P4HA2 Antibody (CL0351) - Azide and BSA Free

Images

 
Lane 1: Marker [kDa]Lane 2: Human cell line U-251 MG
Orthogonal Strategies: Analysis in human epididymis and skeletal muscle tissues using NBP3-43972 antibody. Corresponding P4HA2 RNA-seq data are presented for the same tissues.
Staining of human fallopian tube shows moderate to strong cytoplasmic positivity in glandular cells.
Staining of human epididymis shows moderate to strong cytoplasmic positivity in glandular cells.
Staining of human skeletal muscle shows no positivity in striated muscle fibers as expected.
Genetic Strategies: Analysis in U-251MG cells transfected with control siRNA, target specific siRNA probe #1 and #2, using Anti-P4HA2 antibody. Remaining relative intensity is presented. Loading control: ...read more
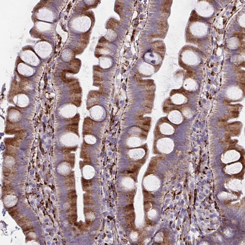
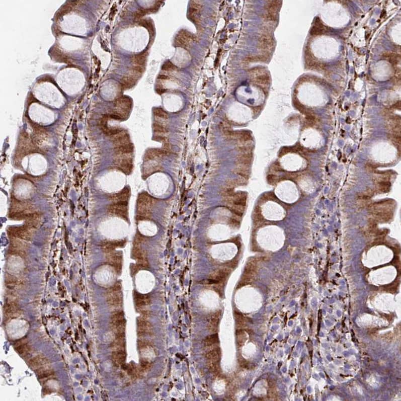
Staining of human small intestine shows moderate cytoplasmic positivity in glandular cells.

Product Details

Summary
Reactivity HuSpecies Glossary
Applications WB, IHC
Clone
CL0351
Clonality
Monoclonal
Host
Mouse
Conjugate
Unconjugated
Format
Azide and BSA Free
Concentration
LYOPH

Order Details

P4HA2 Antibody (CL0351) - Azide and BSA Free Summary

Description
Novus Biologicals Mouse P4HA2 Antibody (CL0351) - Azide and BSA Free (NBP2-52922) is a monoclonal antibody validated for use in IHC and WB. All Novus Biologicals antibodies are covered by our 100% guarantee.
Immunogen
This antibody was generated using a recombinant protein sequence of O15460, with the exact immunogen sequence remaining proprietary.
Isotype
IgG1
Clonality
Monoclonal
Host
Mouse
Gene
P4HA2
Purity
Protein A purified
Innovator's Reward
Test in a species/application not listed above to receive a full credit towards a future purchase.

Applications/Dilutions

Dilutions
  • Immunohistochemistry-Paraffin 1:200 - 1:500
  • Western Blot 1 ug/ml
Application Notes
For IHC-Paraffin, HIER pH 6 retrieval is recommended.

Packaging, Storage & Formulations

Storage
Store at 4C short term. Aliquot and store at -20C long term. Avoid freeze-thaw cycles.
Buffer
Lyophilized from a 0.2 um filtered solution in PBS with Trehalose
Preservative
No Preservative
Concentration
LYOPH
Purity
Protein A purified
Reconstitution Instructions
Centrifuge the vial of lyophilized antibody at 12,000 x g for 20 seconds. Reconstitute by adding sterile, distilled water to achieve a final antibody concentration of 1mg/ml.

Alternate Names for P4HA2 Antibody (CL0351) - Azide and BSA Free

  • 2-oxoglutarate-4-dioxygenase subunit alpha-2
  • 4-PH alpha 2
  • 4-PH alpha-2
  • alpha polypeptide II
  • collagen prolyl 4-hydroxylase alpha(II)
  • C-P4Halpha(II)
  • EC 1.14.11.2
  • Procollagen-proline
  • procollagen-proline, 2-oxoglutarate 4-dioxygenase (proline 4-hydroxylase)
  • prolyl 4-hydroxylase subunit alpha-2
  • prolyl 4-hydroxylase, alpha polypeptide II

Background

P4HA2 encodes a component of prolyl 4-hydroxylase, a key enzyme in collagen synthesis composed of two identical alpha subunits and two beta subunits. The encoded protein is one of several different types of alpha subunits and provides the major part of the catalytic site of the active enzyme. In collagen and related proteins, prolyl 4-hydroxylase catalyzes the formation of 4-hydroxyproline that is essential to the proper three-dimensional folding of newly synthesized procollagen chains. Alternatively spliced transcript variants encoding different isoforms have been described.

Limitations

This product is for research use only and is not approved for use in humans or in clinical diagnosis. Primary Antibodies are guaranteed for 1 year from date of receipt.

Customers Who Viewed This Item Also Viewed...

NBP1-84398
Species: Hu, Mu, Rt
Applications: ICC/IF, IHC,  IHC-P, WB
NBP2-94796
Species: Hu, Mu, Rt
Applications: ELISA, ICC/IF, WB
H00006583-A01
Species: Ca, Hu, Mu, Rt
Applications: ELISA, ICC/IF, IHC-WhMt, IHC, IHC-Fr, WB
NBP3-03807
Species: Hu, Mu, Rt
Applications: ICC/IF, IP, WB
1129-ER
Species: Hu
Applications: BA
NB100-105
Species: Bv, Ca, Fe, Ma, Hu, Pm, Mu, Po, Pm, Rb, Rt, Sh, Xp
Applications: ChIP, ChIP, ELISA, Flow, GS, IA, IB, ICC/IF, IHC-FrFl, IHC, IHC-Fr,  IHC-P, IP, In vitro, KD, KO, LA, PLA, Simple Western, TCS, WB
MAB4969
Species: Hu
Applications: IHC
DTSP20
Species: Hu
Applications: ELISA
DTSP10
Species: Hu
Applications: ELISA
NB120-6586
Species: Bv, Fe, Hu, Mu, Rt
Applications: ELISA, ICC/IF, IHC-FrFl, IHC, IHC-Fr,  IHC-P, IP, KO, mIF, Simple Western, SR Microscopy, WB
NB100-295
Species: Hu, Mu(-), Rt
Applications: EM, ICC/IF, IHC,  IHC-P, WB
NB200-103
Species: Hu, Mu, Rt, Xp(-), Ye
Applications: CyTOF-ready, ELISA, Flow-IC, Flow, ICC/IF, IHC, IHC-Fr,  IHC-P, IP, WB
NBP2-38770
Species: Hu, Mu
Applications:  IHC-P, WB
NBP1-84396
Species: Hu
Applications: IHC,  IHC-P
H00005352-B01P
Species: Hu
Applications: ICC/IF, WB
NBP1-91258
Species: Bv, Ca, Eq, Fe, Hu, Mu, Po, Rt
Applications: ICC/IF, IHC, IHC-Fr,  IHC-P, Simple Western, WB
AF1152
Species: Hu
Applications: CyTOF-ready, IHC, ICFlow, Simple Western, WB
AF1197
Species: Hu, Mu, Rt
Applications: IHC, Simple Western, WB
NB300-517
Species: Bv, Ha, Hu, Pm, Mu, Po, Pm, Rb, Rt
Applications: B/N, ELISA, Flow, ICC/IF, IHC, IHC-Fr,  IHC-P, IM, IP, KD, WB

Publications for P4HA2 Antibody (NBP3-43972) (0)

There are no publications for P4HA2 Antibody (NBP3-43972).
By submitting your publication information earn gift cards and discounts for future purchases.

Reviews for P4HA2 Antibody (NBP3-43972) (0)

There are no reviews for P4HA2 Antibody (NBP3-43972). By submitting a review you will receive an Amazon e-Gift Card or Novus Product Discount.
  • Review with no image -- $10/€7/£6/$10 CAD/¥70 Yuan/¥1110 Yen
  • Review with an image -- $25/€18/£15/$25 CAD/¥150 Yuan/¥2500 Yen

Product General Protocols

Find general support by application which include: protocols, troubleshooting, illustrated assays, videos and webinars.

Video Protocols

WB Video Protocol

FAQs for P4HA2 Antibody (NBP3-43972) (0)

There are no specific FAQs related to this product. Read our general customer & technical service FAQs.

Customers Who Bought This Also Bought

Contact Information

Product PDFs

Calculators

Concentration Calculator

The concentration calculator allows you to quickly calculate the volume, mass or concentration of your vial. Simply enter your mass, volume, or concentration values for your reagent and the calculator will determine the rest.

=
÷

Review this Product

Be the first to review our P4HA2 Antibody (CL0351) - Azide and BSA Free and receive a gift card or discount.

Bioinformatics

Gene Symbol P4HA2