PTBP1 Antibody (5C1)

Images

 
Western Blot: PTBP1 Antibody (5C1) [NBP2-75635] - Analysis of PTBP1 on different cell lysate using anti-PTBP1 antibody at 1/1,000 dilution.Positive control:Lane1: Daudi Lane2: HelaLane3: PC-12
Immunohistochemistry-Paraffin: PTBP1 Antibody (5C1) [NBP2-75635] - Analysis of paraffin-embedded human placental tissue with Mouse anti-PTBP1 antibody at 1/400 dilution. The section was pre-treated using heat mediated ...read more
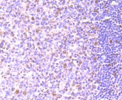
Immunohistochemistry-Paraffin: PTBP1 Antibody (5C1) [NBP2-75635] - Analysis of paraffin-embedded human tonsil tissue using anti-PTBP1 antibody. Counter stained with hematoxylin.
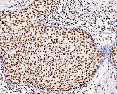
Immunohistochemistry-Paraffin: PTBP1 Antibody (5C1) [NBP2-75635] - Analysis of paraffin-embedded human colon cancer tissue using anti-PTBP1 antibody. Counter stained with hematoxylin.
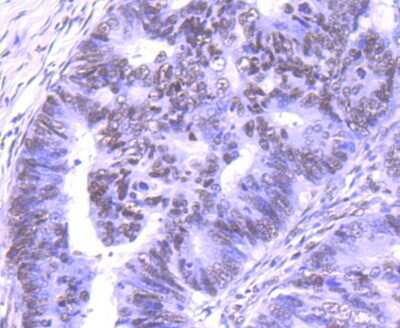
Immunohistochemistry-Paraffin: PTBP1 Antibody (5C1) [NBP2-75635] - Analysis of paraffin-embedded human breast cancer tissue with Mouse anti-PTBP1 antibody at 1/2000 dilution. The section was pre-treated using heat ...read more

Product Details

Summary
Product Discontinued
View other related PTBP1 Primary Antibodies

Order Details


    • Catalog Number
      NBP2-75635
    • Availability
      Product Discontinued

    Can't find what you are looking for? Use our Antibody Concierge Service & we will help you locate your antibody!

    Or feel free to contact us for alternative products.

PTBP1 Antibody (5C1) Summary

Immunogen
Synthetic peptide within Human PTBP1 aa 1-50 / 531. (SwissProt: P26599 Human; SwissProt: Q00438 Rat)
Localization
Nucleus.
Isotype
IgG1
Clonality
Monoclonal
Host
Mouse
Gene
PTBP1
Purity
Immunogen affinity purified
Innovator's Reward
Test in a species/application not listed above to receive a full credit towards a future purchase.

Applications/Dilutions

Dilutions
  • Immunohistochemistry
  • Immunohistochemistry-Paraffin 1:50-1:200
  • Western Blot 1:500-1:2000
Theoretical MW
57 kDa.
Disclaimer note: The observed molecular weight of the protein may vary from the listed predicted molecular weight due to post translational modifications, post translation cleavages, relative charges, and other experimental factors.

Packaging, Storage & Formulations

Storage
Store at 4C short term. Aliquot and store at -20C long term. Avoid freeze-thaw cycles.
Buffer
PBS (pH7.4), 0.2% BSA, 50% Glycerol
Preservative
0.05% Sodium Azide
Concentration
2 mg/ml
Purity
Immunogen affinity purified

Alternate Names for PTBP1 Antibody (5C1)

  • Heterogeneous nuclear ribonucleoprotein I
  • heterogeneous nuclear ribonucleoprotein polypeptide I
  • hnRNP I
  • HNRNPI
  • HNRNP-I
  • HNRPI
  • MGC10830
  • MGC8461
  • polypyrimidine tract binding protein (heterogeneous nuclear ribonucleoproteinI)
  • polypyrimidine tract binding protein 1
  • polypyrimidine tract-binding protein 1
  • pPTB
  • PTB-1
  • PTB2
  • PTB3
  • PTB4
  • PTB57 kDa RNA-binding protein PPTB-1
  • PTB-T
  • RNA-binding protein

Background

PTBP1 belongs to the subfamily of ubiquitously expressed heterogeneous nuclear ribonucleoproteins (hnRNPs). The hnRNPs are RNA-binding proteins and they complex with heterogeneous nuclear RNA (hnRNA). These proteins are associated with pre-mRNAs in the nucleus and appear to influence pre-mRNA processing and other aspects of mRNA metabolism and transport. While all of the hnRNPs are present in the nucleus, some seem to shuttle between the nucleus and the cytoplasm. The hnRNP proteins have distinct nucleic acid binding properties. The protein encoded by this gene has four repeats of quasi-RNA recognition motif (RRM) domains that bind RNAs. This protein binds to the intronic polypyrimidine tracts that requires pre-mRNA splicing and acts via the protein degradation ubiquitin-proteasome pathway. It may also promote the binding of U2 snRNP to pre-mRNAs. This protein is localized in the nucleoplasm and it is also detected in the perinucleolar structure. Alternatively spliced transcript variants encoding different isoforms have been described.

Limitations

This product is for research use only and is not approved for use in humans or in clinical diagnosis. Primary Antibodies are guaranteed for 1 year from date of receipt.

Customers Who Viewed This Item Also Viewed...

NBP2-02434
Species: Hu, Mu, Rt
Applications: ICC/IF, IHC,  IHC-P, IP, WB
AF2685
Species: Hu
Applications: IHC, Simple Western, WB
NBP3-16756
Species: Hu, Mu, Rt
Applications: ICC/IF, IHC,  IHC-P, WB
AF231
Species: Hu
Applications: CyTOF-ready, Dual ISH-IHC, ELISA(Cap), ELISA(Det), ELISA(Sta), Flow, ICC, IHC, IP, Simple Western, WB
NBP2-36776
Species: Hu
Applications: ICC/IF, IHC,  IHC-P, KD, WB
MAB1417
Species: Bv, Hu, Mu
Applications: ICC, IHC
NBP2-13075
Species: Ba, Hu, Pm, Mu, Rt
Applications: DB, ELISA, IB, ICC/IF, IHC-FrFl, IHC, IHC-Fr,  IHC-P, IP, WB
NB100-672
Species: Bv, Ca, Hu, Mu
Applications: ELISA, ICC/IF, IHC, IP, KD, MiAr, WB
AF3846
Species: Hu, Mu, Rt
Applications: IHC, WB
NBP2-20324
Species: Hu, Mu, Rt
Applications: ICC/IF, IHC,  IHC-P, WB
DY417
Species: Mu
Applications: ELISA
M6000B
Species: Mu
Applications: ELISA
NB100-82001
Species: Hu, Mu, Po, Rt
Applications: ICC/IF, IHC,  IHC-P, Simple Western, WB
MAB1455
Species: Hu
Applications: CyTOF-ready, Dual ISH-IHC, ICC, IHC, ICFlow, Simple Western, WB
NBP1-48002
Species: Ca, Hu, Pm, Pm
Applications: ICC/IF, IHC,  IHC-P, IP, WB
NBP2-38806
Species: Hu
Applications: ICC/IF, IHC,  IHC-P, WB
NB120-6106
Species: Am, Bv, Ch, Hu, Mu, Pm, Rt
Applications: ELISA, ICC/IF, IHC, IHC-Fr, IP, Simple Western, WB

Publications for PTBP1 Antibody (NBP2-75635) (0)

There are no publications for PTBP1 Antibody (NBP2-75635).
By submitting your publication information earn gift cards and discounts for future purchases.

Reviews for PTBP1 Antibody (NBP2-75635) (0)

There are no reviews for PTBP1 Antibody (NBP2-75635). By submitting a review you will receive an Amazon e-Gift Card or Novus Product Discount.
  • Review with no image -- $10/€7/£6/$10 CAD/¥70 Yuan/¥1110 Yen
  • Review with an image -- $25/€18/£15/$25 CAD/¥150 Yuan/¥2500 Yen

Product General Protocols

Find general support by application which include: protocols, troubleshooting, illustrated assays, videos and webinars.

Video Protocols

WB Video Protocol

FAQs for PTBP1 Antibody (NBP2-75635) (0)

There are no specific FAQs related to this product. Read our general customer & technical service FAQs.

Contact Information

Product PDFs

Calculators

Concentration Calculator

The concentration calculator allows you to quickly calculate the volume, mass or concentration of your vial. Simply enter your mass, volume, or concentration values for your reagent and the calculator will determine the rest.

=
÷

Review this Product

Be the first to review our PTBP1 Antibody (5C1) and receive a gift card or discount.

Bioinformatics

Gene Symbol PTBP1