ZNF318 Antibody - BSA Free

Images

 
Immunocytochemistry/ Immunofluorescence: ZNF318 Antibody [NBP1-83208] - Immunofluorescent staining of human cell line A-431 shows localization to nucleoplasm.
Immunohistochemistry-Paraffin: ZNF318 Antibody [NBP1-83208] - Staining of human testis shows moderate nuclear and cytoplasmic positivity in cells in seminiferus duct cells.
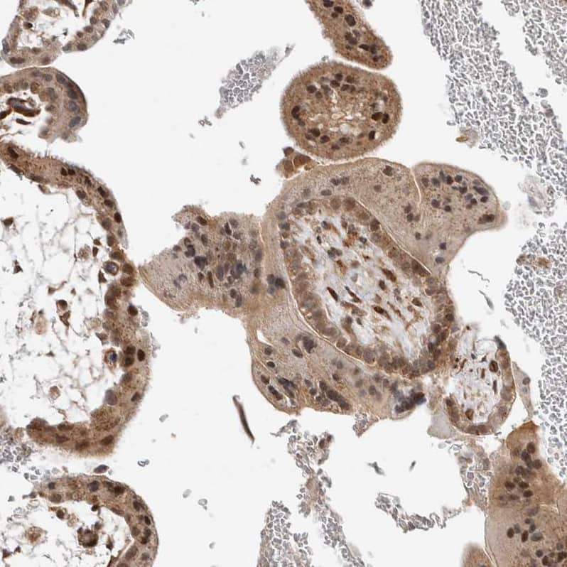
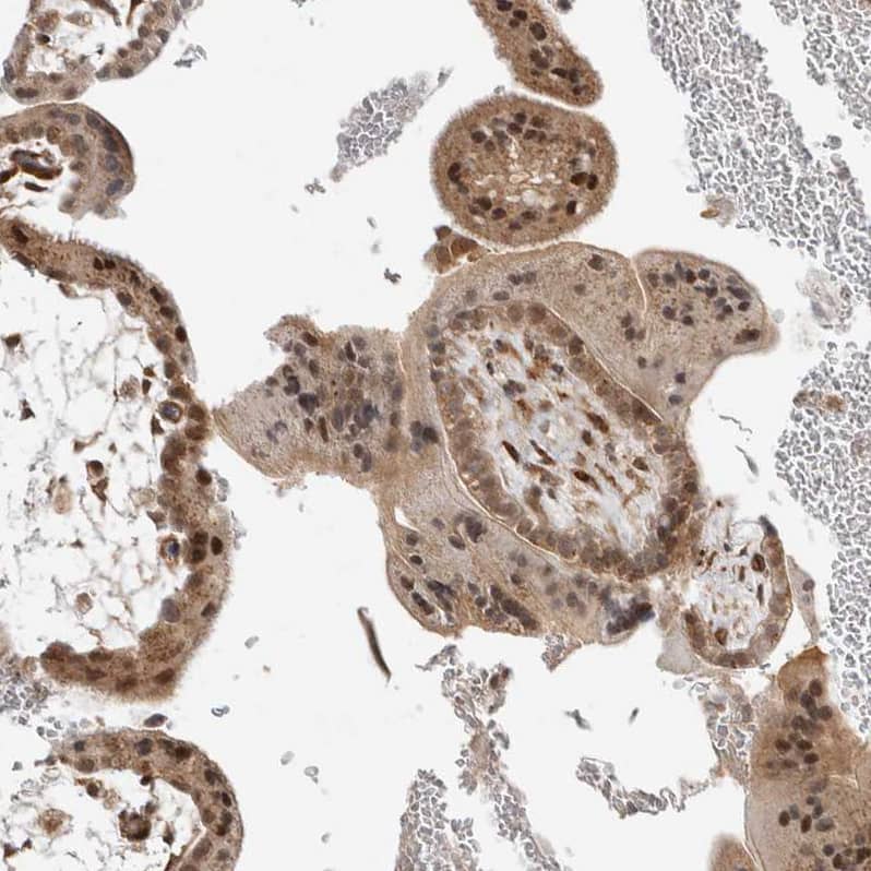
Staining of human placenta shows moderate nuclear and cytoplasmic positivity in trophoblastic cells.
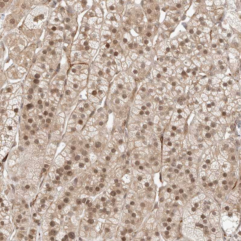
Staining of human liver shows no positivity in hepatocytes as expected.
Staining of human adrenal gland shows strong nuclear and cytoplasmic positivity in glandular cells.

Product Details

Summary
Reactivity HuSpecies Glossary
Applications ICC/IF, IHC
Clonality
Polyclonal
Host
Rabbit
Conjugate
Unconjugated
Format
BSA Free

Order Details

View Available Formulations
Catalog# & Formulation Size Price

ZNF318 Antibody - BSA Free Summary

Description
Novus Biologicals Rabbit ZNF318 Antibody - BSA Free (NBP1-83208) is a polyclonal antibody validated for use in IHC and ICC/IF. All Novus Biologicals antibodies are covered by our 100% guarantee.
Immunogen
This antibody was developed against Recombinant Protein corresponding to amino acids: LTDDSVFTRSSQCSRGLERYISQEEGPLSPFLGQLDEDYRTKETFLHRSDYSPHISCHDELLRGTERNREKLKGYSIRSEERSREAKRPRYDDTVKINSMGGDHPSFTSGTRNYRQRRRSPSPRFLDPEFRELDLARRK
Isotype
IgG
Clonality
Polyclonal
Host
Rabbit
Gene
ZNF318
Purity
Immunogen affinity purified
Innovator's Reward
Test in a species/application not listed above to receive a full credit towards a future purchase.

Applications/Dilutions

Dilutions
  • Immunocytochemistry/ Immunofluorescence 0.25-2 ug/ml
  • Immunohistochemistry 1:200 - 1:500
  • Immunohistochemistry-Paraffin 1:200 - 1:500
Application Notes
For IHC-Paraffin, HIER pH 6 retrieval is recommended. Immunocytochemistry/Immunofluorescence Fixation Permeabilization: Use PFA/Triton X-100.
Control Peptide
ZNF318 Protein (NBP1-83208PEP)

Reactivity Notes

Immunogen displays the following percentage of sequence identity for non-tested species: Mouse (88%), Rat (84%)

Packaging, Storage & Formulations

Storage
Store at 4C short term. Aliquot and store at -20C long term. Avoid freeze-thaw cycles.
Buffer
PBS (pH 7.2) and 40% Glycerol
Preservative
0.02% Sodium Azide
Purity
Immunogen affinity purified

Alternate Names for ZNF318 Antibody - BSA Free

  • Zinc finger and SCAN domain-containing protein 15
  • zinc finger protein 397
  • Zinc finger protein 47ZSCAN15MGC13250
  • ZNF47

Background

"ZNF318 Repressed AR-mediated transcriptional activation. May act as a transcriptional regulator during

Limitations

This product is for research use only and is not approved for use in humans or in clinical diagnosis. Primary Antibodies are guaranteed for 1 year from date of receipt.

Customers Who Viewed This Item Also Viewed...

MAB1417
Species: Bv, Hu, Mu
Applications: ICC, IHC
291-G1
Species: Hu
Applications: BA
NBP2-02105
Species: Hu, Mu, Rt
Applications: Flow, ICC/IF, IHC,  IHC-P, WB
NB100-56603
Species: Ca, Hu, Mu, Pm, Rt
Applications: IHC,  IHC-P, WB
NBP1-79984
Species: Hu
Applications: WB
MAB26291
Species: Mu
Applications: IHC
DLP00
Species: Hu
Applications: ELISA
AF009
Species: Hu
Applications: IHC, WB
MAB7665
Species: Hu
Applications: IHC, WB
NB120-14817
Species: Hu, Rt
Applications: ICC/IF, IHC, S-ELISA, WB
NB100-1756
Species: Hu, Mu
Applications: ICC/IF, IHC,  IHC-P, WB
AF4090
Species: Hu
Applications: IHC, IP, Neut, WB
NBP2-38530
Species: Hu
Applications: ICC/IF, IHC,  IHC-P, WB
NBP1-30475
Species: Hu, Mu
Applications: IHC,  IHC-P, IP, WB
NBP1-89146
Species: Hu
Applications: ICC/IF, IHC,  IHC-P
AF262
Species: Hu
Applications: ICC, IHC, Neut, WB
MF2100
Species: Mu, Rt
Applications: ELISA
AF1067
Species: Hu, Mu, Rt
Applications: ELISA, IHC, Neut, WB
NBP1-30027
Species: Hu, Mu, Rt
Applications: ICC/IF, IHC,  IHC-P, WB

Publications for ZNF318 Antibody (NBP1-83208) (0)

There are no publications for ZNF318 Antibody (NBP1-83208).
By submitting your publication information earn gift cards and discounts for future purchases.

Reviews for ZNF318 Antibody (NBP1-83208) (0)

There are no reviews for ZNF318 Antibody (NBP1-83208). By submitting a review you will receive an Amazon e-Gift Card or Novus Product Discount.
  • Review with no image -- $10/€7/£6/$10 CAD/¥70 Yuan/¥1110 Yen
  • Review with an image -- $25/€18/£15/$25 CAD/¥150 Yuan/¥2500 Yen

Product General Protocols

Find general support by application which include: protocols, troubleshooting, illustrated assays, videos and webinars.

Video Protocols

ICC/IF Video Protocol

FAQs for ZNF318 Antibody (NBP1-83208) (0)

There are no specific FAQs related to this product. Read our general customer & technical service FAQs.

Secondary Antibodies

 

Isotype Controls

Additional ZNF318 Products

Research Areas for ZNF318 Antibody (NBP1-83208)

Find related products by research area.

Blogs on ZNF318

There are no specific blogs for ZNF318, but you can read our latest blog posts.

Customers Who Bought This Also Bought

Contact Information

Product PDFs

Calculators

Concentration Calculator

The concentration calculator allows you to quickly calculate the volume, mass or concentration of your vial. Simply enter your mass, volume, or concentration values for your reagent and the calculator will determine the rest.

=
÷

Review this Product

Be the first to review our ZNF318 Antibody - BSA Free and receive a gift card or discount.

Bioinformatics

Gene Symbol ZNF318