NVL Antibody - BSA Free

Images

 
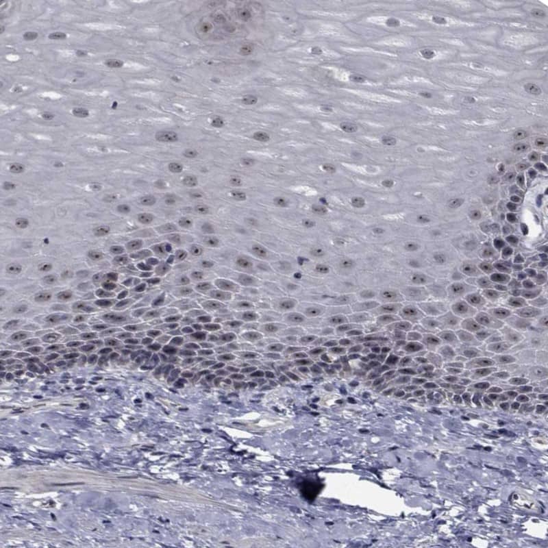
Staining of human esophagus shows moderate nuclear and nucleolar positivity in squamous epithelial cells.
Lane 1: Marker [kDa] 230, 130, 95, 72, 56, 36, 28, 17, 11Lane 2: Human cell line RT-4Lane 3: Human cell line U-251MG sp
Lane 1: NIH-3T3 cell lysate (Mouse embryonic fibroblast cells)Lane 2: NBT-II cell lysate (Rat Wistar bladder tumour cells)

Product Details

Summary
Reactivity Hu, Mu, RtSpecies Glossary
Applications WB, IHC
Clonality
Polyclonal
Host
Rabbit
Conjugate
Unconjugated
Format
BSA Free

Order Details

View Available Formulations
Catalog# & Formulation Size Price

NVL Antibody - BSA Free Summary

Description
Novus Biologicals Rabbit NVL Antibody - BSA Free (NBP1-89508) is a polyclonal antibody validated for use in IHC and WB. All Novus Biologicals antibodies are covered by our 100% guarantee.
Immunogen
This antibody was developed against Recombinant Protein corresponding to amino acids: LESDMKRKGKLKNKGSKRKKEDLQEVDGEIEAVLQKKAKARGLEFQISNVKFEDVGGNDMTLKEVCKMLIHMRHPEVYHHLG
Isotype
IgG
Clonality
Polyclonal
Host
Rabbit
Gene
NVL
Purity
Immunogen affinity purified
Innovator's Reward
Test in a species/application not listed above to receive a full credit towards a future purchase.

Applications/Dilutions

Dilutions
  • Immunohistochemistry 1:500 - 1:1000
  • Immunohistochemistry-Paraffin 1:500 - 1:1000
  • Western Blot 0.04-0.4 ug/ml
Application Notes
For IHC-Paraffin, HIER pH 6 retrieval is recommended. Immunocytochemistry/Immunofluorescence Fixation Permeabilization: Use PFA/Triton X-100.
Control Peptide
NVL Protein (NBP1-89508PEP)

Packaging, Storage & Formulations

Storage
Store at 4C short term. Aliquot and store at -20C long term. Avoid freeze-thaw cycles.
Buffer
PBS (pH 7.2) and 40% Glycerol
Preservative
0.02% Sodium Azide
Purity
Immunogen affinity purified

Alternate Names for NVL Antibody - BSA Free

  • nuclear valosin-containing protein-like
  • Nuclear VCP-like protein
  • nuclear VCP-like
  • NVLp

Limitations

This product is for research use only and is not approved for use in humans or in clinical diagnosis. Primary Antibodies are guaranteed for 1 year from date of receipt.

Customers Who Viewed This Item Also Viewed...

NBP2-38792
Species: Hu
Applications: ICC/IF, IHC,  IHC-P
NBP1-86616
Species: Hu
Applications: IHC,  IHC-P, WB
NBP2-58917
Species: Hu
Applications: IHC,  IHC-P, WB
AF3398
Species: Hu, Mu, Rt
Applications: ICC, KO, Simple Western, WB
NB100-1558
Species: Hu, Mu, Rt, Ze
Applications: ICC/IF, IHC, IHC-Fr, IP, WB
AF4117
Species: Rt
Applications: IHC, WB
NBP1-80967
Species: Hu
Applications: ICC/IF, IHC,  IHC-P
NBP1-80577
Species: Hu
Applications: ICC/IF, WB
NBP1-31413
Species: Hu, Mu, Rt
Applications: ICC/IF, IHC,  IHC-P, KD, WB
DVE00
Species: Hu
Applications: ELISA
MAB6898
Species: Hu, Mu
Applications: WB
NBP1-85790
Species: Hu, Mu, Rt
Applications: IHC,  IHC-P, WB
NB600-241
Species: Hu, Mu, Pl, Rt
Applications: ChIP, ChIP, EM, ICC/IF, IHC-WhMt, IHC, IHC-Fr,  IHC-P, IM, KD, Simple Western, WB
NB100-565
Species: Hu, Mu, Rt
Applications: ICC/IF, IHC,  IHC-P, IP, KO, WB
NB100-317
Species: Hu, Mu, Rt
Applications: ChIP, ChIP, Flow, ICC/IF, IHC,  IHC-P, IP, WB
H00023435-M01
Species: Ba, Pp, Hu, I, Pm, Mu, Rt
Applications: ELISA, Func, ICC/IF, IHC,  IHC-P, IP, KD, WB
NBP1-89508
Species: Hu, Mu, Rt
Applications: WB, IHC

Publications for NVL Antibody (NBP1-89508) (0)

There are no publications for NVL Antibody (NBP1-89508).
By submitting your publication information earn gift cards and discounts for future purchases.

Reviews for NVL Antibody (NBP1-89508) (0)

There are no reviews for NVL Antibody (NBP1-89508). By submitting a review you will receive an Amazon e-Gift Card or Novus Product Discount.
  • Review with no image -- $10/€7/£6/$10 CAD/¥70 Yuan/¥1110 Yen
  • Review with an image -- $25/€18/£15/$25 CAD/¥150 Yuan/¥2500 Yen

Product General Protocols

Find general support by application which include: protocols, troubleshooting, illustrated assays, videos and webinars.

Video Protocols

WB Video Protocol

FAQs for NVL Antibody (NBP1-89508) (0)

There are no specific FAQs related to this product. Read our general customer & technical service FAQs.

Customers Who Bought This Also Bought

Contact Information

Product PDFs

Calculators

Concentration Calculator

The concentration calculator allows you to quickly calculate the volume, mass or concentration of your vial. Simply enter your mass, volume, or concentration values for your reagent and the calculator will determine the rest.

=
÷

Review this Product

Be the first to review our NVL Antibody - BSA Free and receive a gift card or discount.

Bioinformatics

Gene Symbol NVL