alpha-Galactosidase A/GLA Antibody - BSA Free

Images

 
Independent Antibodies: Immunohistochemistry-Paraffin: alpha-Galactosidase A/GLA Antibody [NBP1-89796] - Staining of human adrenal gland, colon, liver and testis using Anti-GLA antibody NBP1-89796 (A) shows ...read more
Orthogonal Strategies: Analysis in human seminal vesicle and skeletal muscle tissues using NBP1-89796 antibody. Corresponding GLA RNA-seq data are presented for the same tissues.
Staining of human seminal vesicle shows moderate to strong positivity in lysosomes in glandular cells.
Staining of human skeletal muscle shows no positivity in myocytes as expected.
Immunohistochemistry-Paraffin: alpha-Galactosidase A/GLA Antibody [NBP1-89796] - Staining of human testis shows moderate positivity in lysosomes in Leydig cells.
Staining of human fallopian tube shows moderate positivity in lysosomes in glandular cells.
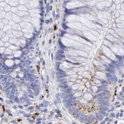
Staining of human colon using Anti-GLA antibody NBP1-89796.
Staining of human adrenal gland using Anti-GLA antibody NBP1-89796.
Staining of human liver using Anti-GLA antibody NBP1-89796.
Staining of human duodenum shows moderate positivity in lysosomes in glandular cells.

Product Details

Summary
Reactivity Hu, MuSpecies Glossary
Applications IHC
Clonality
Polyclonal
Host
Rabbit
Conjugate
Unconjugated
Format
BSA Free

Order Details

View Available Formulations
Catalog# & Formulation Size Price

alpha-Galactosidase A/GLA Antibody - BSA Free Summary

Description
Novus Biologicals Rabbit alpha-Galactosidase A/GLA Antibody - BSA Free (NBP1-89796) is a polyclonal antibody validated for use in IHC. Anti-alpha-Galactosidase A/GLA Antibody: Cited in 1 publication. All Novus Biologicals antibodies are covered by our 100% guarantee.
Immunogen
This antibody was developed against Recombinant Protein corresponding to amino acids: HISPQAKALLQDKDVIAINQDPLGKQGYQLRQGDNFEVWERPLSGLAWAVAMINRQEIGGPRSYTIAVASLGKGVACNPACFITQLLPVKRKLGFYEWTSRLRSHINPTGT
Isotype
IgG
Clonality
Polyclonal
Host
Rabbit
Gene
GLA
Purity
Affinity purified
Innovator's Reward
Test in a species/application not listed above to receive a full credit towards a future purchase.

Applications/Dilutions

Dilutions
  • Immunohistochemistry 1:500 - 1:1000
  • Immunohistochemistry-Paraffin 1:500 - 1:1000
Application Notes
For IHC-Paraffin, HIER pH 6 retrieval is recommended.
Control Peptide
alpha-Galactosidase A/GLA Protein (NBP1-89796PEP)
Publications
Read Publication using
NBP1-89796 in the following applications:

Reactivity Notes

Mouse reactivity reported in scientific literature (PMID: 25915924).

Packaging, Storage & Formulations

Storage
Store at 4C short term. Aliquot and store at -20C long term. Avoid freeze-thaw cycles.
Buffer
PBS (pH 7.2) and 40% Glycerol
Preservative
0.02% Sodium Azide
Purity
Affinity purified

Alternate Names for alpha-Galactosidase A/GLA Antibody - BSA Free

  • agalsidase alfa
  • Agalsidase alpha
  • Agalsidase
  • Alpha-D-galactosidase A
  • alpha-D-galactoside galactohydrolase 1
  • Alpha-D-galactoside galactohydrolase
  • alpha-gal A
  • alpha-galactosidase A
  • EC 3.2.1
  • EC 3.2.1.22
  • GALA
  • galactosidase, alpha
  • GLA
  • Melibiase

Background

Galactosidase alpha encodes a homodimeric glycoprotein that hydrolyses the terminal alpha-galactosyl moieties from glycolipids and glycoproteins. This enzyme predominantly hydrolyzes ceramide trihexoside, and it can catalyze the hydrolysis of melibiose into galactose and glucose. A variety of mutations in this gene affect the synthesis, processing, and stability of this enzyme, which causes Fabry disease, a rare lysosomal storage disorder that results from a failure to catabolize alpha-D-galactosyl glycolipid moieties. [provided by RefSeq]

Limitations

This product is for research use only and is not approved for use in humans or in clinical diagnosis. Primary Antibodies are guaranteed for 1 year from date of receipt.

Customers Who Viewed This Item Also Viewed...

MAB1419
Species: Hu, Rt
Applications: CyTOF-ready, ICC, IHC, ICFlow
NBP2-45844
Species: Hu
Applications: IHC,  IHC-P, WB
MAB22441
Species: Hu
Applications: ELISA(Cap), ELISA(Det), ELISA(Sta), IHC, WB
MAB7665
Species: Hu
Applications: IHC, WB
AF808
Species: Mu
Applications: ELISA(Cap), ELISA(Det), ELISA(Sta), ICC, IHC, Neut, WB
DTM100
Species: Hu
Applications: ELISA
NBP1-58268
Species: Hu, Mu
Applications: IHC,  IHC-P, WB
NBP1-86713
Species: Hu
Applications: IHC,  IHC-P
NBP1-30873
Species: Hu, Mu, Rt
Applications: ChIP, ICC/IF, IHC,  IHC-P, WB
DFTA00
Species: Hu
Applications: ELISA
DY805
Species: Hu
Applications: ELISA
NBP2-94035
Species: Hu, Mu, Rt
Applications: ChIP, ELISA, ICC/IF, IHC,  IHC-P, WB
NB300-164
Species: Ca, Hu, Mu, Po, Pm, Rt(-)
Applications: Dual ISH-IHC, ICC/IF, IHC, IHC-Fr,  IHC-P, IP, KO, PLA, WB
NBP1-89953
Species: Hu, Mu
Applications: ICC/IF, IHC,  IHC-P
355-BM
Species: Hu, Mu, Rt
Applications: BA
DPI00
Species: Hu
Applications: ELISA
NBP1-84318
Species: Hu
Applications: IHC,  IHC-P, WB
236-EG
Species: Hu
Applications: BA
H00005555-P01
Species: Hu
Applications: ELISA, AP, PA, PAGE, WB
NBP1-89796
Species: Hu, Mu
Applications: IHC

Publications for alpha-Galactosidase A/GLA Antibody (NBP1-89796)(1)

We have publications tested in 1 confirmed species: Mouse.

We have publications tested in 1 application: IF/IHC.


Filter By Application
IF/IHC
(1)
All Applications
Filter By Species
Mouse
(1)
All Species

Reviews for alpha-Galactosidase A/GLA Antibody (NBP1-89796) (0)

There are no reviews for alpha-Galactosidase A/GLA Antibody (NBP1-89796). By submitting a review you will receive an Amazon e-Gift Card or Novus Product Discount.
  • Review with no image -- $10/€7/£6/$10 CAD/¥70 Yuan/¥1110 Yen
  • Review with an image -- $25/€18/£15/$25 CAD/¥150 Yuan/¥2500 Yen

Product General Protocols

Find general support by application which include: protocols, troubleshooting, illustrated assays, videos and webinars.

FAQs for alpha-Galactosidase A/GLA Antibody (NBP1-89796) (0)

There are no specific FAQs related to this product. Read our general customer & technical service FAQs.

Secondary Antibodies

 

Isotype Controls

Additional alpha-Galactosidase A/GLA Products

Research Areas for alpha-Galactosidase A/GLA Antibody (NBP1-89796)

Find related products by research area.

Blogs on alpha-Galactosidase A/GLA

There are no specific blogs for alpha-Galactosidase A/GLA, but you can read our latest blog posts.

Customers Who Bought This Also Bought

Contact Information

Product PDFs

Calculators

Concentration Calculator

The concentration calculator allows you to quickly calculate the volume, mass or concentration of your vial. Simply enter your mass, volume, or concentration values for your reagent and the calculator will determine the rest.

=
÷

Review this Product

Be the first to review our alpha-Galactosidase A/GLA Antibody - BSA Free and receive a gift card or discount.

Bioinformatics

Gene Symbol GLA