Pax6 Antibody (SD081-03)

Images

 
Western Blot: Pax6 Antibody (SD081-03) [NBP2-67789] - Western blot analysis of Pax6 on different lysates. Proteins were transferred to a PVDF membrane and blocked with 5% BSA in PBS for 1 hour at room temperature. The ...read more
Immunohistochemistry-Paraffin: Pax6 Antibody (SD081-03) [NBP2-67789] - Immunohistochemical analysis of paraffin-embedded rat eyeball tissue using anti-Pax6 antibody. The section was pre-treated using heat mediated ...read more
Flow Cytometry: Pax6 Antibody (SD081-03) [NBP2-67789] - Analysis of SH-SY-5Y cells with PAX6 antibody at 1/50 dilution (red) compared with an unlabelled control (cells without incubation with primary antibody; black). ...read more
Western Blot: Pax6 Antibody (SD081-03) [NBP2-67789] - Analysis of PAX6 on mouse eyes lysates using anti-PAX6 antibody at 1/1,000 dilution.
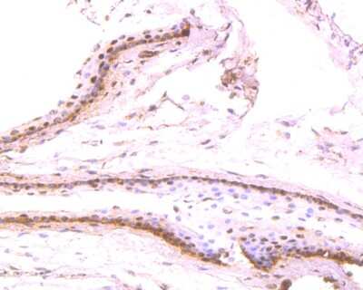
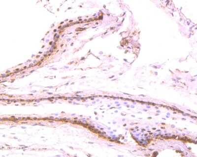
Immunohistochemistry-Paraffin: Pax6 Antibody (SD081-03) [NBP2-67789] - Analysis of paraffin-embedded rat eyes tissue using anti-PAX6 antibody. Counter stained with hematoxylin.
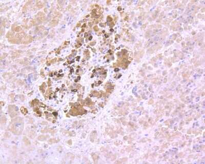
Immunohistochemistry-Paraffin: Pax6 Antibody (SD081-03) [NBP2-67789] - Immunohistochemical analysis of paraffin-embedded human pancreas tissue using anti-Pax6 antibody. The section was pre-treated using heat mediated ...read more
Immunohistochemistry-Paraffin: Pax6 Antibody (SD081-03) [NBP2-67789] - Immunohistochemical analysis of paraffin-embedded mouse eyeball tissue using anti-Pax6 antibody. The section was pre-treated using heat mediated ...read more

Product Details

Summary
Product Discontinued
View other related Pax6 Primary Antibodies

Order Details


    • Catalog Number
      NBP2-67789
    • Availability
      Product Discontinued

    Can't find what you are looking for? Use our Antibody Concierge Service & we will help you locate your antibody!

    Or feel free to contact us for alternative products.

Pax6 Antibody (SD081-03) Summary

Additional Information
Recombinant Monoclonal Antibody.
Immunogen
Synthetic peptide within Human Pax6 aa 373-422 / 422. (SwissProt: P26367 Human; SwissProt: P63015 Mouse; SwissProt: P63016 Rat)
Localization
Nucleus.
Isotype
IgG
Clonality
Monoclonal
Host
Rabbit
Gene
PAX6
Purity
Protein A purified
Innovator's Reward
Test in a species/application not listed above to receive a full credit towards a future purchase.

Applications/Dilutions

Dilutions
  • Flow Cytometry 1:50-1:100
  • Immunohistochemistry
  • Immunohistochemistry-Paraffin 1:50-1:200
  • Western Blot 1:500-1:2000

Packaging, Storage & Formulations

Storage
Store at 4C short term. Aliquot and store at -20C long term. Avoid freeze-thaw cycles.
Buffer
TBS (pH7.4), 0.05% BSA, 40% Glycerol
Preservative
0.05% Sodium Azide
Concentration
1 mg/ml
Purity
Protein A purified

Alternate Names for Pax6 Antibody (SD081-03)

  • keratitis)
  • MGC17209
  • Oculorhombin
  • paired box 6
  • paired box protein Pax-6
  • Pax6

Background

PAX genes encode nuclear transcription factors which are regarded as major controllers of developmental processes in both vertebrates and invertebrates. Mutations in murine PAX genes underlie three natural mouse alleles and several corresponding human syndromes (aniridia, foveal hypoplasia and Peters® anomaly). Murine PAX genes have been shown to be proto-oncogenes. Furthermore, human PAX genes have recently been demonstrated to play an influential part in some common human cancers such as brain tumors and lymphomas. All PAX genes encode a DNA-binding domain termed the paired domain and in addition some also encode a second binding domain--the paired type homeobox. PAX6 is involved in the early development of the optical vesicle and has been shown to interact with Six3, another important visual development protein.

Limitations

This product is for research use only and is not approved for use in humans or in clinical diagnosis. Primary Antibodies are guaranteed for 1 year from date of receipt.

Customers Who Viewed This Item Also Viewed...

AF2018
Species: Hu, Mu, Rt
Applications: ChIP, ICC, IHC, Simple Western, WB
MAB1259
Species: Hu
Applications: CyTOF-reported, ICC, ICFlow
MAB1417
Species: Bv, Hu, Mu
Applications: ICC, IHC
AF2419
Species: Hu
Applications: Dual ISH-IHC, ICC, IHC, Simple Western, WB
AF1837
Species: Hu
Applications: ICC, IHC, Simple Western, WB
NB110-60011
Species: Hu
Applications: ICC/IF, IHC, IHC-Fr,  IHC-P, IP, Simple Western, WB
AF2746
Species: Hu, Mu
Applications: ICC, WB
AF3364
Species: Hu
Applications: ICC, IHC, WB
NBP1-49672
Species: Hu, Mu, Rt
Applications: ICC/IF, IHC, IHC-Fr,  IHC-P, In vitro, Simple Western, WB
NBP1-82554
Species: Fe, Hu, Mu
Applications: ICC/IF, IHC, IHC-Fr,  IHC-P, KO, WB
H00006496-M04
Species: Hu
Applications: ELISA, WB
233-FB
Species: Hu
Applications: BA
AF1759
Species: Hu, Mu
Applications: ChIP, ICC, IP, Simple Western, WB
MAB1249
Species: Hu, Mu
Applications: CyTOF-ready, ICC, ICFlow
AF3444
Species: Hu
Applications: IHC, WB
NB300-141
Species: Bv, Ch, Eq, Gp, Hu, Mu, Po, Rb, Rt
Applications: ICC/IF, IHC, IHC-Fr,  IHC-P, Simple Western, WB
AF1979
Species: Hu
Applications: ICC, IHC, Simple Western, WB
NBP1-84476
Species: Hu, Rt
Applications: IHC,  IHC-P, WB
NBP2-67789
Species: Hu, Mu, Rt
Applications: WB, Flow, IHC

Publications for Pax6 Antibody (NBP2-67789) (0)

There are no publications for Pax6 Antibody (NBP2-67789).
By submitting your publication information earn gift cards and discounts for future purchases.

Reviews for Pax6 Antibody (NBP2-67789) (0)

There are no reviews for Pax6 Antibody (NBP2-67789). By submitting a review you will receive an Amazon e-Gift Card or Novus Product Discount.
  • Review with no image -- $10/€7/£6/$10 CAD/¥70 Yuan/¥1110 Yen
  • Review with an image -- $25/€18/£15/$25 CAD/¥150 Yuan/¥2500 Yen

Product General Protocols

Find general support by application which include: protocols, troubleshooting, illustrated assays, videos and webinars.

Video Protocols

WB Video Protocol

FAQs for Pax6 Antibody (NBP2-67789). (Showing 1 - 1 of 1 FAQ).

  1. What PAX6 antibody is recommend to use in ICC staining of human stem cells differentiated neural precursors?
    • By performing a search on PAX6 then refining this to antibodies which have been validated with human samples and for ICC, I can see that we have three products to meet your requirements. You can see all three of these antibodies. These products are listed based on sales and citations, however all of our antibodies are covered by our 100% guarantee to work in the species and applications listed on our website and on our product datasheets. You can read more about our quality guarantee here.

Secondary Antibodies

 

Isotype Controls

Additional Pax6 Products

Research Areas for Pax6 Antibody (NBP2-67789)

Find related products by research area.

Blogs on Pax6.

Deriving neural precursor cells from human induced pluripotent stem cells
By Jennifer Sokolowski, MD, PhD.Human induced pluripotent stem cells (iPSCs) can be used to create models of human organ systems and are useful for a) ascertaining the mechanisms underlying pathological conditions...  Read full blog post.

Contact Information

Product PDFs

Calculators

Concentration Calculator

The concentration calculator allows you to quickly calculate the volume, mass or concentration of your vial. Simply enter your mass, volume, or concentration values for your reagent and the calculator will determine the rest.

=
÷

Review this Product

Be the first to review our Pax6 Antibody (SD081-03) and receive a gift card or discount.

Bioinformatics

Gene Symbol PAX6