Serpin A1/alpha 1-Antitrypsin Antibody (JF10-03)

Images

 
Western Blot: Serpin A1/alpha 1-Antitrypsin Antibody (JF10-03) [NBP2-67135] - Analysis of alpha 1 Antitrypsin on human spleen lysates using anti-alpha 1 Antitrypsin antibody
Immunocytochemistry/ Immunofluorescence: Serpin A1/alpha 1-Antitrypsin Antibody (JF10-03) [NBP2-67135] - Staining alpha 1 Antitrypsin in HepG2 cells (red). The nuclear counter stain is DAPI (blue). Cells were fixed in ...read more
Immunohistochemistry-Paraffin: Serpin A1/alpha 1-Antitrypsin Antibody (JF10-03) [NBP2-67135] - Analysis of paraffin-embedded human breast carcinoma tissue using anti-alpha 1 Antitrypsin antibody. Counter stained with ...read more
Immunocytochemistry/ Immunofluorescence: Serpin A1/alpha 1-Antitrypsin Antibody (JF10-03) [NBP2-67135] - Staining alpha 1 Antitrypsin in Hela cells (red). The nuclear counter stain is DAPI (blue). Cells were fixed in ...read more
Immunocytochemistry/ Immunofluorescence: Serpin A1/alpha 1-Antitrypsin Antibody (JF10-03) [NBP2-67135] - Staining alpha 1 Antitrypsin in MCF-7 cells (red). The nuclear counter stain is DAPI (blue). Cells were fixed in ...read more
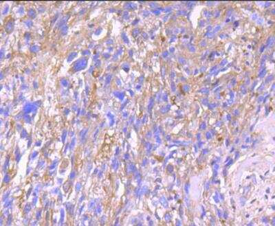
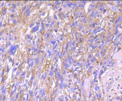
Immunohistochemistry-Paraffin: Serpin A1/alpha 1-Antitrypsin Antibody (JF10-03) [NBP2-67135] - Analysis of paraffin-embedded human liver tissue using anti-alpha 1 Antitrypsin antibody. Counter stained with hematoxylin.
Immunohistochemistry-Paraffin: Serpin A1/alpha 1-Antitrypsin Antibody (JF10-03) [NBP2-67135] - Analysis of paraffin-embedded human spleen tissue using anti-alpha 1 Antitrypsin antibody. Counter stained with hematoxylin.

Order Details


    • Catalog Number
      NBP2-67135
    • Availability
      Product Discontinued

    Can't find what you are looking for? Use our Antibody Concierge Service & we will help you locate your antibody!

    Or feel free to contact us for alternative products.

Serpin A1/alpha 1-Antitrypsin Antibody (JF10-03) Summary

Additional Information
Recombinant Monoclonal Antibody.
Immunogen
Recombinant protein within Human Serpin A1/alpha 1-Antitrypsin aa 1-418 / 418. (SwissProt: P01009 Human)
Localization
Secreted, Endoplasmic reticulum.
Isotype
IgG
Clonality
Monoclonal
Host
Rabbit
Gene
SERPINA1
Purity
Protein A purified
Innovator's Reward
Test in a species/application not listed above to receive a full credit towards a future purchase.

Applications/Dilutions

Dilutions
  • Immunocytochemistry/ Immunofluorescence 1:50-1:200
  • Immunohistochemistry
  • Immunohistochemistry-Paraffin 1:50-1:200
  • Immunoprecipitation
  • Western Blot 1:1000-1:5000

Packaging, Storage & Formulations

Storage
Store at 4C short term. Aliquot and store at -20C long term. Avoid freeze-thaw cycles.
Buffer
TBS (pH7.4), 0.05% BSA, 40% Glycerol
Preservative
0.05% Sodium Azide
Concentration
1 mg/ml
Purity
Protein A purified

Alternate Names for Serpin A1/alpha 1-Antitrypsin Antibody (JF10-03)

  • A1A
  • A1AT
  • AATMGC23330
  • alpha 1-Antitrypsin
  • alpha 1-Proteinase Inhibitor
  • Alpha-1 protease inhibitor
  • Alpha-1-antiproteinase
  • alpha-1-antitrypsin
  • antitrypsin), member 1
  • member 1
  • PIMGC9222
  • serine (or cysteine) proteinase inhibitor, clade A (alpha-1 antiproteinase
  • serine (or cysteine) proteinase inhibitor, clade A, member 1
  • Serpin A1
  • serpin peptidase inhibitor, clade A (alpha-1 antiproteinase, antitrypsin)

Background

Alpha 1 Antitrypsin, also known as SERPINA1, is a plasma protein synthesised in the liver. It consists of a single polypeptide chain and has a molecular weight of 52 kDa. A serine protease inhibitor, its primary function is the protection of lung tissue from the action of neutrophil elastase. The average level of alpha 1 Antitrypsin in plasma is 1.3 g/l.

Limitations

This product is for research use only and is not approved for use in humans or in clinical diagnosis. Primary Antibodies are guaranteed for 1 year from date of receipt.

Customers Who Viewed This Item Also Viewed...

MAB1455
Species: Hu
Applications: CyTOF-ready, Dual ISH-IHC, ICC, IHC, ICFlow, Simple Western, WB
MAB7665
Species: Hu
Applications: IHC, WB
DY4517-05
Species: Mu
Applications: ELISA
DY1707
Species: Hu
Applications: ELISA
MAB1368
Species: Hu, Mu
Applications: CyTOF-ready, ICC, ICFlow, KO, Simple Western, WB
NBP2-52559
Species: Hu
Applications: CyTOF-ready, ELISA, Flow, IHC,  IHC-P, WB
2914-HT
Species: Hu
Applications: BA
MAB4470
Species: All-Multi
Applications: Flow, ICC, IHC, WB
AF1938
Species: Hu
Applications: ICC, IP, Simple Western, WB
DHAPG0
Species: Hu
Applications: ELISA
NB300-223
Species: Bv, Ca, Ch, Eq, Hu, Mu, Po, Rt
Applications: ICC/IF, IHC, IHC-Fr,  IHC-P, WB
NBP2-61118
Species: Hu, Mu
Applications: Flow, ICC/IF, IHC,  IHC-P, Simple Western, WB
NBP1-86713
Species: Hu
Applications: IHC,  IHC-P
NB200-540
Species: Ec, Mu
Applications: CyTOF-ready, Flow-IC, Flow, IA, ICC/IF, IHC, IHC-Fr,  IHC-P, IP
NBP3-15868
Species: Hu, Mu, Rt
Applications: ELISA, ICC/IF, IHC,  IHC-P, WB
M6000B
Species: Mu
Applications: ELISA
MAB1417
Species: Bv, Hu, Mu
Applications: ICC, IHC
NBP1-81838
Species: Hu, Mu
Applications: IHC,  IHC-P, WB
AF5739
Species: Hu, Mu, Rt
Applications: WB

Publications for Serpin A1/alpha 1-Antitrypsin Antibody (NBP2-67135) (0)

There are no publications for Serpin A1/alpha 1-Antitrypsin Antibody (NBP2-67135).
By submitting your publication information earn gift cards and discounts for future purchases.

Reviews for Serpin A1/alpha 1-Antitrypsin Antibody (NBP2-67135) (0)

There are no reviews for Serpin A1/alpha 1-Antitrypsin Antibody (NBP2-67135). By submitting a review you will receive an Amazon e-Gift Card or Novus Product Discount.
  • Review with no image -- $10/€7/£6/$10 CAD/¥70 Yuan/¥1110 Yen
  • Review with an image -- $25/€18/£15/$25 CAD/¥150 Yuan/¥2500 Yen

Product General Protocols

Find general support by application which include: protocols, troubleshooting, illustrated assays, videos and webinars.

Video Protocols

WB Video Protocol
ICC/IF Video Protocol

FAQs for Serpin A1/alpha 1-Antitrypsin Antibody (NBP2-67135) (0)

There are no specific FAQs related to this product. Read our general customer & technical service FAQs.

Contact Information

Product PDFs

Calculators

Concentration Calculator

The concentration calculator allows you to quickly calculate the volume, mass or concentration of your vial. Simply enter your mass, volume, or concentration values for your reagent and the calculator will determine the rest.

=
÷

Review this Product

Be the first to review our Serpin A1/alpha 1-Antitrypsin Antibody (JF10-03) and receive a gift card or discount.

Bioinformatics

Gene Symbol SERPINA1