TSPAN3 Antibody

Images

 
Western Blot: Tetraspanin-3 Antibody [NBP2-20604] - Sample (50 ug of whole cell lysate) A: Mouse Kidney, 12% SDS PAGE gel, diluted at 1:1000.
Immunocytochemistry/ Immunofluorescence: Tetraspanin-3 Antibody [NBP2-20604] - HeLa cells. Green: TSPAN3 protein stained by TSPAN3 antibody diluted at 1:500. Blue: Hoechst 33342 staining.
Immunohistochemistry-Paraffin: TSPAN3 Antibody [NBP2-20604] - U87 xenograft. TSPAN3 antibody dilution: 1:500. Antigen Retrieval: Trilogy™ (EDTA based, pH 8.0) buffer, 15min.
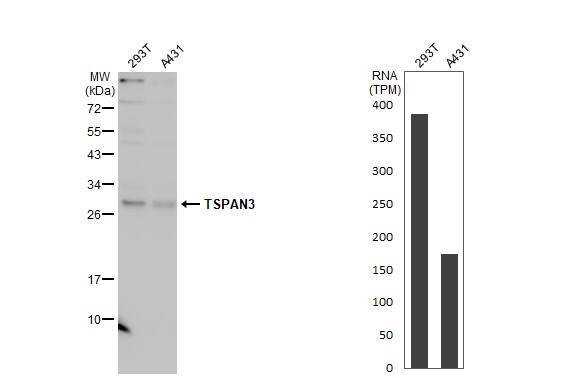
Western Blot: Tetraspanin-3 Antibody [NBP2-20604] - Sample (30 ug of whole cell lysate) A: 293T B: A431 C: HeLa 12% SDS PAGE gel, diluted at 1:1000.
TSPAN3 antibody detects TSPAN3 protein at cytoplasm by immunofluorescent analysis. Sample: HeLa cells were fixed in ice-cold MeOH for 5 min.Green: TSPAN3 protein stained by TSPAN3 antibody (NBP2-20604) diluted at ...read more
Various whole cell extracts (30 ug) were separated by 12% SDS-PAGE, and the membrane was blotted with TSPAN3 antibody (NBP2-20604) diluted at 1:1000. The HRP-conjugated anti-rabbit IgG antibody was used to detect the ...read more

Product Details

Summary
Reactivity Hu, MuSpecies Glossary
Applications WB, ICC/IF, IHC
Clonality
Polyclonal
Host
Rabbit
Conjugate
Unconjugated

Order Details

TSPAN3 Antibody Summary

Description
Novus Biologicals Rabbit TSPAN3 Antibody (NBP2-20604) is a polyclonal antibody validated for use in IHC, WB and ICC/IF. All Novus Biologicals antibodies are covered by our 100% guarantee.
Immunogen
Recombinant protein encompassing a sequence within the center region of human TSPAN3. The exact sequence is proprietary.
Localization
Membrane; Multi-pass membrane protein
Isotype
IgG
Clonality
Polyclonal
Host
Rabbit
Gene
TSPAN3
Purity
Antigen Affinity-purified
Innovator's Reward
Test in a species/application not listed above to receive a full credit towards a future purchase.

Applications/Dilutions

Dilutions
  • Immunocytochemistry/ Immunofluorescence 1:100-1:1000
  • Immunohistochemistry 1:100-1:1000
  • Immunohistochemistry-Paraffin 1:100-1:1000
  • Western Blot 1:500-1:3000
Theoretical MW
28 kDa.
Disclaimer note: The observed molecular weight of the protein may vary from the listed predicted molecular weight due to post translational modifications, post translation cleavages, relative charges, and other experimental factors.

Packaging, Storage & Formulations

Storage
Aliquot and store at -20C or -80C. Avoid freeze-thaw cycles.
Buffer
PBS, 1% BSA, 20% Glycerol
Preservative
0.01% Thimerosal
Purity
Antigen Affinity-purified

Alternate Names for TSPAN3 Antibody

  • tetraspan TM4SF
  • tetraspanin 3
  • Tetraspanin TM4-A
  • tetraspanin-3
  • TM4A
  • TM4-A
  • TM4SF8
  • Transmembrane 4 superfamily member 8tetraspan 3
  • TSPAN3
  • TSPAN-3

Background

The protein encoded by this gene is a member of the transmembrane 4 superfamily, also known as the tetraspanin family. Most of these members are cell-surface proteins that are characterized by the presence of four hydrophobic domains. The proteins mediate signal transduction events that play a role in the regulation of cell development, activation, growth and motility. The use of alternate polyadenylation sites has been found for this gene. Two alternative transcripts encoding different isoforms have been described. [provided by RefSeq]

Limitations

This product is for research use only and is not approved for use in humans or in clinical diagnosis. Primary Antibodies are guaranteed for 1 year from date of receipt.

Customers Who Viewed This Item Also Viewed...

NBP1-82470
Species: Hu, Mu
Applications: IHC,  IHC-P, WB
MAB17781
Species: Hu
Applications: Block, CyTOF-ready, Flow, ICC, IP, KO
NBP1-76995
Species: Hu, Mu, Rt
Applications: ELISA, ICC/IF, IHC,  IHC-P, WB
NBP1-69337
Species: Hu
Applications: IHC,  IHC-P, WB
NBP1-81001
Species: Hu
Applications: ICC/IF, IHC,  IHC-P
NBP1-52105
Species: Hu, Rt
Applications: Flow, IHC,  IHC-P, PEP-ELISA, WB
NBP3-46613
Species: Hu, Mu, Rt, Ze
Applications: ELISA, ICC/IF, IHC, WB
NBP1-33736
Species: Hu, Mu, Rt
Applications: ICC/IF, IHC,  IHC-P, IP, WB
NBP2-32011
Species: Hu, Mu
Applications: ICC/IF, IHC,  IHC-P, WB
NBP2-13754
Species: Hu, Mu, Rt
Applications: ICC/IF, IHC,  IHC-P, WB
NB500-327
Species: Hu
Applications: CyTOF-ready, ELISA, Flow, IHC,  IHC-P, In vitro, WB
AF4055
Species: Mu
Applications: IHC, Simple Western, WB
NBP1-85273
Species: Hu, Mu, Rt
Applications: ICC/IF, IHC,  IHC-P, WB
NBP1-85764
Species: Hu
Applications: IHC,  IHC-P, WB
NBP1-90310
Species: Hu
Applications: IHC,  IHC-P, WB
NBP2-42225
Species: Ca, Hu
Applications: B/N, DB, EM, ELISA, Flow-IC, Flow, Func, ICC/IF, IHC-WhMt, IP, In vitro, WB
462-TEC
Species: Mu
Applications: BA
AF632
Species: Hu
Applications: AgAct, Simple Western, WB
NBP1-84721
Species: Hu
Applications: IHC,  IHC-P, Simple Western, WB
NBP2-20604
Species: Hu, Mu
Applications: WB, ICC/IF, IHC
⚠ WARNING: This product can expose you to chemicals including mercury, which is known to the State of California to cause reproductive toxicity with developmental effects.  For more information go to www.P65Warnings.ca.gov.

Publications for TSPAN3 Antibody (NBP2-20604) (0)

There are no publications for TSPAN3 Antibody (NBP2-20604).
By submitting your publication information earn gift cards and discounts for future purchases.

Reviews for TSPAN3 Antibody (NBP2-20604) (0)

There are no reviews for TSPAN3 Antibody (NBP2-20604). By submitting a review you will receive an Amazon e-Gift Card or Novus Product Discount.
  • Review with no image -- $10/€7/£6/$10 CAD/¥70 Yuan/¥1110 Yen
  • Review with an image -- $25/€18/£15/$25 CAD/¥150 Yuan/¥2500 Yen

Product General Protocols

Find general support by application which include: protocols, troubleshooting, illustrated assays, videos and webinars.

Video Protocols

WB Video Protocol
ICC/IF Video Protocol

FAQs for TSPAN3 Antibody (NBP2-20604) (0)

There are no specific FAQs related to this product. Read our general customer & technical service FAQs.

Secondary Antibodies

 

Isotype Controls

Additional TSPAN3 Products

Research Areas for TSPAN3 Antibody (NBP2-20604)

Find related products by research area.

Blogs on TSPAN3

There are no specific blogs for TSPAN3, but you can read our latest blog posts.

Customers Who Bought This Also Bought

Contact Information

Product PDFs

Calculators

Concentration Calculator

The concentration calculator allows you to quickly calculate the volume, mass or concentration of your vial. Simply enter your mass, volume, or concentration values for your reagent and the calculator will determine the rest.

=
÷

Review this Product

Be the first to review our TSPAN3 Antibody and receive a gift card or discount.

Bioinformatics

Gene Symbol TSPAN3