RhoF Antibody

Images

 
Western Blot: RhoF Antibody [NBP2-20157] - Mouse tissue extract (50 ug) was separated by 12% SDS-PAGE, and the membrane was blotted with RHOF antibody [N1C3] diluted at 1:500. The HRP-conjugated anti-rabbit IgG antibody ...read more
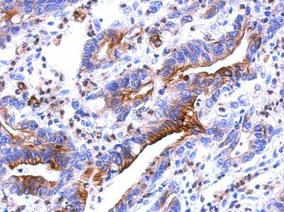
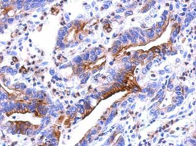
Immunohistochemistry-Paraffin: RhoF Antibody [NBP2-20157] - Immunohistochemical analysis of paraffin-embedded colon ca, using antibody at 1:500 dilution.
Western Blot: RhoF Antibody [NBP2-20157] - Sample (30 ug of whole cell lysate) A: U87-MG 12% SDS PAGE gel, diluted at 1:500.

Product Details

Summary
Product Discontinued
View other related RhoF Primary Antibodies

Order Details


    • Catalog Number
      NBP2-20157
    • Availability
      Product Discontinued

    Can't find what you are looking for? Use our Antibody Concierge Service & we will help you locate your antibody!

    Or feel free to contact us for alternative products.

RhoF Antibody Summary

Immunogen
Recombinant protein encompassing a sequence within the center region of human RHOF. The exact sequence is proprietary.
Localization
Cell membrane; Lipid-anchor; Cytoplasmic side (Potential); Cytoplasm; cytoskeleton
Predicted Species
Porcine (97%), Bovine (100%), Sheep (100%). Backed by our 100% Guarantee.
Isotype
IgG
Clonality
Polyclonal
Host
Rabbit
Gene
RHOF
Purity
Immunogen affinity purified
Innovator's Reward
Test in a species/application not listed above to receive a full credit towards a future purchase.

Applications/Dilutions

Dilutions
  • Immunohistochemistry 1:100-1:1000
  • Immunohistochemistry-Paraffin 1:100-1:1000
  • Western Blot 1:500-1:3000
Theoretical MW
24 kDa.
Disclaimer note: The observed molecular weight of the protein may vary from the listed predicted molecular weight due to post translational modifications, post translation cleavages, relative charges, and other experimental factors.

Reactivity Notes

Xenopus laevis (80%), Chicken (82%).

Packaging, Storage & Formulations

Storage
Aliquot and store at -20C or -80C. Avoid freeze-thaw cycles.
Buffer
0.1M Tris (pH 7), 0.1M Glycine, 20% Glycerol
Preservative
0.01% Thimerosal
Purity
Immunogen affinity purified

Alternate Names for RhoF Antibody

  • FLJ20247
  • ras homolog gene family, member F (in filopodia)
  • Rho family GTPase Rif
  • Rho in filopodia
  • rho-related GTP-binding protein RhoF
  • RIFARHF

Background

Plasma membrane-associated small GTPase which cycles between an active GTP-bound and an inactive GDP-bound state. Causes the formation of thin, actin-rich surface projections called filopodia. Functions cooperatively with CDC42 and Rac to generate additional structures, increasing the diversity of actin-based morphology.

Limitations

This product is for research use only and is not approved for use in humans or in clinical diagnosis. Primary Antibodies are guaranteed for 1 year from date of receipt.

Customers Who Viewed This Item Also Viewed...

NBP2-37502
Species: Hu
Applications: CyTOF-ready, ELISA, Flow, ICC/IF, IHC,  IHC-P, WB
PP-H4417-00
Species: Hu
Applications: DirELISA, IP, WB
NB100-1813
Species: Hu
Applications: ICC/IF, IP, WB
NB100-79802
Species: Hu, Mu, Rt
Applications: ICC/IF, IHC,  IHC-P, IP, Simple Western, WB
NBP2-24689
Species: Hu, Mu
Applications: WB
202-IL
Species: Hu
Applications: BA
NBP1-83299
Species: Hu, Mu
Applications: IHC,  IHC-P, WB
H00003347-M01
Species: Hu
Applications: ELISA, ICC/IF, S-ELISA, WB
NBP1-69023
Species: Mu
Applications: WB
MAB1455
Species: Hu
Applications: CyTOF-ready, Dual ISH-IHC, ICC, IHC, ICFlow, Simple Western, WB
AF3398
Species: Hu, Mu, Rt
Applications: ICC, KO, Simple Western, WB
NBP2-01800
Species: Ca, Hu, Pm, Mu, Rt
Applications: Flow, ICC/IF, IHC,  IHC-P, WB
NBP2-02563
Species: Hu
Applications: Flow, ICC/IF, IHC,  IHC-P, WB
NBP2-67895
Species: Hu, Mu, Rt
Applications: Flow, IHC,  IHC-P, IP, WB
NBP2-26096
Species: Bv, Hu
Applications: IHC,  IHC-P, PEP-ELISA, WB
MAB1368
Species: Hu, Mu
Applications: CyTOF-ready, ICC, ICFlow, KO, Simple Western, WB
NBP2-67667
Species: Hu, Mu, Rt
Applications: ICC/IF, IHC, IHC-Fr,  IHC-P, WB
NBP1-30027
Species: Hu, Mu, Rt
Applications: ICC/IF, IHC,  IHC-P, WB
NBP2-20157
Species: Hu, Mu, Po, Bv, Sh
Applications: WB, IHC
⚠ WARNING: This product can expose you to chemicals including mercury, which is known to the State of California to cause reproductive toxicity with developmental effects.  For more information go to www.P65Warnings.ca.gov.

Publications for RhoF Antibody (NBP2-20157) (0)

There are no publications for RhoF Antibody (NBP2-20157).
By submitting your publication information earn gift cards and discounts for future purchases.

Reviews for RhoF Antibody (NBP2-20157) (0)

There are no reviews for RhoF Antibody (NBP2-20157). By submitting a review you will receive an Amazon e-Gift Card or Novus Product Discount.
  • Review with no image -- $10/€7/£6/$10 CAD/¥70 Yuan/¥1110 Yen
  • Review with an image -- $25/€18/£15/$25 CAD/¥150 Yuan/¥2500 Yen

Product General Protocols

Find general support by application which include: protocols, troubleshooting, illustrated assays, videos and webinars.

Video Protocols

WB Video Protocol

FAQs for RhoF Antibody (NBP2-20157) (0)

There are no specific FAQs related to this product. Read our general customer & technical service FAQs.

Secondary Antibodies

 

Isotype Controls

Additional RhoF Products

Research Areas for RhoF Antibody (NBP2-20157)

Find related products by research area.

Blogs on RhoF

There are no specific blogs for RhoF, but you can read our latest blog posts.

Contact Information

Product PDFs

Calculators

Concentration Calculator

The concentration calculator allows you to quickly calculate the volume, mass or concentration of your vial. Simply enter your mass, volume, or concentration values for your reagent and the calculator will determine the rest.

=
÷

Review this Product

Be the first to review our RhoF Antibody and receive a gift card or discount.

Bioinformatics

Gene Symbol RHOF
Uniprot