CD45RO Antibody (SPM125) - Azide and BSA Free

Images

 
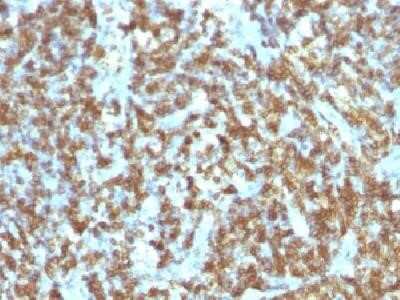
Immunohistochemistry-Paraffin: CD45RO Antibody (SPM125) - Azide and BSA Free [NBP2-34735] - Formalin-fixed. paraffin-embedded human Lymphoma stained with CD45RO Monoclonal Antibody SPM125

Product Details

Summary
Reactivity Hu, Pm, PmSpecies Glossary
Applications WB, Flow, ICC/IF, IHC, CyTOF-ready
Clone
SPM125
Clonality
Monoclonal
Host
Mouse
Conjugate
Unconjugated
Format
Azide and BSA Free
Concentration
1.0 mg/ml

Order Details

CD45RO Antibody (SPM125) - Azide and BSA Free Summary

Description
1.0 mg/ml of antibody purified from Bioreactor Concentrate by Protein A/G. Prepared in 10mM PBS WITHOUT BSA & azide. Also available at 200 ug/ml WITH BSA & azide (NBP2-32939).

Antibody with azide - store at 2 to 8C. Antibody without azide - store at -20 to -80C.
Immunogen
Cultured human T-cells from an IL-2-dependent T-cell line (CA1)
Localization
Cell surface
Marker
T-Cell Marker
Specificity
Recognizes a 180-185kDa protein, identified as isoform of leukocyte common antigen (CD45RO). The epitope recognized by this antibody is sensitive to neuraminidase digestion. This antibody reacts with mature activated T-cells, most thymocytes, and a sub-population of resting T-cells within both CD4 and CD8 subsets. It shows no reactivity with normal B or natural killer cells, but reacts with granulocytes and monocytes. Reportedly, it is useful to identify T-cell lymphomas and leukemias. It rarely stains NK cells or B-cell lymphomas.
Isotype
IgG2a Kappa
Clonality
Monoclonal
Host
Mouse
Gene
PTPRC
Purity
Protein A or G purified
Innovator's Reward
Test in a species/application not listed above to receive a full credit towards a future purchase.

Applications/Dilutions

Dilutions
  • CyTOF-ready
  • Flow Cytometry 0.5-1ug/million cells
  • Immunocytochemistry/ Immunofluorescence 1-2ug/ml
  • Immunohistochemistry
  • Immunohistochemistry-Paraffin 0.5-1ug/ml
  • Western Blot 0.5-1ug/ml
Application Notes
Immunohistochemistry (Formalin-fixed): 1-2ug/ml for 30 minutes at RT. Staining of formalin-fixed tissues requires heating tissue sections in 10mM Tris with 1mM EDTA, pH 9.0, for 45 min at 95C followed by cooling at RT for 20 minutes.
Optimal dilution for a specific application should be determined.

Reactivity Notes

Common Marmoset

Packaging, Storage & Formulations

Storage
Store at -20 to -80C. Avoid freeze-thaw cycles.
Buffer
10 mM PBS
Preservative
No Preservative
Concentration
1.0 mg/ml
Purity
Protein A or G purified

Alternate Names for CD45RO Antibody (SPM125) - Azide and BSA Free

  • B220
  • CD45 antigen
  • CD45R
  • CD45RO
  • EC 3.1.3.48
  • L-CA
  • LY5
  • protein tyrosine phosphatase, receptor type, C
  • receptor-type tyrosine-protein phosphatase C
  • T200 glycoprotein
  • T200 leukocyte common antigen
  • T200receptor type, c polypeptide

Background

CD45RO is a single chain transmembraneous glycoprotein which represents the low molecular weight isoform of the Leucocyte Common Antigen (LCA). It is expressed on most thymocytes, about 45% of peripheral blood T cells, virtually all T cells in skin reactive infiltrates, and the majority of T cell malignancies. It is also found on a subset of B cells and on exceptional B cell lymphomas.

Limitations

This product is for research use only and is not approved for use in humans or in clinical diagnosis. Primary Antibodies are guaranteed for 1 year from date of receipt.

Customers Who Viewed This Item Also Viewed...

7268-CT
Species: Hu
Applications: BA
NBP2-79843
Species: Hu
Applications: CyTOF-ready, ELISA, Flow, ICC/IF, IHC,  IHC-P, PA, WB
NB100-524
Species: Hu, Mu
Applications: Flow-IC, Flow, ICC/IF, IHC, IHC-Fr,  IHC-P, IP, WB
NBP1-19371
Species: Ca, Hu, Mu, Po, Rb, Rt
Applications: Dual ISH-IHC, Flow, ICC/IF, IHC, IHC-Fr,  IHC-P, Simple Western, WB
NB600-1441
Species: Ca, Hu, Mu, Po
Applications: Flow, ICC/IF, IHC, IHC-Fr,  IHC-P, KD
AF4117
Species: Rt
Applications: IHC, WB
NBP1-49045
Species: Mu, Rt
Applications: Cell Depl, CyTOF-ready, Flow, ICC/IF, IHC, IHC-Fr,  IHC-P, IP, InhibTFunc
202-IL
Species: Hu
Applications: BA
6507-IL/CF
Species: Hu
Applications: BA
NBP2-54591
Species: Hu
Applications: CyTOF-ready, Flow, ICC/IF, IHC,  IHC-P, PA
NBP2-67309
Species: Hu, Rt
Applications: Flow, ICC/IF, IHC,  IHC-P, IP, WB
NB110-89474
Species: Bv, Ce, ChHa, Hu, Pm, Mu, Rt, RM
Applications: Dual ISH-IHC, Flow-CS, Flow, ICC/IF, IHC, IHC-Fr,  IHC-P, ISH, Simple Western, Single-Cell Western, WB
BBA10
Species: Hu
Applications: CyTOF-ready, Flow, IHC, IP, KO, Simple Western, WB
M6000B
Species: Mu
Applications: ELISA
NBP2-25196
Species: Hu, Mu
Applications: CyTOF-ready, Flow, ICC/IF, In vitro, WB
485-MI
Species: Mu
Applications: BA
DC140
Species: Hu
Applications: ELISA
NBP2-93743
Species: Hu, Mu, Rt
Applications: ICC/IF, WB
MAB17781
Species: Hu
Applications: Block, CyTOF-ready, Flow, ICC, IP, KO

Publications for CD45RO Antibody (NBP2-34735) (0)

There are no publications for CD45RO Antibody (NBP2-34735).
By submitting your publication information earn gift cards and discounts for future purchases.

Reviews for CD45RO Antibody (NBP2-34735) (0)

There are no reviews for CD45RO Antibody (NBP2-34735). By submitting a review you will receive an Amazon e-Gift Card or Novus Product Discount.
  • Review with no image -- $10/€7/£6/$10 CAD/¥70 Yuan/¥1110 Yen
  • Review with an image -- $25/€18/£15/$25 CAD/¥150 Yuan/¥2500 Yen

Product General Protocols

Find general support by application which include: protocols, troubleshooting, illustrated assays, videos and webinars.

Video Protocols

WB Video Protocol
ICC/IF Video Protocol

FAQs for CD45RO Antibody (NBP2-34735). (Showing 1 - 1 of 1 FAQ).

  1. I cannot find any anti-mouse CD45RO for FACS. Have any of your anti-Human CD45RO been tested on mouse T cells?
    • Unfortunately, none of our CD45RO antibodies for Flow Cytometry have been validated on mouse. If you would be interested in testing the antibody on mouse, we would recommend Our Innovators Reward Program. Under the terms and conditions of this program we would be happy to provide you with a credit of equal or lesser value, in exchange for your online review including an image of either positive or negative staining for testing in a new species and/or application. Please contact us at innovators@novusbio.com with any questions regarding this program.

Customers Who Bought This Also Bought

Contact Information

Product PDFs

Calculators

Concentration Calculator

The concentration calculator allows you to quickly calculate the volume, mass or concentration of your vial. Simply enter your mass, volume, or concentration values for your reagent and the calculator will determine the rest.

=
÷

Review this Product

Be the first to review our CD45RO Antibody (SPM125) - Azide and BSA Free and receive a gift card or discount.

Bioinformatics

Gene Symbol PTPRC