SF-1/NR5A1/Steroidogenic Factor 1 Antibody (SF1/8000R) - Azide and BSA Free

Images

 
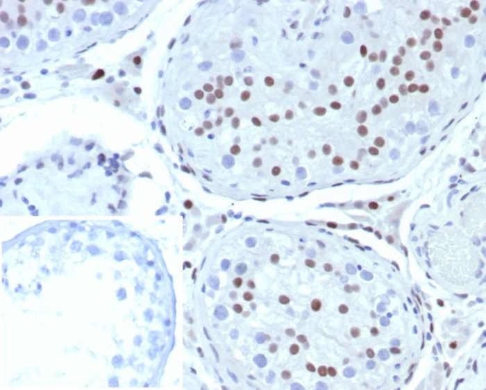
Formalin-fixed, paraffin-embedded human testis stained with SF-1/NR5A1/Steroidogenic Factor 1 antibody (SF1/8000R). Inset: PBS instead of primary antibody; secondary only negative control.
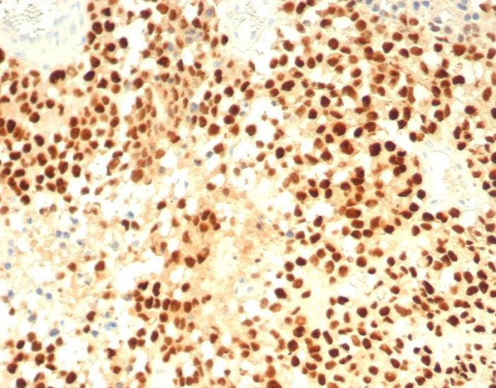
Formalin-fixed, paraffin-embedded human adrenal cortex stained with SF-1/NR5A1/Steroidogenic Factor 1 antibody (SF1/8000R). HIER: Tris/EDTA, pH9.0, 45min. Secondary: HRP-polymer, 30min. DAB, 5min.

Product Details

Summary
Reactivity Hu, RtSpecies Glossary
Applications IHC
Clone
SF1/8000R
Clonality
Monoclonal
Host
Rabbit
Conjugate
Unconjugated
Format
Azide and BSA Free
Concentration
1 mg/ml

Order Details

SF-1/NR5A1/Steroidogenic Factor 1 Antibody (SF1/8000R) - Azide and BSA Free Summary

Description
Positive Controls: Human testis or adrenal cortical carcinoma.

Antibody with azide - store at 2 to 8C. Antibody without azide - store at -20 to -80C. Non-hazardous. No MSDS required.
Additional Information
Recombinant Monoclonal Antibody
Immunogen
Recombinant fragment (around aa200-400) of human SF-1/NR5A1/Steroidogenic Factor 1 protein (exact sequence is proprietary)
Localization
Nucleus.
Isotype
IgG Kappa
Clonality
Monoclonal
Host
Rabbit
Gene
NR5A1
Purity
Protein A or G purified
Innovator's Reward
Test in a species/application not listed above to receive a full credit towards a future purchase.

Applications/Dilutions

Dilutions
  • Immunohistochemistry-Paraffin 1-2 ug/ml
Application Notes
Immunohistochemistry (Formalin-fixed): 1-2ug/ml for 30 minutes. at RT. Staining of formalin-fixed tissues requires heating tissue sections in 10mM Tris with 1mM EDTA, pH 9.0, for 45 min at 95C followed by cooling at RT for 20 minutes.

Optimal dilution for a specific application should be determined.

Packaging, Storage & Formulations

Storage
Store at -20 to -70C. Avoid freeze-thaw cycles.
Buffer
10mM PBS
Preservative
No Preservative
Concentration
1 mg/ml
Purity
Protein A or G purified

Alternate Names for SF-1/NR5A1/Steroidogenic Factor 1 Antibody (SF1/8000R) - Azide and BSA Free

  • AD4BP
  • AD4BPSTF-1
  • Adrenal 4-binding protein
  • ELP
  • FTZ1adrenal 4 binding protein
  • FTZF1
  • FTZF1nuclear receptor AdBP4
  • Fushi tarazu factor homolog 1
  • NR5A1
  • Nuclear receptor subfamily 5 group A member 1
  • nuclear receptor subfamily 5, group A, member 1
  • SF1
  • SF-1
  • SF-1POF7
  • SF1steroidogenic factor 1
  • Steroid hormone receptor Ad4BP
  • steroidogenic factor-1

Background

Steroidogenic factor 1 (SF-1), a NR5 Fushi Tarazu-Like Receptor, has been shown to affect sexual differentiation, steroid metabolism, and neural development. SF-1 binds as a monomer and regulates all steroidogenic p450 genes, Mullerian inhibiting substance, the gonadotrophins, the ACTH receptor, oxytocin, nuclear receptor DAX-1, and several other genes. Four alternatively spliced isoforms of SF-1 have been isolated in mice, and they differ at the N and C termini but are identical in the DNA-binding domain. SF-1 expression has been documented in human brain, adrenal, spleen, liver, heart, ovary, testis, and placenta. ESTs have been isolated from human tissue libraries, including cancerous adrenal and normal lung and testis.

Limitations

This product is for research use only and is not approved for use in humans or in clinical diagnosis. Primary Antibodies are guaranteed for 1 year from date of receipt.

Customers Who Viewed This Item Also Viewed...

PP-H7431-00
Species: Hu
Applications: WB
NBP2-27196
Species: Bv, Ca, Ch, ChHa, Eq, Gp, Hu, Mu, Ma-Op, Po, Pm, Rb, Rt, RM, Ze
Applications: IHC,  IHC-P, KD, WB
NB100-1596
Species: Hu, Mu, Pm, Rb, Rt
Applications: ICC/IF, IHC,  IHC-P, Simple Western, WB
NBP1-33485
Species: Hu, Mu
Applications: ICC/IF, IHC,  IHC-P, WB
NBP1-85368
Species: Hu, RM
Applications: ICC/IF, IHC,  IHC-P, WB
NB100-1533
Species: Hu, Mu, Po, Rt, Sh
Applications: Flow, ICC/IF, IHC,  IHC-P, PEP-ELISA, WB
NBP2-01151
Species: Hu
Applications: Flow, IHC,  IHC-P, WB
NBP2-37463
Species: Hu
Applications: CyTOF-ready, ELISA, Flow, IHC,  IHC-P, WB
NBP2-38770
Species: Hu, Mu
Applications:  IHC-P, WB
AF3075
Species: Hu
Applications: ICC, Simple Western, WB
AF2818
Species: Hu
Applications: ICC, WB
NBP2-13891
Species: Hu
Applications: IHC,  IHC-P
NB110-60011
Species: Hu
Applications: ICC/IF, IHC, IHC-Fr,  IHC-P, IP, Simple Western, WB
NBP3-35187
Species: Hu, Mu, Rt
Applications: ELISA, ICC/IF, WB
NBP1-30475
Species: Hu, Mu
Applications: IHC,  IHC-P, IP, WB
NBP2-49223
Species: Hu
Applications: IHC,  IHC-P
NB100-56603
Species: Ca, Hu, Mu, Pm, Rt
Applications: IHC,  IHC-P, WB
PP-H8132-00
Species: Hu
Applications: IHC, IP, WB
MAB8930
Species: Hu
Applications: ICC, Simple Western, WB
NBP3-20854
Species: Hu, Rt
Applications: IHC

Publications for SF-1/NR5A1/Steroidogenic Factor 1 Antibody (NBP3-20854) (0)

There are no publications for SF-1/NR5A1/Steroidogenic Factor 1 Antibody (NBP3-20854).
By submitting your publication information earn gift cards and discounts for future purchases.

Reviews for SF-1/NR5A1/Steroidogenic Factor 1 Antibody (NBP3-20854) (0)

There are no reviews for SF-1/NR5A1/Steroidogenic Factor 1 Antibody (NBP3-20854). By submitting a review you will receive an Amazon e-Gift Card or Novus Product Discount.
  • Review with no image -- $10/€7/£6/$10 CAD/¥70 Yuan/¥1110 Yen
  • Review with an image -- $25/€18/£15/$25 CAD/¥150 Yuan/¥2500 Yen

Product General Protocols

Find general support by application which include: protocols, troubleshooting, illustrated assays, videos and webinars.

FAQs for SF-1/NR5A1/Steroidogenic Factor 1 Antibody (NBP3-20854) (0)

There are no specific FAQs related to this product. Read our general customer & technical service FAQs.

Secondary Antibodies

 

Isotype Controls

Additional SF-1/NR5A1/Steroidogenic Factor 1 Products

Research Areas for SF-1/NR5A1/Steroidogenic Factor 1 Antibody (NBP3-20854)

Find related products by research area.

Blogs on SF-1/NR5A1/Steroidogenic Factor 1

There are no specific blogs for SF-1/NR5A1/Steroidogenic Factor 1, but you can read our latest blog posts.

Customers Who Bought This Also Bought

Contact Information

Product PDFs

Calculators

Concentration Calculator

The concentration calculator allows you to quickly calculate the volume, mass or concentration of your vial. Simply enter your mass, volume, or concentration values for your reagent and the calculator will determine the rest.

=
÷

Review this Product

Be the first to review our SF-1/NR5A1/Steroidogenic Factor 1 Antibody (SF1/8000R) - Azide and BSA Free and receive a gift card or discount.

Bioinformatics

Gene Symbol NR5A1