Von Willebrand Factor Antibody (VWF635) - Azide and BSA Free

Images

 
Immunohistochemistry-Paraffin: Von Willebrand Factor Antibody (VWF635) - Azide and BSA Free [NBP2-34510] - Formalin-fixed, paraffin-embedded human tonsil stained with Von Willebrand Factor Mouse Monoclonal Antibody ...read more
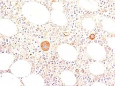
Immunohistochemistry-Paraffin: Von Willebrand Factor Antibody (VWF635) - Azide and BSA Free [NBP2-34510] - Formalin-fixed, paraffin-embedded human bone marrow stained with vWF Monoclonal Antibody (VWF635)

Product Details

Summary
Reactivity HuSpecies Glossary
Applications WB, Flow, ICC/IF, IHC, IP, CyTOF-ready
Clone
VWF635
Clonality
Monoclonal
Host
Mouse
Conjugate
Unconjugated
Format
Azide and BSA Free
Concentration
1.0 mg/ml

Order Details

Von Willebrand Factor Antibody (VWF635) - Azide and BSA Free Summary

Description
1.0 mg/ml of antibody purified from Bioreactor Concentrate by Protein A/G. Prepared in 10mM PBS WITHOUT BSA & azide. Also available at 200 ug/ml WITH BSA & azide (NBP2-33003).

Antibody with azide - store at 2 to 8C. Antibody without azide - store at -20 to -80 C.
Immunogen
Recombinant human Von Willebrand Factor fragment spanning around aa 845-949 (exact sequence is proprietary) (Uniprot: P04275 )
Localization
Cytoplasmic
Marker
Endothelial Marker
Specificity
von Willebrand Factor (vWF) is a multimeric glycoprotein that is found in endothelial cells, plasma and platelets. It acts as a carrier protein for Factor VIII and promotes platelet adhesion and aggregation. vWF undergoes a variety of posttranslational modifications that influence the affinity and availability for Factor VIII, including cleavage of the propeptide and formation of N-terminal disulfide bonds. This antibody helps to establish the endothelial nature of some lesions of disputed histogenesis, e.g. Kaposi s sarcoma and cardiac myxoma. It is widely used for differentiating vascular lesions from those of other tissue differentiation within a panel of other vascular markers although not all tumors of endothelial differentiation contain this antigen.
Isotype
IgG1 Kappa
Clonality
Monoclonal
Host
Mouse
Gene
VWF
Purity
Protein A or G purified
Innovator's Reward
Test in a species/application not listed above to receive a full credit towards a future purchase.

Applications/Dilutions

Dilutions
  • CyTOF-ready
  • Flow Cytometry 0.5-1ug/million cells
  • Immunocytochemistry/ Immunofluorescence 0.5-1ug/ml
  • Immunohistochemistry
  • Immunohistochemistry-Paraffin 0.5-1.0ug/ml
  • Immunoprecipitation 0.5-1ug/500ug protein lysate
  • Western Blot 0.5-1.0ug/ml
Application Notes
Immunohistochemistry (Formalin-fixed): 1-2ug/ml for 30 minutes at RT. Staining of formalin-fixed tissues requires heating tissue sections in 10mM Tris with 1mM EDTA, pH 9.0, for 45 min at 95C followed by cooling at RT for 20 minutes.
Optimal dilution for a specific application should be determined.
Theoretical MW
250 kDa.
Disclaimer note: The observed molecular weight of the protein may vary from the listed predicted molecular weight due to post translational modifications, post translation cleavages, relative charges, and other experimental factors.

Packaging, Storage & Formulations

Storage
Store at -20 to -80C. Avoid freeze-thaw cycles.
Buffer
10 mM PBS
Preservative
No Preservative
Concentration
1.0 mg/ml
Purity
Protein A or G purified

Alternate Names for Von Willebrand Factor Antibody (VWF635) - Azide and BSA Free

  • coagulation factor VIII VWF
  • F8
  • F8VWF
  • von Willebrand factor
  • VWD
  • vWF

Background

The glycoprotein encoded by this gene functions as both an antihemophilic factor carrier and a platelet-vessel wall mediator in the blood coagulation system. It is crucial to the hemostasis process. Mutations in this gene or deficiencies in this protein result in von Willebrand's disease. An unprocessed pseudogene has been found on chromosome 22.

Limitations

This product is for research use only and is not approved for use in humans or in clinical diagnosis. Primary Antibodies are guaranteed for 1 year from date of receipt.

Customers Who Viewed This Item Also Viewed...

NB100-91761
Species: Hu, Mu, Rt
Applications: ELISA, ICC/IF, IHC,  IHC-P, WB
DADT130
Species: Hu
Applications: ELISA
NB100-91761
Species: Hu, Mu, Rt
Applications: ELISA, ICC/IF, IHC,  IHC-P, WB
DVE00
Species: Hu
Applications: ELISA
NBP1-19773
Species: Hu, Mu, Rt
Applications: ELISA, ICC/IF, IHC, IHC-Fr,  IHC-P, WB
AF3628
Species: Hu, Mu, Rt
Applications: CyTOF-ready, Flow, ICC, IHC, Simple Western, WB
137-PS
Species: Hu
Applications: BA
DY1707
Species: Hu
Applications: ELISA
NB110-68136
Species: Fe, Hu, Mu, Rt
Applications: CyTOF-ready, ELISA, Flow-IC, Flow, ICC/IF, IHC, IHC-Fr,  IHC-P, WB
NBP1-58268
Species: Hu, Mu
Applications: IHC,  IHC-P, WB
DTPA00
Species: Hu
Applications: ELISA
NBP1-81858
Species: Hu
Applications: IHC,  IHC-P, WB
NB110-41083
Species: Hu
Applications: ELISA, WB
NBP1-91258
Species: Bv, Ca, Eq, Fe, Hu, Mu, Po, Rt
Applications: ICC/IF, IHC, IHC-Fr,  IHC-P, Simple Western, WB
M6000B
Species: Mu
Applications: ELISA
NB600-930
Species: Hu, Rt
Applications: ELISA, WB
AF3894
Species: Mu
Applications: CyTOF-ready, Flow, ICC, IHC, IP, WB
H00005555-P01
Species: Hu
Applications: ELISA, AP, PA, PAGE, WB
NBP2-34510
Species: Hu
Applications: WB, Flow, ICC/IF, IHC, IP, CyTOF-ready

Publications for Von Willebrand Factor Antibody (NBP2-34510) (0)

There are no publications for Von Willebrand Factor Antibody (NBP2-34510).
By submitting your publication information earn gift cards and discounts for future purchases.

Reviews for Von Willebrand Factor Antibody (NBP2-34510) (0)

There are no reviews for Von Willebrand Factor Antibody (NBP2-34510). By submitting a review you will receive an Amazon e-Gift Card or Novus Product Discount.
  • Review with no image -- $10/€7/£6/$10 CAD/¥70 Yuan/¥1110 Yen
  • Review with an image -- $25/€18/£15/$25 CAD/¥150 Yuan/¥2500 Yen

Product General Protocols

Video Protocols

WB Video Protocol
ICC/IF Video Protocol

FAQs for Von Willebrand Factor Antibody (NBP2-34510) (0)

There are no specific FAQs related to this product. Read our general customer & technical service FAQs.

Secondary Antibodies

 

Isotype Controls

Additional Von Willebrand Factor Products

Research Areas for Von Willebrand Factor Antibody (NBP2-34510)

Find related products by research area.

Blogs on Von Willebrand Factor.

Thrombomodulin - A multifunctional protein with roles in inflammation and coagulation
Thrombomodulin, also known as BDCA-3, is a glycosylated transmembrane protein present on the surface of vascular endothelial cells. Thrombomodulin is a high-affinity receptor for thrombin, a key protein in the coagulation cascade. Formation of the...  Read full blog post.

Von Willebrand Factor: An important mediator and carrier of hemostasis
Human Von Willebrand Factor (factor VIII R: Ag) is a 270 kDa multimeric plasma gylcoprotein. Important in the maintenance of hemostasis, it mediates platelet adhesion to injured vessel walls and serves as a carrier and stabilizer for coagulation facto...  Read full blog post.

Customers Who Bought This Also Bought

Contact Information

Product PDFs

Calculators

Concentration Calculator

The concentration calculator allows you to quickly calculate the volume, mass or concentration of your vial. Simply enter your mass, volume, or concentration values for your reagent and the calculator will determine the rest.

=
÷

Review this Product

Be the first to review our Von Willebrand Factor Antibody (VWF635) - Azide and BSA Free and receive a gift card or discount.

Bioinformatics

Gene Symbol VWF