Bax Antibody (CL7919) - Azide and BSA Free

Images

 
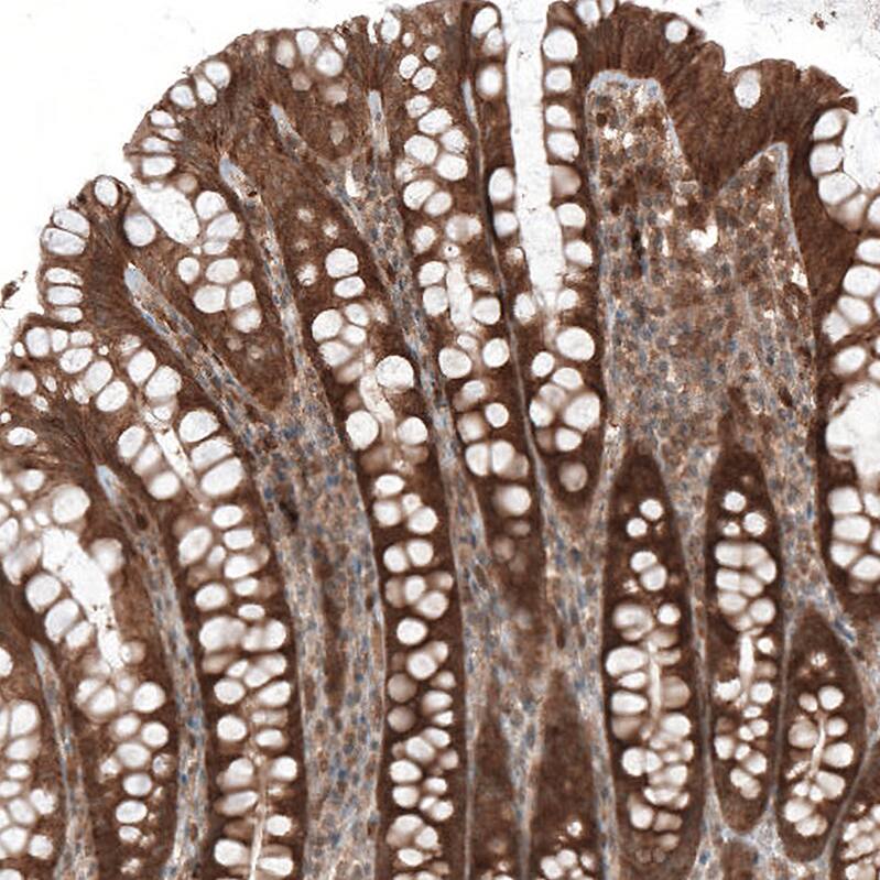
Staining of human endometrium shows moderate granular cytoplasmic positivity in glandular cells.
Staining of human colon shows strong granular cytoplasmic positivity in glandular cells.
Staining of human lymph node shows strong granular cytoplasmic positivity in non-germinal center cells.
Staining of human renal cancer shows moderate cytoplasmic positivity.
Staining of human skeletal muscle shows no positivity in myocytes as expected.
Analysis in human cell line A-549.

Product Details

Summary
Reactivity HuSpecies Glossary
Applications WB, IHC
Clone
CL7919
Clonality
Monoclonal
Host
Mouse
Conjugate
Unconjugated
Format
Azide and BSA Free
Concentration
LYOPH

Order Details

Bax Antibody (CL7919) - Azide and BSA Free Summary

Description
Novus Biologicals Mouse Bax Antibody (CL7919) - Azide and BSA Free (NBP3-21162) is a monoclonal antibody validated for use in IHC and WB. All Novus Biologicals antibodies are covered by our 100% guarantee.
Immunogen
This antibody was generated using a synthetic peptide of Q07812, with the exact immunogen sequence remaining proprietary.
Isotype
IgG1
Clonality
Monoclonal
Host
Mouse
Gene
BAX
Purity
Protein A purified
Innovator's Reward
Test in a species/application not listed above to receive a full credit towards a future purchase.

Applications/Dilutions

Dilutions
  • Immunohistochemistry-Paraffin 1:200 - 1:500
  • Western Blot 1 ug/ml
Application Notes
For IHC-Paraffin, HIER pH 6 retrieval is recommended.

Packaging, Storage & Formulations

Storage
Store at 4C short term. Aliquot and store at -20C long term. Avoid freeze-thaw cycles.
Buffer
Lyophilized from a 0.2 um filtered solution in PBS with Trehalose
Preservative
No Preservative
Concentration
LYOPH
Purity
Protein A purified
Reconstitution Instructions
Centrifuge the vial of lyophilized antibody at 12,000 x g for 20 seconds. Reconstitute by adding sterile, distilled water to achieve a final antibody concentration of 1mg/ml.

Alternate Names for Bax Antibody (CL7919) - Azide and BSA Free

  • apoptosis regulator BAX
  • Bax
  • BCL2-associated X protein
  • Bcl2-L-4
  • BCL2L4bcl2-L-4
  • Bcl-2-like protein 4

Background

The Bcl-2 family of apoptosis-related genes plays central roles in regulating apoptotic pathways (reviewed in Thomadaki and Scorilas, 2006). Regulation of cell death through apoptosis is critical for the maintenance of homeostasis, defense against infectious agents, and normal development. Bcl-2 family proteins regulate apoptosis primarily through the regulation of mitochondrial outer membrane permeability. In mammals, the family consists of both prosurvival (antiapoptotic) and proapoptotic (prodeath) members. Cellular homeostasis is thought to be dependent on a balance between the actions of prosurvival and proapoptotic proteins. Bcl-2 family proteins can be divided into 3 main subfamilies on the basis of their function and the content of their Bcl-2 homology (BH) domains, for example: 1) Prosurvival: Bcl-2, Bcl-XL, Bcl-W, A1, and Mcl-1 2) Proapoptotic (multidomain): Bax, Bak, and Bok. 3) BH3-only (proapoptotic): Bad, Bcl-XS, Bid, Bik, Bim, Blk, Bmf, Bnip, Noxa, and Puma. Prosurvival members inhibit cells from undergoing apoptosis, whereas proapoptotic and BH3-only subfamily members promote apoptosis. There are 4 BH domains (1-4) conserved among Bcl-2 family proteins. The BH domains are important for function as well as for heterodimerization between family members. Typical prosurvival family members have all four BH domains (1-4), whereas proapoptotic (multidomain) members have BH1, 2 and 3 domains and BH3-only members have only the BH3 domain. Overall, the relative ratio of prosurvival and proapoptotic proteins determines the suseptibility of a cell to various apoptotic stimuli. Many Bcl-2 family proteins are differentially expressed in various malignancies and some are useful prognostic biomarkers. Prosurvival proteins are often elevated in diverse cancers and have the potential to confer resistance to both endogenous cell death stimuli and cancer treatments. Alterations in the ratio or levels of Bcl-2 family proteins have been also associated with nonmalignant diseases including neurodegenerative diseases, autoimmune diseases, AIDs, Down's syndrome, cardiovascular diseases, diabetes, glomerulonephritis, and muscular dystrophy. IMG-5682 recognizes Bax. It reacts with an epitope (PELALDPVPQDASTKKLSE)which is 100% conserved in human Bax isoforms alpha (192 amino acids), beta (218 amino acids), epsilon (164 amino acids), sigma (179 amino acids), and psi (173 amino acids).

Limitations

This product is for research use only and is not approved for use in humans or in clinical diagnosis. Primary Antibodies are guaranteed for 1 year from date of receipt.

Customers Who Viewed This Item Also Viewed...

NB100-56098
Species: Ca, Hu, Mu, Rt
Applications: IHC,  IHC-P, IP, WB
NB100-56104
Species: Ca, Hu, Mu, Rt
Applications: IHC, IHC-Fr,  IHC-P, IP, WB
NB200-103
Species: Hu, Mu, Rt, Xp(-), Ye
Applications: CyTOF-ready, ELISA, Flow-IC, Flow, ICC/IF, IHC, IHC-Fr,  IHC-P, IP, WB
NB100-56503
Species: Dr, Hu, Mu, Rb, Rt
Applications: Flow-CS, Flow-IC, Flow, IB, ICC/IF, IHC,  IHC-P, Simple Western, WB
NBP2-29463
Species: Pm, Hu, Pm, Mu
Applications: Flow, ICC/IF, IHC,  IHC-P, WB
AF816
Species: Hu
Applications: ICC, IHC, WB
NB100-56118
Species: Ca, Ma, Hu, Mu, Rt
Applications: Flow-IC, ICC/IF, IHC, IHC-Fr,  IHC-P, IP, WB
NBP2-27335
Species: Hu, Mu, Rt(-)
Applications: CyTOF-ready, Flow, ICC/IF, WB
AF860
Species: Hu, Mu
Applications: IP, Simple Western, WB
NBP2-46085
Species: Hu
Applications: IHC,  IHC-P, WB
H00027065-M01
Species: Hu, Rt
Applications: ELISA, ICC/IF, S-ELISA, WB
NB100-56116
Species: Ma, Hu, Mu, Rt
Applications: Flow, ICC/IF, IHC, IHC-Fr,  IHC-P, IP, Simple Western, WB
AF887
Species: Hu, Mu, Rt
Applications: CyTOF-ready, IHC, ICFlow, Simple Western, WB
NB120-13550
Species: Hu, Mu, Rt
Applications: ICC/IF, IHC,  IHC-P, WB
NBP2-43728
Species: Hu, Mu, Rt
Applications: ICC/IF, WB
AF1230
Species: Hu, Mu, Rt
Applications: IHC, KO, WB

Publications for Bax Antibody (NBP3-44320) (0)

There are no publications for Bax Antibody (NBP3-44320).
By submitting your publication information earn gift cards and discounts for future purchases.

Reviews for Bax Antibody (NBP3-44320) (0)

There are no reviews for Bax Antibody (NBP3-44320). By submitting a review you will receive an Amazon e-Gift Card or Novus Product Discount.
  • Review with no image -- $10/€7/£6/$10 CAD/¥70 Yuan/¥1110 Yen
  • Review with an image -- $25/€18/£15/$25 CAD/¥150 Yuan/¥2500 Yen

Product General Protocols

Find general support by application which include: protocols, troubleshooting, illustrated assays, videos and webinars.

Video Protocols

WB Video Protocol

FAQs for Bax Antibody (NBP3-44320) (0)

There are no specific FAQs related to this product. Read our general customer & technical service FAQs.

Secondary Antibodies

 

Isotype Controls

Additional Bax Products

Research Areas for Bax Antibody (NBP3-44320)

Find related products by research area.

Blogs on Bax. Showing 1-10 of 14 blog posts - Show all blog posts.

Apoptosis and Necroptosis Part I: Important factors to identify both types of programmed cell death
Different types of cell death have classically been identified by discrete morphological changes. The hallmarks of apoptosis include cell shrinkage, nuclear fragmentation and membrane blebbing whereas necroptosis is characterized by cell swelling ...  Read full blog post.

Pathway Highlight: Which caspase substrates contribute to the morphological features associated with apoptosis?
Apoptosis, or programmed cell death, is controlled by a caspase signal cascade that activates downstream signals to induce the morphological changes used to differentiate apoptosis from other forms of cell death.  Novus Biologicals offers a variet...  Read full blog post.

The use of apoptosis antibodies and controls in cell death research
Apoptosis is a method of programmed cell death that is notably characterized by a morphological change in cellular nuclei and membrane appearance.  Not to be confused with necrosis, apoptosis is a pathway that is induced by a variety of factors tha...  Read full blog post.

The role of Parkin and autophagy in retinal pigment epithelial cell (RPE) degradation
The root of Parkinson’s disease (PD) points to a poorly regulated electron transport chain leading to mitochondrial damage, where many proteins need to work cohesively to ensure proper function.  The two key players of this pathway are PINK1, ...  Read full blog post.

The role of p53 in UV radiation DNA damage and subsequent tumorogenesis
p53, the protein product of the tp53 gene, is one of the most widely studied tumor suppressor proteins in cancer research.  p53 is unique in that it demonstrates both tumor suppressive and tumor progressive properties depending on whether it is fu...  Read full blog post.

The dynamic use of a PCNA antibody in fish, porcine and primate species
Proliferating cell nuclear antigen (PCNA) plays a crucial role in nucleic acid metabolism as it pertains to DNA replication and repair.  Most noted for its activation of subunits of DNA polymerase, it has also been found to interact with cell-cycl...  Read full blog post.

Required proteins for p62/SQSTM1 regulation and a role for p62/SQSTM1 in neuronal autophagy
Autophagy is a crucial cellular process that clears the cell of protein aggregates, toxins, and damaged cell products. Accumulation of toxins, damaged cell products and unwanted proteins has been proven to play a role in aging and many forms of dis...  Read full blog post.

Altered expression of BCL2 in cancer
Similar to other cell processes, the balance between cell survival and cell death is an important equilibrium that when altered expression of genes can lead to a variety of disease.  For example, too little cell death can promote cell overgrowth a...  Read full blog post.

p53 - Investigating an important tumor suppressor
p53 is a tumor suppressor that has a central role in regulating cell cycle arrest, DNA repair, and apoptosis. p53 is widely studied for its role in cancer and is mutated or altered in more than half of all cancers (1). This widespread role in tumor...  Read full blog post.

UVRAG - A regulator of membrane trafficking in autophagy and endocytosis
UV resistance-associated gene (UVRAG) is a tumor suppressor that is commonly mutated in colon and breast cancer. While UVRAG was discovered for its ability to complement UV sensitivity in xeroderma pigmentosum cells, its main functions are in auto...  Read full blog post.

Showing 1-10 of 14 blog posts - Show all blog posts.

Customers Who Bought This Also Bought

Contact Information

Product PDFs

Calculators

Concentration Calculator

The concentration calculator allows you to quickly calculate the volume, mass or concentration of your vial. Simply enter your mass, volume, or concentration values for your reagent and the calculator will determine the rest.

=
÷

Review this Product

Be the first to review our Bax Antibody (CL7919) - Azide and BSA Free and receive a gift card or discount.

Bioinformatics

Gene Symbol BAX