RBFOX3/NeuN Antibody (NEUN/7167) - Azide and BSA Free

Images

 
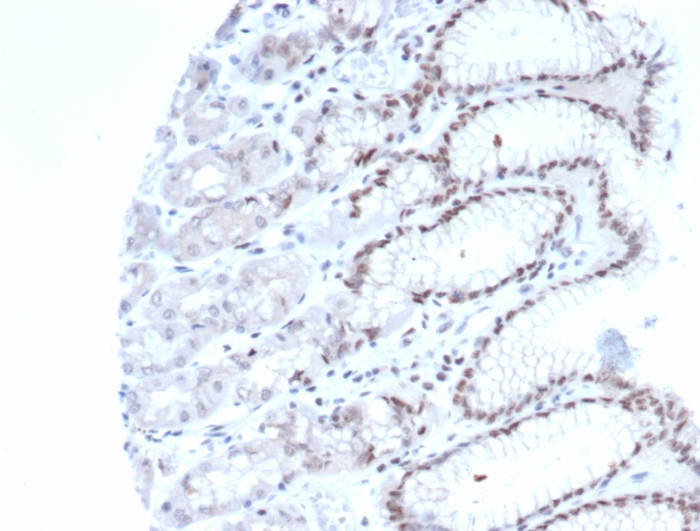
Formalin-fixed, paraffin-embedded human stomach stained with RBFOX3/NeuN antibody (NEUN/7167). HIER: Tris/EDTA, pH9.0, 45min. Secondary: HRP-polymer, 30min. DAB, 5min.
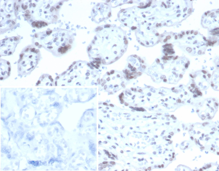
Formalin-fixed, paraffin-embedded human placenta stained with RBFOX3/NeuN antibody (NEUN/7167). Inset: PBS instead of primary antibody; secondary only negative control.
Formalin-fixed, paraffin-embedded human brain stained with RBFOX3/NeuN antibody (NEUN/7167). HIER: Tris/EDTA, pH9.0, 45min. Secondary: HRP-polymer, 30min. DAB, 5min.

Product Details

Summary
Reactivity HuSpecies Glossary
Applications IHC
Clone
NEUN/7167
Clonality
Monoclonal
Host
Mouse
Conjugate
Unconjugated
Format
Azide and BSA Free
Concentration
1 mg/ml

Order Details

RBFOX3/NeuN Antibody (NEUN/7167) - Azide and BSA Free Summary

Description
Positive Controls: Human brain. HeLa cells.

Antibody with azide - store at 2 to 8C. Antibody without azide - store at -20 to -80C. Non-hazardous. No MSDS required.
Immunogen
Recombinant fragment (around aa1-200) of human RBFOX3/NeuN protein (exact sequence is proprietary)
Localization
Nucleus. Cytoplasm.
Isotype
IgG2b Kappa
Clonality
Monoclonal
Host
Mouse
Gene
RBFOX3
Purity
Protein A or G purified
Innovator's Reward
Test in a species/application not listed above to receive a full credit towards a future purchase.

Applications/Dilutions

Dilutions
  • Immunohistochemistry-Paraffin 1-2 ug/ml
Application Notes
Immunohistochemistry (Formalin-fixed): 1-2ug/ml for 30 minutes. at RT. Staining of formalin-fixed tissues requires heating tissue sections in 10mM Tris with 1mM EDTA, pH 9.0, for 45 min at 95C followed by cooling at RT for 20 minutes.

Optimal dilution for a specific application should be determined.

Packaging, Storage & Formulations

Storage
Store at -20 to -70C. Avoid freeze-thaw cycles.
Buffer
10mM PBS
Preservative
No Preservative
Concentration
1 mg/ml
Purity
Protein A or G purified

Alternate Names for RBFOX3/NeuN Antibody (NEUN/7167) - Azide and BSA Free

  • FLJ56884
  • FLJ58356
  • Fox-1 homolog C
  • FOX3
  • FOX-3
  • hexaribonucleotide binding protein 3
  • HRNBP3
  • neuN antigen
  • NEUN
  • neuronal nuclei antigen
  • neuronal nuclei
  • RBFOX3
  • RNA binding protein fox-1 homolog 3
  • RNA binding protein, fox-1 homolog (C. elegans) 3
  • RNA binding protein, fox-1 homolog 3

Background

Rbfox3 (also known as Fox-3, Fox1 homolog C, Hrnbp3, and D11Bwg0517e) is one of three mammalian members of the RNA-binding protein Rbfox gene family, all of which are involved in regulating alternative RNA splicing. Originally identified as an epitope, NeuN is located within the N-terminal region (6-15 amino acids) of Rbfox3. Rbfox family members are highly conserved, having a single RNA recognition motif (RRM)-type RNA binding domain (RBD) near the center of the protein sequence. The RBD amino acid (aa) sequence is identical between members, Rbfox1 and Rbfox2, with 4 differences within the 77 aa domain of Rbfox3. The fox3 gene is comprised of 15 exons in humans, 11 exons in rat, with 3 variants in mouse containing 14 exons and another 3 variants containing 15 exons. The Rbfox3 protein is highly conserved across human, mouse, and rat with 98.9% sequence identity between mouse (isoform I) and rat and 83.9% sequence identity between mouse (isoform I) and human. The expression of Rbfox3/NeuN is restricted to the nervous system and has widely been used in stroke research. It is recognized as a marker of mature neuronal cell types in the spinal cord, cerebral cortex, hippocampus, dorsal thalamus, caudate/putamen, and cerebellum. NeuN has been shown to bind DNA and is predominantly nuclear. Differences in immunoreactivity have been reported between Rbfox3/NeuN subtypes in which the 46kDa is mainly found in the nucleus whereas the 48kDa form is primarily distributed in the cytoplasm (1,2).

Rbfox proteins participate in regulation of alternative splicing between family members as well as in autoregulation. While the breadth of brain and muscle specific targets for alternative splicing is well established for Rbfox proteins, those specific to Rbfox3/NeuN along with its alternative splicing mechanism are less understood. Rbfox3 has been shown to regulate neuronal differentiation by alternative splicing of Numb pre-mRNA and has a role in adult neurogenesis. Dysfunctional Rbfox3/NeuN has been associated with various neurological disorders such as neurodevelopmental delay, autism spectrum disorder, Benign rolandic epilepsy (BRE), and cognitive impairments (1,2).

References

1. Duan W, Zhang YP, Hou Z, Huang C, Zhu H, Zhang CQ, Yin Q. (2016) Novel Insights into NeuN: from Neuronal Marker to Splicing Regulator. Mol Neurobiol. 53(3):1637-1647. PMID: 25680637.

2. Su CH, D D, Tarn WY. (2018) Alternative Splicing in Neurogenesis and Brain Development. Front Mol Biosci. 5:12. PMID: 29484299

Limitations

This product is for research use only and is not approved for use in humans or in clinical diagnosis. Primary Antibodies are guaranteed for 1 year from date of receipt.

Customers Who Viewed This Item Also Viewed...

NB300-141
Species: Bv, Ch, Eq, Gp, Hu, Mu, Po, Rb, Rt
Applications: ICC/IF, IHC, IHC-Fr,  IHC-P, Simple Western, WB
NBP1-72042
Species: Hu, Mu, Rt
Applications: ICC/IF, IHC,  IHC-P, PEP-ELISA, WB
MAB1259
Species: Hu
Applications: CyTOF-reported, ICC, ICFlow
NB300-213
Species: Fe, Hu, Mu, Rt
Applications: ICC/IF, IHC, IHC-Fr,  IHC-P, KD, WB
H00002023-M01
Species: Fe, Hu
Applications: ELISA, Flow, Func, ICC/IF, IHC,  IHC-P, IP, WB
DBD00
Species: Hu
Applications: ELISA
NBP1-88191
Species: Hu, Mu
Applications: IHC,  IHC-P, WB
NBP2-50028
Species: Bv, Hu, Mu, Rt
Applications: ICC/IF, IHC-FrFl, IHC,  IHC-P, WB
NB300-109
Species: Ch, Dr, Hu, I, Ma, Mu, Rt
Applications: Dual ISH-IHC, ICC/IF, IHC-FrFl, IHC-WhMt, IHC, IHC-Fr,  IHC-P, KO, Simple Western, WB
NBP3-05513
Species: Hu
Applications: ICC/IF, IHC,  IHC-P, WB
NB300-653
Species: Ch, Fe, Hu, Pm, Mu, Rt
Applications: ELISA, ICC/IF, IHC, IHC-Fr,  IHC-P, IP, WB
NB500-106
Species: Ch, Dr, Fi, Hu, Mar, Mu, Po, Pm, Rb, Rt, Ye, Ze
Applications: ChIP, ChIP, ELISA, Flow, ICC/IF, IHC-FrFl, IHC, IHC-Fr,  IHC-P, IP, Simple Western, WB
NB110-58870
Species: Hu, Mu, Rt
Applications: ICC/IF, IHC, KD, Simple Western, WB
NB300-223
Species: Bv, Ca, Ch, Eq, Hu, Mu, Po, Rt
Applications: ICC/IF, IHC, IHC-Fr,  IHC-P, WB
AF2185
Species: Hu, Mu, Rt
Applications: IP, WB
AF2086
Species: Hu, Mu, Rt
Applications: IHC, Simple Western, WB
NBP1-88220
Species: Hu, Mu, Rt
Applications: ICC/IF, IHC,  IHC-P, KD, WB

Publications for RBFOX3/NeuN Antibody (NBP3-20797) (0)

There are no publications for RBFOX3/NeuN Antibody (NBP3-20797).
By submitting your publication information earn gift cards and discounts for future purchases.

Reviews for RBFOX3/NeuN Antibody (NBP3-20797) (0)

There are no reviews for RBFOX3/NeuN Antibody (NBP3-20797). By submitting a review you will receive an Amazon e-Gift Card or Novus Product Discount.
  • Review with no image -- $10/€7/£6/$10 CAD/¥70 Yuan/¥1110 Yen
  • Review with an image -- $25/€18/£15/$25 CAD/¥150 Yuan/¥2500 Yen

Product General Protocols

Find general support by application which include: protocols, troubleshooting, illustrated assays, videos and webinars.

FAQs for RBFOX3/NeuN Antibody (NBP3-20797) (0)

There are no specific FAQs related to this product. Read our general customer & technical service FAQs.

Secondary Antibodies

 

Isotype Controls

Additional RBFOX3/NeuN Products

Research Areas for RBFOX3/NeuN Antibody (NBP3-20797)

Find related products by research area.

Blogs on RBFOX3/NeuN.

Deriving neural precursor cells from human induced pluripotent stem cells
By Jennifer Sokolowski, MD, PhD.Human induced pluripotent stem cells (iPSCs) can be used to create models of human organ systems and are useful for a) ascertaining the mechanisms underlying pathological conditions...  Read full blog post.

RBFOX3: Binding RNA, like a FOX
NeuN is a RNA-binding protein that modulates alternative splicing and is localized both to the nucleus and cytoplasm. It is a member of the RNA-binding FOX (RBFOX) family of splicing regulators which includes RBFOX1 (Fox-1/A2BP1) and RBFOX2 (Fox-2/RBM...  Read full blog post.

Customers Who Bought This Also Bought

Contact Information

Product PDFs

Calculators

Concentration Calculator

The concentration calculator allows you to quickly calculate the volume, mass or concentration of your vial. Simply enter your mass, volume, or concentration values for your reagent and the calculator will determine the rest.

=
÷

Review this Product

Be the first to review our RBFOX3/NeuN Antibody (NEUN/7167) - Azide and BSA Free and receive a gift card or discount.

Bioinformatics

Gene Symbol RBFOX3