EBI3 Antibody

Images

 
Western Blot: IL-27/IL-35 EBI3 Subunit Antibody [NBP2-03944] - Total protein from human HeLa, K562 and mouse Raw264.7 cells was separated on a 4-20% gel by SDS-PAGE, transferred to PVDF membrane and blocked in 5% ...read more
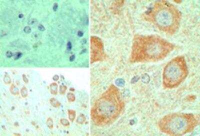
Immunohistochemistry-Paraffin: IL-27/IL-35 EBI3 Subunit Antibody [NBP2-03944] - Mouse brain tissue stained with EBI3 antibody at 5 ug/ml.
Immunohistochemistry-Paraffin: IL-27/IL-35 EBI3 Subunit Antibody [NBP2-03944] - Mouse brain tissue using an isotype control (top left) and (bottom left, right) at 5 ug/ml.

Product Details

Summary
Reactivity Hu, Mu, RtSpecies Glossary
Applications WB, IHC, IHC-P
Clonality
Polyclonal
Host
Rabbit
Conjugate
Unconjugated
Concentration
1.0 mg/ml

Order Details

EBI3 Antibody Summary

Immunogen
A portion of amino acids 200-230 of mouse EBI3 was used as the immunogen.
Isotype
IgG
Clonality
Polyclonal
Host
Rabbit
Gene
EBI3
Purity
Immunogen affinity purified
Innovator's Reward
Test in a species/application not listed above to receive a full credit towards a future purchase.

Applications/Dilutions

Dilutions
  • Western Blot 0.5-2 ug/ml
  • Immunohistochemistry 1:10-1:500
  • Immunohistochemistry-Paraffin 5 ug/ml

Reactivity Notes

The amino acid sequence used as immunogen is 100% homologous in mouse (isoforms CRA_a and CRA_b) and rat and 72% homologous in human, dog and rhesus monkey.

Packaging, Storage & Formulations

Storage
Store at 4C short term. Aliquot and store at -20C long term. Avoid freeze-thaw cycles.
Buffer
PBS
Preservative
0.05% Sodium Azide
Concentration
1.0 mg/ml
Purity
Immunogen affinity purified

Alternate Names for EBI3 Antibody

  • cytokine receptor
  • EBI3
  • EBI-3
  • EBV-induced gene 3 protein
  • Epstein-Barr virus induced 3
  • Epstein-Barr virus induced gene 3
  • Epstein-Barr virus-induced gene 3 protein
  • IL-27 beta
  • IL-27 subunit beta
  • IL27B
  • IL-27B
  • IL35 EBI3
  • IL-35 EBI3
  • interleukin-27 subunit beta

Background

EBI3 (Epstein-Barr virus Induced-3) is a secreted glycoprotein of the hematopoietin receptor family. It plays a critical regulatory role in the induction of Th2-type immune responses and the development of Th2-mediated tissue inflammation in vivo, which may be mediated through the control of iNKT cell function. EBI3 dimerizes with p28 and p35 subunits of IL-12 to form new proteins IL-27 and IL-35, respectively (Honglian Tong et al, 2010). IL-27 is an early product of activated antigen presenting cell that is produced upon TLR ligation. It negatively regulates Th17 cell differentiation. EBI3 is widely expressed and its expression in dendritic cell is transcriptionally regulated by TLR signaling via MyD88 and NF-kappaB during innate immune responses preceding cytokine driven Th cell development. EBI3 signal inhibits delayed-type hypersensitivity responses by suppressing IL-17 production and inducing IL-10 hyperproduction. EBI3 may play a novel role in controlling tumor metastasis via lung CD8+ T cells, and its deficiency is associated with a diminished production of Th2 cytokines which are known to regulate allergic airway inflammation in asthma. Targeted deletion of EBI3 protects mice from lung metastasis (Kerstin A et al, 2008).

Limitations

This product is for research use only and is not approved for use in humans or in clinical diagnosis. Primary Antibodies are guaranteed for 1 year from date of receipt.

Customers Who Viewed This Item Also Viewed...

MAB15041
Species: Hu
Applications: WB, IHC, CyTOF-ready, ICFlow
AF1147
Species: Hu
Applications: WB
NBP2-32691
Species: Hu
Applications: WB, IHC, IHC-P, IP
NBP2-13440
Species: Hu
Applications: WB, IHC, IHC-P
NBP2-02199
Species: Hu
Applications: WB, Flow, IHC, IHC-P
H00009527-B01P
Species: Hu
Applications: WB, ELISA, ICC/IF
NBP2-16197
Species: Hu, Mu
Applications: WB, ICC/IF, IHC, IHC-P
NBP1-89530
Species: Hu
Applications: WB, ICC/IF, IHC, IHC-P
AF2428
Species: Hu
Applications: WB
NBP1-92564
Species: Hu, Mu
Applications: WB, ICC/IF, IHC, IHC-P
NBP1-91931
Species: Hu, Mu, Rt
Applications: WB, ICC/IF, IHC, IHC-P
AF7250
Species: Hu
Applications: IHC
NBP2-23485
Species: Hu, Mu, Rt, Pm
Applications: WB, ELISA, IHC, IHC-P
NBP2-67360
Species: Hu, Mu, Rt
Applications: WB, Flow, ICC/IF, IHC, IHC-P, IP
NBP1-19371
Species: Hu, Mu, Rt, Ca, Rb
Applications: WB, Simple Western, Flow, ICC/IF, IHC, IHC-Fr, IHC-P
NBP2-03944
Species: Hu, Mu, Rt
Applications: WB, IHC, IHC-P
Supplier Logo

Publications for EBI3 Antibody (NBP2-03944) (0)

There are no publications for EBI3 Antibody (NBP2-03944).
By submitting your publication information earn gift cards and discounts for future purchases.

Reviews for EBI3 Antibody (NBP2-03944) (0)

There are no reviews for EBI3 Antibody (NBP2-03944). By submitting a review you will receive an Amazon e-Gift Card or Novus Product Discount.
  • Review with no image -- $10/€7/£6/$10 CAD/¥70 Yuan/¥1110 Yen
  • Review with an image -- $25/€18/£15/$25 CAD/¥150 Yuan/¥2500 Yen

Product General Protocols

Find general support by application which include: protocols, troubleshooting, illustrated assays, videos and webinars.

Video Protocols

WB Video Protocol

FAQs for EBI3 Antibody (NBP2-03944) (0)

There are no specific FAQs related to this product. Read our general customer & technical service FAQs.

Secondary Antibodies

 

Isotype Controls

Other Available Formats

Additional EBI3 Products

Bioinformatics Tool for EBI3 Antibody (NBP2-03944)

Discover related pathways, diseases and genes to EBI3 Antibody (NBP2-03944). Need help? Read the Bioinformatics Tool Guide for instructions on using this tool.
Visit Tool

Diseases for EBI3 Antibody (NBP2-03944)

Discover more about diseases related to EBI3 Antibody (NBP2-03944).
 

Pathways for EBI3 Antibody (NBP2-03944)

View related products by pathway.

PTMs for EBI3 Antibody (NBP2-03944)

Learn more about PTMs related to EBI3 Antibody (NBP2-03944).
 

Research Areas for EBI3 Antibody (NBP2-03944)

Find related products by research area.

Blogs on EBI3

There are no specific blogs for EBI3, but you can read our latest blog posts.
Recombinant Monoclonal Antibodies

Customers Who Bought This Also Bought

Contact Information

Product PDFs

Calculators

Concentration Calculator

The concentration calculator allows you to quickly calculate the volume, mass or concentration of your vial. Simply enter your mass, volume, or concentration values for your reagent and the calculator will determine the rest.

=
÷

Review this Product

Be the first to review our EBI3 Antibody and receive a gift card or discount.

Bioinformatics

Gene Symbol EBI3
Uniprot