N-Cadherin Antibody (SY02-46)

Images

 
Western Blot: N-Cadherin Antibody (SY02-46) [NBP2-67431] - Analysis of N Cadherin on different lysates. Proteins were transferred to a PVDF membrane and blocked with 5% BSA in PBS for 1 hour at room temperature. The ...read more
Immunocytochemistry/ Immunofluorescence: N-Cadherin Antibody (SY02-46) [NBP2-67431] - Staining N Cadherin in RH-35 cells (green). The nuclear counter stain is DAPI (blue). Cells were fixed in paraformaldehyde, ...read more
Immunohistochemistry-Paraffin: N-Cadherin Antibody (SY02-46) [NBP2-67431] - Immunohistochemical analysis of paraffin-embedded human liver tissue using anti-N Cadherin antibody. Counter stained with hematoxylin.
Flow Cytometry: N-Cadherin Antibody (SY02-46) [NBP2-67431] - Analysis of Hela cells with N Cadherin antibody at 1/50 dilution (red) compared with an unlabelled control (cells without incubation with primary antibody; ...read more
Immunocytochemistry/ Immunofluorescence: N-Cadherin Antibody (SY02-46) [NBP2-67431] - Staining N Cadherin in HepG2 cells (green). The nuclear counter stain is DAPI (blue). Cells were fixed in paraformaldehyde, ...read more
Immunocytochemistry/ Immunofluorescence: N-Cadherin Antibody (SY02-46) [NBP2-67431] - Staining N Cadherin in NCCIT cells (green). The nuclear counter stain is DAPI (blue). Cells were fixed in paraformaldehyde, ...read more
Immunocytochemistry/ Immunofluorescence: N-Cadherin Antibody (SY02-46) [NBP2-67431] - Staining N Cadherin in F9 cells (green). The nuclear counter stain is DAPI (blue). Cells were fixed in paraformaldehyde, ...read more
Immunohistochemistry-Paraffin: N-Cadherin Antibody (SY02-46) [NBP2-67431] - Analysis of paraffin-embedded mouse heart tissue using anti-N Cadherin antibody. Counter stained with hematoxylin.
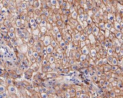
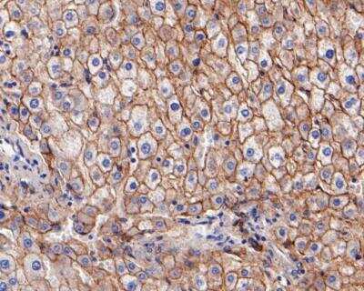
Immunohistochemistry-Paraffin: N-Cadherin Antibody (SY02-46) [NBP2-67431] - Immunohistochemical analysis of paraffin-embedded human liver cancer tissue using anti-N Cadherin antibody. Counter stained with hematoxylin.

Product Details

Summary
Product Discontinued
View other related N-Cadherin Primary Antibodies

Order Details


    • Catalog Number
      NBP2-67431
    • Availability
      Product Discontinued

    Can't find what you are looking for? Use our Antibody Concierge Service & we will help you locate your antibody!

    Or feel free to contact us for alternative products.

N-Cadherin Antibody (SY02-46) Summary

Additional Information
Recombinant Monoclonal Antibody.
Immunogen
Synthetic peptide within Human N-Cadherin aa 161-210 / 906. (SwissProt: P19022 Human; SwissProt: P15116 Mouse; SwissProt: Q9Z1Y3 Rat)
Localization
Cell membrane.
Isotype
IgG
Clonality
Monoclonal
Host
Rabbit
Gene
CDH2
Purity
Protein A purified
Innovator's Reward
Test in a species/application not listed above to receive a full credit towards a future purchase.

Applications/Dilutions

Dilutions
  • Flow Cytometry 1:50-1:100
  • Immunocytochemistry/ Immunofluorescence 1:50-1:200
  • Immunohistochemistry
  • Immunohistochemistry-Paraffin 1:200
  • Western Blot 1:1000-1:5000
Theoretical MW
100 kDa.
Disclaimer note: The observed molecular weight of the protein may vary from the listed predicted molecular weight due to post translational modifications, post translation cleavages, relative charges, and other experimental factors.

Packaging, Storage & Formulations

Storage
Store at 4C short term. Aliquot and store at -20C long term. Avoid freeze-thaw cycles.
Buffer
TBS (pH7.4), 0.05% BSA, 40% Glycerol
Preservative
0.05% Sodium Azide
Concentration
1 mg/ml
Purity
Protein A purified

Alternate Names for N-Cadherin Antibody (SY02-46)

  • ACOGS
  • ARVD14
  • cadherin 2, type 1, N-cadherin (neuronal)
  • Cadherin-2
  • calcium-dependent adhesion protein, neuronal
  • CD325 antigen
  • CD325
  • CDH2
  • CDHN
  • CDw325
  • NCAD
  • N-cadherin 1
  • NCadherin
  • N-Cadherin
  • Neural cadherin
  • neural-cadherin

Background

N-Cadherin, also referred to as Neural Cadherin (NCAD) or Cadherin-2 (CHD2), is a 130 kDa protein that is a member of the calcium-dependent adhesion molecule family of classical (type I) cadherins (1-4). Under the CDH2 gene, human N-cadherin is synthesized as a 906 amino acid protein with a theoretical molecular weight of 99.8 kDa (5). The N-cadherin protein structure is similar to other classical type I cadherins including epithelial (E-) cadherin and placental (P-) cadherin (1,2). N-cadherin consists of a 25 amino acid (aa) N-terminal signal peptide and 134 aa pro-peptide, a 565 aa extracellular domain (ECD) with five cadherin repeats, a 21 aa transmembrane segment, and a 161 aa cytoplasmic domain (1-3,5). The ECD of N-cadherin monomers is responsible for homotypic binding through either cis or trans adhesion (2,3).

N-cadherin is expressed on multiple cell types but is most highly expressed by mesenchymal cells and neural tissue (2). Functionally, N-cadherin has a number of roles including maintaining structural integrity and adhesion, cell signaling, and formation of neuronal synapses and the vascular wall (2). The cytoplasmic tail interacts with beta-catenin which then binds with alpha-catenin, forming the cadherin-catenin adhesion complex, an important component of adhesions junctions (1-3). Given its role in adhesion, N-cadherin serves as an indicator of epithelial-to-mesenchymal transition (EMT) (1-4). The loss of E-cadherin during EMT corresponds with an increase in N-cadherin expression (1-4). This "cadherin-switch" is associated with increased migratory and invasive behavior observed in tumor progress (1-4). Proteases including activity of a disintegrin and metalloprotease 10 (ADAM10), matrix metalloproteinases (MMPs), caspase 3, presenilin, and calpain can cleave N-cadherin as a mechanism for regulating Wnt/beta-catenin signaling and inducing oncogenic signals (3,4). In addition to its expression in solid tumors, N-cadherin has been indicated in hematological disorders such as leukemia and multiple myeloma (1). N-cadherin antagonists are currently being studied as potential therapeutics for a variety of cancer studies (1-2).

References

1. Mrozik, K. M., Blaschuk, O. W., Cheong, C. M., Zannettino, A., & Vandyke, K. (2018). N-cadherin in cancer metastasis, its emerging role in haematological malignancies and potential as a therapeutic target in cancer. BMC Cancer. https://doi.org/10.1186/s12885-018-4845-0

2. Loh, C. Y., Chai, J. Y., Tang, T. F., Wong, W. F., Sethi, G., Shanmugam, M. K., Chong, P. P., & Looi, C. Y. (2019). The E-Cadherin and N-Cadherin Switch in Epithelial-to-Mesenchymal Transition: Signaling, Therapeutic Implications, and Challenges. Cells. https://doi.org/10.3390/cells8101118

3. Derycke, L. D., & Bracke, M. E. (2004). N-cadherin in the spotlight of cell-cell adhesion, differentiation, embryogenesis, invasion and signalling. The International Journal of Developmental Biology. https://doi.org/10.1387/ijdb.041793ld

4. Yu, W., Yang, L., Li, T., & Zhang, Y. (2019). Cadherin Signaling in Cancer: Its Functions and Role as a Therapeutic Target. Frontiers in Oncology. https://doi.org/10.3389/fonc.2019.00989

5. Unitprot (P1903)

Limitations

This product is for research use only and is not approved for use in humans or in clinical diagnosis. Primary Antibodies are guaranteed for 1 year from date of receipt.

Customers Who Viewed This Item Also Viewed...

NBP1-48309
Species: Hu, Mu, Rt
Applications: Flow-IC, Flow, ICC/IF, IHC,  IHC-P, IP, Simple Western, WB
NB100-524
Species: Hu, Mu
Applications: Flow-IC, Flow, ICC/IF, IHC, IHC-Fr,  IHC-P, IP, WB
NBP2-79843
Species: Hu
Applications: CyTOF-ready, ELISA, Flow, ICC/IF, IHC,  IHC-P, PA, WB
7268-CT
Species: Hu
Applications: BA
AF748
Species: Hu, Mu
Applications: CyTOF-ready, Dual ISH-IHC, Flow, ICC, IHC, Simple Western, WB
AF1329
Species: Hu, Mu, Rt
Applications: ChIP, CyTOF-ready, ICC, IHC, ICFlow, Simple Western, WB
NBP2-15840
Species: Hu, Mu, Rt
Applications: ICC/IF, IHC,  IHC-P, WB
NB100-74510
Species: Hu, Mu, Pm, Rt
Applications: ELISA, ICC/IF, IHC,  IHC-P, IP, WB
NB300-223
Species: Bv, Ca, Ch, Eq, Hu, Mu, Po, Rt
Applications: ICC/IF, IHC, IHC-Fr,  IHC-P, WB
NBP2-37364
Species: Hu, Mu
Applications: CyTOF-ready, ELISA, Flow-IC, Flow, ICC/IF, IHC,  IHC-P, KD, WB
NBP1-83976
Species: Hu
Applications: ICC/IF, IHC,  IHC-P
NB100-807
Species: Hu
Applications: ICC/IF, PEP-ELISA, WB
NBP2-38234
Species: Hu
Applications: IHC,  IHC-P
AF6677
Species: Mu
Applications: IHC, WB
NBP1-85047
Species: Hu, Mu, Po, Rt
Applications: ICC/IF, IHC,  IHC-P, WB
NBP2-03886
Species: Hu, Mu, Rt
Applications: Flow, IHC,  IHC-P, WB
MAB1790
Species: Hu
Applications: IHC, Simple Western, WB
DMP900
Species: Hu
Applications: ELISA
MMP200
Species: Ca, Hu, Mu, Po, Rt
Applications: ELISA
NBP2-67431
Species: Hu, Mu, Rt
Applications: WB, Flow, ICC/IF, IHC

Publications for N-Cadherin Antibody (NBP2-67431) (0)

There are no publications for N-Cadherin Antibody (NBP2-67431).
By submitting your publication information earn gift cards and discounts for future purchases.

Reviews for N-Cadherin Antibody (NBP2-67431) (0)

There are no reviews for N-Cadherin Antibody (NBP2-67431). By submitting a review you will receive an Amazon e-Gift Card or Novus Product Discount.
  • Review with no image -- $10/€7/£6/$10 CAD/¥70 Yuan/¥1110 Yen
  • Review with an image -- $25/€18/£15/$25 CAD/¥150 Yuan/¥2500 Yen

Product General Protocols

Find general support by application which include: protocols, troubleshooting, illustrated assays, videos and webinars.

Video Protocols

WB Video Protocol
ICC/IF Video Protocol

FAQs for N-Cadherin Antibody (NBP2-67431) (0)

There are no specific FAQs related to this product. Read our general customer & technical service FAQs.

Secondary Antibodies

 

Isotype Controls

Additional N-Cadherin Products

Research Areas for N-Cadherin Antibody (NBP2-67431)

Find related products by research area.

Blogs on N-Cadherin.


  Read full blog post.

Bad news for stomach cancer: BAMBI protein inhibits gastric carcinoma via TGF-beta/epithelial-mesenchymal transition signaling
By Jamshed Arslan Pharm.D. Gastric carcinoma is the second leading cause of cancer-related deaths worldwide. One of the key features of gastric carcinoma is acidosis, which promotes growth and metastasis of gastric ...  Read full blog post.

Beta Tubulin III and neurogenesis
Beta tubulin III, also known as Tuj-1, is a class III member of the beta tubulin protein family. Beta tubulins are one of two structural components that form our microtubule network. While general tubulins play a role in a wide range of cellular pr...  Read full blog post.

Epithelial-Mesenchymal Transition (EMT) Markers
Epithelial-Mesenchymal Transition (EMT) is the trans-differentiation of stationary epithelial cells into motile mesenchymal cells. During EMT, epithelial cells lose their junctions and apical-basal polarity, reorganize their cytoskeleton, undergo a...  Read full blog post.

CD63: is it pro-metastatic or anti-metastatic?
CD63 is a type II membrane protein belonging to tetraspanin superfamily and it play key roles in the activation of several cellular signaling cascades along with acting as TIMP1 receptor. It is expressed by activated platelets, monocytes,...  Read full blog post.

MMP24 (Matrix metalloproteinase-24, matrix metalloproteinase-25, MT5-MMP)
MMP24 is an extracellular matrix (ECM) degradative peptidase enzyme that is a member of the large family of matrix metalloproteinases (MMP). Each MMP has a different substrate specificity, and the aberrant or derailed expression of these is strongly c...  Read full blog post.

Contact Information

Product PDFs

Calculators

Concentration Calculator

The concentration calculator allows you to quickly calculate the volume, mass or concentration of your vial. Simply enter your mass, volume, or concentration values for your reagent and the calculator will determine the rest.

=
÷

Review this Product

Be the first to review our N-Cadherin Antibody (SY02-46) and receive a gift card or discount.

Bioinformatics

Gene Symbol CDH2