PARP Antibody (CL2220) - Azide and BSA Free

Images

 
Staining in A431 cell line with Anti-PARP monoclonal antibody) .
Staining in HeLa cell line with Anti-PARP monoclonal antibody) .
Staining in MCF7 cell line with Anti-PARP monoclonal antibody) .
Staining in U251 cell line with Anti-PARP monoclonal antibody) .
Staining in U2OS cell line with Anti-PARP monoclonal antibody) .
Staining of human Fallopian tube shows strong nuclear positivity in glandular cells.
Staining of human small intestine shows strong nuclear positivity in glandular cells.
Staining of human tonsil shows strong nuclear positivity in lymphoid cells.
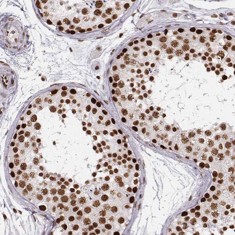
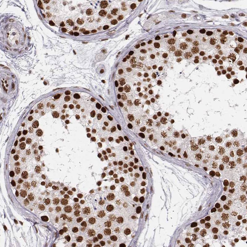
Staining of human testis shows strong nuclear positivity in cells in seminiferous ducts.
Genetic Strategies: Analysis in RT-4 cells transfected with control siRNA, target specific siRNA probe #1 and #2, using Anti-PARP antibody. Remaining relative intensity is presented. Loading control: Anti-GAPDH.

Product Details

Summary
Reactivity HuSpecies Glossary
Applications WB, ICC/IF, IHC
Clone
CL2220
Clonality
Monoclonal
Host
Mouse
Conjugate
Unconjugated
Format
Azide and BSA Free
Concentration
LYOPH
Validated by:
     

Genetic Strategies

   

Order Details

PARP Antibody (CL2220) - Azide and BSA Free Summary

Description
Novus Biologicals Mouse PARP Antibody (CL2220) - Azide and BSA Free (NBP2-36747) is a monoclonal antibody validated for use in IHC, WB and ICC/IF. All Novus Biologicals antibodies are covered by our 100% guarantee.
Immunogen
This antibody was generated using a recombinant protein sequence of P09874, with the exact immunogen sequence remaining proprietary.
Isotype
IgG1
Clonality
Monoclonal
Host
Mouse
Gene
PARP1
Purity
Protein A purified
Innovator's Reward
Test in a species/application not listed above to receive a full credit towards a future purchase.

Applications/Dilutions

Dilutions
  • Immunocytochemistry/ Immunofluorescence 2-10 ug/ml
  • Immunohistochemistry-Paraffin 1:1000 - 1:2500
  • Western Blot 1 ug/ml
Application Notes
For IHC-Paraffin, HIER pH 6 retrieval is recommended. Immunocytochemistry/ Immunofluorescence/IF Fixation Permeabilization: Use PFA/Triton X-100.

Packaging, Storage & Formulations

Storage
Store at 4C short term. Aliquot and store at -20C long term. Avoid freeze-thaw cycles.
Buffer
Lyophilized from a 0.2 um filtered solution in PBS with Trehalose
Preservative
No Preservative
Concentration
LYOPH
Purity
Protein A purified
Reconstitution Instructions
Centrifuge the vial of lyophilized antibody at 12,000 x g for 20 seconds. Reconstitute by adding sterile, distilled water to achieve a final antibody concentration of 1mg/ml.

Alternate Names for PARP Antibody (CL2220) - Azide and BSA Free

  • ADP-ribosyltransferase (NAD+; poly (ADP-ribose) polymerase)
  • ADPRT 1
  • ADPRT
  • ADPRTADP-ribosyltransferase NAD(+)
  • EC 2.4.2
  • EC 2.4.2.30
  • NAD(+) ADP-ribosyltransferase 1
  • PARP apoptosis
  • PARP
  • PARP1
  • PARP-1
  • PARPADPRT1
  • poly (ADP-ribose) polymerase 1
  • poly (ADP-ribose) polymerase family, member 1
  • poly [ADP-ribose] polymerase 1
  • poly(ADP-ribose) polymerase
  • poly(ADP-ribose) synthetase
  • poly(ADP-ribosyl)transferase
  • Poly[ADP-ribose] synthase 1
  • PPOL
  • PPOLpADPRT-1

Background

Poly (ADP-ribose) polymerase (PARP) is protein family primarily invloved in DNA repair and programmed cell death. PARP proteins are activated in response to DNA single strand breaks (SSBs). Upon SSB detection, PARP binds the DNA and synthesizes a PAR chain at the damaged site, which then signals the initiation of DNA repair by other enzymes such as XRCC1, DNA ligase III and DNA polymerase beta. After repair, the PAR chains are degraded via PAR glycohydrolase.

PARP is inactivated by caspase cleavage, leading to a programmed cell death pathway.

Limitations

This product is for research use only and is not approved for use in humans or in clinical diagnosis. Primary Antibodies are guaranteed for 1 year from date of receipt.

Customers Who Viewed This Item Also Viewed...

NB100-56098
Species: Ca, Hu, Mu, Rt
Applications: IHC,  IHC-P, IP, WB
NBP1-28566
Species: Bv, Hu, Pm, Mu, Po, Rt
Applications: Func, IHC, IHC-Fr,  IHC-P, WB
NB100-56503
Species: Dr, Hu, Mu, Rb, Rt
Applications: Flow-CS, Flow-IC, Flow, IB, ICC/IF, IHC,  IHC-P, Simple Western, WB
NB200-103
Species: Hu, Mu, Rt, Xp(-), Ye
Applications: CyTOF-ready, ELISA, Flow-IC, Flow, ICC/IF, IHC, IHC-Fr,  IHC-P, IP, WB
NB100-56118
Species: Ca, Ma, Hu, Mu, Rt
Applications: Flow-IC, ICC/IF, IHC, IHC-Fr,  IHC-P, IP, WB
NB100-56104
Species: Ca, Hu, Mu, Rt
Applications: IHC, IHC-Fr,  IHC-P, IP, WB
NBP2-29463
Species: Pm, Hu, Pm, Mu
Applications: Flow, ICC/IF, IHC,  IHC-P, WB
NB100-56116
Species: Ma, Hu, Mu, Rt
Applications: Flow, ICC/IF, IHC, IHC-Fr,  IHC-P, IP, Simple Western, WB
AF1230
Species: Hu, Mu, Rt
Applications: IHC, KO, WB
AF887
Species: Hu, Mu, Rt
Applications: CyTOF-ready, IHC, ICFlow, Simple Western, WB
MAB17761
Species: Hu, Mu, Rt
Applications: ICC, WB
NBP2-46085
Species: Hu
Applications: IHC,  IHC-P, WB
H00027065-M01
Species: Hu, Rt
Applications: ELISA, ICC/IF, S-ELISA, WB
NBP2-22203
Species: Hu, Pm, Mu, Rt
Applications: ELISA, Flow, ICC/IF, IHC,  IHC-P, WB
AF860
Species: Hu, Mu
Applications: IP, Simple Western, WB
AF1457
Species: Hu, Mu, Rt
Applications: ICC, KO, Simple Western, WB

Publications for PARP Antibody (NBP3-44461) (0)

There are no publications for PARP Antibody (NBP3-44461).
By submitting your publication information earn gift cards and discounts for future purchases.

Reviews for PARP Antibody (NBP3-44461) (0)

There are no reviews for PARP Antibody (NBP3-44461). By submitting a review you will receive an Amazon e-Gift Card or Novus Product Discount.
  • Review with no image -- $10/€7/£6/$10 CAD/¥70 Yuan/¥1110 Yen
  • Review with an image -- $25/€18/£15/$25 CAD/¥150 Yuan/¥2500 Yen

Product General Protocols

Find general support by application which include: protocols, troubleshooting, illustrated assays, videos and webinars.

Video Protocols

WB Video Protocol
ICC/IF Video Protocol

FAQs for PARP Antibody (NBP3-44461). (Showing 1 - 2 of 2 FAQ).

  1. I was wondering if you would mind letting me know which product would you recommend for immunochemistry of the retina of the rat and mouse by poly (ADP-ribose) polymerase (PARP) and calpain. There are many different calpain antibodies in your website. The samples are 12-um vertical cryostst sections (fixed by PFA).
    • For PARP, I would recommend either NB120-2168 or NB100-64828. Bear in mind that they are both mouse monoclonals, and you may have to take extra steps to reduce mouse-on-mouse background.
  2. Do you have any 100 coda or bigger controls?
    • I can recommend a couple of high weight antibodies that are conserved in most samples. Please verify the presence of the protein before using as a loading control. PARP1 or PARP is approximately 113kDa, and you may view the products we offer to PARP using this link. Vinculin is approximately 116kDa, and you may view the products we offer to Vinculin using this link.

Secondary Antibodies

 

Isotype Controls

Additional PARP Products

Research Areas for PARP Antibody (NBP3-44461)

Find related products by research area.

Blogs on PARP.

NPC1: A Potential Target For Triple-Negative Breast Cancer
By Natalia Gurule, PhD Breast Cancer is a Heterogeneous DiseaseBreast cancer is the most frequently identified malignancy in women, accounting for 30% of diagnosed cases of cancer in women in the US annuall...  Read full blog post.

Using CometChip to Characterize Extracellular Regulators of DNA Repair: Does CD73 Levels in Cancer Cells Affect DNA Repair by Regulating Levels of Intracellular NAD+?
By Natalia Gurule, PhD Historically, DNA repair pathways have been viewed from a tumor cell centric vantage point. Currently, the tumor microenvironment (TME) is recognized as having the potential to be a s...  Read full blog post.

What are the major differences between Apoptosis, Necroptosis & Autophagy?
Apoptosis is a form of programmed cell death which is mediated by cysteine proteases called caspases. It is an essential phenomenon in the maintenance of homeostasis and growth of tissues, and it also plays a critical role in immune response. The ...  Read full blog post.

The role of PARP-1 in the repair of single stranded break (SSB)
PARPs (poly ADP ribose polymerases) are DNA repair enzymes that promote single stranded break (SSB) repair by binding to DNA at the sites of SSBs and recruiting repair machinery. In humans, the PARP superfamily consists of 17 members, of which five...  Read full blog post.

Caspase 3 - a Reliable Marker for Index of Apoptosis Induction
Caspase-3 is one of the most important players in apoptosis signaling. It is synthesized as an inactive 32 kDa pro-enzyme and upon direct activation by Caspase-8, -9 or -10, it gets processed into its active forms, the p17-20 and p10-12 subunits. T...  Read full blog post.

Caspase 7 - A key effector of the apoptotic pathway
Caspase-7 is an effector caspase with important roles in mediating cell death signaling. As an effector caspase, caspase-7 is cleaved and activated by initiator caspases such as caspase-1 (1). Like other caspase family proteins, caspase-7 contains a...  Read full blog post.

Caspase 7: The Cell's Suicide Switch
Caspase 7 (also known as CASP7, Mch3, ICE-LAP3, CMH-1) is a member of caspase family of cysteine proteases. It is an apoptosis-related cystein peptidase encoded by the CASP7 gene in humans. CASP7 homologous sequences have been identified in nearly all...  Read full blog post.

PARP Antibody Assays aid both Apoptosis and Cancer Research
The PARP (Poly(ADP-ribose) polymerase) protein is a zinc-dependant nuclear enzyme whose main role is to detect and repair DNA single-strand breaks (SSB). However, PARP antibody research has revealed there are at least 17 PARP proteins, which also play...  Read full blog post.

Customers Who Bought This Also Bought

Contact Information

Product PDFs

Calculators

Concentration Calculator

The concentration calculator allows you to quickly calculate the volume, mass or concentration of your vial. Simply enter your mass, volume, or concentration values for your reagent and the calculator will determine the rest.

=
÷

Review this Product

Be the first to review our PARP Antibody (CL2220) - Azide and BSA Free and receive a gift card or discount.

Bioinformatics

Gene Symbol PARP1