Glypican 3 Antibody (GPC3/8363R) - Azide and BSA Free

Images

 
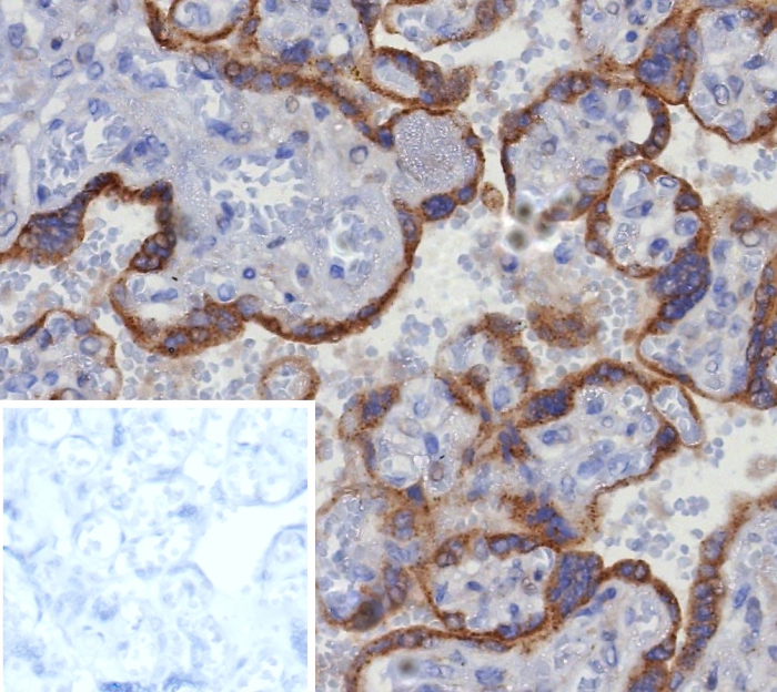
Formalin-fixed, paraffin-embedded human placenta stained with Glypican 3 antibody (GPC3/8363R). Inset: PBS instead of primary antibody; secondary only negative control.

Product Details

Summary
Reactivity HuSpecies Glossary
Applications IHC
Clone
GPC3/8363R
Clonality
Monoclonal
Host
Rabbit
Conjugate
Unconjugated
Format
Azide and BSA Free
Concentration
1 mg/ml

Order Details

Glypican 3 Antibody (GPC3/8363R) - Azide and BSA Free Summary

Description
Positive Controls: Human placenta or hepatocellular carcinoma.

Antibody with azide - store at 2 to 8C. Antibody without azide - store at -20 to -80C. Non-hazardous. No MSDS required.
Additional Information
Recombinant Monoclonal Antibody
Immunogen
Recombinant fragment (around aa400-550) of human Glypican 3 protein (exact sequence is proprietary)
Localization
Cytoplasm.
Isotype
IgG Kappa
Clonality
Monoclonal
Host
Rabbit
Gene
GPC3
Purity
Protein A purified
Innovator's Reward
Test in a species/application not listed above to receive a full credit towards a future purchase.

Applications/Dilutions

Dilutions
  • Immunohistochemistry-Paraffin 1-2 ug/ml
Application Notes
Immunohistochemistry (Formalin-fixed): 1-2ug/ml for 30 minutes. at RT. Staining of formalin-fixed tissues requires heating tissue sections in 10mM Tris with 1mM EDTA, pH 9.0, for 45 min at 95C followed by cooling at RT for 20 minutes.

Optimal dilution for a specific application should be determined.

Packaging, Storage & Formulations

Storage
Store at -20 to -70C. Avoid freeze-thaw cycles.
Buffer
10mM PBS
Preservative
No Preservative
Concentration
1 mg/ml
Purity
Protein A purified

Alternate Names for Glypican 3 Antibody (GPC3/8363R) - Azide and BSA Free

  • DGSX
  • Glypican 3
  • glypican proteoglycan 3
  • glypican-3
  • GPC3
  • GTR2-2
  • heparan sulphate proteoglycan
  • Intestinal protein OCI-5
  • MXR7
  • OCI5
  • OCI-5
  • secreted glypican-3
  • SGB
  • SGBS
  • SGBS1SDYS

Background

The Glypican 3 (GPC3) gene encodes for a member of the glypican-related integral membrane proteoglycan family (GRIPS). Two isoforms of the protein exist, isoform 1 at a length of 580 amino acids long and 65 kDA while isoform 2 is 526 amino acids long at 59 kDA. The protein encoded by GPC3 is thought to prevent the dipeptidyl peptidase activity of DPP4 and may participate in the suppression and regulation of growth in the predominately mesodermal tissues and organs. The GPC3 gene participates in the Wnt signaling pathway, metabolism, and visual phototransduction through interactions with genes FGF2, WNT3A, WNT7B, BCAN, and BGN. GPC3 has been researched in various diseases such as paine syndrome, horner's sundrome, liver cirrhosis, simpson-golabi-behmel syndrome, germ cell tumors, wilms tumors, complex regional pain syndrome, and hepatocellulcar carcinoma.

Limitations

This product is for research use only and is not approved for use in humans or in clinical diagnosis. Primary Antibodies are guaranteed for 1 year from date of receipt.

Customers Who Viewed This Item Also Viewed...

MAB1368
Species: Hu, Mu
Applications: CyTOF-ready, ICC, ICFlow, KO, Simple Western, WB
MAB2965
Species: Hu
Applications: CyTOF-ready, Flow
AF2364
Species: Hu
Applications: IHC, WB
NBP1-83910
Species: Hu
Applications: IHC,  IHC-P, KD, WB
AF4519
Species: Hu
Applications: CyTOF-ready, Flow, ICC, WB
NBP2-13980
Species: Hu
Applications: ICC/IF, IHC,  IHC-P, WB
NBP1-91258
Species: Bv, Ca, Eq, Fe, Hu, Mu, Po, Rt
Applications: ICC/IF, IHC, IHC-Fr,  IHC-P, Simple Western, WB
292-G2
Species: Hu
Applications: BA
BBA10
Species: Hu
Applications: CyTOF-ready, Flow, IHC, IP, KO, Simple Western, WB
233-FB
Species: Hu
Applications: BA
AF2780
Species: Hu
Applications: ELISA(Cap), ELISA(Det), ELISA(Sta), IHC, WB
NBP1-87697
Species: Hu
Applications: ICC/IF, IHC,  IHC-P
NBP2-02541
Species: Hu, Pm, Mu, Pm, Rt
Applications: ICC/IF, IHC,  IHC-P, WB
NBP2-24653
Species: Hu, Mu, Rt
Applications: IHC,  IHC-P, WB
NB100-687
Species: Hu, Mu, Rt
Applications: Flow, ICC/IF, IHC,  IHC-P, Simple Western, WB
NBP2-23603
Species: Hu, Mu
Applications: ICC/IF, IHC,  IHC-P, WB
AF1060
Species: Mu
Applications: ELISA(Cap), ELISA(Det), IHC, Simple Western, WB
NB110-41404
Species: Bv, Hu, Mu, Rt
Applications: ICC/IF, IHC, WB
MAB1417
Species: Bv, Hu, Mu
Applications: ICC, IHC
NBP3-20871
Species: Hu
Applications: IHC

Publications for Glypican 3 Antibody (NBP3-20871) (0)

There are no publications for Glypican 3 Antibody (NBP3-20871).
By submitting your publication information earn gift cards and discounts for future purchases.

Reviews for Glypican 3 Antibody (NBP3-20871) (0)

There are no reviews for Glypican 3 Antibody (NBP3-20871). By submitting a review you will receive an Amazon e-Gift Card or Novus Product Discount.
  • Review with no image -- $10/€7/£6/$10 CAD/¥70 Yuan/¥1110 Yen
  • Review with an image -- $25/€18/£15/$25 CAD/¥150 Yuan/¥2500 Yen

Product General Protocols

Find general support by application which include: protocols, troubleshooting, illustrated assays, videos and webinars.

FAQs for Glypican 3 Antibody (NBP3-20871) (0)

There are no specific FAQs related to this product. Read our general customer & technical service FAQs.

Secondary Antibodies

 

Isotype Controls

Additional Glypican 3 Products

Research Areas for Glypican 3 Antibody (NBP3-20871)

Find related products by research area.

Blogs on Glypican 3.

Glypican 3 as a biomarker for gastro-esophageal adenocarcinoma
By Jamshed Arslan, Pharm. D., PhD. Gastroesophageal adenocarcinoma originates from the glandular epithelium of the esophagus, gastroesophageal junction and stomach. The incidence of gastroesophageal adenocarcinoma is ...  Read full blog post.

Customers Who Bought This Also Bought

Contact Information

Product PDFs

Calculators

Concentration Calculator

The concentration calculator allows you to quickly calculate the volume, mass or concentration of your vial. Simply enter your mass, volume, or concentration values for your reagent and the calculator will determine the rest.

=
÷

Review this Product

Be the first to review our Glypican 3 Antibody (GPC3/8363R) - Azide and BSA Free and receive a gift card or discount.

Bioinformatics

Gene Symbol GPC3