DCI Antibody - BSA Free

Images

 
Orthogonal Strategies: Immunohistochemistry-Paraffin: DCI Antibody [NBP1-91822] - Analysis in human duodenum and tonsil tissues using NBP1-91822 antibody. Corresponding ECI1 RNA-seq data are presented for the ...read more
Independent Antibodies: Immunohistochemistry-Paraffin: DCI Antibody [NBP1-91822] - Staining of human cerebral cortex, kidney, liver and testis using Anti-ECI1 antibody NBP1-91822 (A) shows similar protein ...read more
Independent Antibodies: Western Blot: DCI Antibody [NBP1-91822] - Analysis using Anti-ECI1 antibody NBP1-91822 (A) shows similar pattern to independent antibody NBP1-91821 (B).
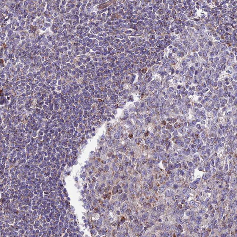
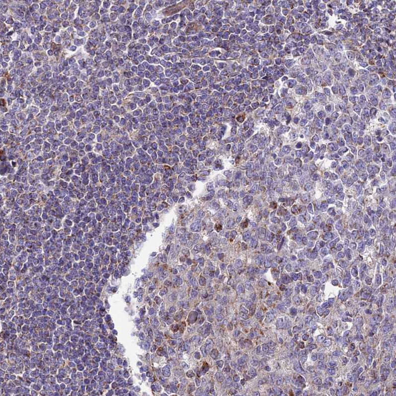
Immunohistochemistry-Paraffin: DCI Antibody [NBP1-91822] - Staining of human tonsil shows very weak granular ctyoplasmic positivity in germinal center cells.
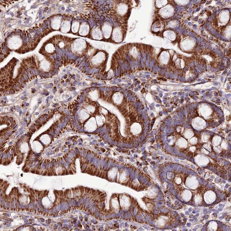
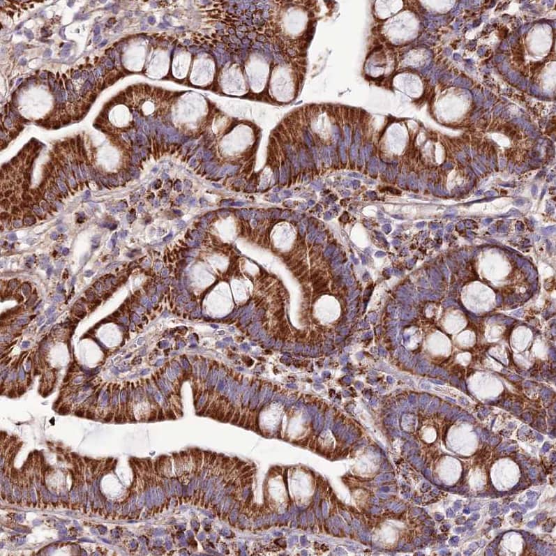
Immunohistochemistry-Paraffin: DCI Antibody [NBP1-91822] - Staining of human small intestine shows strong granular cytoplasmic positivity in glandular cells.
Immunohistochemistry-Paraffin: DCI Antibody [NBP1-91822] - Staining of human kidney shows strong granular cytoplasmic positivity in cells in tubules.
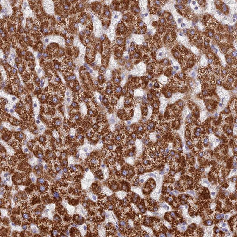
Immunohistochemistry-Paraffin: DCI Antibody [NBP1-91822] - Staining of human liver shows strong granular cytoplasmic positivity in hepatocytes.
Staining of human liver shows strong granular cytoplasmic positivity in hepatocytes.
Staining of human duodenum).
Staining of human tonsil shows very weak granular cytoplasmic positivity in germinal center cells.
Orthogonal Strategies: Analysis in human duodenum and tonsil tissues using NBP1-91822 antibody. Corresponding ECI1 RNA-seq data are presented for the same tissues.
Staining of human small intestine shows strong granular cytoplasmic positivity in glandular cells.
Staining of human kidney shows strong granular cytoplasmic positivity in cells in tubules.

Product Details

Summary
Reactivity HuSpecies Glossary
Applications WB, IHC
Clonality
Polyclonal
Host
Rabbit
Conjugate
Unconjugated
Format
BSA Free

Order Details

View Available Formulations
Catalog# & Formulation Size Price

DCI Antibody - BSA Free Summary

Description
Novus Biologicals Rabbit DCI Antibody - BSA Free (NBP1-91822) is a polyclonal antibody validated for use in IHC and WB. Anti-DCI Antibody: Cited in 1 publication. All Novus Biologicals antibodies are covered by our 100% guarantee.
Immunogen
This antibody was developed against Recombinant Protein corresponding to amino acids: FGSQRVLVEPDAGAGVAVMKFKNPPVNSLSLEFLTELVISLEKLENDKSFRGVILTSDRPGVFSAGLDLTEMCGRS
Isotype
IgG
Clonality
Polyclonal
Host
Rabbit
Gene
ECI1
Purity
Immunogen affinity purified
Innovator's Reward
Test in a species/application not listed above to receive a full credit towards a future purchase.

Applications/Dilutions

Dilutions
  • Immunohistochemistry 1:50 - 1:200
  • Immunohistochemistry-Paraffin 1:50-1:200
  • Western Blot 0.04 - 0.4 ug/ml
Application Notes
For IHC-Paraffin, HIER pH 6 retrieval is recommended.
Control Peptide
DCI Protein (NBP1-91822PEP)
Publications
Read Publication using
NBP1-91822 in the following applications:

  • WB
    1 publication

Reactivity Notes

Immunogen displays the following percentage of sequence identity for non-tested species: Rat (80%)

Packaging, Storage & Formulations

Storage
Store at 4C short term. Aliquot and store at -20C long term. Avoid freeze-thaw cycles.
Buffer
PBS (pH 7.2) and 40% Glycerol
Preservative
0.02% Sodium Azide
Purity
Immunogen affinity purified

Alternate Names for DCI Antibody - BSA Free

  • acetylene-allene isomerase
  • D2-enoyl-CoA isomerase
  • D3
  • DCI3,2-trans-enoyl-CoA isomerase3,2 trans-enoyl-CoA isomerase
  • Delta(2)-enoyl-CoA isomerase
  • Delta(3)
  • delta3, delta2-enoyl-CoA isomerase
  • dodecenoyl-CoA delta isomerase (3,2 trans-enoyl-CoA isomerase)
  • dodecenoyl-CoA isomerase3,2-trans-enoyl-CoA isomerase, mitochondrial
  • dodecenoyl-Coenzyme A delta isomerase (3,2 trans-enoyl-Coenzyme A isomerase)
  • EC 5.3.3.8
  • enoyl-CoA delta isomerase 13,2 trans-enoyl-Coenzyme A isomerase

Background

The DCI gene encodes a member of the hydratase/isomerase superfamily. The protein encoded is a key mitochondrial enzyme involved in beta-oxidation of unsaturated fatty acids. It catalyzes the transformation of 3-cis and 3-trans-enoyl-CoA esters arising durin

Limitations

This product is for research use only and is not approved for use in humans or in clinical diagnosis. Primary Antibodies are guaranteed for 1 year from date of receipt.

Customers Who Viewed This Item Also Viewed...

MAB1417
Species: Bv, Hu, Mu
Applications: ICC, IHC
NB100-1780
Species: Hu, Mu
Applications: Flow, PEP-ELISA, WB
NBP2-24669
Species: Hu, Mu, Pm
Applications: IHC,  IHC-P, WB
NBP2-32972
Species: Ch, Pm, Hu, Pm, Mu, Rt, Sh
Applications: Flow, ICC/IF, IHC,  IHC-P, WB
NBP2-33903
Species: Hu
Applications: IHC,  IHC-P
NBP1-02399
Species: Bt, Bv, Ca, Ha, Hu, Pm, Rb
Applications: IHC,  IHC-P
DY4517-05
Species: Mu
Applications: ELISA
AF1049
Species: Hu
Applications: IHC, WB
MAB1455
Species: Hu
Applications: CyTOF-ready, Dual ISH-IHC, ICC, IHC, ICFlow, Simple Western, WB
NBP1-87493
Species: Hu, Mu, Rt
Applications: IHC,  IHC-P, WB
NBP2-02771
Species: Hu, Mu, Rt
Applications: Flow, ICC/IF, IHC,  IHC-P, WB
AF5769
Species: Hu
Applications: IHC, WB
NBP2-20123
Species: Hu, Mu
Applications: ChIP, IHC,  IHC-P, IP, WB
NBP1-89283
Species: Hu
Applications: ICC/IF, IHC,  IHC-P, WB
NB400-114
Species: Ch, Fe, Ha, Hu, Mu, Pl, Po, Pm, Rt
Applications: ICC/IF, IHC,  IHC-P, IP, KD, WB
NB100-93521
Species: Hu
Applications: IHC,  IHC-P, PEP-ELISA, WB
DTSP10
Species: Hu
Applications: ELISA
NBP1-82862
Species: Hu
Applications: ICC/IF, IHC,  IHC-P
NBP1-62583
Species: Hu
Applications: WB
NBP1-91822
Species: Hu
Applications: WB, IHC

Publications for DCI Antibody (NBP1-91822)(1)

We have publications tested in 1 confirmed species: Human.

We have publications tested in 1 application: WB.


Filter By Application
WB
(1)
All Applications
Filter By Species
Human
(1)
All Species

Reviews for DCI Antibody (NBP1-91822) (0)

There are no reviews for DCI Antibody (NBP1-91822). By submitting a review you will receive an Amazon e-Gift Card or Novus Product Discount.
  • Review with no image -- $10/€7/£6/$10 CAD/¥70 Yuan/¥1110 Yen
  • Review with an image -- $25/€18/£15/$25 CAD/¥150 Yuan/¥2500 Yen

Product General Protocols

Find general support by application which include: protocols, troubleshooting, illustrated assays, videos and webinars.

Video Protocols

WB Video Protocol

FAQs for DCI Antibody (NBP1-91822) (0)

There are no specific FAQs related to this product. Read our general customer & technical service FAQs.

Customers Who Bought This Also Bought

Contact Information

Product PDFs

Calculators

Concentration Calculator

The concentration calculator allows you to quickly calculate the volume, mass or concentration of your vial. Simply enter your mass, volume, or concentration values for your reagent and the calculator will determine the rest.

=
÷

Review this Product

Be the first to review our DCI Antibody - BSA Free and receive a gift card or discount.

Bioinformatics

Gene Symbol ECI1