BRD4 Antibody (CL1118) - Azide and BSA Free

Images

 
Lane 1: Marker [kDa]Lane 2: Human cell line U-251 MG
Staining of human cerebral cortex shows moderate to strong nuclear positivity in neurons.
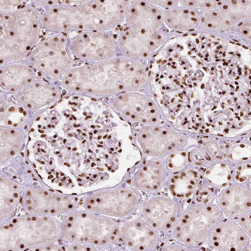
Staining of human kidney shows moderate to strong nuclear positivity in cells in tubules and in glomeruli.
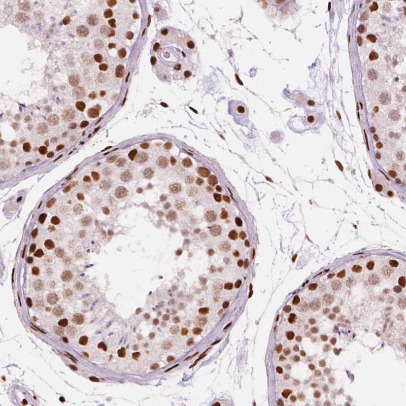
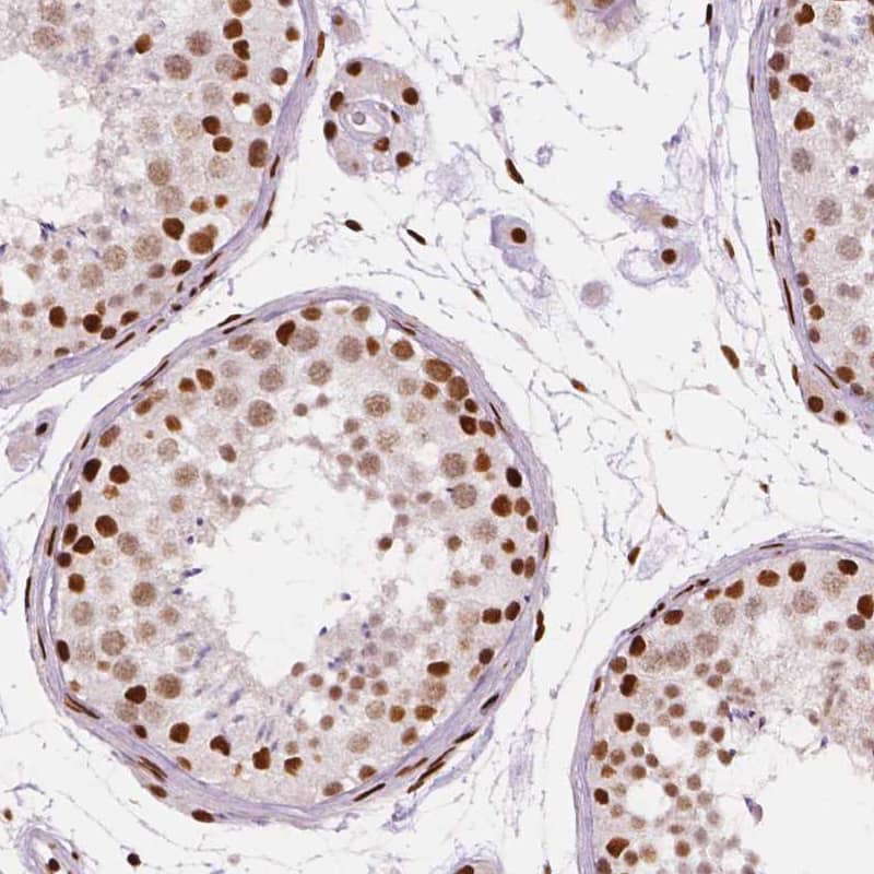
Staining of human testis shows moderate to strong nuclear positivity in cells in seminiferous ducts.
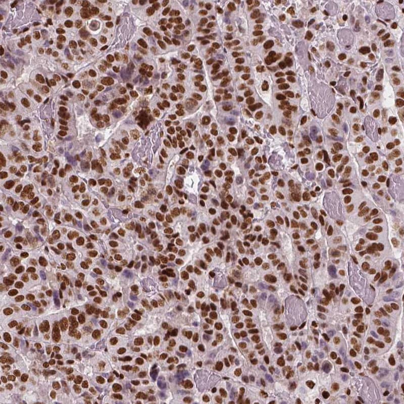
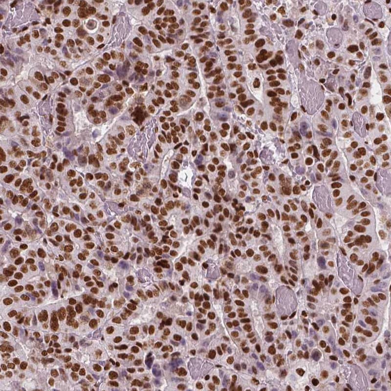
Staining of human stomach cancer shows moderate to strong nuclear positivity in tumor cells.
Staining of MCF-7 cells using the Anti-BRD4 monoclonal antibody) .

Product Details

Summary
Reactivity HuSpecies Glossary
Applications WB, ICC/IF, IHC
Clone
CL1118
Clonality
Monoclonal
Host
Mouse
Conjugate
Unconjugated
Format
Azide and BSA Free
Concentration
LYOPH

Order Details

BRD4 Antibody (CL1118) - Azide and BSA Free Summary

Description
Novus Biologicals Mouse BRD4 Antibody (CL1118) - Azide and BSA Free (NBP2-52959) is a monoclonal antibody validated for use in IHC, WB and ICC/IF. All Novus Biologicals antibodies are covered by our 100% guarantee.
Immunogen
This antibody was generated using a recombinant protein sequence of O60885, with the exact immunogen sequence remaining proprietary.
Isotype
IgG1
Clonality
Monoclonal
Host
Mouse
Gene
BRD4
Purity
Protein A purified
Innovator's Reward
Test in a species/application not listed above to receive a full credit towards a future purchase.

Applications/Dilutions

Dilutions
  • Immunocytochemistry/ Immunofluorescence 2-10 ug/ml
  • Immunohistochemistry-Paraffin 1:200 - 1:500
  • Western Blot 1 ug/ml
Application Notes
For IHC-Paraffin, HIER pH 6 retrieval is recommended. Immunocytochemistry/ Immunofluorescence/IF Fixation/Permeabilization: PFA/Triton X-100.

Packaging, Storage & Formulations

Storage
Store at 4C short term. Aliquot and store at -20C long term. Avoid freeze-thaw cycles.
Buffer
Lyophilized from a 0.2 um filtered solution in PBS with Trehalose
Preservative
No Preservative
Concentration
LYOPH
Purity
Protein A purified
Reconstitution Instructions
Centrifuge the vial of lyophilized antibody at 12,000 x g for 20 seconds. Reconstitute by adding sterile, distilled water to achieve a final antibody concentration of 1mg/ml.

Alternate Names for BRD4 Antibody (CL1118) - Azide and BSA Free

  • BRD4
  • bromodomain containing 4
  • bromodomain-containing 4
  • CAPchromosome-associated protein
  • HUNK1
  • HUNK1bromodomain-containing protein 4
  • HUNKI
  • MCAP
  • Protein HUNK1

Background

BRD4 is encoded by this gene is homologous to the murine protein MCAP, which associates with chromosomes during mitosis, and to the human RING3 protein, a serine/threonine kinase. Each of these proteins contains two bromodomains, a conserved sequence motif which may be involved in chromatin targeting. This gene has been implicated as the chromosome 19 target of translocation t(15;19)(q13;p13.1), which defines an upper respiratory tract carcinoma in young people. Two alternatively spliced transcript variants have been described. [provided by RefSeq]

Limitations

This product is for research use only and is not approved for use in humans or in clinical diagnosis. Primary Antibodies are guaranteed for 1 year from date of receipt.

Customers Who Viewed This Item Also Viewed...

DY1707
Species: Hu
Applications: ELISA
AF3398
Species: Hu, Mu, Rt
Applications: ICC, KO, Simple Western, WB
MAB4077
Species: Hu
Applications: IHC, WB
NBP1-97417
Species: Hu, In, Mu, Pm, Rt
Applications: ICC/IF, IF, IHC (-), WB
NBP1-86616
Species: Hu
Applications: IHC,  IHC-P, WB
NBP2-58917
Species: Hu
Applications: IHC,  IHC-P, WB
1129-ER
Species: Hu
Applications: BA
AF5535
Species: Hu
Applications: Simple Western, WB
AF6386
Species: Hu
Applications: IP, WB
AF5739
Species: Hu, Mu, Rt
Applications: WB
AF1513
Species: Mu
Applications: CyTOF-ready, Flow, IHC, IP, Simple Western, WB
AF6457
Species: Hu
Applications: WB
NBP1-89200
Species: Hu, Mu
Applications: IHC,  IHC-P, Simple Western, WB
NBP1-89342
Species: Hu, Mu
Applications: ICC/IF, IHC,  IHC-P, IP, WB
M6000B
Species: Mu
Applications: ELISA
NBP2-45570
Species: Hu, Mu, Rt
Applications: Flow, IHC,  IHC-P, WB
NBP2-45946
Species: Ca, Hu, Pm, Mu, Rt
Applications: ICC/IF, IHC,  IHC-P, WB
DKK300
Species: Hu
Applications: ELISA
NBP3-44014
Species: Hu
Applications: WB, ICC/IF, IHC

Publications for BRD4 Antibody (NBP3-44014) (0)

There are no publications for BRD4 Antibody (NBP3-44014).
By submitting your publication information earn gift cards and discounts for future purchases.

Reviews for BRD4 Antibody (NBP3-44014) (0)

There are no reviews for BRD4 Antibody (NBP3-44014). By submitting a review you will receive an Amazon e-Gift Card or Novus Product Discount.
  • Review with no image -- $10/€7/£6/$10 CAD/¥70 Yuan/¥1110 Yen
  • Review with an image -- $25/€18/£15/$25 CAD/¥150 Yuan/¥2500 Yen

Product General Protocols

Find general support by application which include: protocols, troubleshooting, illustrated assays, videos and webinars.

Video Protocols

WB Video Protocol
ICC/IF Video Protocol

FAQs for BRD4 Antibody (NBP3-44014) (0)

There are no specific FAQs related to this product. Read our general customer & technical service FAQs.

Secondary Antibodies

 

Isotype Controls

Additional BRD4 Products

Research Areas for BRD4 Antibody (NBP3-44014)

Find related products by research area.

Blogs on BRD4.

Epigenetic Control of Autophagy
By Christina Towers, PhD. In the last 20 years, epigenetic regulation has become front and center for almost all fields of biology and its role in diseases like cancer and neurodegeneration are being heavily studi...  Read full blog post.

Understanding the relationship between NUT and BET proteins in NMC
NUT has been found to fuse with bromodomain-containing proteins 3 and 4 (BRD3 and BRD4) in NUT midline carcinoma (NMC), a very rare, extremely aggressive, and genetically defined human cancer. NMC has recently been designated as a sub classificati...  Read full blog post.

NUT - A Protein Coding Gene
The NUT gene is found on chromosome 15q14 and encodes for the NUT protein which is a key component of the RNA polymerase II Mediator complex. This multi-subunit assembly is required for all RNA pol II-dependent transcriptional activation, coordinating...  Read full blog post.

Customers Who Bought This Also Bought

Contact Information

Product PDFs

Calculators

Concentration Calculator

The concentration calculator allows you to quickly calculate the volume, mass or concentration of your vial. Simply enter your mass, volume, or concentration values for your reagent and the calculator will determine the rest.

=
÷

Review this Product

Be the first to review our BRD4 Antibody (CL1118) - Azide and BSA Free and receive a gift card or discount.

Bioinformatics

Gene Symbol BRD4