Artemin Antibody [Biotin]

Images

 
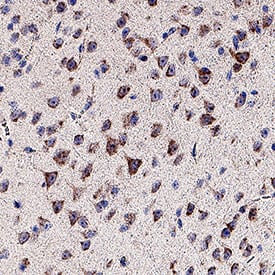
Artemin was detected in perfusion fixed paraffin-embedded sections of mouse brain using Goat Anti-Mouse Artemin Biotinylated Antigen Affinity-purified Polyclonal Antibody (Catalog # BAF1085) at 10 µg/ml for 1 hour at ...read more

Product Details

Summary
Reactivity MuSpecies Glossary
Applications WB, IHC
Clonality
Polyclonal
Host
Goat
Conjugate
Biotin
Concentration
LYOPH

Order Details

Artemin Antibody [Biotin] Summary

Immunogen
E. coli-derived recombinant mouse Artemin
Ala112-Gly224
Accession # Q9Z0L2.1
Specificity
Detects mouse Artemin in Western blots. In Western blots, less than 1% cross-reactivity with recombinant rat GDNF, recombinant human (rh) Neurturin, rhTGF-beta 1, recombinant mouse Nodal, and rhCripto-1 is observed.
Source
N/A
Isotype
IgG
Clonality
Polyclonal
Host
Goat
Gene
ARTN
Purity Statement
Antigen Affinity-purified
Innovator's Reward
Test in a species/application not listed above to receive a full credit towards a future purchase.

Applications/Dilutions

Dilutions
  • Immunohistochemistry 5-15 ug/mL
  • Western Blot 0.1 ug/mL
Readout System

Packaging, Storage & Formulations

Storage
Use a manual defrost freezer and avoid repeated freeze-thaw cycles.
  • 12 months from date of receipt, -20 to -70 °C as supplied.
  • 1 month, 2 to 8 °C under sterile conditions after reconstitution.
  • 6 months, -20 to -70 °C under sterile conditions after reconstitution.
Buffer
Lyophilized from a 0.2 μm filtered solution in PBS with BSA as a carrier protein.
Preservative
No Preservative
Concentration
LYOPH
Reconstitution Instructions
Reconstitute at 0.2 mg/mL in sterile PBS.

Notes

This product is produced by and ships from R&D Systems, Inc., a Bio-Techne brand.

Alternate Names for Artemin Antibody [Biotin]

  • Artemin
  • ARTN
  • Enovin
  • EVN
  • EVNneurotrophic factor
  • NBN
  • Neublastin

Background

Artemin is a member of the Glia Cell-Derived Neurotrophic factor (GDNF) family ligands, which include GDNF, Persephin, Artemin, and Neurturin. GDNF family ligands are distant members of the Transforming Growth Factor beta (TGF‑ beta ) superfamily (1‑4). Similar to other TGF‑ beta family proteins, Artemin is synthesized as a large precursor protein that is cleaved at the dibasic cleavage site (RXXR) to release the carboxy-terminal domain. The carboxy-terminal domain of Artemin contains the characteristic seven conserved cysteine residues necessary for the formation of the cysteine-knot and the single interchain disulfide bond. Biologically active Artemin is a disulfide‑linked homodimer of the carboxy-terminal 113 amino acid residues. Mature mouse Artemin shares 88.5% amino acid sequence similarity with human Artemin. Mature Artemin also shares approximately 40% amino acid sequence identity with the other three members of the GDNF family ligands (5). Bioactivities of all GDNF family ligands are mediated through a receptor complex composed of a high affinity ligand binding component (GFR alpha 1‑GFR alpha 4) and a common signaling component, cRET (receptor tyrosine kinase) (5‑8). Artemin prefers to bind to GFR alpha 3 and activites the GFR alpha 3‑RET. However, in the presence of RET, it can bind to GFR alpha 1 as well (4, 5, 9). Artemin has been shown to promote the survival and growth of various peripheral and central neurons, including sympathetic and dopaminergic neurons. It may also play an important role in the development of sympathetic neurons and several organs (5, 10, 11).

  1. Lin, L-F.H. et al. (1993) Science 260:1130.
  2. Milbrandt, J. et al. (1998) Neuron 20:245.
  3. Kotzbauer, P.T. et al. (1996) Nature 384:467.
  4. Baloh, R.H. et al. (1998) Neuron 21:1291.
  5. Takahashi, M. (2001) Cytokine and Growth Factor Reviews 12:361.
  6. Baloh, R.H. et al. (1997) Neuron 18:793.
  7. Jing, S. et al. (1996) Cell 85:1113.
  8. Jing, S. et al. (1997) J Biol Chem 272:33111.
  9. Nishino, J. et al. (1999) Neuron 23:725.
  10. Enomoto, H. et al. (2001) Development 128:3963.
  11. Andres, R. et al. (2001) Development 128:3685.

Limitations

This product is for research use only and is not approved for use in humans or in clinical diagnosis. Primary Antibodies are guaranteed for 1 year from date of receipt.

Customers Who Viewed This Item Also Viewed...

212-GD
Species: Hu
Applications: Bind, BA
NB100-56155
Species: Hu
Applications: IHC,  IHC-P, IP, WB
DBD00
Species: Hu
Applications: ELISA
256-GF
Species: Hu
Applications: BA
1297-NE/CF
Species: Hu
Applications: Bind, BA
NB100-147
Species: Hu, Pm, Mu, Rt
Applications: ICC/IF, IHC,  IHC-P, IP, In vitro, KD, WB
267-N3
Species: Hu
Applications: BA
233-FB
Species: Hu
Applications: BA
NB100-309
Species: Hu, Pm, Mu, Rt
Applications: ChIP, ELISA, Flow, ICC/IF, IHC,  IHC-P, IP, KD, PAGE, Single-Cell Western, WB
AF482
Species: Mu
Applications: IHC, WB
NBP2-35208
Species: Hu
Applications: BA, PAGE
AF1056
Species: Rt
Applications: IHC, WB
NBP2-71688
Species: Ca, Hu, Mu, Rt
Applications: CyTOF-ready, Flow, ICC/IF, IHC,  IHC-P, IP, WB
NB300-109
Species: Ch, Dr, Hu, I, Ma, Mu, Rt
Applications: Dual ISH-IHC, ICC/IF, IHC-FrFl, IHC-WhMt, IHC, IHC-Fr,  IHC-P, KO, Simple Western, WB
AF1157
Species: Mu
Applications: IHC, WB
291-G1
Species: Hu
Applications: BA
AF887
Species: Hu, Mu, Rt
Applications: CyTOF-ready, IHC, ICFlow, Simple Western, WB
BAF1085
Species: Mu
Applications: WB, IHC

Publications for Artemin Antibody (BAF1085) (0)

There are no publications for Artemin Antibody (BAF1085).
By submitting your publication information earn gift cards and discounts for future purchases.

Reviews for Artemin Antibody (BAF1085) (0)

There are no reviews for Artemin Antibody (BAF1085). By submitting a review you will receive an Amazon e-Gift Card or Novus Product Discount.
  • Review with no image -- $10/€7/£6/$10 CAD/¥70 Yuan/¥1110 Yen
  • Review with an image -- $25/€18/£15/$25 CAD/¥150 Yuan/¥2500 Yen

Product General Protocols

Find general support by application which include: protocols, troubleshooting, illustrated assays, videos and webinars.

Video Protocols

WB Video Protocol

FAQs for Artemin Antibody (BAF1085) (0)

There are no specific FAQs related to this product. Read our general customer & technical service FAQs.

Customers Who Bought This Also Bought

Contact Information

Product PDFs

Calculators

Concentration Calculator

The concentration calculator allows you to quickly calculate the volume, mass or concentration of your vial. Simply enter your mass, volume, or concentration values for your reagent and the calculator will determine the rest.

=
÷

Review this Product

Be the first to review our Artemin Antibody [Biotin] and receive a gift card or discount.

Bioinformatics

Gene Symbol ARTN
Uniprot