S100A7/Psoriasin Antibody

Images

 
Western Blot: S100A7/Psoriasin Antibody [NB100-40802] - HEK293 lysate (10ug protein in RIPA buffer) overexpressing Human S100A7 with C-terminal MYC tag probed with (0.5ug/ml) in Lane A and probed with anti-MYC Tag ...read more
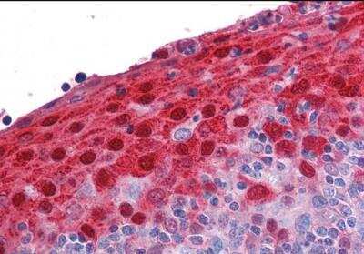
Immunohistochemistry-Paraffin: S100A7/Psoriasin Antibody [NB100-40802] - Staining of Human Tonsil. Steamed antigen retrieval with citrate buffer pH 6, AP-staining.
Western Blot: S100A7/Psoriasin Antibody [NB100-40802] - Analysis of human skin lysate (35ug protein in RIPA buffer) using psoriasin antibody at 0.1ug/ml. Primary incubation was 1 hour. Detected by chemiluminescence.

Product Details

Summary
Product Discontinued
View other related S100A7/Psoriasin Primary Antibodies

Order Details


    • Catalog Number
      NB100-40802
    • Availability
      Product Discontinued

    Can't find what you are looking for? Use our Antibody Concierge Service & we will help you locate your antibody!

    Or feel free to contact us for alternative products.

S100A7/Psoriasin Antibody Summary

Immunogen
Peptide with sequence C-HKYTRRDDKIDKP corresponding to internal region according to NP_002954.1.
Isotype
IgG
Clonality
Polyclonal
Host
Goat
Gene
S100A7
Purity
Immunogen affinity purified
Innovator's Reward
Test in a species/application not listed above to receive a full credit towards a future purchase.

Applications/Dilutions

Dilutions
  • Immunohistochemistry
  • Immunohistochemistry-Paraffin 3.75 ug/ml
  • Peptide ELISA Detection limit 1:32000
  • Western Blot 0.3 - 1 ug/ml
Application Notes
WB: Approx. 15 kDa band observed in human skin lysates (calculated MW of 11.5 kDa band according to NP_002954.1). In transfected HEK293 transiently expressing full-length human S100A7 (myc and DYKDDDDK tagged), a band of approx. 16 kDa band was observed. No bands were observed in mock-transfected HEK293 and the same band was observed using anti-myc tag antibody. approx. 15 kDa band was also observed in human skin lysates (calculated MW of 11.5 kDa band according to NP_002954.1).
IHC: Paraffin embedded Human Tonsil.
Control
S100A7/Psoriasin Overexpression Lysate
Publications
Read Publication using NB100-40802.

Packaging, Storage & Formulations

Storage
Store at -20C. Avoid freeze-thaw cycles.
Buffer
Tris saline (20 mM Tris pH 7.3, 150 mM NaCl), 0.5% BSA
Preservative
0.02% Sodium Azide
Concentration
0.5 mg/ml
Purity
Immunogen affinity purified

Alternate Names for S100A7/Psoriasin Antibody

  • HID 5
  • HID5
  • HID-5
  • protein S100-A7
  • PSOR1
  • psoriasin 1
  • Psoriasin
  • S100 calcium binding protein A7 (psoriasin 1)
  • S100 calcium binding protein A7
  • S100 calcium-binding protein A7 (psoriasin 1)
  • S100 calcium-binding protein A7
  • S100A7
  • S100A7c

Background

Psoriasin / S100A7 is encoded by this gene is a member of the S100 family of proteins containing 2 EF-hand calcium-binding motifs. S100 proteins are localized in the cytoplasm and/or nucleus of a wide range of cells, and involved in the regulation of a number of cellular processes such as cell cycle progression and differentiation. S100 genes include at least 13 members which are located as a cluster on chromosome 1q21. This protein differs from the other S100 proteins of known structure in its lack of calcium binding ability in one EF-hand at the N-terminus. This protein is markedly over-expressed in the skin lesions of psoriatic patients, but is excluded as a candidate gene for familial psoriasis susceptibility. The exact function of this protein is not known.

Limitations

This product is for research use only and is not approved for use in humans or in clinical diagnosis. Primary Antibodies are guaranteed for 1 year from date of receipt.

Customers Who Viewed This Item Also Viewed...

NBP1-87102
Species: Hu, Mu, Rt
Applications: ICC/IF, IHC,  IHC-P, WB
NBP1-87103
Species: Hu, Mu
Applications: IHC,  IHC-P, WB
AF2065
Species: Mu
Applications: ICC, IHC, Simple Western, WB
AF3059
Species: Mu
Applications: ICC, Simple Western, WB
AF2758
Species: Hu
Applications: IHC, WB
NBP2-05018
Species: Hu
Applications: WB
NBP1-86134
Species: Hu
Applications: ICC/IF, IHC,  IHC-P, WB
782-IL
Species: Hu
Applications: BA
NBP1-90000
Species: Hu
Applications: ICC/IF, IHC,  IHC-P
AF2377
Species: Mu
Applications: IHC, Simple Western, WB
NBP2-79899
Species: Hu
Applications: CyTOF-ready, Flow, ICC/IF, IHC,  IHC-P, PA, WB
NB120-495
Species: Dr, Hu, Mu, Rt
Applications: ICC/IF, IHC,  IHC-P, IP, WB
MAB2274
Species: Mu
Applications: CyTOF-ready, ICFlow, WB
AF4874
Species: Hu
Applications: IHC, WB
M6000B
Species: Mu
Applications: ELISA
H00006275-M01
Species: Hu, Mu
Applications: ELISA, ICC/IF, IHC, WB
AF1476
Species: Hu, Mu, Rt
Applications: IHC, KO, Simple Western, WB
DY421
Species: Mu
Applications: ELISA
NB100-40802
Species: Hu
Applications: WB, ELISA, IHC

Publications for S100A7/Psoriasin Antibody (NB100-40802)(1)

Reviews for S100A7/Psoriasin Antibody (NB100-40802) (0)

There are no reviews for S100A7/Psoriasin Antibody (NB100-40802). By submitting a review you will receive an Amazon e-Gift Card or Novus Product Discount.
  • Review with no image -- $10/€7/£6/$10 CAD/¥70 Yuan/¥1110 Yen
  • Review with an image -- $25/€18/£15/$25 CAD/¥150 Yuan/¥2500 Yen

Product General Protocols

Find general support by application which include: protocols, troubleshooting, illustrated assays, videos and webinars.

Video Protocols

WB Video Protocol

FAQs for S100A7/Psoriasin Antibody (NB100-40802) (0)

There are no specific FAQs related to this product. Read our general customer & technical service FAQs.

Control Lysate(s)

Secondary Antibodies

 

Isotype Controls

Additional S100A7/Psoriasin Products

Research Areas for S100A7/Psoriasin Antibody (NB100-40802)

Find related products by research area.

Blogs on S100A7/Psoriasin

There are no specific blogs for S100A7/Psoriasin, but you can read our latest blog posts.

Contact Information

Product PDFs

Calculators

Concentration Calculator

The concentration calculator allows you to quickly calculate the volume, mass or concentration of your vial. Simply enter your mass, volume, or concentration values for your reagent and the calculator will determine the rest.

=
÷

Review this Product

Be the first to review our S100A7/Psoriasin Antibody and receive a gift card or discount.

Bioinformatics

Gene Symbol S100A7
Entrez
Uniprot