 0.2 um filtered solution in PBS with Trehalose
Preservative
No Preservative
Concentration
LYOPH
Purity
Protein A purified
Reconstitution Instructions
Centrifuge the vial of lyophilized antibody at 12,000 x g for 20 seconds. Reconstitute by adding sterile, distilled water to achieve a final antibody concentration of 1mg/ml.

Alternate Names for HYPB Antibody (CL9956) - Azide and BSA Free

  • FLJ22472
  • FLJ23184
  • FLJ45883
  • FLJ46217
  • HIF1
  • HIF-1EC 2.1.1.43
  • HIP-1
  • histone-lysine N-methyltransferase SETD2
  • hSET2
  • huntingtin interacting protein 1
  • Huntingtin yeast partner B
  • Huntingtin-interacting protein 1
  • Huntingtin-interacting protein B
  • HYPBp231HBP
  • KIAA1732SET domain-containing protein 2
  • KMT3AHBP231
  • Lysine N-methyltransferase 3A
  • SET domain containing 2
  • SET2FLJ16420

Background

Huntington's disease (HD), a neurodegenerative disorder characterized by loss of striatal neurons, is caused by an expansion of a polyglutamine tract in the HD protein huntingtin. This gene encodes a protein belonging to a class of huntingtin interacting proteins characterized by WW motifs. This protein is a histone methyltransferase that is specific for lysine-36 of histone H3, and methylation of this residue is associated with active chromatin. This protein also contains a novel transcriptional activation domain and has been found associated with hyperphosphorylated RNA polymerase II. (provided by RefSeq)

Limitations

This product is for research use only and is not approved for use in humans or in clinical diagnosis. Primary Antibodies are guaranteed for 1 year from date of receipt.

Customers Who Viewed This Item Also Viewed...

NB100-105
Species: Bv, Ca, Fe, Ma, Hu, Pm, Mu, Po, Pm, Rb, Rt, Sh, Xp
Applications: ChIP, ChIP, ELISA, Flow, GS, IA, IB, ICC/IF, IHC-FrFl, IHC, IHC-Fr,  IHC-P, IP, In vitro, KD, KO, LA, PLA, Simple Western, TCS, WB
DVE00
Species: Hu
Applications: ELISA
NB100-124
Species: Bv, Ma, Hu, Mu, Pm, Rt, Sh
Applications: ChIP, CHIP-SEQ, GS, IB, ICC/IF, IHC,  IHC-P, IP, WB
MEP00B
Species: Mu
Applications: ELISA
NBP2-45411
Species: Hu, Mu, Rt
Applications: IHC,  IHC-P, WB
AF887
Species: Hu, Mu, Rt
Applications: CyTOF-ready, IHC, ICFlow, Simple Western, WB
NB110-39113
Species: Hu, Mu, Rb, Rt
Applications: ChIP, ChIP, Flow-IC, Flow, ICC/IF, IHC, IHC-Fr,  IHC-P, In vitro, Simple Western, WB
DTM100
Species: Hu
Applications: ELISA
NB100-122
Species: Fi, Ha, Hu, Mu, Pm, Rb, Rt, Re, Sh
Applications: ChIP, Dual ISH-IHC, ELISA, Flow, GS, IB, ICC/IF, IHC, IHC-Fr,  IHC-P, IP, In vitro, KD, KO, PAGE, Simple Western, WB
NBP3-07388
Species: Hu
Applications: Flow, ICC/IF, IHC,  IHC-P
NB200-103
Species: Hu, Mu, Rt, Xp(-), Ye
Applications: CyTOF-ready, ELISA, Flow-IC, Flow, ICC/IF, IHC, IHC-Fr,  IHC-P, IP, WB
MAB8930
Species: Hu
Applications: ICC, Simple Western, WB
NB600-607
Species: Hu, Rt
Applications: ELISA, IHC,  IHC-P, WB
AF1230
Species: Hu, Mu, Rt
Applications: IHC, KO, WB
NB300-605
Species: Hu, Mu, Po, Rt
Applications: Flow, IB, ICC/IF, IHC, IHC-Fr,  IHC-P, In vitro, WB
NB100-417
Species: Hu, Mu, Pl, Rt
Applications: ChIP, Dual ISH-IHC, ELISA, Flow, GS, IB, ICC/IF, IHC, IHC-Fr,  IHC-P, IP, MiAr, PLA, Simple Western, WB
NB100-56583
Species: Hu, Rb, Rt
Applications: Flow, IHC,  IHC-P, KO, Simple Western, WB
NBP2-19804
Species: Hu, Mu
Applications: ICC/IF, IHC,  IHC-P, WB
NBP2-22203
Species: Hu, Pm, Mu, Rt
Applications: ELISA, Flow, ICC/IF, IHC,  IHC-P, WB
NBP3-44227
Species: Hu
Applications: IHC

Publications for HYPB Antibody (NBP3-44227) (0)

There are no publications for HYPB Antibody (NBP3-44227).
By submitting your publication information earn gift cards and discounts for future purchases.

Reviews for HYPB Antibody (NBP3-44227) (0)

There are no reviews for HYPB Antibody (NBP3-44227). By submitting a review you will receive an Amazon e-Gift Card or Novus Product Discount.
  • Review with no image -- $10/€7/£6/$10 CAD/¥70 Yuan/¥1110 Yen
  • Review with an image -- $25/€18/£15/$25 CAD/¥150 Yuan/¥2500 Yen

Product General Protocols

Find general support by application which include: protocols, troubleshooting, illustrated assays, videos and webinars.

FAQs for HYPB Antibody (NBP3-44227) (0)

There are no specific FAQs related to this product. Read our general customer & technical service FAQs.

Customers Who Bought This Also Bought

Contact Information

Product PDFs

Calculators

Concentration Calculator

The concentration calculator allows you to quickly calculate the volume, mass or concentration of your vial. Simply enter your mass, volume, or concentration values for your reagent and the calculator will determine the rest.

=
÷

Review this Product

Be the first to review our HYPB Antibody (CL9956) - Azide and BSA Free and receive a gift card or discount.

Bioinformatics

Gene Symbol SETD2