CCR9 Antibody - BSA Free

Images

 
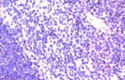
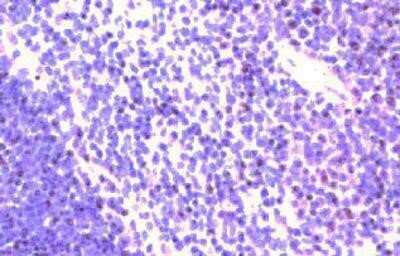
Immunohistochemistry-Paraffin: CCR9 Antibody [NB100-708] - Analysis using the Biotin conjugate of NB100-708. Staining of mouse spleen.

Product Details

Summary
Product Discontinued
View other related CCR9 Primary Antibodies

Order Details


    • Catalog Number
      NB100-708
    • Availability
      Product Discontinued

    Can't find what you are looking for? Use our Antibody Concierge Service & we will help you locate your antibody!

    Or feel free to contact us for alternative products.

CCR9 Antibody - BSA Free Summary

Description
This product is likely to be neutralizing because the antibody to similiar domains of human CCR9 block TECK induced activation of ES-2 cells.
Immunogen
Synthetic peptide: IPGMFDDFSYDSTASTDDYMNLNFSSFF, corresponding to amino acids 10-37 of Mouse CCR9.
Localization
Cell Membrane
Specificity
Peptide sequence is < 50 % identical to other mouse chemokine receptors in this region.
Isotype
IgG
Clonality
Polyclonal
Host
Goat
Gene
CCR9
Purity
Immunogen affinity purified
Innovator's Reward
Test in a species/application not listed above to receive a full credit towards a future purchase.

Applications/Dilutions

Dilutions
  • Flow Cytometry 1:100
  • Immunohistochemistry 1:125
  • Immunohistochemistry-Paraffin 1:125
Application Notes
ELISA: Use at a dilution of 1/100,000. Flow Cytometry Use at a dilution of 1/200. ICC: Use at a dilution of 1/500. IHC-P: Use at a dilution of 1/250. WB: Use at a dilution of 1/1000. Not tested in other applications.Optimal dilutions/concentrations should be determined by the end user.
Publications
Read Publication using
NB100-708 in the following applications:

Reactivity Notes

Likely to cross-react with human CCR9 with approximately 50% less titer.

Packaging, Storage & Formulations

Storage
Store at -20C. Avoid freeze-thaw cycles.
Buffer
10mM KHPO4 and 0.14M NaCl
Preservative
0.1% Sodium Azide
Concentration
1.0 mg/ml
Purity
Immunogen affinity purified

Notes

This product is likely to be neutralizing because the antibody to similiar domains of human CCR9 block TECK induced activation of ES-2 cells.

Alternate Names for CCR9 Antibody - BSA Free

  • C-C chemokine receptor type 9
  • C-C CKR-9
  • CC-CKR-9
  • CCR9
  • CCR-9
  • CD199
  • CDw199 antigen
  • CDw199
  • chemokine (C-C motif) receptor 9
  • G protein-coupled receptor 28
  • GPR28
  • GPR-9-6G-protein coupled receptor 28

Background

The protein encoded by this gene is a member of the beta chemokine receptor family. It is predicted to be a seven transmembrane protein similar to G protein coupled receptors. Chemokines and their receptors are key regulators of the thymocytes migration and maturation in normal and inflammation conditions. This gene is expressed in a range of tissues and hemopoietic cells. The expression of this receptor in lymphatic endothelial cells and overexpression in vascular tumors suggested its function in chemokine-driven recirculation of leukocytes and possible chemokine effects on the development and growth of vascular tumors. This receptor appears to bind the majority of beta-chemokine family members; however, its specific function remains unknown. The specific ligand of this receptor is CCL25. It has been found that this gene is differentially expressed by T lymphocytes of small intestine and colon, suggested a role in the thymocytes recruitment and development that may permit functional specialization of immune responses in different segment of the gastrointestinal tract. This gene is mapped to chromosome 3p21.3, a region that includes a cluster of chemokine receptor genes. Two alternatively spliced transcript variants have been described.

Limitations

This product is for research use only and is not approved for use in humans or in clinical diagnosis. Primary Antibodies are guaranteed for 1 year from date of receipt.

Customers Who Viewed This Item Also Viewed...

481-TK
Species: Mu
Applications: BA
MAB197
Species: Hu
Applications: CyTOF-reported, Dual ISH-IHC, Flow, ICC, IHC, Neut
NBP1-19371
Species: Ca, Hu, Mu, Po, Rb, Rt
Applications: Dual ISH-IHC, Flow, ICC/IF, IHC, IHC-Fr,  IHC-P, Simple Western, WB
MAB172
Species: Hu
Applications: CyTOF-ready, Flow, IHC, Neut
MAB6899
Species: Hu
Applications: CyTOF-ready, Flow
NBP1-49045
Species: Mu, Rt
Applications: Cell Depl, CyTOF-ready, Flow, ICC/IF, IHC, IHC-Fr,  IHC-P, IP, InhibTFunc
MAB182
Species: Hu
Applications: CyTOF-ready, Flow, ICC, Neut
MAB1364
Species: Hu
Applications: CyTOF-ready, Flow
NB100-56319
Species: Hu
Applications: Flow-CS, Flow-IC, Flow, IHC, IHC-Fr, Simple Western, WB
MAB160
Species: Hu
Applications: CyTOF-ready, Flow, IHC, Neut
MAB5519
Species: Mu
Applications: CyTOF-ready, Flow, ICC
MAB1567
Species: Hu
Applications: CyTOF-reported, Flow
MAB195
Species: Hu
Applications: CyTOF-ready, Flow, IHC
NBP1-86564
Species: Hu
Applications: ICC/IF, IHC,  IHC-P
MAB533
Species: Mu
Applications: Neut, WB
NBP1-72042
Species: Hu, Mu, Rt
Applications: ICC/IF, IHC,  IHC-P, PEP-ELISA, WB
350-NS
Species: Fe, Hu, RM
Applications: BA, BA
BBA24
Species: Hu
Applications: CyTOF-ready, ELISA(Cap), ELISA(Det), ELISA(Sta), Flow
NB100-708
Species: Hu, Mu
Applications: Flow, IHC

Publications for CCR9 Antibody (NB100-708)(1)

We have publications tested in 1 confirmed species: Mouse.

We have publications tested in 1 application: FLOW.


Filter By Application
FLOW
(1)
All Applications
Filter By Species
Mouse
(1)
All Species

Reviews for CCR9 Antibody (NB100-708) (0)

There are no reviews for CCR9 Antibody (NB100-708). By submitting a review you will receive an Amazon e-Gift Card or Novus Product Discount.
  • Review with no image -- $10/€7/£6/$10 CAD/¥70 Yuan/¥1110 Yen
  • Review with an image -- $25/€18/£15/$25 CAD/¥150 Yuan/¥2500 Yen

Product General Protocols

Find general support by application which include: protocols, troubleshooting, illustrated assays, videos and webinars.

FAQs for CCR9 Antibody (NB100-708) (0)

There are no specific FAQs related to this product. Read our general customer & technical service FAQs.

Secondary Antibodies

 

Isotype Controls

Additional CCR9 Products

Array NB100-708

Research Areas for CCR9 Antibody (NB100-708)

Find related products by research area.

Blogs on CCR9

There are no specific blogs for CCR9, but you can read our latest blog posts.

Contact Information

Product PDFs

Calculators

Concentration Calculator

The concentration calculator allows you to quickly calculate the volume, mass or concentration of your vial. Simply enter your mass, volume, or concentration values for your reagent and the calculator will determine the rest.

=
÷

Review this Product

Be the first to review our CCR9 Antibody - BSA Free and receive a gift card or discount.

Bioinformatics

Gene Symbol CCR9
Entrez
Uniprot