Von Willebrand Factor Antibody (CL1950) - Azide and BSA Free

Images

 
Lane 1: Marker [kDa]Lane 2: Human spleen tissue lysate
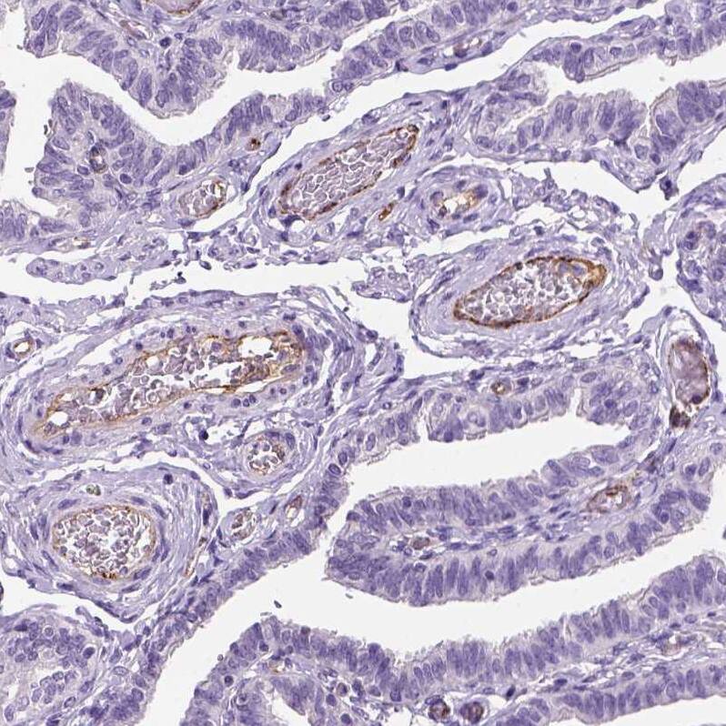
Orthogonal Strategies: Analysis in human fallopian tube and liver tissues using NBP3-43880 antibody. Corresponding Von Willebrand Factor RNA-seq data are presented for the same tissues.
Lane 1: Marker [kDa]Lane 2: Human plasma
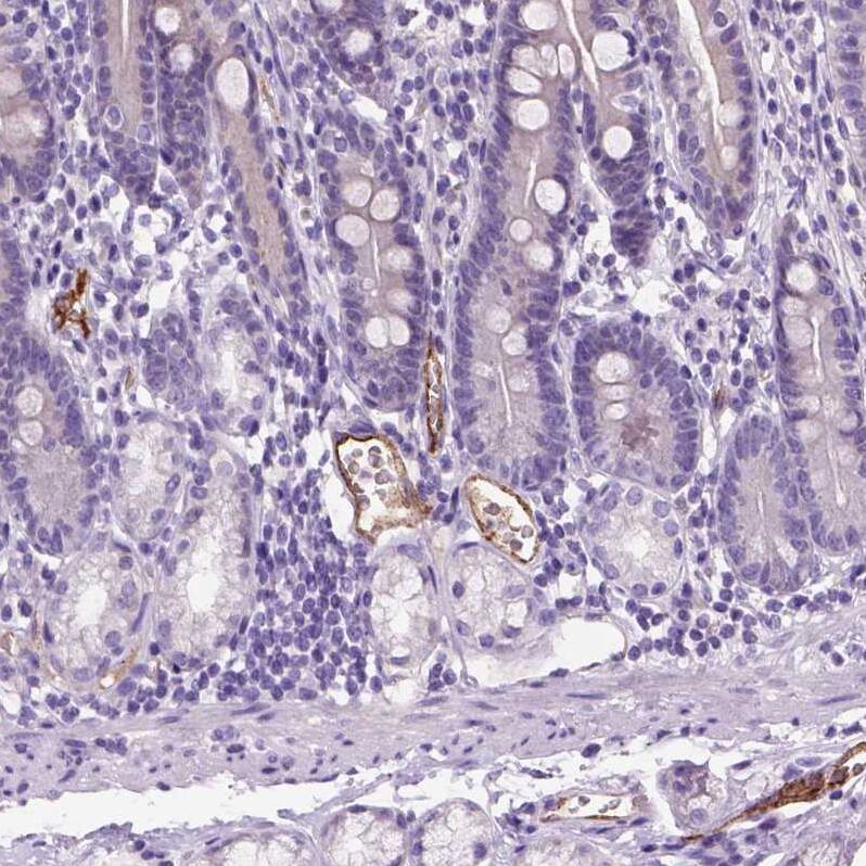
Staining of human duodenum shows moderate cytoplasmic positivity in endothelial cells.
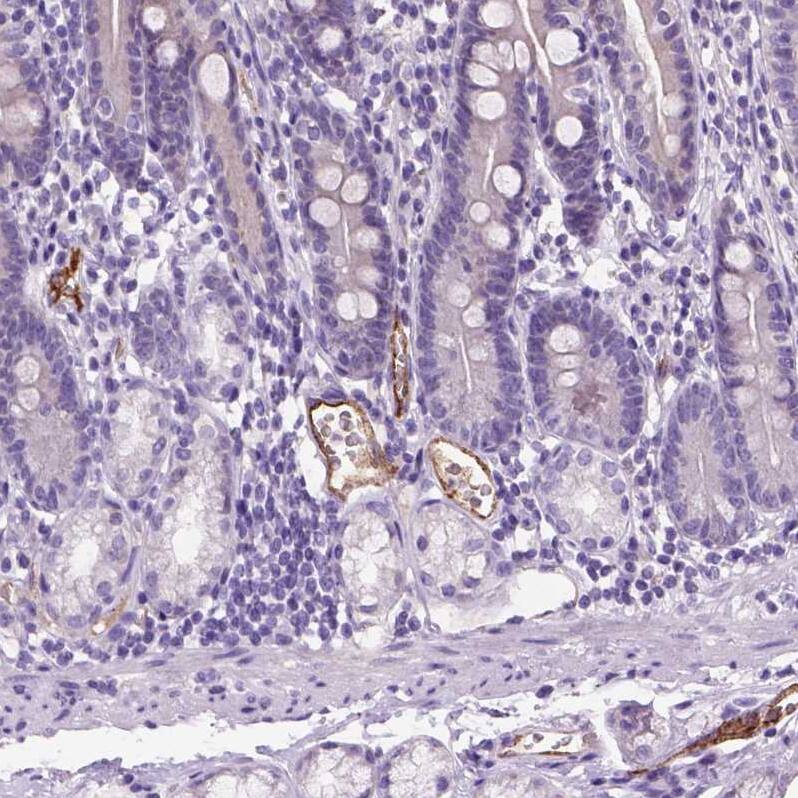
Staining of human cerebral cortex shows moderate cytoplasmic positivity in endothelial cells.
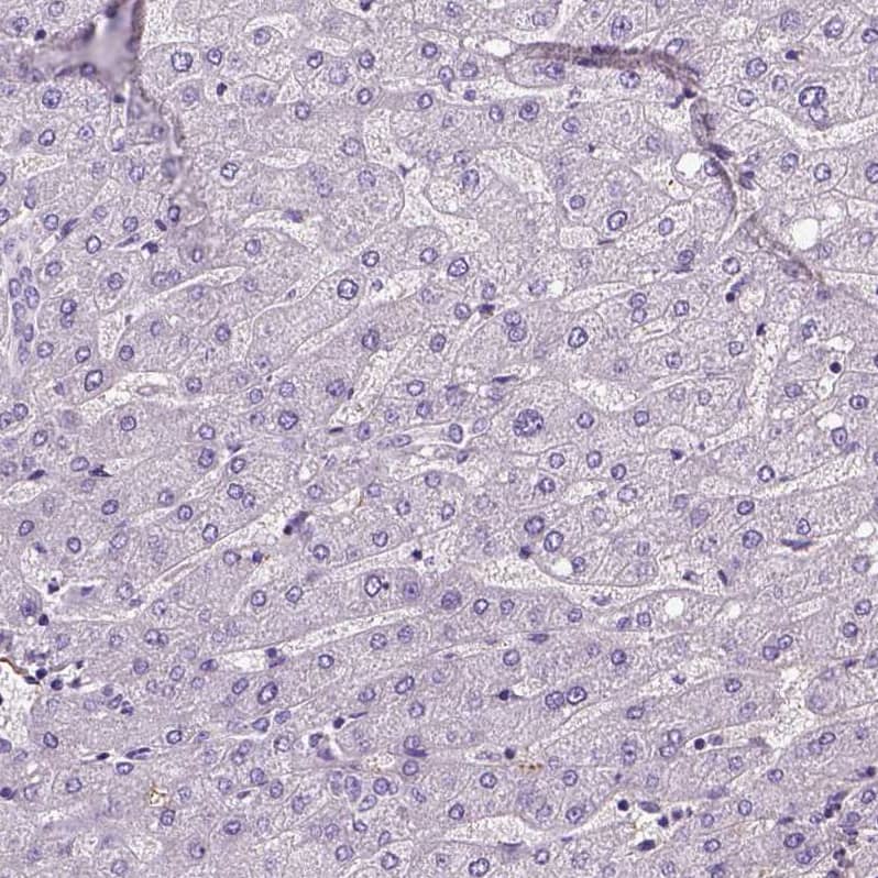
Staining of human liver shows no positivity in hepatocytes as expected.
Staining of human fallopian tube shows moderate cytoplasmic positivity in endothelial cells.

Product Details

Summary
Reactivity HuSpecies Glossary
Applications WB, IHC
Clone
CL1950
Clonality
Monoclonal
Host
Mouse
Conjugate
Unconjugated
Format
Azide and BSA Free
Concentration
LYOPH
Validated by:
       

Orthogonal Strategies

 

Order Details

Von Willebrand Factor Antibody (CL1950) - Azide and BSA Free Summary

Description
Novus Biologicals Mouse Von Willebrand Factor Antibody (CL1950) - Azide and BSA Free (NBP2-34474) is a monoclonal antibody validated for use in IHC and WB. All Novus Biologicals antibodies are covered by our 100% guarantee.
Immunogen
This antibody was generated using a recombinant protein sequence of P04275, with the exact immunogen sequence remaining proprietary.
Isotype
IgG2a
Clonality
Monoclonal
Host
Mouse
Gene
VWF
Purity
Protein A purified
Innovator's Reward
Test in a species/application not listed above to receive a full credit towards a future purchase.

Applications/Dilutions

Dilutions
  • Immunohistochemistry-Paraffin 1:1000 - 1:2500
  • Western Blot 1 ug/ml
Application Notes
For IHC-Paraffin, HIER pH 6 retrieval is recommended.

Packaging, Storage & Formulations

Storage
Store at 4C short term. Aliquot and store at -20C long term. Avoid freeze-thaw cycles.
Buffer
Lyophilized from a 0.2 um filtered solution in PBS with Trehalose
Preservative
No Preservative
Concentration
LYOPH
Purity
Protein A purified
Reconstitution Instructions
Centrifuge the vial of lyophilized antibody at 12,000 x g for 20 seconds. Reconstitute by adding sterile, distilled water to achieve a final antibody concentration of 1mg/ml.

Alternate Names for Von Willebrand Factor Antibody (CL1950) - Azide and BSA Free

  • coagulation factor VIII VWF
  • F8
  • F8VWF
  • von Willebrand factor
  • VWD
  • vWF

Background

The glycoprotein encoded by this gene functions as both an antihemophilic factor carrier and a platelet-vessel wall mediator in the blood coagulation system. It is crucial to the hemostasis process. Mutations in this gene or deficiencies in this protein result in von Willebrand's disease. An unprocessed pseudogene has been found on chromosome 22.

Limitations

This product is for research use only and is not approved for use in humans or in clinical diagnosis. Primary Antibodies are guaranteed for 1 year from date of receipt.

Customers Who Viewed This Item Also Viewed...

NB100-91761
Species: Hu, Mu, Rt
Applications: ELISA, ICC/IF, IHC,  IHC-P, WB
DADT130
Species: Hu
Applications: ELISA
NB100-91761
Species: Hu, Mu, Rt
Applications: ELISA, ICC/IF, IHC,  IHC-P, WB
DVE00
Species: Hu
Applications: ELISA
NBP1-19773
Species: Hu, Mu, Rt
Applications: ELISA, ICC/IF, IHC, IHC-Fr,  IHC-P, WB
AF3628
Species: Hu, Mu, Rt
Applications: CyTOF-ready, Flow, ICC, IHC, Simple Western, WB
137-PS
Species: Hu
Applications: BA
DY1707
Species: Hu
Applications: ELISA
NB110-68136
Species: Fe, Hu, Mu, Rt
Applications: CyTOF-ready, ELISA, Flow-IC, Flow, ICC/IF, IHC, IHC-Fr,  IHC-P, WB
NBP1-58268
Species: Hu, Mu
Applications: IHC,  IHC-P, WB
DTPA00
Species: Hu
Applications: ELISA
NBP1-81858
Species: Hu
Applications: IHC,  IHC-P, WB
NB110-41083
Species: Hu
Applications: ELISA, WB
NBP1-91258
Species: Bv, Ca, Eq, Fe, Hu, Mu, Po, Rt
Applications: ICC/IF, IHC, IHC-Fr,  IHC-P, Simple Western, WB
M6000B
Species: Mu
Applications: ELISA
NB600-930
Species: Hu, Rt
Applications: ELISA, WB
AF3894
Species: Mu
Applications: CyTOF-ready, Flow, ICC, IHC, IP, WB
H00005555-P01
Species: Hu
Applications: ELISA, AP, PA, PAGE, WB
NBP3-43880
Species: Hu
Applications: WB, IHC

Publications for Von Willebrand Factor Antibody (NBP3-43880) (0)

There are no publications for Von Willebrand Factor Antibody (NBP3-43880).
By submitting your publication information earn gift cards and discounts for future purchases.

Reviews for Von Willebrand Factor Antibody (NBP3-43880) (0)

There are no reviews for Von Willebrand Factor Antibody (NBP3-43880). By submitting a review you will receive an Amazon e-Gift Card or Novus Product Discount.
  • Review with no image -- $10/€7/£6/$10 CAD/¥70 Yuan/¥1110 Yen
  • Review with an image -- $25/€18/£15/$25 CAD/¥150 Yuan/¥2500 Yen

Product General Protocols

Find general support by application which include: protocols, troubleshooting, illustrated assays, videos and webinars.

Video Protocols

WB Video Protocol

FAQs for Von Willebrand Factor Antibody (NBP3-43880) (0)

There are no specific FAQs related to this product. Read our general customer & technical service FAQs.

Secondary Antibodies

 

Isotype Controls

Additional Von Willebrand Factor Products

Research Areas for Von Willebrand Factor Antibody (NBP3-43880)

Find related products by research area.

Blogs on Von Willebrand Factor.

Thrombomodulin - A multifunctional protein with roles in inflammation and coagulation
Thrombomodulin, also known as BDCA-3, is a glycosylated transmembrane protein present on the surface of vascular endothelial cells. Thrombomodulin is a high-affinity receptor for thrombin, a key protein in the coagulation cascade. Formation of the...  Read full blog post.

Von Willebrand Factor: An important mediator and carrier of hemostasis
Human Von Willebrand Factor (factor VIII R: Ag) is a 270 kDa multimeric plasma gylcoprotein. Important in the maintenance of hemostasis, it mediates platelet adhesion to injured vessel walls and serves as a carrier and stabilizer for coagulation facto...  Read full blog post.

Customers Who Bought This Also Bought

Contact Information

Product PDFs

Calculators

Concentration Calculator

The concentration calculator allows you to quickly calculate the volume, mass or concentration of your vial. Simply enter your mass, volume, or concentration values for your reagent and the calculator will determine the rest.

=
÷

Review this Product

Be the first to review our Von Willebrand Factor Antibody (CL1950) - Azide and BSA Free and receive a gift card or discount.

Bioinformatics

Gene Symbol VWF