UDP glucose dehydrogenase Antibody - BSA Free

Images

 
Independent Antibodies: Immunohistochemistry-Paraffin: UDP glucose dehydrogenase Antibody [NBP1-90906] - Staining of human cerebral cortex, liver, prostate and rectum using Anti-UDP glucose dehydrogenase antibody ...read more
Orthogonal Strategies: Western Blot: UDP glucose dehydrogenase Antibody [NBP1-90906] - Analysis in human cell lines A-549 and HEK293 using anti-UGDH antibody. Corresponding UGDH RNA-seq data are presented for the ...read more
Immunohistochemistry-Paraffin: UDP glucose dehydrogenase Antibody [NBP1-90906] - Staining of human rectum shows strong cytoplasmic positivity in glandular cells.
Western Blot: UDP glucose dehydrogenase Antibody [NBP1-90906] - Lane 1: Marker [kDa] 250, 130, 95, 72, 55, 36, 28, 17, 10Lane 2: Human cell line RT-4Lane 3: Human cell line U-251MG sp
Immunohistochemistry-Paraffin: UDP glucose dehydrogenase Antibody [NBP1-90906] - Staining of human cerebral cortex shows no positivity in neurons as expected.
Immunohistochemistry-Paraffin: UDP glucose dehydrogenase Antibody [NBP1-90906] - Staining of human liver shows strong cytoplasmic positivity in hepatocytes.
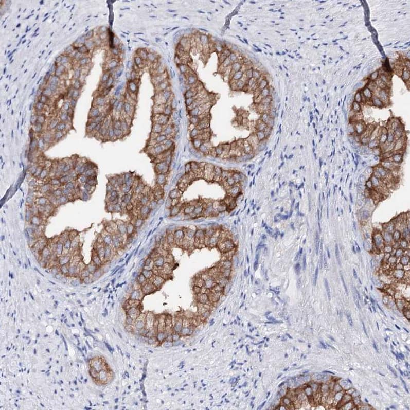
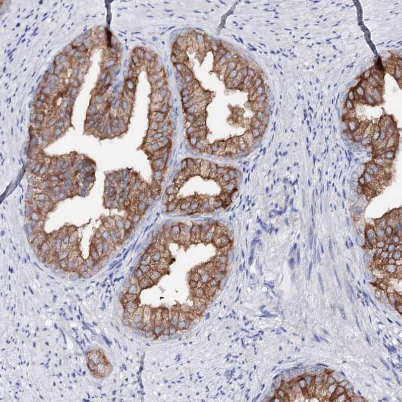
Immunohistochemistry-Paraffin: UDP glucose dehydrogenase Antibody [NBP1-90906] - Staining of human prostate shows moderate cytoplasmic positivity in glandular cells.
Staining of human rectum shows strong cytoplasmic positivity in glandular cells.
Staining of human prostate shows moderate cytoplasmic positivity in glandular cells.
Analysis in mouse cell line NIH-3T3 and rat cell line NBT-II.
Staining of human cell line U-2 OS shows localization to nucleoplasm.

Product Details

Summary
Reactivity Hu, Mu, RtSpecies Glossary
Applications WB, ICC/IF, IHC
Clonality
Polyclonal
Host
Rabbit
Conjugate
Unconjugated
Format
BSA Free

Order Details

View Available Formulations
Catalog# & Formulation Size Price

UDP glucose dehydrogenase Antibody - BSA Free Summary

Description
Novus Biologicals Rabbit UDP glucose dehydrogenase Antibody - BSA Free (NBP1-90906) is a polyclonal antibody validated for use in IHC, WB and ICC/IF. All Novus Biologicals antibodies are covered by our 100% guarantee.
Immunogen
This antibody was developed against Recombinant Protein corresponding to amino acids: AVVICTEWDMFKELDYERIHKKMLKPAFIFDGRRVLDGLHNELQTIGFQIETIGKKVSSKRIPYAPSGEIPKFSLQDPPNKKPKV
Isotype
IgG
Clonality
Polyclonal
Host
Rabbit
Gene
UGDH
Purity
Affinity purified
Innovator's Reward
Test in a species/application not listed above to receive a full credit towards a future purchase.

Applications/Dilutions

Dilutions
  • Immunocytochemistry/ Immunofluorescence 0.25-2 ug/ml
  • Immunohistochemistry 1:1000 - 1:2500
  • Immunohistochemistry-Paraffin 1:1000 - 1:2500
  • Western Blot 0.04-0.4 ug/ml
Application Notes
For IHC-Paraffin, HIER pH 6 retrieval is recommended. ICC/IF,Fixation Permeabilization: Use PFA/Triton X-100.
Control Peptide
UDP glucose dehydrogenase Protein (NBP1-90906PEP)
Publications
Read Publication using NBP1-90906.

Packaging, Storage & Formulations

Storage
Store at 4C short term. Aliquot and store at -20C long term. Avoid freeze-thaw cycles.
Buffer
PBS (pH 7.2) and 40% Glycerol
Preservative
0.02% Sodium Azide
Purity
Affinity purified

Alternate Names for UDP glucose dehydrogenase Antibody - BSA Free

  • EC 1.1.1.22
  • GDH
  • UDPGDHUDP-glucose dehydrogenase
  • UDP-Glc dehydrogenase
  • UDP-GlcDH
  • UDP-glucose 6-dehydrogenase
  • UGD
  • uridine diphospho-glucose dehydrogenase

Background

UDP glucose dehydrogenase is encoded by this gene converts UDP-glucose to UDP-glucuronate and thereby participates in the biosynthesis of glycosaminoglycans such as hyaluronan, chondroitin sulfate, and heparan sulfate. These glycosylated compounds are common components of the extracellular matrix and likely play roles in signal transduction, cell migration, and cancer growth and metastasis. The expression of this gene is up-regulated by transforming growth factor beta and down-regulated by hypoxia. [provided by RefSeq]

Limitations

This product is for research use only and is not approved for use in humans or in clinical diagnosis. Primary Antibodies are guaranteed for 1 year from date of receipt.

Customers Who Viewed This Item Also Viewed...

NB110-41404
Species: Bv, Hu, Mu, Rt
Applications: ICC/IF, IHC, WB
NBP1-91942
Species: Hu, Mu, Rt
Applications: IHC,  IHC-P, WB
NB100-91662
Species: Hu, Mu, Rt
Applications: Flow, ICC/IF, IHC,  IHC-P, Simple Western, WB
NBP1-91942
Species: Hu, Mu, Rt
Applications: IHC,  IHC-P, WB
NBP1-32259
Species: Hu, Mu, Rt
Applications: ICC/IF, IHC,  IHC-P, KO, WB
NBP2-01506
Species: Hu
Applications: Flow, ICC/IF, IHC,  IHC-P, WB
NBP2-45978
Species: Hu
Applications: Flow, IHC,  IHC-P, WB
NBP1-87069
Species: Hu, Mu
Applications: ICC/IF, IHC,  IHC-P, KD, Simple Western, WB
MAB1417
Species: Bv, Hu, Mu
Applications: ICC, IHC
NBP1-81838
Species: Hu, Mu
Applications: IHC,  IHC-P, WB
NBP2-16679
Species: Dr, Hu, Mu, Rt
Applications: ELISA, ICC/IF, IHC,  IHC-P, WB
AF009
Species: Hu
Applications: IHC, WB
NBP1-31470
Species: Bv, Hu, Mu, Rt
Applications: ELISA, Flow, ICC/IF, IHC,  IHC-P, WB
MAB1268
Species: Hu
Applications: ICC, IHC, IP, Simple Western, WB
NBP2-02164
Species: Hu, Mu, Rt
Applications: Flow, ICC/IF, IHC,  IHC-P, WB
NBP1-89766
Species: Hu, Mu, Rt
Applications: ICC/IF, IHC,  IHC-P, WB
NBP2-02541
Species: Hu, Pm, Mu, Pm, Rt
Applications: ICC/IF, IHC,  IHC-P, WB
NBP1-32398
Species: Hu, Mu, Rt
Applications: ICC/IF, IHC,  IHC-P, IP, KD, WB
NBP1-89559
Species: Hu
Applications: IHC,  IHC-P, WB
NBP3-05078
Species: Hu, Mu, Rt
Applications: ICC/IF, IHC,  IHC-P, WB

Publications for UDP glucose dehydrogenase Antibody (NBP1-90906)(1)

Reviews for UDP glucose dehydrogenase Antibody (NBP1-90906) (0)

There are no reviews for UDP glucose dehydrogenase Antibody (NBP1-90906). By submitting a review you will receive an Amazon e-Gift Card or Novus Product Discount.
  • Review with no image -- $10/€7/£6/$10 CAD/¥70 Yuan/¥1110 Yen
  • Review with an image -- $25/€18/£15/$25 CAD/¥150 Yuan/¥2500 Yen

Product General Protocols

Find general support by application which include: protocols, troubleshooting, illustrated assays, videos and webinars.

Video Protocols

WB Video Protocol
ICC/IF Video Protocol

FAQs for UDP glucose dehydrogenase Antibody (NBP1-90906) (0)

There are no specific FAQs related to this product. Read our general customer & technical service FAQs.

Secondary Antibodies

 

Isotype Controls

Additional UDP glucose dehydrogenase Products

Research Areas for UDP glucose dehydrogenase Antibody (NBP1-90906)

Find related products by research area.

Blogs on UDP glucose dehydrogenase

There are no specific blogs for UDP glucose dehydrogenase, but you can read our latest blog posts.

Customers Who Bought This Also Bought

Contact Information

Product PDFs

Calculators

Concentration Calculator

The concentration calculator allows you to quickly calculate the volume, mass or concentration of your vial. Simply enter your mass, volume, or concentration values for your reagent and the calculator will determine the rest.

=
÷

Review this Product

Be the first to review our UDP glucose dehydrogenase Antibody - BSA Free and receive a gift card or discount.

Bioinformatics

Gene Symbol UGDH