CD45 Antibody (CL0160) - Azide and BSA Free

Images

 
Lane 1: Marker [kDa]Lane 2: Human cell line JurkatLane 3: Human cell line MCF-7
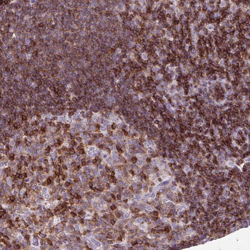
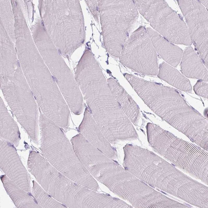
Orthogonal Strategies: Analysis in human tonsil and skeletal muscle tissues using NBP3-44489 antibody. Corresponding PTPRC RNA-seq data are presented for the same tissues.
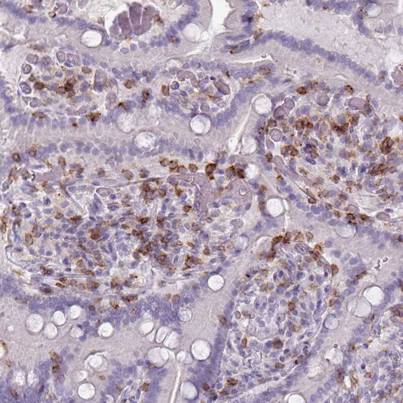
Staining of human duodenum shows moderate membranous positivity in lymphoid cells.
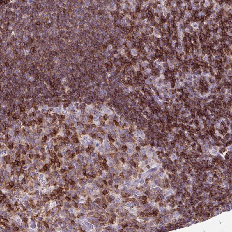
Staining of human lymph node shows moderate to strong membranous positivity in lymphoid cells.
Staining of human skeletal muscle shows no positivity in myocytes as expected.
Staining of human tonsil shows strong membranous positivity in lymphoid cells.

Product Details

Summary
Reactivity HuSpecies Glossary
Applications WB, IHC
Clone
CL0160
Clonality
Monoclonal
Host
Mouse
Conjugate
Unconjugated
Format
Azide and BSA Free
Concentration
LYOPH
Validated by:
       

Orthogonal Strategies

 

Order Details

CD45 Antibody (CL0160) - Azide and BSA Free Summary

Description
Novus Biologicals Mouse CD45 Antibody (CL0160) - Azide and BSA Free (NBP2-14783) is a monoclonal antibody validated for use in IHC and WB. All Novus Biologicals antibodies are covered by our 100% guarantee.
Immunogen
This antibody was generated using a recombinant protein sequence of P08575, with the exact immunogen sequence remaining proprietary.
Isotype
IgG2a
Clonality
Monoclonal
Host
Mouse
Gene
PTPRC
Purity
Protein A purified
Innovator's Reward
Test in a species/application not listed above to receive a full credit towards a future purchase.

Applications/Dilutions

Dilutions
  • Immunohistochemistry-Paraffin 1:500 - 1:1000
  • Western Blot 1 ug/ml
Application Notes
For IHC-Paraffin, HIER pH 6 retrieval is recommended.

Packaging, Storage & Formulations

Storage
Store at 4C short term. Aliquot and store at -20C long term. Avoid freeze-thaw cycles.
Buffer
Lyophilized from a 0.2 um filtered solution in PBS with Trehalose
Preservative
No Preservative
Concentration
LYOPH
Purity
Protein A purified
Reconstitution Instructions
Centrifuge the vial of lyophilized antibody at 12,000 x g for 20 seconds. Reconstitute by adding sterile, distilled water to achieve a final antibody concentration of 1mg/ml.

Alternate Names for CD45 Antibody (CL0160) - Azide and BSA Free

  • B220
  • CD_antigen: CD45
  • CD45 antigen
  • CD45
  • CD45R
  • EC 3.1.3.48
  • EC:3.1.3.48
  • GP180
  • LCA
  • L-CA
  • Leukocyte common antigen
  • LY5
  • protein tyrosine phosphatase, receptor type, c polypeptide
  • PTPRC
  • receptor-type tyrosine-protein phosphatase C
  • T200 Glycoprotein
  • T200 leukocyte common antigen
  • T200

Background

CD45, also known as leukocyte common antigen (LCA), T200, or Ly5, is a member C of the class 1 receptor-like protein tyrosine phosphatase (PTPRC) family (1, 2). It is a transmembrane glycoprotein which, due to alternative splicing, has a multiple isoforms with a theoretical molecular weight ranging from 180 - 220 kDa (1, 3-5). Human CD45 is synthesized as a 1281 amino acid sequence consisting of an alternatively spliced extracellular receptor-like region, a cysteine-rich domain, fibronectin-like III repeats, a transmembrane segment, and a cytoplasmic region with tandem protein tyrosine phosphatase (PTP) domains: the membrane proximal domain (D1) and the membrane distal domain (D2) (3, 5). CD45 is expressed on all nucleated hematopoietic cells and their precursors, except mature red blood cells, and is one of the most abundantly-expressed cell-surface glycoproteins, comprising approximately 10% of surface proteins in lymphocytes (3). Functionally, CD45 is essential for development and activation of T-cells and B-cells (1-5). More specifically, CD45 positively regulates antigen receptor signaling and Src-family member kinase activity (1, 3). There are many ways to regulate CD45 phosphatase activity including ligand binding, dimerization, protein interactions, cellular localization, and covalent modifications (3, 6). Ligands for CD45 include pUL11, a transmembrane protein of the cytomegalovirus RL11 (CMV RL11) family, and placental protein 14 (PP14), both of which exclusively bind CD45, and various lectins including CD22, galectin-1, galectin-3, macrophage mannose receptor (MR), and macrophage galactose-type lectin (MGL) (6).

Given its role in immune cell development and activation, CD45 has also been linked to a variety of diseases. The importance of CD45 in immunity has been revealed in human and mouse studies where CD45-deficiency leads to a severe-combined immunodeficiency (SCID) phenotype (2, 3, 6). A CD45-knockout mice study revealed inhibited thymocyte production and poor B-cell response, whereas CD45 activation in mice causes lymphoproliferation and autoantibody production (3). CD45 variants have been associated with altered immune function and autoimmune disorders including multiple sclerosis, systemic lupus erythematosus (SLE), and rheumatoid arthritis (6). Furthermore, altered CD45 expression has been implicated in oncological conditions including chronic lymphatic leukemia, acute lymphatic leukemia, Hodgkin lymphoma, multiple myeloma, and diffuse large B-cell lymphoma (6). Considering its role in autoimmune disorders, immunodeficiency and cancer, CD45 is an ideal therapeutic target (3, 6). The main approaches to control CD45 function is through either selective inhibitors or anti-CD45 antibodies (3).

Alternative names for CD45 includes B220, CD antigen: CD45, CD45 antigen, CD45R, EC 3.1.3.48, GP180, LCA, Leukocyte common antigen, LY5, protein tyrosine phosphatase receptor type c polypeptide, PTPRC, receptor-type tyrosine-protein phosphatase C, T200 Glycoprotein, and T200.

References

1. Trowbridge, I. S., & Thomas, M. L. (1994). CD45: an emerging role as a protein tyrosine phosphatase required for lymphocyte activation and development. Annual review of immunology. https://doi.org/10.1146/annurev.iy.12.040194.000505

2. Andersen, J. N., Jansen, P. G., Echwald, S. M., Mortensen, O. H., Fukada, T., Del Vecchio, R., Tonks, N. K., & Moller, N. P. (2004). A genomic perspective on protein tyrosine phosphatases: gene structure, pseudogenes, and genetic disease linkage. FASEB journal : official publication of the Federation of American Societies for Experimental Biology.

3. Hermiston, M. L., Xu, Z., & Weiss, A. (2003). CD45: a critical regulator of signaling thresholds in immune cells. Annual review of immunology. https://doi.org/10.1146/annurev.immunol.21.120601.140946

4. Tonks, N. K., Diltz, C. D., & Fischer, E. H. (1990). CD45, an integral membrane protein tyrosine phosphatase. Characterization of enzyme activity. The Journal of biological chemistry.

5. Nam, H. J., Poy, F., Saito, H., & Frederick, C. A. (2005). Structural basis for the function and regulation of the receptor protein tyrosine phosphatase CD45. The Journal of experimental medicine. https://doi.org/10.1084/jem.20041890

6. Rheinlander, A., Schraven, B., & Bommhardt, U. (2018). CD45 in human physiology and clinical medicine. Immunology letters. https://doi.org/10.1016/j.imlet.2018.01.009

Limitations

This product is for research use only and is not approved for use in humans or in clinical diagnosis. Primary Antibodies are guaranteed for 1 year from date of receipt.

Customers Who Viewed This Item Also Viewed...

7268-CT
Species: Hu
Applications: BA
NBP2-79843
Species: Hu
Applications: CyTOF-ready, ELISA, Flow, ICC/IF, IHC,  IHC-P, PA, WB
NB100-524
Species: Hu, Mu
Applications: Flow-IC, Flow, ICC/IF, IHC, IHC-Fr,  IHC-P, IP, WB
NBP1-19371
Species: Ca, Hu, Mu, Po, Rb, Rt
Applications: Dual ISH-IHC, Flow, ICC/IF, IHC, IHC-Fr,  IHC-P, Simple Western, WB
NB600-1441
Species: Ca, Hu, Mu, Po
Applications: Flow, ICC/IF, IHC, IHC-Fr,  IHC-P, KD
AF4117
Species: Rt
Applications: IHC, WB
NBP1-49045
Species: Mu, Rt
Applications: Cell Depl, CyTOF-ready, Flow, ICC/IF, IHC, IHC-Fr,  IHC-P, IP, InhibTFunc
202-IL
Species: Hu
Applications: BA
6507-IL/CF
Species: Hu
Applications: BA
NBP2-54591
Species: Hu
Applications: CyTOF-ready, Flow, ICC/IF, IHC,  IHC-P, PA
NBP2-67309
Species: Hu, Rt
Applications: Flow, ICC/IF, IHC,  IHC-P, IP, WB
NB110-89474
Species: Bv, Ce, ChHa, Hu, Pm, Mu, Rt, RM
Applications: Dual ISH-IHC, Flow-CS, Flow, ICC/IF, IHC, IHC-Fr,  IHC-P, ISH, Simple Western, Single-Cell Western, WB
BBA10
Species: Hu
Applications: CyTOF-ready, Flow, IHC, IP, KO, Simple Western, WB
M6000B
Species: Mu
Applications: ELISA
NBP2-25196
Species: Hu, Mu
Applications: CyTOF-ready, Flow, ICC/IF, In vitro, WB
485-MI
Species: Mu
Applications: BA
DC140
Species: Hu
Applications: ELISA
NBP2-93743
Species: Hu, Mu, Rt
Applications: ICC/IF, WB
MAB17781
Species: Hu
Applications: Block, CyTOF-ready, Flow, ICC, IP, KO

Publications for CD45 Antibody (NBP3-44489) (0)

There are no publications for CD45 Antibody (NBP3-44489).
By submitting your publication information earn gift cards and discounts for future purchases.

Reviews for CD45 Antibody (NBP3-44489) (0)

There are no reviews for CD45 Antibody (NBP3-44489). By submitting a review you will receive an Amazon e-Gift Card or Novus Product Discount.
  • Review with no image -- $10/€7/£6/$10 CAD/¥70 Yuan/¥1110 Yen
  • Review with an image -- $25/€18/£15/$25 CAD/¥150 Yuan/¥2500 Yen

Product General Protocols

Find general support by application which include: protocols, troubleshooting, illustrated assays, videos and webinars.

Video Protocols

WB Video Protocol

FAQs for CD45 Antibody (NBP3-44489). (Showing 1 - 4 of 4 FAQ).

  1. We would like to order a CD45 antibody to stain immune cells that were isolated from a ligated sciatic nerve of mice with double immunofluorescence (using PFA-fixed tissue on slides). Which of the following rat monoclonal CD45 antibodies would you recommend: 30-F11, IBL-3/16 or 5C16?
    • I would recommend clone 30-F11. As clone IBL-3/16 has not yet been validated for IHC-P application, we would not be able to guarantee its workability on PFA-fixed tissue. Although both other clones i.e. 30-F11 and 5C16, would be good for your samples, CD45 30-F11 # NB100-77417 is a well known clone that offers more flexibility around protocol because of availability of its conjugated forms. It would be advantageous to use a conjugated primary as you are planning for double-immunostaining procedure.
  2. For use in Western Blot with CD45 antibodies, what molecular weight of the band should I expect to see?
    • The theoretical molecular weight for most of our CD45 antibodies is 147 kDa based off the first isoform. Any variation on 147 is due to the immunogen being from a different species and the protein being a slightly different size. CD45 is a family of single chain transmembraneous glycoproteins consisting of at least four isoforms (220, 205, 190, 180 kDa) which share a common large intracellular domain. Their extracellular domains are heavily glycosylated.
  3. If this product is used in an application or species as a part of a customer review, will that validate this product in the application/species?
    • If any of our primary antibodes are used in an untested application or species and it is shown to work through images from customer reviews or through publications, this validates the application/species for this product, allowing the tested application/species to fall under our 100% guarantee. Please check out our Innovator's Reward Program if you decide to test a primary antibody with a species or application that is not currently listed. Please note that the Innovator's Reward Program only applies to our primary antibodies.
  4. Is CD45 a good target for use in Neurodegeneration studies?
    • Yes, here are the approved research areas we have listed for our CD45 products: Adaptive Immunity, Cell Biology, Cellular Markers, Cytokine Research, Glia Markers, Hematopoietic Stem Cell Markers, Immunology, Innate Immunity, Mast Cell Markers, Mesenchymal Stem Cell Markers, Microglia Markers, Myeloid Cell Markers, Myeloid-derived Suppressor, Neurodegeneration, Neuroscience, Signal Transduction, Stem Cell Markers, Growth and Development.

Secondary Antibodies

 

Isotype Controls

Additional CD45 Products

Research Areas for CD45 Antibody (NBP3-44489)

Find related products by research area.

Blogs on CD45.


  Read full blog post.

How To Identify B Cell Subsets Using Flow Cytometry
By Victoria OsinskiUsing Flow Cytometry to Identify B Cell SubsetsIdentifying cellular subsets by flow cytometry requires careful and thorough planning in order to ensure the correct subset of cells are identified...  Read full blog post.

You complete me: Natural killer cells need TGF-beta inhibition to effectively combat cancers
By Jamshed Arslan Pharm.D. Natural killer (NK) cells are lymphocytes of the innate immune system that were first discovered for their “natural” ability to kill cancer cells. To use NK cells as anti-cancer therapy, t...  Read full blog post.

The application of CD31/Pecam-1 (MEC 7.46) in breast cancer research
CD31/PECAM-1, or platelet endothelial cell adhesion molecule 1, is a 130-kDa glycoprotein expressed on vascular and hematopoietic cells.  Depending on the cell type, CD31/PECAM-1 expression can be largely localized to cell junctions, playing a rol...  Read full blog post.

CD45 - Much more than just a housekeeping protein
CD45, also known as T200 or the Leukocyte Common Antigen (LCA), is encoded by the Protein Tyrosine Phosphatase Receptor type C (PTPRC) gene. The protein is expressed exclusively on cells of the haematopoietic system, and is one of the most abundant le...  Read full blog post.

CD45 Isoforms: Hematopoietic Differentiation, Cancer and Alzheimer's
CD45, also known as protein tyrosine phosphatase, receptor type, C (PTPRC), was originally known as common leukocyte antigen and is a signal transducer involved in many physiological processes such as growth and differentiation, cancer transformation,...  Read full blog post.

Vimentin Antibodies in Rheumatoid Arthritis & Cataracts Research
Vimentin is a 57kDa type III intermediate filament (IF) protein that is the major cytoskeletal component of mesenchymal cells and the first to be expressed during cell differentiation. It plays a significant role in supporting and anchoring the positi...  Read full blog post.

Antibodies In The Differential Diagnosis Of Undifferentiated Tumors
Immunohistochemical testing using antibody panels has a valuable role in cancer diagnosis. Some tumors, especially more malignant ones, tend to lose the appearance of the tissue of origin. However, knowing the tissue of origin assists the physician in...  Read full blog post.

Customers Who Bought This Also Bought

Contact Information

Product PDFs

Calculators

Concentration Calculator

The concentration calculator allows you to quickly calculate the volume, mass or concentration of your vial. Simply enter your mass, volume, or concentration values for your reagent and the calculator will determine the rest.

=
÷

Review this Product

Be the first to review our CD45 Antibody (CL0160) - Azide and BSA Free and receive a gift card or discount.

Bioinformatics

Gene Symbol PTPRC