eIF4E [p Ser209] Antibody - BSA Free

Images

 
Biological Strategies: Western Blot: eIF4E [p Ser209] Antibody [NB100-81898] - Analysis of extracts from SK-BR-3 cells, untreated or insulin and EGF treated, and pretreated with U0126 cells, using NB100-81898
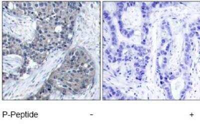
Immunohistochemistry-Paraffin: eIF4E [p Ser209] Antibody [NB100-81898] - Immunohistochemical analysis of paraffin-embedded human breast carcinoma tissue, using NB100-81898(left) or the same antibody preincubated with ...read more
Immunocytochemistry/ Immunofluorescence: eIF4E [p Ser209] Antibody - BSA Free [NB100-81898] - Immunofluorescence staining of methanol-fixed MCF cells using NB100-81898.

Product Details

Summary
Reactivity Hu, PoSpecies Glossary
Applications WB, ICC/IF, IHC
Clonality
Polyclonal
Host
Rabbit
Conjugate
Unconjugated
Format
BSA Free
Concentration
1.0 mg/ml
Validated by:
   

Biological Strategies

     

Order Details

View Available Formulations
Catalog# & Formulation Size Price

eIF4E [p Ser209] Antibody - BSA Free Summary

Description
Novus Biologicals Rabbit eIF4E [p Ser209] Antibody - BSA Free (NB100-81898) is a polyclonal antibody validated for use in IHC, WB and ICC/IF. Anti-eIF4E Antibody: Cited in 1 publication. All Novus Biologicals antibodies are covered by our 100% guarantee.
Immunogen
The antiserum was produced against synthesized phosphopeptide derived from human elF4E around the phosphorylation site of serine 209 (S-G-SP-T-T).
Modification
p Ser209
Specificity
Detects endogenous levels of elF4E only when phosphorylated at serine 209.
Isotype
IgG
Clonality
Polyclonal
Host
Rabbit
Gene
EIF4E
Purity
Immunogen affinity purified
Innovator's Reward
Test in a species/application not listed above to receive a full credit towards a future purchase.

Applications/Dilutions

Dilutions
  • Immunocytochemistry/ Immunofluorescence 1:100-1:200
  • Immunohistochemistry 1:50-1:100
  • Immunohistochemistry-Paraffin 1:50-1:100
  • Western Blot 1:500-1:1000
Theoretical MW
25 kDa.
Disclaimer note: The observed molecular weight of the protein may vary from the listed predicted molecular weight due to post translational modifications, post translation cleavages, relative charges, and other experimental factors.
Control
eIF4E Overexpression Lysate
Publications
Read Publication using
NB100-81898 in the following applications:

  • WB
    1 publication

Reactivity Notes

Porcine reactivity reported in scientific literature (PMID: 28183860).

Packaging, Storage & Formulations

Storage
Store at 4C short term. Aliquot and store at -20C long term. Avoid freeze-thaw cycles.
Buffer
PBS (without Mg2+ and Ca2+), pH 7.4, 150 mM NaCl, 50% glycerol
Preservative
0.02% Sodium Azide
Concentration
1.0 mg/ml
Purity
Immunogen affinity purified

Alternate Names for eIF4E [p Ser209] Antibody - BSA Free

  • CBP
  • eIF4E
  • eIF-4E
  • EIF4E1
  • EIF4EL1
  • EIF4EL1MGC111573
  • eIF-4F 25 kDa subunit
  • EIF4F
  • eukaryotic translation initiation factor 4E
  • eukaryotic translation initiation factor 4E-like 1
  • mRNA cap-binding protein

Background

eIF4E, a protein modulates translation of maternal mRNAs in early embryos before the onset of zygotic transcription. eIF4E also influences the overall rate of translation. eIF4E binds to the 7 methyl GTP cap structure of eukaryotic mRNAs. Phosphorylation of eIF4E on serine 209 regulates the affinity of this protein for the 7 methyl GTP cap and/or RNA. Phosphorylation also enhances the interaction of eIF4E with eIF4G, which form a complex known as eIF4F. eIF4E phosphorylation is correlated with increased translational rate in a number of cell types. Several kinases are currently being investigated as potential regulators of eIF4E including PKC and/or the MAP kinase activated Mnk.

Limitations

This product is for research use only and is not approved for use in humans or in clinical diagnosis. Primary Antibodies are guaranteed for 1 year from date of receipt.

Customers Who Viewed This Item Also Viewed...

NB100-616
Species: Hu, Mu, Md, Pm, Rt
Applications: ChIP, EM, Flow-IC, Flow, ICC/IF, IP, In vitro, KD, WB
NB100-381
Species: Hu
Applications: ChIP, IP, WB
NB200-157
Species: Hu
Applications: IHC,  IHC-P, KO, WB
NB100-268
Species: Hu, Po
Applications: IP, WB
NB600-607
Species: Hu, Rt
Applications: ELISA, IHC,  IHC-P, WB
DYC2510-2
Species: Hu, Mu, Rt
Applications: ELISA
NB100-1595
Species: Hu, Mu
Applications: IHC,  IHC-P, IP, WB
H00008850-M04
Species: Hu
Applications: ELISA, ICC/IF, S-ELISA, WB
AF887
Species: Hu, Mu, Rt
Applications: CyTOF-ready, IHC, ICFlow, Simple Western, WB
NBP1-87799
Species: Hu, Mu, Rt
Applications: ICC/IF, IHC,  IHC-P, WB
NB200-310
Species: Hu, Pm, Mu, Rt
Applications: ChIP, IP, WB
NBP2-67471
Species: Hu, Mu, Rt
Applications: ICC/IF, IHC,  IHC-P, WB
NB200-103
Species: Hu, Mu, Rt, Xp(-), Ye
Applications: CyTOF-ready, ELISA, Flow-IC, Flow, ICC/IF, IHC, IHC-Fr,  IHC-P, IP, WB
NBP2-24632
Species: Ca, Ch, Hu, Mu, Pm, Rt
Applications: IHC,  IHC-P, WB
AF1230
Species: Hu, Mu, Rt
Applications: IHC, KO, WB
NBP1-90256
Species: Hu
Applications: ChIP-EXO-SEQ, ICC/IF, IHC,  IHC-P, WB
MAB1417
Species: Bv, Hu, Mu
Applications: ICC, IHC

Publications for eIF4E Antibody (NB100-81898)(1)

We have publications tested in 1 confirmed species: Porcine.

We have publications tested in 1 application: WB.


Filter By Application
WB
(1)
All Applications
Filter By Species
Porcine
(1)
All Species

Reviews for eIF4E Antibody (NB100-81898) (0)

There are no reviews for eIF4E Antibody (NB100-81898). By submitting a review you will receive an Amazon e-Gift Card or Novus Product Discount.
  • Review with no image -- $10/€7/£6/$10 CAD/¥70 Yuan/¥1110 Yen
  • Review with an image -- $25/€18/£15/$25 CAD/¥150 Yuan/¥2500 Yen

Product General Protocols

Find general support by application which include: protocols, troubleshooting, illustrated assays, videos and webinars.

Video Protocols

WB Video Protocol
ICC/IF Video Protocol

FAQs for eIF4E Antibody (NB100-81898) (0)

There are no specific FAQs related to this product. Read our general customer & technical service FAQs.

Customers Who Bought This Also Bought

Contact Information

Product PDFs

Calculators

Concentration Calculator

The concentration calculator allows you to quickly calculate the volume, mass or concentration of your vial. Simply enter your mass, volume, or concentration values for your reagent and the calculator will determine the rest.

=
÷

Review this Product

Be the first to review our eIF4E [p Ser209] Antibody - BSA Free and receive a gift card or discount.

Bioinformatics

Gene Symbol EIF4E
Entrez
Uniprot