SPC24 Antibody - BSA Free

Images

 
Western Blot: SPC24 Antibody [NBP2-47264] - Lane 1: Marker [kDa] 250, 130, 95, 72, 55, 36, 28, 17, 10. Lane 2: Human cell line RT-4. Lane 3: Human cell line U-251MG.
Immunocytochemistry/ Immunofluorescence: SPC24 Antibody [NBP2-47264] - Staining of human cell line MCF7 shows localization to nucleus & nucleoli.
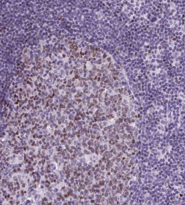
Staining of human lymph node shows moderate nuclear positivity in germinal center cells.
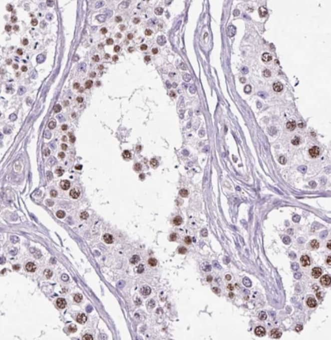
Staining of human testis shows strong nuclear positivity in cells in seminiferous ducts.
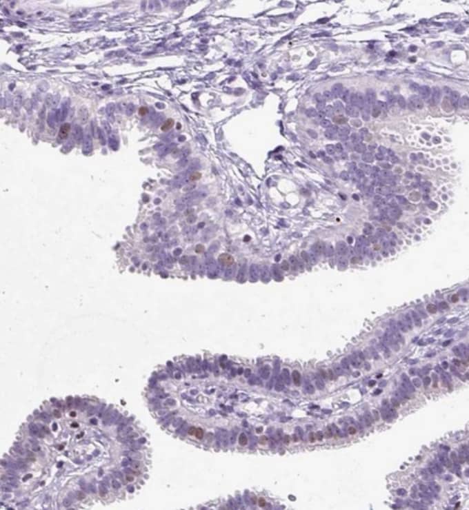
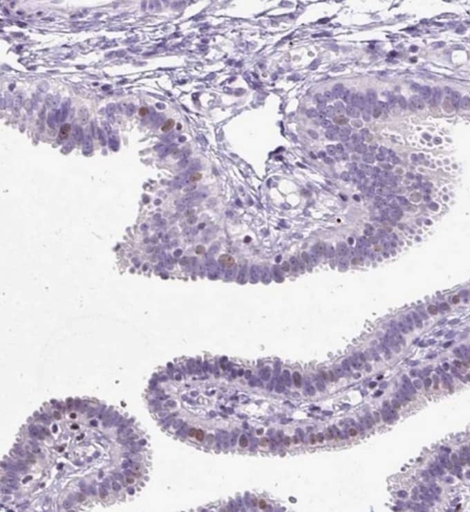
Staining of human fallopian tube shows weak nuclear positivity in glandular cells.
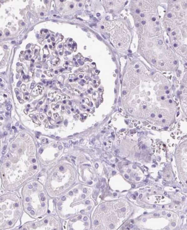
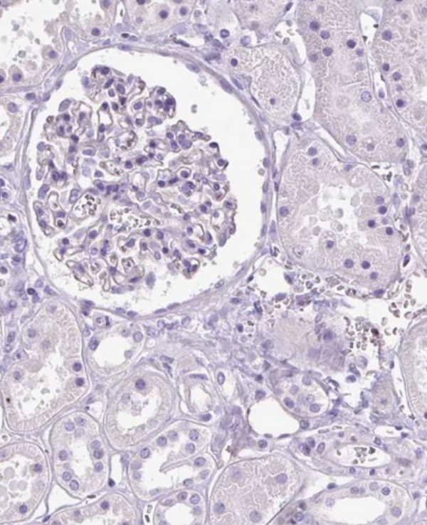
Staining of human kidney shows negative nuclear positivity in cells in tubules and cells in glomeruli as expected.

Product Details

Summary
Reactivity Hu, RtSpecies Glossary
Applications WB, ICC/IF, IHC
Clonality
Polyclonal
Host
Rabbit
Conjugate
Unconjugated
Format
BSA Free

Order Details

View Available Formulations
Catalog# & Formulation Size Price

SPC24 Antibody - BSA Free Summary

Description
Novus Biologicals Rabbit SPC24 Antibody - BSA Free (NBP2-47264) is a polyclonal antibody validated for use in IHC, WB and ICC/IF. Anti-SPC24 Antibody: Cited in 1 publication. All Novus Biologicals antibodies are covered by our 100% guarantee.
Immunogen
This antibody was developed against a recombinant protein corresponding to amino acids: ERQEKEVDEDTTVTIPSAVYVAQLYHQVSKIEWDYECEPGMVKGIHHGPSVAQPIHLDSTQLSRKFISDYLWSLV
Predicted Species
Rat (91%). Backed by our 100% Guarantee.
Isotype
IgG
Clonality
Polyclonal
Host
Rabbit
Gene
SPC24
Purity
Affinity purified
Innovator's Reward
Test in a species/application not listed above to receive a full credit towards a future purchase.

Applications/Dilutions

Dilutions
  • Immunocytochemistry/ Immunofluorescence 0.25-2 ug/ml
  • Immunohistochemistry 1:500 - 1:1000
  • Immunohistochemistry-Paraffin 1:500 - 1:1000
  • Western Blot 0.04-0.4 ug/ml
Application Notes
IHC-Paraffin, HIER pH 6 retrieval is recommended. ICC/IF, Fixation Permeabilization: Use PFA/Triton X-100.
Control Peptide
SPC24 Protein (NBP2-47264PEP)
Publications
Read Publication using NBP2-47264.

Reactivity Notes

Immunogen displays the following percentage of sequence identity for non-tested species: Mouse (85%)

Packaging, Storage & Formulations

Storage
Store at 4C short term. Aliquot and store at -20C long term. Avoid freeze-thaw cycles.
Buffer
PBS (pH 7.2) and 40% Glycerol
Preservative
0.02% Sodium Azide
Purity
Affinity purified

Alternate Names for SPC24 Antibody - BSA Free

  • FLJ90806
  • hSpc24
  • kinetochore protein Spc24
  • SPBC24
  • SPC24, NDC80 kinetochore complex component, homolog (S. cerevisiae)
  • spindle pole body component 24 homolog (S. cerevisiae)
  • spindle pole body component 24 homolog

Background

SPC24 acts as a component of the essential kinetochore-associated NDC80 complex, which is required for chromosomesegregation and spindle checkpoint activity. Required for kinetochore integrity and the organization of stablemicrotubule binding sites in the outer

Limitations

This product is for research use only and is not approved for use in humans or in clinical diagnosis. Primary Antibodies are guaranteed for 1 year from date of receipt.

Customers Who Viewed This Item Also Viewed...

NB100-338
Species: Ha, Hu, Mar, Mu
Applications: Flow, ICC/IF, IHC, IHC-Fr, IP, PLA, WB
NBP2-47263
Species: Hu
Applications: ICC/IF, IHC,  IHC-P, WB
NBP1-31632
Species: Hu
Applications: ICC/IF, WB
NB100-2359
Species: Hu
Applications: IHC, IP, WB
NBP1-82868
Species: Hu
Applications: ICC/IF, IHC,  IHC-P, WB
NBP2-38644
Species: Hu
Applications: ICC/IF, IHC,  IHC-P, WB
NB100-294
Species: Hu, Mu, Rt
Applications: ICC/IF, IHC,  IHC-P, IP, MiAr, WB
NBP1-32775
Species: Hu, Mar, Mu, Rt
Applications: ChIP, ICC/IF, IHC,  IHC-P, IP, WB
NBP1-89979
Species: Hu
Applications: ChIP-EXO-SEQ, IHC,  IHC-P
NB100-563
Species: Hu
Applications: ICC/IF, IHC,  IHC-P, IP, WB
NB600-607
Species: Hu, Rt
Applications: ELISA, IHC,  IHC-P, WB
NBP2-37322
Species: Hu
Applications: CyTOF-ready, ELISA, Flow, ICC/IF, IHC,  IHC-P, WB
NBP2-16686
Species: Hu
Applications: ICC/IF, IHC,  IHC-P, KO, WB
NBP1-48291
Species: Hu, Mu, Rt
Applications: Flow, IHC,  IHC-P, IP, WB
NB100-353
Species: Hu, Mu
Applications: CyTOF-ready, Flow, ICC/IF, IP, WB
H00000699-D01P
Species: Hu, Mu
Applications: ICC/IF, PLA, WB
AF5769
Species: Hu
Applications: IHC, WB
NBP2-49118
Species: Hu
Applications: IHC,  IHC-P
NBP2-21057
Species: Hu
Applications: ICC/IF, IHC,  IHC-P, WB
NBP2-47264
Species: Hu, Rt
Applications: WB, ICC/IF, IHC

Publications for SPC24 Antibody (NBP2-47264)(1)

Reviews for SPC24 Antibody (NBP2-47264) (0)

There are no reviews for SPC24 Antibody (NBP2-47264). By submitting a review you will receive an Amazon e-Gift Card or Novus Product Discount.
  • Review with no image -- $10/€7/£6/$10 CAD/¥70 Yuan/¥1110 Yen
  • Review with an image -- $25/€18/£15/$25 CAD/¥150 Yuan/¥2500 Yen

Product General Protocols

Find general support by application which include: protocols, troubleshooting, illustrated assays, videos and webinars.

Video Protocols

WB Video Protocol
ICC/IF Video Protocol

FAQs for SPC24 Antibody (NBP2-47264) (0)

There are no specific FAQs related to this product. Read our general customer & technical service FAQs.

Secondary Antibodies

 

Isotype Controls

Additional SPC24 Products

Research Areas for SPC24 Antibody (NBP2-47264)

Find related products by research area.

Blogs on SPC24

There are no specific blogs for SPC24, but you can read our latest blog posts.

Customers Who Bought This Also Bought

Contact Information

Product PDFs

Calculators

Concentration Calculator

The concentration calculator allows you to quickly calculate the volume, mass or concentration of your vial. Simply enter your mass, volume, or concentration values for your reagent and the calculator will determine the rest.

=
÷

Review this Product

Be the first to review our SPC24 Antibody - BSA Free and receive a gift card or discount.

Bioinformatics

Gene Symbol SPC24