Granulin Antibody (CL5692) - Azide and BSA Free

Images

 
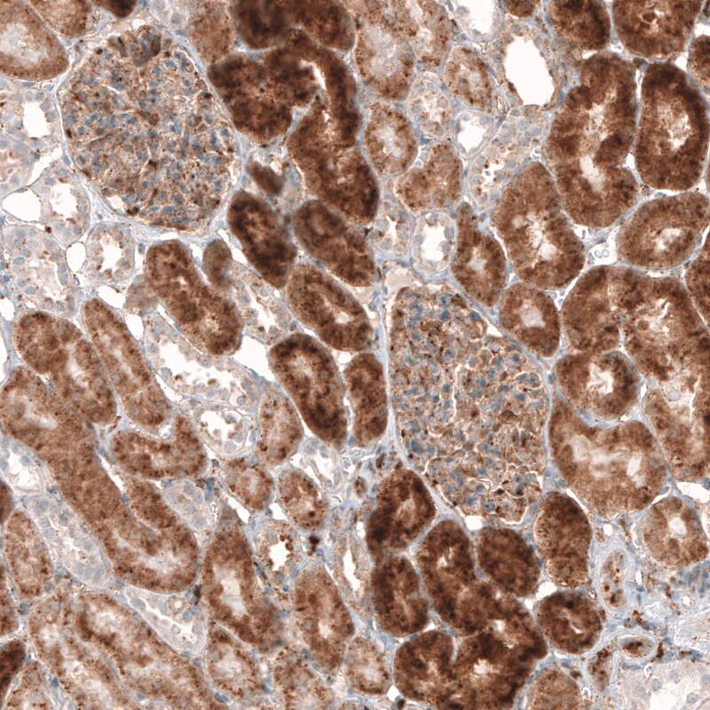
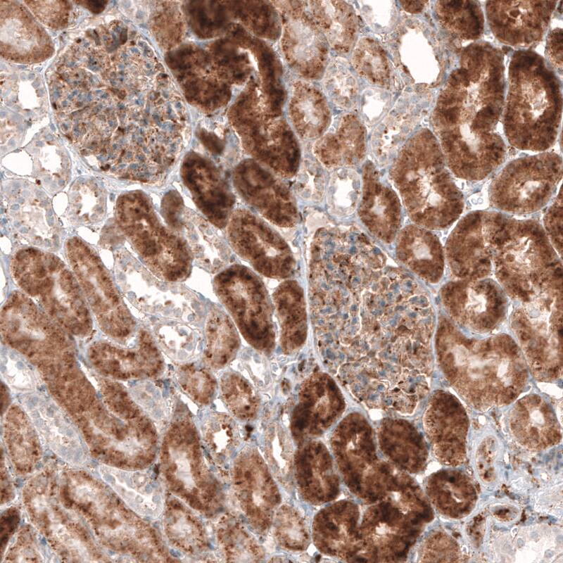
Staining of human kidney shows cytoplasmic immunoreactivity in both renal glomeruli and tubules.
Staining of human skeletal muscle shows absence of positivity in striated muscle fibers as expected (negative control).
Staining of human prostate shows moderate granular cytoplasmic immunoreactivity in glandular cells.
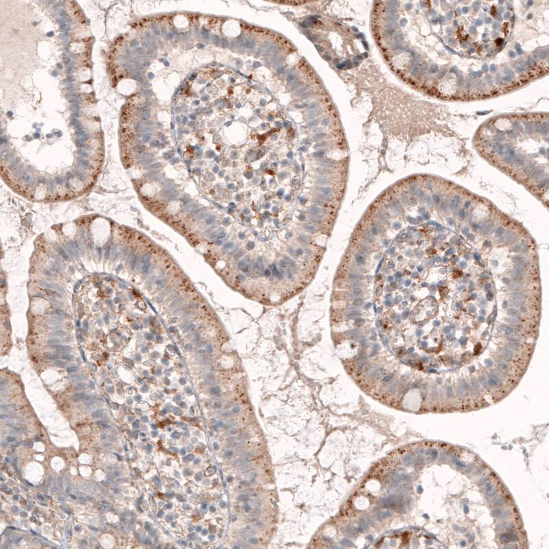
Staining of human small intestine shows moderate granular cytoplasmic positivity in glandular cells.

Product Details

Summary
Reactivity HuSpecies Glossary
Applications IHC
Clone
CL5692
Clonality
Monoclonal
Host
Mouse
Conjugate
Unconjugated
Format
Azide and BSA Free
Concentration
LYOPH

Order Details

Granulin Antibody (CL5692) - Azide and BSA Free Summary

Description
Novus Biologicals Mouse Granulin Antibody (CL5692) - Azide and BSA Free (NBP2-61424) is a monoclonal antibody validated for use in IHC. All Novus Biologicals antibodies are covered by our 100% guarantee.
Immunogen
This antibody was generated using a recombinant protein sequence of P28799, with the exact immunogen sequence remaining proprietary.
Isotype
IgG1
Clonality
Monoclonal
Host
Mouse
Gene
GRN
Purity
Protein A purified
Innovator's Reward
Test in a species/application not listed above to receive a full credit towards a future purchase.

Applications/Dilutions

Dilutions
  • Immunohistochemistry-Paraffin 1:1000 - 1:2500
Application Notes
For IHC-Paraffin, HIER pH 6 retrieval is recommended.

Packaging, Storage & Formulations

Storage
Store at 4C short term. Aliquot and store at -20C long term. Avoid freeze-thaw cycles.
Buffer
Lyophilized from a 0.2 um filtered solution in PBS with Trehalose
Preservative
No Preservative
Concentration
LYOPH
Purity
Protein A purified
Reconstitution Instructions
Centrifuge the vial of lyophilized antibody at 12,000 x g for 20 seconds. Reconstitute by adding sterile, distilled water to achieve a final antibody concentration of 1mg/ml.

Alternate Names for Granulin Antibody (CL5692) - Azide and BSA Free

  • acrogranin
  • GEP
  • GP88
  • granulin
  • granulin-epithelin
  • granulins
  • PC cell-derived growth factor
  • PCDGF
  • PEPI
  • PGRN
  • proepithelin
  • progranulin

Background

Granulins are a family of secreted, glycosylated peptides that are cleaved from a single precursor protein with 7.5 repeats of a highly conserved 12-cysteine granulin/epithelin motif. The 88 kDa precursor protein, progranulin, is also called proepithelin and PC cell-derived growth factor. Cleavage of the signal peptide produces mature granulin which can be further cleaved into a variety of active, 6 kDa peptides. These smaller cleavage products are named granulin A, granulin B, granulin C, etc. Epithelins 1 and 2 are synonymous with granulins A and B, respectively. Both the peptides and intact granulin protein regulate cell growth. However, different members of the granulin protein family may act as inhibitors, stimulators, or have dual actions on cell growth. Granulin family members are important in normal development, wound healing, and tumorigenesis.

Limitations

This product is for research use only and is not approved for use in humans or in clinical diagnosis. Primary Antibodies are guaranteed for 1 year from date of receipt.

Customers Who Viewed This Item Also Viewed...

NBP2-25162
Species: Bv, Eq, Hu, Mu, Po, Rt
Applications: ICC/IF, IHC, PLA, WB
H00023435-M01
Species: Ba, Pp, Hu, I, Pm, Mu, Rt
Applications: ELISA, Func, ICC/IF, IHC,  IHC-P, IP, KD, WB
NBP2-37447
Species: Hu
Applications: CyTOF-ready, ELISA, Flow, ICC/IF, IHC,  IHC-P
NB100-1558
Species: Hu, Mu, Rt, Ze
Applications: ICC/IF, IHC, IHC-Fr, IP, WB
MAB7509
Species: Hu
Applications: IHC, KO, WB
NBP2-33950
Species: Hu, Mu
Applications: ICC/IF, IHC,  IHC-P, WB
AF3428
Species: Hu
Applications: ICC, Simple Western, WB
NBP1-89782
Species: Hu
Applications: IHC,  IHC-P, WB
NBP2-24915
Species: Bv, Hu, Mu, Rt
Applications: IHC,  IHC-P, WB
DVE00
Species: Hu
Applications: ELISA
NBP1-88376
Species: Hu, Mu
Applications: ICC/IF, IHC,  IHC-P, KD, WB
NB100-565
Species: Hu, Mu, Rt
Applications: ICC/IF, IHC,  IHC-P, IP, KO, WB
AF1436
Species: Mu
Applications: WB
NB100-74510
Species: Hu, Mu, Pm, Rt
Applications: ELISA, ICC/IF, IHC,  IHC-P, IP, WB
MAB1417
Species: Bv, Hu, Mu
Applications: ICC, IHC
AF2934
Species: Mu
Applications: Block, IHC, Simple Western, WB
M6000B
Species: Mu
Applications: ELISA
AF887
Species: Hu, Mu, Rt
Applications: CyTOF-ready, IHC, ICFlow, Simple Western, WB
NBP3-44043
Species: Hu
Applications: IHC

Publications for Granulin Antibody (NBP3-44043) (0)

There are no publications for Granulin Antibody (NBP3-44043).
By submitting your publication information earn gift cards and discounts for future purchases.

Reviews for Granulin Antibody (NBP3-44043) (0)

There are no reviews for Granulin Antibody (NBP3-44043). By submitting a review you will receive an Amazon e-Gift Card or Novus Product Discount.
  • Review with no image -- $10/€7/£6/$10 CAD/¥70 Yuan/¥1110 Yen
  • Review with an image -- $25/€18/£15/$25 CAD/¥150 Yuan/¥2500 Yen

Product General Protocols

Find general support by application which include: protocols, troubleshooting, illustrated assays, videos and webinars.

FAQs for Granulin Antibody (NBP3-44043) (0)

There are no specific FAQs related to this product. Read our general customer & technical service FAQs.

Secondary Antibodies

 

Isotype Controls

Additional Granulin Products

Research Areas for Granulin Antibody (NBP3-44043)

Find related products by research area.

Blogs on Granulin

There are no specific blogs for Granulin, but you can read our latest blog posts.

Customers Who Bought This Also Bought

Contact Information

Product PDFs

Calculators

Concentration Calculator

The concentration calculator allows you to quickly calculate the volume, mass or concentration of your vial. Simply enter your mass, volume, or concentration values for your reagent and the calculator will determine the rest.

=
÷

Review this Product

Be the first to review our Granulin Antibody (CL5692) - Azide and BSA Free and receive a gift card or discount.

Bioinformatics

Gene Symbol GRN