Uroplakin IIIB Antibody - BSA Free

Images

 
Immunocytochemistry/ Immunofluorescence: Uroplakin IIIB Antibody [NBP1-92564] - Immunofluorescent staining of human cell line A-431 shows localization to nucleus & vesicles. Antibody staining is shown in green.
Immunohistochemistry-Paraffin: Uroplakin IIIB Antibody [NBP1-92564] - Staining of human liver shows no positivity in hepatocytes as expected.
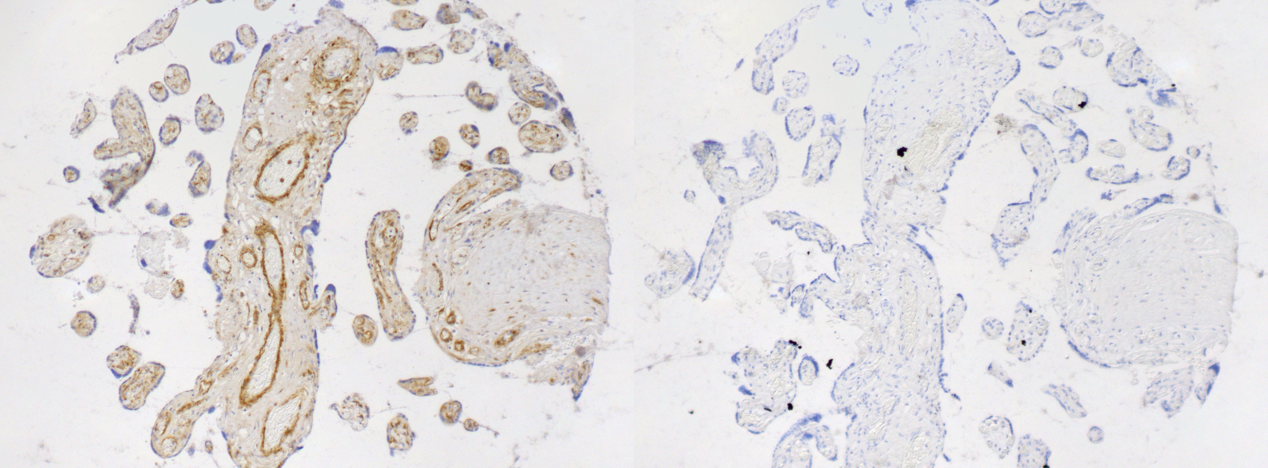
Immunohistochemistry: Uroplakin IIIB Antibody [NBP1-92564] - IHC using NBP1-92564 at a dilution of 1:300 on FFPE human placenta. Primary antibody was applied overnight at 4 C. HRP conjugated secondary antibody was ...read more
Immunohistochemistry-Paraffin: Uroplakin IIIB Antibody [NBP1-92564] - Staining of human urninary bladder shws strong postivity in apical membrane in urothelial cells.
Immunohistochemistry-Paraffin: Uroplakin IIIB Antibody [NBP1-92564] - Staining of human lung shows moderate membranous and cytoplasmic psotivity in macrophages.
Immunohistochemistry-Paraffin: Uroplakin IIIB Antibody [NBP1-92564] - Staining of human placenta shows no positivity in trophoblastic cells as expected.
Staining of human placenta shows no positivity in trophoblastic cells as expected.
Staining of human liver shows no positivity in hepatocytes as expected.
Staining of human lung shows moderate membranous and cytoplasmic positivity in macrophages.

Product Details

Summary
Reactivity HuSpecies Glossary
Applications ICC/IF, IHC
Clonality
Polyclonal
Host
Rabbit
Conjugate
Unconjugated
Format
BSA Free

Order Details

View Available Formulations
Catalog# & Formulation Size Price

Uroplakin IIIB Antibody - BSA Free Summary

Description
Novus Biologicals Rabbit Uroplakin IIIB Antibody - BSA Free (NBP1-92564) is a polyclonal antibody validated for use in IHC and ICC/IF. All Novus Biologicals antibodies are covered by our 100% guarantee.
Immunogen
This antibody was developed against Recombinant Protein corresponding to amino acids: ELVPYTPQITAWDLEGKVTATTFSLEQPRCVFDGLASASDTVWLVVA
Isotype
IgG
Clonality
Polyclonal
Host
Rabbit
Gene
UPK3B
Purity
Immunogen affinity purified
Innovator's Reward
Test in a species/application not listed above to receive a full credit towards a future purchase.

Applications/Dilutions

Dilutions
  • Immunocytochemistry/ Immunofluorescence 0.25-2 ug/ml
  • Immunohistochemistry 1:500 - 1:1000
  • Immunohistochemistry-Paraffin 1:500 - 1:1000
Application Notes
For IHC-Paraffin, HIER pH 6 retrieval is recommended. ICC/IF Fixation Permeabilization: Use PFA/Triton X-100.
Control Peptide
Uroplakin IIIB Recombinant Protein Antigen (NBP1-92564PEP)
Reviewed Applications
Read 1 Review rated 5
using
NBP1-92564 in the following applications:

Reactivity Notes

Immunogen displays the following percentage of sequence identity for non-tested species: Rat (81%).

Packaging, Storage & Formulations

Storage
Store at 4C short term. Aliquot and store at -20C long term. Avoid freeze-thaw cycles.
Buffer
PBS (pH 7.2) and 40% Glycerol
Preservative
0.02% Sodium Azide
Purity
Immunogen affinity purified

Alternate Names for Uroplakin IIIB Antibody - BSA Free

  • FLJ32198
  • MGC10902
  • p35
  • UP3b
  • UPIIIB
  • UPIIIbP35
  • uroplakin 3B
  • Uroplakin IIIb
  • uroplakin-3b

Background

UPK3B is a minor component of the apical plaques of mammalian urothelium that binds and dimerizes with uroplakin-1b (UPK1B; MIM 602380), one of the major conserved urothelium membrane proteins. The other major conserved integral membrane proteins of urothelial plaques are UPK1A (MIM 611557), UPK2 (MIM 611558), and UPK3A (MIM 611559) (Deng et al., 2002 [PubMed 12446744]).[supplied by OMIM]

Limitations

This product is for research use only and is not approved for use in humans or in clinical diagnosis. Primary Antibodies are guaranteed for 1 year from date of receipt.

Publications for Uroplakin IIIB Antibody (NBP1-92564) (0)

There are no publications for Uroplakin IIIB Antibody (NBP1-92564).
By submitting your publication information earn gift cards and discounts for future purchases.

Review for Uroplakin IIIB Antibody (NBP1-92564) (1) 51

Average Rating: 5
(Based on 1 review)
We have 1 review tested in 1 species: Human.

Reviews using NBP1-92564:
Filter by Applications
IHC
(1)
All Applications
Filter by Species
Human
(1)
All Species
Images Ratings Applications Species Date Details
Immunohistochemistry Uroplakin IIIB NBP1-92564
Enlarge
5
reviewed by:
Peter Caradonna
IHC Human 04/03/2017
View

Summary

ApplicationImmunohistochemistry
Sample TestedPlacental tissue
SpeciesHuman

Comments

CommentsIHC using NBP1-92564 at a dilution of 1:300 on FFPE human placenta. Primary antibody was applied overnight at 4 C. HRP conjugated secondary antibody was applied for 1 hour RT, then visualized with DAB. HIER was conducted using citrate buffer pH 6.0 at 95 C for 15 minutes. Incubation of primary antibody with immunogenic peptide shows no staining in adjacent control section.

Product General Protocols

Find general support by application which include: protocols, troubleshooting, illustrated assays, videos and webinars.

Video Protocols

ICC/IF Video Protocol

FAQs for Uroplakin IIIB Antibody (NBP1-92564) (0)

There are no specific FAQs related to this product. Read our general customer & technical service FAQs.

Secondary Antibodies

 

Isotype Controls

Additional Uroplakin IIIB Products

Research Areas for Uroplakin IIIB Antibody (NBP1-92564)

Find related products by research area.

Blogs on Uroplakin IIIB

There are no specific blogs for Uroplakin IIIB, but you can read our latest blog posts.

Customers Who Bought This Also Bought

Contact Information

Product PDFs

Calculators

Concentration Calculator

The concentration calculator allows you to quickly calculate the volume, mass or concentration of your vial. Simply enter your mass, volume, or concentration values for your reagent and the calculator will determine the rest.

=
÷

Recent Reviews

5
5
1
4
0
3
0
2
0
1
0

Peter Caradonna
04/03/2017
Application: IHC
Species: Human

Bioinformatics

Gene Symbol UPK3B