SF2 Antibody

Images

 
Immunocytochemistry/ Immunofluorescence: SF2 Antibody [NBP2-20324] - Confocal immunofluorescence analysis of paraformaldehyde-fixed HeLa, using SF2 antibody (Green) at 1:500 dilution. Alpha-tubulin filaments are labeled ...read more
Western Blot: SF2 Antibody [NBP2-20324] - Sample (50 ug of whole cell lysate) A: Mouse Brain, 12% SDS PAGE gel, diluted at 1:1000.
Immunohistochemistry-Paraffin: SF2 Antibody [NBP2-20324] - Antibody detects SFRS1 protein at nucleus on colon carcinoma by immunohistochemical analysis. Sample: Paraffin-embedded colon carcinoma. Antibody dilution: ...read more
Immunohistochemistry-Paraffin: SF2 Antibody [NBP2-20324] - Paraffin-embedded mouse skin. SF2 antibody dilution: 1:500.
SF2 antibody detects SFRS1 protein at nucleus on BT483 xenograft by immunohistochemical analysis. Sample: Paraffin-embedded BT483 xenograft. SF2 antibody (NBP2-20324) dilution: 1:500. br>Antigen Retrieval: Trilogy(TM) ...read more
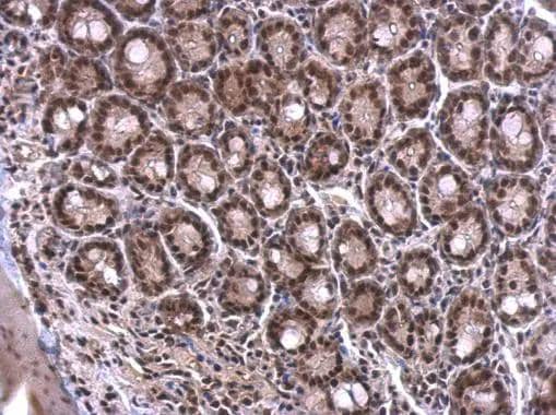
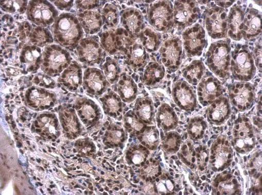
SF2 antibody detects SF2 protein at nucleus on mouse duodenum by immunohistochemical analysis. Sample: Paraffin-embedded mouse duodenum. SF2 antibody (NBP2-20324) dilution: 1:500. Antigen Retrieval: Trilogy(TM) (EDTA ...read more
Various whole cell extracts (30 ug) were separated by 12% SDS-PAGE, and the membrane was blotted with SF2 antibody (NBP2-20324) diluted at 1:5000. The HRP-conjugated anti-rabbit IgG antibody was used to detect the ...read more
Rat tissue extract (50 ug) was separated by 12% SDS-PAGE, and the membrane was blotted with SF2 antibody (NBP2-20324) diluted at 1:500. The HRP-conjugated anti-rabbit IgG antibody was used to detect the primary ...read more

Product Details

Summary
Reactivity Hu, Mu, Rt, Po, Bv, Ch, Pm, RMSpecies Glossary
Applications WB, ICC/IF, IHC
Clonality
Polyclonal
Host
Rabbit
Conjugate
Unconjugated

Order Details

SF2 Antibody Summary

Description
Novus Biologicals Rabbit SF2 Antibody (NBP2-20324) is a polyclonal antibody validated for use in IHC, WB and ICC/IF. Anti-SF2 Antibody: Cited in 2 publications. All Novus Biologicals antibodies are covered by our 100% guarantee.
Immunogen
Recombinant protein encompassing a sequence within the center region of human SF2. The exact sequence is proprietary.
Localization
Cytoplasm; Nucleus speckle
Predicted Species
Porcine (100%), Bovine (100%), Rhesus Macaque (100%), Chicken (98%), Primate (100%). Backed by our 100% Guarantee.
Isotype
IgG
Clonality
Polyclonal
Host
Rabbit
Gene
SRSF1
Purity
Antigen Affinity-purified
Innovator's Reward
Test in a species/application not listed above to receive a full credit towards a future purchase.

Applications/Dilutions

Dilutions
  • Immunocytochemistry/ Immunofluorescence 1:100-1:1000
  • Immunohistochemistry 1:100-1:1000
  • Immunohistochemistry-Paraffin 1:100-1:1000
  • Western Blot 1:500-1:10000
Theoretical MW
28 kDa.
Disclaimer note: The observed molecular weight of the protein may vary from the listed predicted molecular weight due to post translational modifications, post translation cleavages, relative charges, and other experimental factors.
Publications
Read Publications using NBP2-20324.

Reactivity Notes

Chimpanzee (100%).

Packaging, Storage & Formulations

Storage
Aliquot and store at -20C or -80C. Avoid freeze-thaw cycles.
Buffer
PBS, 1% BSA, 20% Glycerol
Preservative
0.01% Thimerosal
Purity
Antigen Affinity-purified

Alternate Names for SF2 Antibody

  • Alternative-splicing factor 1
  • ASFpre-mRNA-splicing factor SF2, P33 subunit
  • MGC5228
  • serine/arginine-rich splicing factor 1
  • SF2FLJ53078
  • SF2p33
  • SFRS1splicing factor 2
  • Splicing factor, arginine/serine-rich 1ASF-1
  • SR splicing factor 1
  • SRp30a

Background

This gene encodes a member of the arginine/serine-rich splicing factor protein family, and functions in both constitutive and alternative pre-mRNA splicing. The protein binds to pre-mRNA transcripts and components of the spliceosome, and can either activate or repress splicing depending on the location of the pre-mRNA binding site. The protein's ability to activate splicing is regulated by phosphorylation and interactions with other splicing factor associated proteins. Multiple transcript variants encoding different isoforms have been found for this gene. [provided by RefSeq]

Limitations

This product is for research use only and is not approved for use in humans or in clinical diagnosis. Primary Antibodies are guaranteed for 1 year from date of receipt.

Customers Who Viewed This Item Also Viewed...

MAB5745
Species: Hu
Applications: IHC, WB
NBP1-86125
Species: Hu
Applications: IHC,  IHC-P
NBP2-47290
Species: Hu
Applications: ICC/IF, IHC,  IHC-P
H00010921-M05
Species: Hu, Mu, Rt
Applications: ELISA, IP, WB
NB100-672
Species: Bv, Ca, Hu, Mu
Applications: ELISA, ICC/IF, IHC, IP, KD, MiAr, WB
NBP2-04142
Species: Hu, Mu
Applications: ICC/IF, IHC,  IHC-P, IP, WB
H00006428-M08
Species: Hu, Mu, Rt
Applications: ELISA, ICC/IF, IP, WB
H00006732-M01
Species: Hu
Applications: ELISA, IHC,  IHC-P, S-ELISA, WB
H00006430-B01P
Species: Hu
Applications: ICC/IF, IHC,  IHC-P, WB
H00006607-M01
Species: Hu
Applications: ELISA, ICC/IF, IHC,  IHC-P, WB
H00007536-M01
Species: Hu, Mu
Applications: ELISA, ICC/IF, IHC,  IHC-P, IP, WB
NBP1-89790
Species: Hu, Mu, Rt
Applications: ICC/IF, IHC,  IHC-P, WB
NBP2-88921
Species: Hu
Applications: ICC/IF, IHC,  IHC-P, WB
NBP2-87194
Species: Hu
Applications: WB
NBP1-87102
Species: Hu, Mu, Rt
Applications: ICC/IF, IHC,  IHC-P, WB
NBP1-87103
Species: Hu, Mu
Applications: IHC,  IHC-P, WB
DVE00
Species: Hu
Applications: ELISA
NBP1-49045
Species: Mu, Rt
Applications: Cell Depl, CyTOF-ready, Flow, ICC/IF, IHC, IHC-Fr,  IHC-P, IP, InhibTFunc
NB100-1936
Species: Hu, Mu, Pm, Rt, Xp, Ze
Applications: ELISA, Flow, ICC/IF, IHC,  IHC-P, IP, WB
NBP2-20324
Species: Hu, Mu, Rt, Po, Bv, Ch, Pm, RM
Applications: WB, ICC/IF, IHC
⚠ WARNING: This product can expose you to chemicals including mercury, which is known to the State of California to cause reproductive toxicity with developmental effects.  For more information go to www.P65Warnings.ca.gov.

Publications for SF2 Antibody (NBP2-20324)(2)

Reviews for SF2 Antibody (NBP2-20324) (0)

There are no reviews for SF2 Antibody (NBP2-20324). By submitting a review you will receive an Amazon e-Gift Card or Novus Product Discount.
  • Review with no image -- $10/€7/£6/$10 CAD/¥70 Yuan/¥1110 Yen
  • Review with an image -- $25/€18/£15/$25 CAD/¥150 Yuan/¥2500 Yen

Product General Protocols

Find general support by application which include: protocols, troubleshooting, illustrated assays, videos and webinars.

Video Protocols

WB Video Protocol
ICC/IF Video Protocol

FAQs for SF2 Antibody (NBP2-20324) (0)

There are no specific FAQs related to this product. Read our general customer & technical service FAQs.

Secondary Antibodies

 

Isotype Controls

Additional SF2 Products

Research Areas for SF2 Antibody (NBP2-20324)

Find related products by research area.

Blogs on SF2

There are no specific blogs for SF2, but you can read our latest blog posts.

Customers Who Bought This Also Bought

Contact Information

Product PDFs

Calculators

Concentration Calculator

The concentration calculator allows you to quickly calculate the volume, mass or concentration of your vial. Simply enter your mass, volume, or concentration values for your reagent and the calculator will determine the rest.

=
÷

Review this Product

Be the first to review our SF2 Antibody and receive a gift card or discount.

Bioinformatics

Gene Symbol SRSF1
Uniprot