Glutathione S Transferase kappa 1 Antibody - BSA Free

Images

 
Immunocytochemistry/ Immunofluorescence: Glutathione S Transferase kappa 1 Antibody [NBP2-16686] - Immunofluorescence analysis of methanol-fixed A549, using antibody at 1:500 dilution.
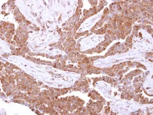
Immunohistochemistry-Paraffin: Glutathione S Transferase kappa 1 Antibody [NBP2-16686] - Immunohistochemical analysis of paraffin-embedded gastric ca, using antibody at 1:500 dilution.
Glutathione S-transferase kappa 1 antibody [N1C2] detects Glutathione S-transferase kappa 1 protein at peroxisome on human lung carcinoma by immunohistochemical analysis. Sample: Paraffin-embedded lung carcinoma. ...read more
Genetic Strategies: Wild-type (WT) and Glutathione S-transferase kappa 1 knockout (KO) 293T cell extracts (30 ug) were separated by 12% SDS-PAGE, and the membrane was blotted with Glutathione S-transferase kappa ...read more

Product Details

Summary
Reactivity HuSpecies Glossary
Applications WB, ICC/IF, IHC, KO
Clonality
Polyclonal
Host
Rabbit
Conjugate
Unconjugated
Format
BSA Free
Validated by:
     

Genetic Strategies

   

Order Details

Glutathione S Transferase kappa 1 Antibody - BSA Free Summary

Description
Novus Biologicals Knockout (KO) Validated Rabbit Glutathione S Transferase kappa 1 Antibody - BSA Free (NBP2-16686) is a polyclonal antibody validated for use in IHC, WB and ICC/IF. Anti-Glutathione S Transferase kappa 1 Antibody: Cited in 1 publication. All Novus Biologicals antibodies are covered by our 100% guarantee.
Immunogen
Recombinant protein encompassing a sequence within the center region of human Glutathione S Transferase kappa 1. The exact sequence is proprietary.
Localization
Peroxisome
Isotype
IgG
Clonality
Polyclonal
Host
Rabbit
Gene
GSTK1
Purity
Antigen Affinity-purified
Innovator's Reward
Test in a species/application not listed above to receive a full credit towards a future purchase.

Applications/Dilutions

Dilutions
  • Immunocytochemistry/ Immunofluorescence 1:100-1:1000
  • Immunohistochemistry 10 - 1:500
  • Immunohistochemistry-Paraffin 1:100-1:1000
  • Knockout Validated
  • Western Blot 1:500-1:3000
Theoretical MW
26 kDa.
Disclaimer note: The observed molecular weight of the protein may vary from the listed predicted molecular weight due to post translational modifications, post translation cleavages, relative charges, and other experimental factors.
Publications
Read Publication using NBP2-16686.

Packaging, Storage & Formulations

Storage
Aliquot and store at -20C or -80C. Avoid freeze-thaw cycles.
Buffer
0.1M Tris, 0.1M Glycine, 20% Glycerol
Preservative
0.01% Thimerosal
Purity
Antigen Affinity-purified

Alternate Names for Glutathione S Transferase kappa 1 Antibody - BSA Free

  • EC 2.5.1.18
  • glutathione S-transferase k1
  • glutathione S-transferase kappa 1
  • glutathione S-transferase subunit 13 homolog
  • Glutathione S-transferase subunit 13
  • GST 13-13
  • GST class-kappa
  • GST
  • GST13
  • GST13-13
  • GSTK1-1
  • hGSTK1

Background

This gene encodes a member of the kappa class of the glutathione transferase superfamily of enzymes that function in cellular detoxification. The encoded protein is localized to the peroxisome and catalyzes the conjugation of glutathione to a wide range of hydrophobic substates facilitating the removal of these compounds from cells. Alternative splicing results in multiple transcript variants.

Limitations

This product is for research use only and is not approved for use in humans or in clinical diagnosis. Primary Antibodies are guaranteed for 1 year from date of receipt.

Customers Who Viewed This Item Also Viewed...

AF3398
Species: Hu, Mu, Rt
Applications: ICC, KO, Simple Western, WB
NB600-326
Species: ET
Applications: ELISA, ICC/IF, IHC,  IHC-P, IP, Simple Western, WB
NBP2-16684
Species: Hu, Mu, Rt
Applications: EM, IHC,  IHC-P, WB
NBP2-24915
Species: Bv, Hu, Mu, Rt
Applications: IHC,  IHC-P, WB
NBP2-58917
Species: Hu
Applications: IHC,  IHC-P, WB
NBP1-86616
Species: Hu
Applications: IHC,  IHC-P, WB
NBP2-16756
Species: Hu, Mu, Rt
Applications: ICC/IF, IHC, IHC-Fr,  IHC-P, WB
NBP1-32733
Species: Hu, Mu, Rt
Applications: IHC,  IHC-P, IP, WB
NB300-731
Species: Gp, Hu, Mu, Rb, Rt, Sh, Ye
Applications: B/N, ChIP, Flow, GS, ICC/IF, IHC,  IHC-P, IP, WB
H00002946-M03
Species: Hu, Mu
Applications: ELISA, ICC/IF, IHC,  IHC-P, S-ELISA, WB
NB100-1519
Species: Hu, Mu, Rt
Applications: Flow, ICC/IF, IHC-FrFl, PEP-ELISA, WB
NB100-74398
Species: Hu, Mu, Pm, Rt
Applications: ICC/IF, IHC,  IHC-P, WB
NB110-61574
Species: Bv, Gt, Hu, Mu, Sh
Applications: WB
NBP1-32822
Species: Al, Av, Hu, Mu, Pl, Rt, Ze
Applications: ChIP, Flow, ICC/IF, IHC,  IHC-P, IP, KD, Simple Western, WB
NB200-209
Species: Ca, Hu, Mu, Pm, Rt
Applications: Flow-IC, Flow, ICC/IF, IHC, IHC-Fr,  IHC-P, IP, Simple Western, WB
H00002938-M01
Species: Hu
Applications: ELISA, IHC,  IHC-P, S-ELISA, WB
NBP2-20383
Species: Hu, Mu
Applications: ICC/IF, IHC,  IHC-P, WB
NBP2-16686
Species: Hu
Applications: WB, ICC/IF, IHC, KO
⚠ WARNING: This product can expose you to chemicals including mercury, which is known to the State of California to cause reproductive toxicity with developmental effects.  For more information go to www.P65Warnings.ca.gov.

Publications for Glutathione S Transferase kappa 1 Antibody (NBP2-16686)(1)

We have publications tested in 1 confirmed species: Human.


Filter By Application
All Applications
Filter By Species
Human
(1)
All Species

Reviews for Glutathione S Transferase kappa 1 Antibody (NBP2-16686) (0)

There are no reviews for Glutathione S Transferase kappa 1 Antibody (NBP2-16686). By submitting a review you will receive an Amazon e-Gift Card or Novus Product Discount.
  • Review with no image -- $10/€7/£6/$10 CAD/¥70 Yuan/¥1110 Yen
  • Review with an image -- $25/€18/£15/$25 CAD/¥150 Yuan/¥2500 Yen

Product General Protocols

Find general support by application which include: protocols, troubleshooting, illustrated assays, videos and webinars.

Video Protocols

WB Video Protocol
ICC/IF Video Protocol

FAQs for Glutathione S Transferase kappa 1 Antibody (NBP2-16686) (0)

There are no specific FAQs related to this product. Read our general customer & technical service FAQs.

Customers Who Bought This Also Bought

Contact Information

Product PDFs

Calculators

Concentration Calculator

The concentration calculator allows you to quickly calculate the volume, mass or concentration of your vial. Simply enter your mass, volume, or concentration values for your reagent and the calculator will determine the rest.

=
÷

Review this Product

Be the first to review our Glutathione S Transferase kappa 1 Antibody - BSA Free and receive a gift card or discount.

Bioinformatics

Gene Symbol GSTK1
Uniprot