TYRP1 Antibody (SPM611) - Azide and BSA Free

Images

 
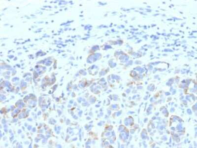
Immunohistochemistry-Paraffin: TYRP1 Antibody (SPM611) - Azide and BSA Free [NBP3-11452] - Human Melanoma stained with TYRP1 Monoclonal Antibody (SPM611)

Product Details

Summary
Reactivity Hu, MuSpecies Glossary
Applications Flow, ICC/IF, IHC, ICC/IF
Clone
SPM611
Clonality
Monoclonal
Host
Mouse
Conjugate
Unconjugated
Format
Azide and BSA Free
Concentration
1 mg/ml

Order Details

TYRP1 Antibody (SPM611) - Azide and BSA Free Summary

Description
1.0 mg/ml of antibody purified from Bioreactor Concentrate by Protein A/G. Prepared in 10mM PBS WITHOUT BSA & azide. Also available at 200 ug/ml WITH BSA & azide (NBP2-44620).

Antibody with azide - store at 2 to 8C. Antibody without azide - store at -20 to -80C.
Immunogen
Recombinant full-length human TYRP1 protein (Uniprot: P17643)
Localization
Cytoplasmic
Marker
Melanoma Marker
Isotype
IgG2a Kappa
Clonality
Monoclonal
Host
Mouse
Gene
TYRP1
Purity
Protein A or G purified
Innovator's Reward
Test in a species/application not listed above to receive a full credit towards a future purchase.

Applications/Dilutions

Dilutions
  • Flow Cytometry 0.5 - 1 ug/million cells in 0.1 ml
  • Immunocytochemistry/ Immunofluorescence 1-2 ug/ml
  • Immunofluorescence 1 - 2 ug/ml
  • Immunohistochemistry
  • Immunohistochemistry-Paraffin 2 - 4 ug/ml
Application Notes
Immunohistochemistry (Formalin-fixed): 2-4ug/ml for 30 minutes at RT. Staining of formalin-fixed tissues requires heating tissue sections in 10mM Tris with 1mM EDTA, pH 9.0, for 45 min at 95C followed by cooling at RT for 20 minutes.
Optimal dilution for a specific application should be determined.
Theoretical MW
75 kDa.
Disclaimer note: The observed molecular weight of the protein may vary from the listed predicted molecular weight due to post translational modifications, post translation cleavages, relative charges, and other experimental factors.

Packaging, Storage & Formulations

Storage
Store at -20 to -80C. Avoid freeze-thaw cycles.
Buffer
10 mM PBS
Preservative
No Preservative
Concentration
1 mg/ml
Purity
Protein A or G purified

Alternate Names for TYRP1 Antibody (SPM611) - Azide and BSA Free

  • b-PROTEIN
  • CAS25,6-dihydroxyindole-2-carboxylic acid oxidase
  • Catalase B
  • CATB
  • EC 1.14.18
  • EC 1.14.18.-
  • EC 1.14.18.1
  • Glycoprotein 75
  • GP75DHICA oxidase
  • Melanoma antigen gp75
  • TRP-1
  • TRPTYRP
  • tyrosinase-related protein 1TRP1
  • TYRRP

Background

TYRP1 encodes a melanosomal enzyme that belongs to the tyrosinase family and plays an important role in the melanin biosynthetic pathway. Defects in this gene are the cause of rufous oculocutaneous albinism and oculocutaneous albinism type III. [provided by RefSeq]

Limitations

This product is for research use only and is not approved for use in humans or in clinical diagnosis. Primary Antibodies are guaranteed for 1 year from date of receipt.

Customers Who Viewed This Item Also Viewed...

NBP2-67232
Species: Hu, Mu
Applications: ICC/IF, IHC,  IHC-P, WB
NBP1-86893
Species: Hu
Applications: ICC/IF, IHC,  IHC-P, WB
NBP1-97417
Species: Hu, In, Mu, Pm, Rt
Applications: ICC/IF, IF, IHC (-), WB
NB110-40763
Species: Gp, Hu, Mu, Rt, Ze
Applications: ELISA, Flow-IC, Flow, ICC/IF, IHC, IHC-Fr,  IHC-P, WB
AF5769
Species: Hu
Applications: IHC, WB
NBP2-44520
Species: Ca(-), Hu, Rt(-)
Applications: Flow-IC, Flow, ICC/IF, IF, IHC,  IHC-P, MI, WB
MAB1455
Species: Hu
Applications: CyTOF-ready, Dual ISH-IHC, ICC, IHC, ICFlow, Simple Western, WB
NB100-1533
Species: Hu, Mu, Po, Rt, Sh
Applications: Flow, ICC/IF, IHC,  IHC-P, PEP-ELISA, WB
NBP1-97311
Species: Hu, Mu, Rt
Applications: ICC/IF, IHC,  IHC-P, KD, WB
NB110-74960
Species: Hu, Pm, Mu, Rt
Applications: ICC/IF, IHC,  IHC-P, WB
NBP1-77262
Species: Hu, Mu
Applications: ELISA, ICC/IF, IHC,  IHC-P, WB
NBP1-77260
Species: Hu, Mu, Rt
Applications: ELISA, ICC/IF, IHC,  IHC-P, WB
664-LI
Species: Hu
Applications: BA
AF3398
Species: Hu, Mu, Rt
Applications: ICC, KO, Simple Western, WB
MAB1417
Species: Bv, Hu, Mu
Applications: ICC, IHC
NB100-98844
Species: Hu, Mu, Rt
Applications: ICC/IF, IHC, WB
NBP1-20989
Species: Hu, Rt
Applications: IHC,  IHC-P, PEP-ELISA, WB
NB110-81601
Species: Mu, Rt
Applications: ICC/IF, IHC, IHC-Fr,  IHC-P, WB
NBP1-81838
Species: Hu, Mu
Applications: IHC,  IHC-P, WB
NBP3-11452
Species: Hu, Mu
Applications: Flow, ICC/IF, IHC, ICC/IF

Publications for TYRP1 Antibody (NBP3-11452) (0)

There are no publications for TYRP1 Antibody (NBP3-11452).
By submitting your publication information earn gift cards and discounts for future purchases.

Reviews for TYRP1 Antibody (NBP3-11452) (0)

There are no reviews for TYRP1 Antibody (NBP3-11452). By submitting a review you will receive an Amazon e-Gift Card or Novus Product Discount.
  • Review with no image -- $10/€7/£6/$10 CAD/¥70 Yuan/¥1110 Yen
  • Review with an image -- $25/€18/£15/$25 CAD/¥150 Yuan/¥2500 Yen

Product General Protocols

Find general support by application which include: protocols, troubleshooting, illustrated assays, videos and webinars.

Video Protocols

ICC/IF Video Protocol

FAQs for TYRP1 Antibody (NBP3-11452) (0)

There are no specific FAQs related to this product. Read our general customer & technical service FAQs.

Secondary Antibodies

 

Isotype Controls

Additional TYRP1 Products

Research Areas for TYRP1 Antibody (NBP3-11452)

Find related products by research area.

Blogs on TYRP1.

Winter is coming, and TRPM8 welcomes the cold!
TRPM8, or transient receptor potential melastatin 8, is a nonselective cation channel that is activated by cold environments and menthol-like cooling compounds.  While TRPM8 is best known for its location in peripheral nerve endings, it has functio...  Read full blog post.

Customers Who Bought This Also Bought

Contact Information

Product PDFs

Calculators

Concentration Calculator

The concentration calculator allows you to quickly calculate the volume, mass or concentration of your vial. Simply enter your mass, volume, or concentration values for your reagent and the calculator will determine the rest.

=
÷

Review this Product

Be the first to review our TYRP1 Antibody (SPM611) - Azide and BSA Free and receive a gift card or discount.

Bioinformatics

Gene Symbol TYRP1