PGM1 Antibody (CL3299) - Azide and BSA Free

Images

 
Lane 1: Marker [kDa] 250, 130, 100, 70, 55, 35, 25, 15, 10Lane 2: Human cell line RT-4
Staining of human fallopian tube shows absence of immunoreactivity (negative control).
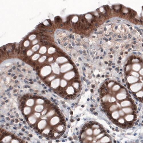
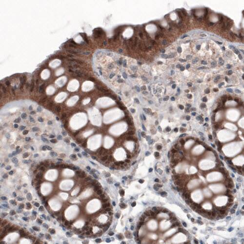
Staining of human colon shows cytoplasmic positivity in glandular cells.
Staining of human skeletal muscle shows moderate cytoplasmic immunoreactivity in muscle fibers.
Staining of human liver shows strong positivity in hepatocytes.
Staining of human prostate shows moderate cytoplasmic immunoreactivity in smooth muscle.

Product Details

Summary
Reactivity HuSpecies Glossary
Applications WB, IHC
Clone
CL3299
Clonality
Monoclonal
Host
Mouse
Conjugate
Unconjugated
Format
Azide and BSA Free
Concentration
LYOPH

Order Details

PGM1 Antibody (CL3299) - Azide and BSA Free Summary

Description
Novus Biologicals Mouse PGM1 Antibody (CL3299) - Azide and BSA Free (NBP2-61618) is a monoclonal antibody validated for use in IHC and WB. All Novus Biologicals antibodies are covered by our 100% guarantee.
Immunogen
This antibody was generated using a recombinant protein sequence of P36871, with the exact immunogen sequence remaining proprietary.
Isotype
IgG1
Clonality
Monoclonal
Host
Mouse
Gene
PGM1
Purity
Protein A purified
Innovator's Reward
Test in a species/application not listed above to receive a full credit towards a future purchase.

Applications/Dilutions

Dilutions
  • Immunohistochemistry-Paraffin 1:2500 - 1:5000
  • Western Blot 1 ug/ml
Application Notes
IHC-Paraffin HIER pH6 retrieval is recommended.

Packaging, Storage & Formulations

Storage
Store at 4C short term. Aliquot and store at -20C long term. Avoid freeze-thaw cycles.
Buffer
Lyophilized from a 0.2 um filtered solution in PBS with Trehalose
Preservative
No Preservative
Concentration
LYOPH
Purity
Protein A purified
Reconstitution Instructions
Centrifuge the vial of lyophilized antibody at 12,000 x g for 20 seconds. Reconstitute by adding sterile, distilled water to achieve a final antibody concentration of 1mg/ml.

Alternate Names for PGM1 Antibody (CL3299) - Azide and BSA Free

  • CDG1T
  • EC 5.4.2
  • EC 5.4.2.2
  • Glucose phosphomutase 1
  • GSD14
  • PGM 1
  • PGM1
  • phosphoglucomutase 1
  • phosphoglucomutase-1

Background

Phosphoglucomutases (PGM; EC 5.4.2.2) catalyze the transfer of phosphate between the 1 and 6 positions of glucose. Isozymes of PGM are monomeric, with molecular masses of about 60 kD, and are encoded by several genes, including PGM1. In most cell types, PGM1 isozymes predominate, representing about 90% of total PGM activity. One exception is red cells, where PGM2 (MIM 172000) is a major isozyme (Putt et al., 1993 (PubMed 8257433)).(supplied by OMIM)

Limitations

This product is for research use only and is not approved for use in humans or in clinical diagnosis. Primary Antibodies are guaranteed for 1 year from date of receipt.

Customers Who Viewed This Item Also Viewed...

NBP2-16374
Species: Hu, Mu, Rt, Ze
Applications: ICC/IF, IHC,  IHC-P, WB
NBP1-31589
Species: Hu, Mu
Applications: ICC/IF, IHC,  IHC-P, WB
DHAPG0
Species: Hu
Applications: ELISA
NB300-917
Species: Hu, Mu
Applications: ICC/IF, IHC,  IHC-P
NBP1-19015
Species: Hu, Mu
Applications: ELISA, ICC/IF,  IHC-P, IP, Simple Western, WB
NBP1-87404
Species: Hu, Mu, Rt
Applications: Flow, ICC/IF, IHC,  IHC-P, KD, WB
2914-HT
Species: Hu
Applications: BA
AF5075
Species: Hu, Mu, Rt
Applications: WB
NBP1-87311
Species: Hu, Mu, Rt
Applications: ICC/IF, IHC,  IHC-P, Simple Western, WB
NB500-525
Species: Hu
Applications: ELISA, IHC,  IHC-P, WB
NBP2-32601
Species: Hu
Applications: ICC/IF, IHC,  IHC-P, WB
NBP1-89111
Species: Hu, Mu, Rt
Applications: IHC,  IHC-P, WB
NBP2-81923
Species: Hu, Mu
Applications: ELISA, ICC/IF, IHC,  IHC-P, WB
NBP1-87401
Species: Hu, Mu, Rt, RM
Applications: ICC/IF, IHC,  IHC-P, WB
MAB1228
Species: Hu
Applications: CyTOF-ready, Flow, IHC, IP
NBP3-17923
Species: Hu
Applications: IHC,  IHC-P
NBP2-84247
Species: Hu
Applications: WB
NB200-540
Species: Ec, Mu
Applications: CyTOF-ready, Flow-IC, Flow, IA, ICC/IF, IHC, IHC-Fr,  IHC-P, IP
NBP2-03734
Species: Hu, Pm, Mu, Pm, Rt
Applications: Flow, IHC,  IHC-P, WB

Publications for PGM1 Antibody (NBP3-44049) (0)

There are no publications for PGM1 Antibody (NBP3-44049).
By submitting your publication information earn gift cards and discounts for future purchases.

Reviews for PGM1 Antibody (NBP3-44049) (0)

There are no reviews for PGM1 Antibody (NBP3-44049). By submitting a review you will receive an Amazon e-Gift Card or Novus Product Discount.
  • Review with no image -- $10/€7/£6/$10 CAD/¥70 Yuan/¥1110 Yen
  • Review with an image -- $25/€18/£15/$25 CAD/¥150 Yuan/¥2500 Yen

Product General Protocols

Find general support by application which include: protocols, troubleshooting, illustrated assays, videos and webinars.

Video Protocols

WB Video Protocol

FAQs for PGM1 Antibody (NBP3-44049) (0)

There are no specific FAQs related to this product. Read our general customer & technical service FAQs.

Secondary Antibodies

 

Isotype Controls

Additional PGM1 Products

Research Areas for PGM1 Antibody (NBP3-44049)

Find related products by research area.

Blogs on PGM1

There are no specific blogs for PGM1, but you can read our latest blog posts.

Customers Who Bought This Also Bought

Contact Information

Product PDFs

Calculators

Concentration Calculator

The concentration calculator allows you to quickly calculate the volume, mass or concentration of your vial. Simply enter your mass, volume, or concentration values for your reagent and the calculator will determine the rest.

=
÷

Review this Product

Be the first to review our PGM1 Antibody (CL3299) - Azide and BSA Free and receive a gift card or discount.

Bioinformatics

Gene Symbol PGM1