RAPH1 Antibody - BSA Free

Images

 
Orthogonal Strategies: Western Blot-RAPH1 Antibody [NBP1-90859] - Analysis in human cell lines Caco-2 and HEK293 using Anti-RAPH1 antibody. Corresponding RAPH1 RNA-seq data are presented for the same cell lines. ...read more
Staining of human testis shows moderate cytoplasmic membranous positivity in cells in seminiferous ducts.
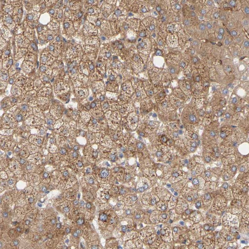
Staining of human liver shows moderate cytoplasmic membranous positivity in hepatocytes.
Staining of human placenta shows moderate cytoplasmic membranous positivity in trophoblastic cells.
Staining of human tonsil tissue shows moderate cytoplasmic membranous positivity in non-germinal center cells.
Orthogonal Strategies: Analysis in human cell lines Caco-2 and HEK293 using Anti-RAPH1 antibody. Corresponding RAPH1 RNA-seq data are presented for the same cell lines. Loading control: Anti-COX4I1.

Product Details

Summary
Reactivity Hu, Mu, RtSpecies Glossary
Applications WB, Flow, IHC
Clonality
Polyclonal
Host
Rabbit
Conjugate
Unconjugated
Format
BSA Free
Validated by:
       

Orthogonal Strategies

 

Order Details

View Available Formulations
Catalog# & Formulation Size Price

RAPH1 Antibody - BSA Free Summary

Description
Novus Biologicals Rabbit RAPH1 Antibody - BSA Free (NBP1-90859) is a polyclonal antibody validated for use in IHC, WB and Flow. Anti-RAPH1 Antibody: Cited in 3 publications. All Novus Biologicals antibodies are covered by our 100% guarantee.
Immunogen
This antibody was developed against Recombinant Protein corresponding to amino acids: NPQPQQWSKMSVKKAPPPTRPKRNDSTRLTQAEISEQPTMATVVPQVPTSPKSSLSVQPGFLADLNRTLQRKSITRHGSLSSRMSRAEPTATMDDMALPPPPPELLSDQQKAGYGGSHISGYATLRRGPPPAPPKRDQNTKLSR
Predicted Species
Mouse (95%), Rat (95%). Backed by our 100% Guarantee.
Isotype
IgG
Clonality
Polyclonal
Host
Rabbit
Gene
RAPH1
Purity
Affinity purified
Innovator's Reward
Test in a species/application not listed above to receive a full credit towards a future purchase.

Applications/Dilutions

Dilutions
  • Flow Cytometry Reactivity reported in (PMID: 25517094)
  • Immunohistochemistry 1:50 - 1:200
  • Immunohistochemistry-Paraffin 1:50 - 1:200
  • Western Blot 0.04-0.4 ug/ml
Application Notes
For IHC-Paraffin, HIER pH 6 retrieval is recommended.
Control Peptide
RAPH1 Protein (NBP1-90859PEP)
Publications
Read Publications using
NBP1-90859 in the following applications:

  • 1 publication
  • WB
    1 publication

Packaging, Storage & Formulations

Storage
Store at 4C short term. Aliquot and store at -20C long term. Avoid freeze-thaw cycles.
Buffer
PBS (pH 7.2) and 40% Glycerol
Preservative
0.02% Sodium Azide
Purity
Affinity purified

Alternate Names for RAPH1 Antibody - BSA Free

  • candidate 18
  • candidate 9
  • lamellipodin
  • PREL2
  • PREL-2
  • proline rich EVH1 ligand 2
  • Protein RMO1
  • Ras association (RalGDS/AF-6) and pleckstrin homology domains 1
  • ras-associated and pleckstrin homology domains-containing protein 1
  • RMO1

Limitations

This product is for research use only and is not approved for use in humans or in clinical diagnosis. Primary Antibodies are guaranteed for 1 year from date of receipt.

Customers Who Viewed This Item Also Viewed...

NBP1-31302
Species: Hu, Mu, Rt
Applications: ICC/IF, IHC,  IHC-P, KO, WB
MAB1455
Species: Hu
Applications: CyTOF-ready, Dual ISH-IHC, ICC, IHC, ICFlow, Simple Western, WB
NBP1-89366
Species: Hu, Mu, Rt
Applications: IHC,  IHC-P, WB
NBP2-00555
Species: Hu, Mu, Rt
Applications: Flow, ICC/IF, IHC,  IHC-P, WB
MAB7665
Species: Hu
Applications: IHC, WB
NBP1-87914
Species: Hu, Mu, Rt
Applications: ICC/IF, IHC,  IHC-P, WB
NBP2-14300
Species: Hu
Applications: ICC/IF, IHC,  IHC-P
NBP2-45889
Species: Hu
Applications: IHC, IHC-Fr,  IHC-P, KD, WB
NBP2-57362
Species: Hu
Applications: ICC/IF, WB
AF1445
Species: Mu, Rt
Applications: ELISA(Cap), ELISA(Det), ELISA(Sta), IHC, Neut, Simple Western, WB
NBP2-03644
Species: Hu, Mu, Rt
Applications: Flow, ICC/IF, IHC,  IHC-P, WB
NBP1-86713
Species: Hu
Applications: IHC,  IHC-P
NBP2-16684
Species: Hu, Mu, Rt
Applications: EM, IHC,  IHC-P, WB
NB300-731
Species: Gp, Hu, Mu, Rb, Rt, Sh, Ye
Applications: B/N, ChIP, Flow, GS, ICC/IF, IHC,  IHC-P, IP, WB
MAB1417
Species: Bv, Hu, Mu
Applications: ICC, IHC
NBP2-37477
Species: Hu
Applications: ELISA, ICC/IF, IHC,  IHC-P, WB
AF231
Species: Hu
Applications: CyTOF-ready, Dual ISH-IHC, ELISA(Cap), ELISA(Det), ELISA(Sta), Flow, ICC, IHC, IP, Simple Western, WB

Publications for RAPH1 Antibody (NBP1-90859)(3)

Reviews for RAPH1 Antibody (NBP1-90859) (0)

There are no reviews for RAPH1 Antibody (NBP1-90859). By submitting a review you will receive an Amazon e-Gift Card or Novus Product Discount.
  • Review with no image -- $10/€7/£6/$10 CAD/¥70 Yuan/¥1110 Yen
  • Review with an image -- $25/€18/£15/$25 CAD/¥150 Yuan/¥2500 Yen

Product General Protocols

Find general support by application which include: protocols, troubleshooting, illustrated assays, videos and webinars.

Video Protocols

WB Video Protocol

FAQs for RAPH1 Antibody (NBP1-90859) (0)

There are no specific FAQs related to this product. Read our general customer & technical service FAQs.

Secondary Antibodies

 

Isotype Controls

Additional RAPH1 Products

Research Areas for RAPH1 Antibody (NBP1-90859)

Find related products by research area.

Blogs on RAPH1

There are no specific blogs for RAPH1, but you can read our latest blog posts.

Customers Who Bought This Also Bought

Contact Information

Product PDFs

Calculators

Concentration Calculator

The concentration calculator allows you to quickly calculate the volume, mass or concentration of your vial. Simply enter your mass, volume, or concentration values for your reagent and the calculator will determine the rest.

=
÷

Review this Product

Be the first to review our RAPH1 Antibody - BSA Free and receive a gift card or discount.

Bioinformatics

Gene Symbol RAPH1