AMN1 Antibody - BSA Free

Images

 
Immunohistochemistry-Paraffin: AMN1 Antibody [NBP1-91663] - Staining of human lateral ventricle shows strong cytoplasmic and nuclear positivity in neuronal cells. Neuropil is distinctly stained.
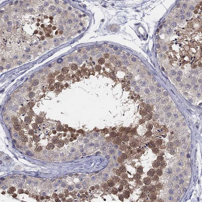
Staining of human testis shows moderate cytoplasmic positivity in cells in seminiferous ducts.
Staining of human cerebellum shows moderate cytoplasmic positivity in cells in molecular layer.
Staining of human cerebral cortex shows strong cytoplasmic positivity in neuropil.
Staining of human rectum shows no positivity in glandular cells as expected.

Product Details

Summary
Reactivity HuSpecies Glossary
Applications IHC
Clonality
Polyclonal
Host
Rabbit
Conjugate
Unconjugated
Format
BSA Free

Order Details

View Available Formulations
Catalog# & Formulation Size Price

AMN1 Antibody - BSA Free Summary

Description
Novus Biologicals Rabbit AMN1 Antibody - BSA Free (NBP1-91663) is a polyclonal antibody validated for use in IHC. All Novus Biologicals antibodies are covered by our 100% guarantee.
Immunogen
This antibody was developed against Recombinant Protein corresponding to amino acids: LLHLSNCRKLKKLNLNASKGNRVSVTSEGIKAVASSCSYLHEASLKRCCNLTDEGVVALALNCQLLKIIDLGGCLSITDV
Isotype
IgG
Clonality
Polyclonal
Host
Rabbit
Gene
AMN1
Purity
Immunogen affinity purified
Innovator's Reward
Test in a species/application not listed above to receive a full credit towards a future purchase.

Applications/Dilutions

Dilutions
  • Immunohistochemistry 1:20 - 1:50
  • Immunohistochemistry-Paraffin 1:20 - 1:50
Application Notes
For IHC-Paraffin, HIER pH 6 retrieval method is recommended. Immunocytochemistry/Immunofluorescence Fixation Permeabilization: Use PFA/Triton X-100.
Control Peptide
AMN1 Protein (NBP1-91663PEP)

Packaging, Storage & Formulations

Storage
Store at 4C short term. Aliquot and store at -20C long term. Avoid freeze-thaw cycles.
Buffer
PBS (pH 7.2) and 40% Glycerol
Preservative
0.02% Sodium Azide
Purity
Immunogen affinity purified

Alternate Names for AMN1 Antibody - BSA Free

  • antagonist of mitotic exit network 1 homolog (S. cerevisiae)
  • protein AMN1 homolog

Limitations

This product is for research use only and is not approved for use in humans or in clinical diagnosis. Primary Antibodies are guaranteed for 1 year from date of receipt.

Customers Who Viewed This Item Also Viewed...

NBP1-85720
Species: Hu
Applications: ICC/IF, IHC,  IHC-P, WB
NBP2-82991
Species: Hu
Applications: IHC,  IHC-P, WB
NBP1-77310
Species: Hu
Applications: ELISA, ICC/IF, IHC,  IHC-P, WB
MAB4457
Species: Hu, Mu, Rt
Applications: WB
NB100-1558
Species: Hu, Mu, Rt, Ze
Applications: ICC/IF, IHC, IHC-Fr, IP, WB
NBP2-73301
Species: Hu
Applications: CyTOF-ready, Flow, ICC/IF, WB
NBP2-24503
Species: Hu, Mu
Applications: ICC/IF, IHC,  IHC-P, IP, WB
NBP1-45243
Species: Hu, Mu
Applications: IHC,  IHC-P, PEP-ELISA, WB
NB100-56340
Species: Hu, Mu, Rt
Applications: IHC, IHC-Fr,  IHC-P, KO, Simple Western, WB
NBP2-30951
Species: Hu
Applications: ICC/IF, IHC,  IHC-P
NBP1-87109
Species: Hu, Mu
Applications: ICC/IF, IHC,  IHC-P, KD, WB
NBP3-47041
Species: Hu, Mu, Rt
Applications: ELISA, IHC, WB
H00058516-B02P
Species: Hu
Applications: ICC/IF, IHC,  IHC-P, KD, WB
NB400-141
Species: Ha, Hu, Mu
Applications: ICC/IF, IP, WB
NB100-116
Species: Hu, Mu, Pm, Rt
Applications: ChIP, ELISA, GS, IB, ICC/IF, IHC, IHC-Fr,  IHC-P, IP, KD, PLA, Simple Western, WB
NB110-74569
Species: Hu, Mu, Rt
Applications: Flow, ICC/IF, IHC, IHC-Fr,  IHC-P, IP, WB
H00008847-P01
Species: Hu
Applications: ELISA, AP, PA, WB
NBP3-05298
Species: Rt
Applications: Flow, Func, IHC, IHC-Fr, IP, WB
NBP1-49045
Species: Mu, Rt
Applications: Cell Depl, CyTOF-ready, Flow, ICC/IF, IHC, IHC-Fr,  IHC-P, IP, InhibTFunc

Publications for AMN1 Antibody (NBP1-91663) (0)

There are no publications for AMN1 Antibody (NBP1-91663).
By submitting your publication information earn gift cards and discounts for future purchases.

Reviews for AMN1 Antibody (NBP1-91663) (0)

There are no reviews for AMN1 Antibody (NBP1-91663). By submitting a review you will receive an Amazon e-Gift Card or Novus Product Discount.
  • Review with no image -- $10/€7/£6/$10 CAD/¥70 Yuan/¥1110 Yen
  • Review with an image -- $25/€18/£15/$25 CAD/¥150 Yuan/¥2500 Yen

Product General Protocols

Find general support by application which include: protocols, troubleshooting, illustrated assays, videos and webinars.

FAQs for AMN1 Antibody (NBP1-91663) (0)

There are no specific FAQs related to this product. Read our general customer & technical service FAQs.

Customers Who Bought This Also Bought

Contact Information

Product PDFs

Calculators

Concentration Calculator

The concentration calculator allows you to quickly calculate the volume, mass or concentration of your vial. Simply enter your mass, volume, or concentration values for your reagent and the calculator will determine the rest.

=
÷

Review this Product

Be the first to review our AMN1 Antibody - BSA Free and receive a gift card or discount.

Bioinformatics

Gene Symbol AMN1
Entrez
Uniprot