Sort By:
page of 1

DCI Antibodies

We offer DCI Antibodies for use in common research applications: ELISA, Immunocytochemistry/Immunofluorescence, Immunohistochemistry, Immunohistochemistry-Paraffin, Western Blot. Each DCI Antibody is fully covered by our Guarantee+, to give you complete peace of mind and the support when you need it. Our DCI Antibodies can be used in a variety of model species: Human, Mouse. Use the list below to choose the DCI Antibody which is most appropriate for your research; you can click on each one to view full technical details, images, references, reviews and related products. Choose from our DCI polyclonal antibodies.
Alternate Names for DCI Antibodies
anti-DCI antibody, anti-ECI1 antibody, anti-acetylene-allene isomerase antibody, anti-D2-enoyl-CoA isomerase antibody, anti-D3 antibody, anti-DCI3,2-trans-enoyl-CoA isomerase3,2 trans-enoyl-CoA isomerase antibody, anti-Delta(2)-enoyl-CoA isomerase antibody, anti-Delta(3) antibody, anti-delta3, delta2-enoyl-CoA isomerase antibody, anti-dodecenoyl-CoA delta isomerase (3,2 trans-enoyl-CoA isomerase) antibody, anti-dodecenoyl-CoA isomerase3,2-trans-enoyl-CoA isomerase, mitochondrial antibody, anti-dodecenoyl-Coenzyme A delta isomerase (3,2 trans-enoyl-Coenzyme A isomerase) antibody, anti-EC 5.3.3.8 antibody, anti-enoyl-CoA delta isomerase 13,2 trans-enoyl-Coenzyme A isomerase antibody
8 Results for "dci" in Primary Antibodies
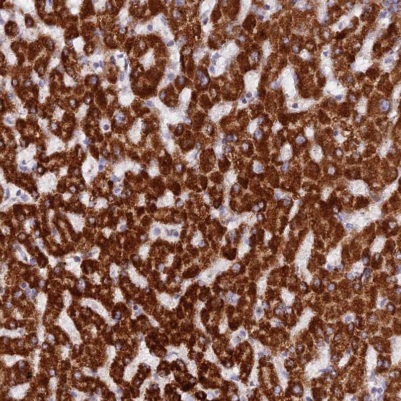
Hu
Species Glossary
Reactivity: Hu
WB, IHC
Applications: WB, IHC
Rabbit Polyclonal
Host: Rabbit Polyclonal
Sample Size Available
Sizes: Sample Size Available
Unconjugated  
         
Validated by:          
Available Formulations
Formulation Catalog # Availability Price  
compare
(select up to 3 products from this page to compare)
0.1 ml
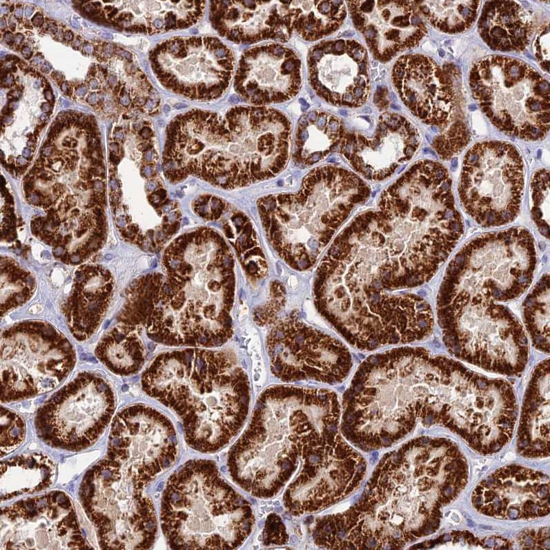
Hu
Species Glossary
Reactivity: Hu
WB, IHC
Applications: WB, IHC
Rabbit Polyclonal
Host: Rabbit Polyclonal
Sample Size Available
Sizes: Sample Size Available
Unconjugated  
         
Validated by:          
Available Formulations
Formulation Catalog # Availability Price  
compare
(select up to 3 products from this page to compare)
100 ul
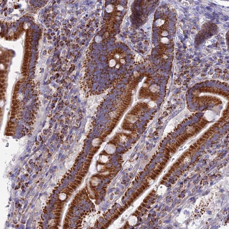
Hu, Mu
Species Glossary
Reactivity: Hu, Mu
WB, ELISA, ICC/IF, IHC
Applications: WB, ELISA, ICC/IF, IHC
Rabbit Polyclonal
Host: Rabbit Polyclonal
Unconjugated  
Available Formulations
Formulation Catalog # Availability Price  
compare
(select up to 3 products from this page to compare)
100 ul
Hu, Mu, Rt
Species Glossary
Reactivity: Hu, Mu, Rt
WB, ICC/IF, IHC
Applications: WB, ICC/IF, IHC
Rabbit Monoclonal
Host: Rabbit Monoclonal
Unconjugated  
compare
(select up to 3 products from this page to compare)
0.1 mg
Hu, Mu
Species Glossary
Reactivity: Hu, Mu
WB
Applications: WB
Rabbit Polyclonal
Host: Rabbit Polyclonal
Unconjugated  
compare
(select up to 3 products from this page to compare)
100 ul
Hu
Species Glossary
Reactivity: Hu
WB, IHC
Applications: WB, IHC
Rabbit Polyclonal
Host: Rabbit Polyclonal
Unconjugated  
compare
(select up to 3 products from this page to compare)
0.1 ml
Hu
Species Glossary
Reactivity: Hu
WB, IHC
Applications: WB, IHC
Rabbit Polyclonal
Host: Rabbit Polyclonal
Unconjugated  
compare
(select up to 3 products from this page to compare)
0.05 mg
Hu
Species Glossary
Reactivity: Hu
WB
Applications: WB
Mouse Polyclonal
Host: Mouse Polyclonal
Unconjugated  
compare
(select up to 3 products from this page to compare)
page of 1