MYH6 Antibody (CL2162) - BSA Free

Images

 
Orthogonal Strategies: Immunohistochemistry-Paraffin: MYH6 Antibody (CL2162) [NBP2-36746] - Staining in human heart muscle and liver tissues. Corresponding MYH6 RNA-seq data are presented for the same tissues.
Western Blot: MYH6 Antibody (CL2162) [NBP2-36746] - Lane 1: Marker [kDa] Lane 2: Human skeletal muscle tissue lysate
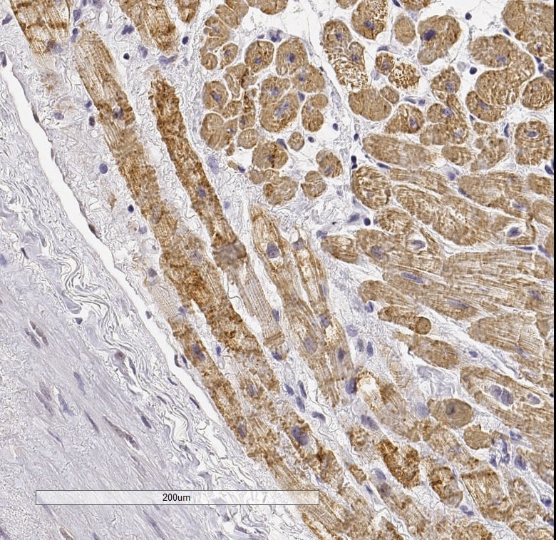
Immunohistochemistry-Paraffin: MYH6 Antibody (CL2162) [NBP2-36746] - Staining of human heart muscle shows very strong cytoplasmic positivity in cardiomyocytes.
Immunohistochemistry-Paraffin: MYH6 Antibody (CL2162) [NBP2-36746] - Staining of human skeletal muscle shows strong cytoplasmic positivity in striated muscle fibers.
Immunohistochemistry-Paraffin: MYH6 Antibody (CL2162) [NBP2-36746] - Staining of human liver shows no positivity in hepatocytes as expected.

Product Details

Summary
Reactivity Hu, Mu, RtSpecies Glossary
Applications WB, IHC
Clone
CL2162
Clonality
Monoclonal
Host
Mouse
Conjugate
Unconjugated
Format
BSA Free
Validated by:
       

Orthogonal Strategies

 

Order Details

MYH6 Antibody (CL2162) - BSA Free Summary

Description
Novus Biologicals Mouse MYH6 Antibody (CL2162) - BSA Free (NBP2-36746) is a monoclonal antibody validated for use in IHC and WB. All Novus Biologicals antibodies are covered by our 100% guarantee.
Immunogen
This antibody was developed using a recombinant protein derived from P13533, with the exact immunogen sequence remaining proprietary.
Predicted Species
Mouse (97%), Rat (96%). Backed by our 100% Guarantee.
Isotype
IgG2b
Clonality
Monoclonal
Host
Mouse
Gene
MYH6
Purity
Protein A purified
Innovator's Reward
Test in a species/application not listed above to receive a full credit towards a future purchase.

Applications/Dilutions

Dilutions
  • Immunohistochemistry 1:5000 - 1:10000
  • Immunohistochemistry-Paraffin 1:5000 - 1:10000
  • Western Blot 1 ug/ml
Application Notes
For IHC-Paraffin, HIER pH 6 retrieval is recommended.
Reviewed Applications
Read 2 Reviews rated 4.5
using
NBP2-36746 in the following applications:

Reactivity Notes

Please note that this antibody is reactive to Mouse and derived from the same host, Mouse. Mouse-On-Mouse blocking reagent may be needed for IHC and ICC experiments to reduce high background signal. You can find these reagents under catalog numbers PK-2200-NB and MP-2400-NB. Please contact Technical Support if you have any questions

Packaging, Storage & Formulations

Storage
Store at 4C short term. Aliquot and store at -20C long term. Avoid freeze-thaw cycles.
Buffer
PBS (pH 7.2) and 40% Glycerol
Preservative
0.02% Sodium Azide
Purity
Protein A purified

Alternate Names for MYH6 Antibody (CL2162) - BSA Free

  • alpha-MHC
  • ASD3
  • cardiomyopathy
  • CMD1EE
  • CMH14
  • Hypertrophic 1
  • MYH6
  • MYHC
  • MYHCA
  • MyHC-Alpha
  • Myosin Heavy Chain 6
  • Myosin Heavy Chain, Cardiac Muscle Alpha Isoform
  • Myosin, Heavy Chain 6, Cardiac Muscle, Alpha
  • Myosin, Heavy Polypeptide 6, Cardiac Muscle, Alpha (Cardiomyopathy, Hypertrophic 1)
  • Myosin-6
  • SSS3

Limitations

This product is for research use only and is not approved for use in humans or in clinical diagnosis. Primary Antibodies are guaranteed for 1 year from date of receipt.

Customers Who Viewed This Item Also Viewed...

NB120-6405
Species: Rt
Applications: B/N, CyTOF-ready, EM, ELISA, Flow-IC, Flow, ICC/IF, IHC, IHC-Fr,  IHC-P, IP
MAB9096
Species: Hu
Applications: IHC, WB
MAB4470
Species: All-Multi
Applications: Flow, ICC, IHC, WB
NB100-56511
Species: Hu, Mu
Applications: Flow, ICC/IF, IHC, IHC-Fr,  IHC-P, IP, KD, KO, WB
AF2444
Species: Hu
Applications: IHC, WB
MAB66861
Species: Hu
Applications: ICC, WB
AF3366
Species: Hu
Applications: ICC, IHC, Simple Western, WB
NBP2-94624
Species: Hu, Mu, Rt
Applications: ELISA, ICC/IF, WB
NBP2-19807
Species: Hu, Mu, Po, Rt
Applications: ICC/IF, IHC,  IHC-P, WB
291-G1
Species: Hu
Applications: BA
NBP2-92630
Species: Hu, Mu, Rt
Applications: ELISA, ICC/IF, IHC,  IHC-P, WB
NBP1-30249
Species: Hu, Mu, Xp
Applications: ELISA, Flow, ICC/IF, IHC, WB
NBP2-24585
Species: Hu, Mu
Applications: IHC,  IHC-P, WB
NB300-581
Species: Am, Ca, Gp, Hu, Mu, Po, Rb, Rt, Sh
Applications: Flow, ICC/IF, IHC, IHC-Fr,  IHC-P, IP, Simple Western, WB
NBP3-05634
Species: Hu, Mu, Rt
Applications: ELISA, ICC/IF, IHC,  IHC-P, WB
NBP1-89090
Species: Hu
Applications: IHC,  IHC-P
NBP2-95223
Species: Hu, Mu, Rt
Applications: ELISA, ICC/IF, IHC,  IHC-P, WB
AF3398
Species: Hu, Mu, Rt
Applications: ICC, KO, Simple Western, WB
NBP2-58917
Species: Hu
Applications: IHC,  IHC-P, WB
NBP2-36746
Species: Hu, Mu, Rt
Applications: WB, IHC

Publications for MYH6 Antibody (NBP2-36746) (0)

There are no publications for MYH6 Antibody (NBP2-36746).
By submitting your publication information earn gift cards and discounts for future purchases.

Reviews for MYH6 Antibody (NBP2-36746) (2) 4.52

Average Rating: 4.5
(Based on 2 reviews)
We have 2 reviews tested in 1 species: Human.

Reviews using NBP2-36746:
Filter by Applications
IHC
(1)
WB
(1)
All Applications
Filter by Species
Human
(2)
All Species
Images Ratings Applications Species Date Details
Immunohistochemistry MYH6 NBP2-36746
Enlarge
4
reviewed by:
Verified Customer
IHC Human 06/29/2017
View

Summary

ApplicationImmunohistochemistry
Sample TestedFormalin Fixed Paraffin Embedded Heart
SpeciesHuman

Comments

CommentsWD [1:4000], HIER required with Citrate Buffer pH 6.0 10mM; secondary Ab RTU Polymer-HRP
Western Blot MYH6 NBP2-36746
Enlarge
5
reviewed by:
Verified Customer
WB Human 06/22/2015
View

Summary

ApplicationWestern Blot
SpeciesHuman

Product General Protocols

Find general support by application which include: protocols, troubleshooting, illustrated assays, videos and webinars.

Video Protocols

WB Video Protocol

FAQs for MYH6 Antibody (NBP2-36746) (0)

There are no specific FAQs related to this product. Read our general customer & technical service FAQs.

Secondary Antibodies

 

Isotype Controls

Additional MYH6 Products

Research Areas for MYH6 Antibody (NBP2-36746)

Find related products by research area.

Blogs on MYH6

There are no specific blogs for MYH6, but you can read our latest blog posts.

Customers Who Bought This Also Bought

Contact Information

Product PDFs

Calculators

Concentration Calculator

The concentration calculator allows you to quickly calculate the volume, mass or concentration of your vial. Simply enter your mass, volume, or concentration values for your reagent and the calculator will determine the rest.

=
÷

Recent Reviews

4.5
5
1
4
1
3
0
2
0
1
0

Verified Customer
06/29/2017
Application: IHC
Species: Human

Verified Customer
06/22/2015
Application: WB
Species: Human

Bioinformatics

Gene Symbol MYH6
Uniprot