Myeloperoxidase/MPO Antibody (CL14976) - Azide and BSA Free

Images

 
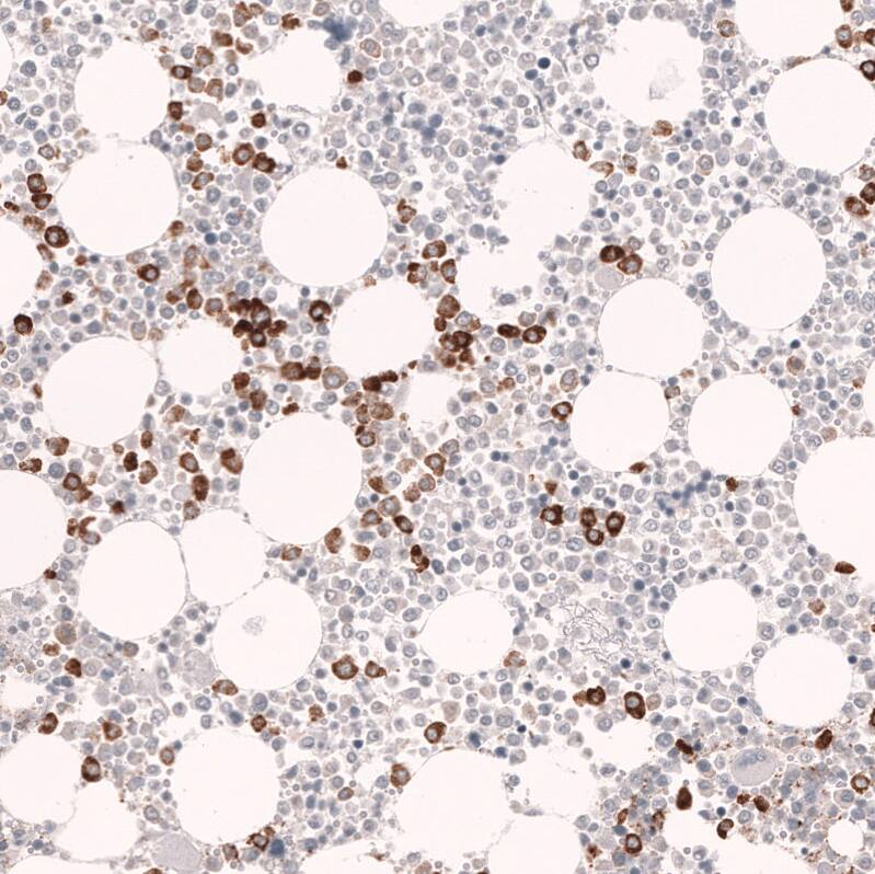
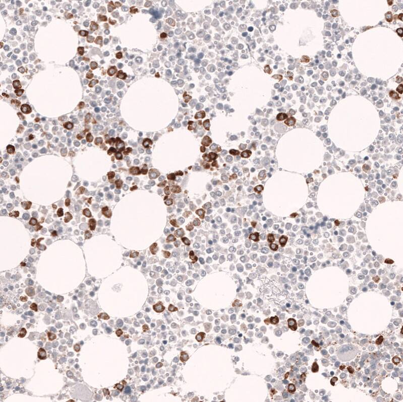
Staining of human bone marrow shows strong cytoplasmic positivity in hematopoietic cells.
Orthogonal Strategies: Analysis in human bone marrow and skeletal muscle tissues using NBP3-44265 antibody. Corresponding Myeloperoxidase/MPO RNA-seq data are presented for the same tissues.
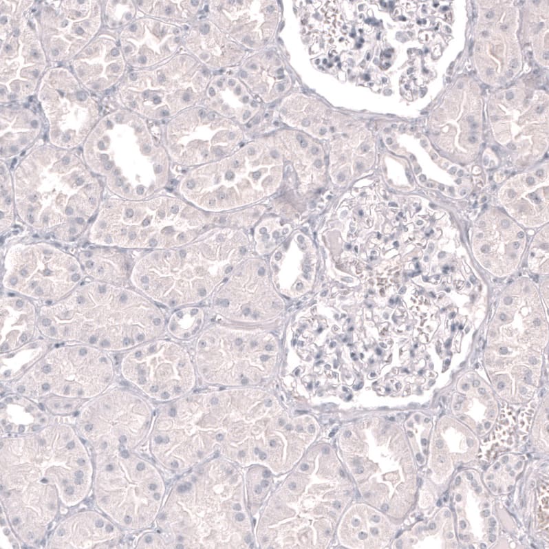
Staining of human kidney shows no positivity in cells in tubules and glomeruli as expected.
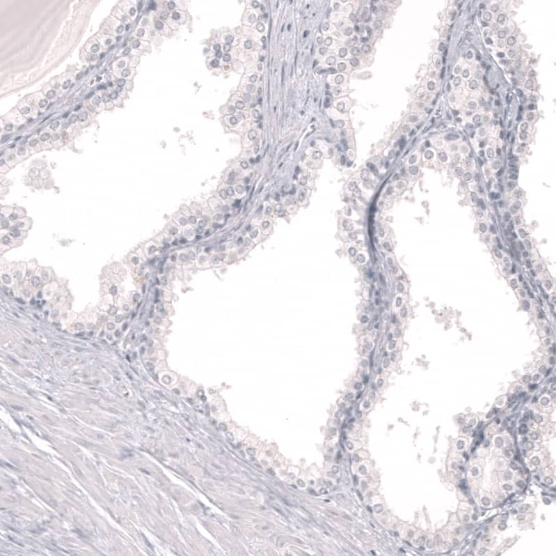
Staining of human prostate shows no positivity in glandular cells as expected.
Staining of human skeletal muscle shows no positivity in myocytes as expected.
Analysis in human cell line NB4.

Product Details

Summary
Reactivity HuSpecies Glossary
Applications WB, IHC
Clone
CL14976
Clonality
Monoclonal
Host
Mouse
Conjugate
Unconjugated
Format
Azide and BSA Free
Concentration
LYOPH
Validated by:
       

Orthogonal Strategies

 

Order Details

Myeloperoxidase/MPO Antibody (CL14976) - Azide and BSA Free Summary

Description
Novus Biologicals Mouse Myeloperoxidase/MPO Antibody (CL14976) - Azide and BSA Free (NBP3-26845) is a monoclonal antibody validated for use in IHC and WB. All Novus Biologicals antibodies are covered by our 100% guarantee.
Immunogen
This antibody was generated using a synthetic peptide of P05164, with the exact immunogen sequence remaining proprietary.
Isotype
IgG2b
Clonality
Monoclonal
Host
Mouse
Gene
MPO
Purity
Protein A purified
Innovator's Reward
Test in a species/application not listed above to receive a full credit towards a future purchase.

Applications/Dilutions

Dilutions
  • Immunohistochemistry-Paraffin 1:200 - 1:500
  • Western Blot 1 ug/ml
Application Notes
For IHC-Paraffin, HIER pH 6 retrieval is recommended.

Packaging, Storage & Formulations

Storage
Store at 4C short term. Aliquot and store at -20C long term. Avoid freeze-thaw cycles.
Buffer
Lyophilized from a 0.2 um filtered solution in PBS with Trehalose
Preservative
No Preservative
Concentration
LYOPH
Purity
Protein A purified
Reconstitution Instructions
Centrifuge the vial of lyophilized antibody at 12,000 x g for 20 seconds. Reconstitute by adding sterile, distilled water to achieve a final antibody concentration of 1mg/ml.

Alternate Names for Myeloperoxidase/MPO Antibody (CL14976) - Azide and BSA Free

  • EC 1.11.1
  • EC 1.11.1.7
  • MPO
  • Myeloperoxidase

Background

FUNCTION: Part of the host defense system of polymorphonuclear leukocytes. It is responsible for microbicidal activity against a wide range of organisms. In the stimulated PMN, MPO catalyzes the production of hypohalous acids, primarily hypochlorous acid in physiologic situations, and other toxic intermediates that greatly enhance PMN microbicidal activity. MPO is an important marker for myeloid cells, from the promyelocyte stage and to the mature forms. CATALYTIC ACTIVITY: Donor + H2O2 = oxidized donor + 2 H2O. CATALYTIC ACTIVITY: Cl- + H2O2 = HOCl + 2 H2O. COFACTOR: Binds 1 calcium ion per heterodimer. COFACTOR: Binds 1 heme B (iron-protoporphyrin IX) group covalently per heterodimer. SUBUNIT: Tetramer of two light chains and two heavy chains. SUBCELLULAR LOCATION: Lysosome. ALTERNATIVE PRODUCTS: 3 named isoforms produced by alternative splicing. DISEASE: Defects in MPO are the cause of myeloperoxidase deficiency (MPD). MPD is an autosomal recessive defect that results in disseminated candidiasis. SIMILARITY: Belongs to the peroxidase family. XPO subfamily.

Limitations

This product is for research use only and is not approved for use in humans or in clinical diagnosis. Primary Antibodies are guaranteed for 1 year from date of receipt.

Customers Who Viewed This Item Also Viewed...

M6000B
Species: Mu
Applications: ELISA
AF3398
Species: Hu, Mu, Rt
Applications: ICC, KO, Simple Western, WB
NBP1-25966
Species: Hu
Applications: Flow, ICC/IF, IHC, IHC-Fr,  IHC-P, WB
NB300-605
Species: Hu, Mu, Po, Rt
Applications: Flow, IB, ICC/IF, IHC, IHC-Fr,  IHC-P, In vitro, WB
DY417
Species: Mu
Applications: ELISA
NBP2-24915
Species: Bv, Hu, Mu, Rt
Applications: IHC,  IHC-P, WB
AF796
Species: Mu
Applications: AdBlk, IHC, WB
DY4517-05
Species: Mu
Applications: ELISA
DY1707
Species: Hu
Applications: ELISA
NBP2-47415
Species: Hu
Applications: ICC/IF, IHC,  IHC-P, WB
NBP2-33778
Species: Hu
Applications: IHC,  IHC-P, WB
MAB1455
Species: Hu
Applications: CyTOF-ready, Dual ISH-IHC, ICC, IHC, ICFlow, Simple Western, WB
NB120-10109
Species: Hu
Applications: CyTOF-ready, IHC,  IHC-P, S-ELISA, WB
NBP3-07388
Species: Hu
Applications: Flow, ICC/IF, IHC,  IHC-P
MAB208
Species: Hu
Applications: CyTOF-ready, ELISA(Cap), ELISA(Det), ELISA(Sta), ICC, ICFlow, Neut, Simple Western, WB
NBP3-16735
Species: Hu, Mu, Rt
Applications: ELISA, ICC/IF, IHC,  IHC-P, WB
NB110-61574
Species: Bv, Gt, Hu, Mu, Sh
Applications: WB
NBP2-61118
Species: Hu, Mu
Applications: Flow, ICC/IF, IHC,  IHC-P, Simple Western, WB
NBP3-44265
Species: Hu
Applications: WB, IHC

Publications for Myeloperoxidase/MPO Antibody (NBP3-44265) (0)

There are no publications for Myeloperoxidase/MPO Antibody (NBP3-44265).
By submitting your publication information earn gift cards and discounts for future purchases.

Reviews for Myeloperoxidase/MPO Antibody (NBP3-44265) (0)

There are no reviews for Myeloperoxidase/MPO Antibody (NBP3-44265). By submitting a review you will receive an Amazon e-Gift Card or Novus Product Discount.
  • Review with no image -- $10/€7/£6/$10 CAD/¥70 Yuan/¥1110 Yen
  • Review with an image -- $25/€18/£15/$25 CAD/¥150 Yuan/¥2500 Yen

Product General Protocols

Find general support by application which include: protocols, troubleshooting, illustrated assays, videos and webinars.

Video Protocols

WB Video Protocol

FAQs for Myeloperoxidase/MPO Antibody (NBP3-44265) (0)

There are no specific FAQs related to this product. Read our general customer & technical service FAQs.

Customers Who Bought This Also Bought

Contact Information

Product PDFs

Calculators

Concentration Calculator

The concentration calculator allows you to quickly calculate the volume, mass or concentration of your vial. Simply enter your mass, volume, or concentration values for your reagent and the calculator will determine the rest.

=
÷

Review this Product

Be the first to review our Myeloperoxidase/MPO Antibody (CL14976) - Azide and BSA Free and receive a gift card or discount.

Bioinformatics

Gene Symbol MPO